CAPÍTULO VI

TUMORES INTRAOCULARES DEL SEGMENTO ANTERIOR

B. Pazos González, C. Capeáns Tomé, M. Sánchez Salorio


 

I. FORMACIONES QUÍSTICAS

II. TUMORES MELANOCÍTICOS DEL IRIS

III. TUMORES DEL CUERPO CILIAR

IV. TUMORES DE LA PERIFERIA DE LA COROIDES. MELANOMA


La ultrasonografía convencional (ecografía estandarizada) representa una técnica exploratoria no invasiva de gran utilidad para la detección, medida y diagnóstico diferencial de las formaciones tumorales y pseudotumores situados en el segmento posterior del globo ocular y en la porción anterior de la órbita. La necesidad de penetrar 4 ó 5 cm obliga a usar frecuencias de 8-10 MHz con lo que la resolución de la imágenes no es muy grande y pequeños tumores pueden pasar desapercibidos a la exploración1. Así lesiones inferiores a 0,8 mm no pueden ser detectadas por la ecografía convecional y es preciso que la lesión tenga una elevación de 2 ó 3 mm para poder realizar el análisis cualitativo de la misma. Cuanto mas anterior y mas reflectividad tenga la lesión el tamaño mínimo requerido para ser diagnósticado es mayor. Por esta razón, la ecografía convencional es una técnica inadecuada para la exploración de formaciones tumorales situadas en el segmento anterior pues las imágenes son poco precisas y porque además necesita usarse con inmersión que en la ecografía convencional resulta incómoda y engorrosa.

La biomicroscopia ultrasónica ha reemplazado con éxito a la ecografía convencional en la exploración del segmento anterior porque al utilizar frecuencias mucho más altas (50 MHz) las imágenes que se obtienen son de mayor resolución y porque su penetración es suficiente para explorar la mayoría de las estructuras del segmento anterior.

En este capítulo exponemos nuestra experiencia personal en el estudio de las formaciones tumorales del iris, del cuerpo ciliar y de la periferia de la coroides.


I. QUISTES DEL IRIS

Los quistes del iris son lesiones relativamente infrecuentes. La importancia de su diagnóstico radica en que en algunas ocasiones pueden simular un tumor maligno.

Los quistes del iris pueden aparecer de modo espontáneo (quistes primarios) o pueden presentarse como consecuencia de un traumatismo perforante o de una intervención quirúrgica (quistes secundarios)2,3.

 

I.1. Los quistes primarios pueden asentar en el estroma del iris o en el epitelio pigmentario dando lugar a cuadros clínicos absolutamente diferentes. Los quistes del estroma son alteraciones congénitas que pueden observarse ya en los primeros meses de la vida aunque algunas veces no se manifiestan hasta la juventud. Representan una ectopia del tejido epitelial en el interior del estroma del iris y están constituidos por capas de tejido epitelial formando vesículas que protruyen hacia la cámara anterior. Cuando estas lesiones aparecen en adultos se les denomina quistes estromales adquiridos2 (Casos 1 y 2).

Los quistes del epitelio pigmentario aparecen como formaciones redondeadas de color muy oscuro. Suelen ser múltiples y localizarse a nivel de surco iridociliar, en la zona media del iris o a nivel pupilar. Ocupan la cámara posterior y pueden prolapsarse a través de la pupila4 (Casos 3 al 8). Por su coloración oscura pueden ser confundidos con melanomas.

 

I.2. Los quistes secundarios aparecen como consecuencia de traumatismos perforantes de la cámara anterior.

Los quistes perlados están producidos por la inclusión de un fragmento de tejido epitelial de la córnea o de la conjuntiva en el estroma del iris donde crece formando una tumoración redondeada de color amarillento con un contenido líquido en el que pueden encontrarse células descamadas y queratina. Muchas veces el epitelio deriva de un folículo piloso del borde palpebral por lo que puede aparecer una pestaña en la cámara anterior.

Los quistes serosos son secundarios a la invasión del iris y de la cámara anterior por tejido epitelial de la córnea y de la conjuntiva (Casos 2, 9 y 10). En la cirugía de la catarata representan una forma particular de la epitelización de la cámara anterior.

 

Semiología Ultrasónica. Aportación de la BMU al diagnóstico y al tratamiento

En los quistes primarios del estroma la BMU proporciona una excelente imagen de las lesiones quísticas que se visualizan como lesiones redondeadas bien delimitadas con vacío ecogénico en su interior y rodeadas de tejido iridiano (FIGS 6.1.b y 6.2.b).

F06_01_1.jpg (23891 bytes)

FIGURA 6.1.a: En la biomicroscopia óptica se aprecia un lesión pigmentada en la periferia del iris a las 9 horas que origina pliegues concéntricos en el estroma del iris, lo que en un principio hace pensar en un melanoma de la raíz del iris o del cuerpo ciliar. (I.N.G.O.)

F06_01_2.jpg (50795 bytes)

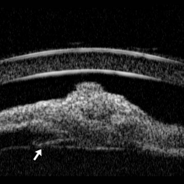
FIGURA 6.1.b: Un corte radial de BMU muestra una formación redondeada bién delimitada y vacía ecogénicamente que ocupa la raíz del iris. El quiste empuja al cuerpo ciliar (CC) y al iris restante produciendo su plegamiento (flecha). Se establece el diagnóstico de quiste primario de estroma de iris (forma adquirida). (I.N.G.O.)

F06_02_1.jpg (20181 bytes)

FIGURA 6.2.a: Con la biomicroscopia óptica se aprecia, a nivel del cuadrante temporal superior, un área ligeramente sobreelevada y hiperpigmentada en la periferia del iris que bloquea el ángulo, y una zona de opacificación del cristalino. (I.N.G.O.)

F06_02_2.jpg (53588 bytes)

FIGURA 6.2.b: Aunque la imagen bioultrasónica es similar a la del caso anterior, la existencia de catarata en sector y el antecedente de un traumatismo infantil nos hace establecer el diagnóstico de quiste seroso. La flecha indica la delaminación del iris. (CA: cámara anterior, Q: quiste; C: cristalino). (I.N.G.O.)

En los quistes primarios del epitelio pigmentario del iris la BMU demuestra la presencia de formaciones redondeadas y ecogénicamente vacías en la superficie posterior del iris que crecen en la cámara posterior. Pueden ser únicas o múltiples (FIGS 6.3.b, 6.3.d-f, 6.4.b-d, 6.5.b-d, 6.6.b y 6.7). Con mucha frecuencia se detectan formaciones que no pueden ser observadas mediante biomicroscopia óptica principalmente en la zona de unión iridociliar. Cuando alcanzan gran tamaño puede apreciarse el desplazamiento de las estructuras adyacentes a los quistes.

F06_03_1.jpg (27338 bytes)

FIGURA 6.3.a: Sin dilatar la pupila la biomicroscopia óptica no permite observar ningún tipo de patología. (I.N.G.O.)

F06_03_2.jpg (60412 bytes)

FIGURA 6.3.b: Un corte radial de BMU muestra la presencia de un gran quiste que se extiende desde los procesos cilares hasta el reborde pupilar y provoca un ligero abombamiento anterior del iris. La flecha señala el borde pupilar del quiste. Se observa también la existencia de varios quistes de pequeño tamaño a nivel del surco ciliar. Se establece el diagnóstico de quistes primarios de epitelio pigmentario. (I.N.G.O.)

F06_03_3.jpg (28919 bytes)

FIGURA 6.3.c: En midriasis máxima se observa la presencia de una tumoración oscura en forma de semiluna ocupando el reborde pupilar en el cuadrante temporal inferior. (I.N.G.O.)FIGURA 6.3.d: En un corte radial de BMU del ojo en midriasis, al retraerse el iris se hace mas evidente la naturaleza quística de la lesión. (I.N.G.O.)

F06_03_4.jpg (61329 bytes)

FIGURA 6.3.d: En un corte radial de BMU del ojo en midriasis, al retraerse el iris se hace mas evidente la naturaleza quística de la lesión. (I.N.G.O.)

F06_03_5.jpg (48275 bytes)

FIGURA 6.3.e: En un corte tangencial a nivel del quiste de mayor tamaño, se observa como ocupa toda la cámara posterior. (Q: quiste; C: cristalino). (I.N.G.O.)

F06_03_6.jpg (62448 bytes)

FIGURA 6.3.f: Cortes radiales de BMU a nivel angular detectaron la existencia de quistes iridociliares en el surco ciliar en los cuatro cuadrantes de ambos ojos, inaccesibles a la exploración con otros medios ópticos. En la imagen se observa un quiste de tamaño medio en la región nasal del ojo derecho. (I.N.G.O.)

F06_04_1.jpg (43082 bytes)

FIGURA 6.4.a: Mediante biomicroscopia óptica se aprecia una protusión anterior de la zona media del iris a nivel del cuadrante temporal inferior, compatible con tumor sólido de iris. (I.N.G.O.)

F06_04_2.jpg (33675 bytes)

FIGURA 6.4.b: Un corte radial de BMU detecta una formación quística de gran tamaño que se extiende desde los procesos ciliares hasta el reborde pupilar (flecha izquierda), empujando el iris hacia adelante. También se observan pequeños quistes a nivel del surco ciliar (flecha derecha). Se establece el diagnóstico de quistes primarios de epitelio pigmentario. (C: Cristalino; CA: Cámara anterior). (I.N.G.O.)

F06_04_3.jpg (49383 bytes)

FIGURA 6.4.c: En un corte radial en otro cuadrante del mismo ojo se detecta la presencia de dos quistes a nivel del surco ciliar. (I.N.G.O.)

F06_04_4.jpg (53911 bytes)

FIGURA 6.4.d: En la imagen se muestra un quiste a nivel del cuerpo ciliar en el área nasal. Cortes radiales de BMU en los cuatro cuadrantes detectaron quistes de epitelio pigmentario a nivel del surco ciliar en todos ellos. (I.N.G.O.)

F06_05_1.jpg (27836 bytes)

FIGURA 6.5.a: Con la biomicroscopia óptica se aprecia un pequeño tumor pigmentado tras el iris en el cuadrante temporal inferior del ojo derecho. (I.N.G.O.)

F06_05_2.jpg (57540 bytes)

FIGURA 6.5.b: Un corte radial de BMU a ese nivel muestra la presencia de un quiste de tamaño medio, bién delimitado, que nace a nivel de la unión iridociliar y empuja el iris hacia la córnea cerrando el ángulo. (I.N.G.O.)

F06_05_3.jpg (39697 bytes)

FIGURA 6.5.c: Corte tangencial a la córnea realizado con la sonda de 20Mhz. Se puede ver la córnea (C), el iris (I) con un abombamiento en el centro y cerrando el ángulo en ese punto, el quiste (Q) y la línea hiperreflectiva de la superficie anterior del cristalino (L). (I.N.G.O.)

F06_05_4.jpg (52650 bytes)

FIGURA 6.5.d: Cortes radiales de BMU en los cuatro cuadrantes detectaron quistes de epitelio pigmentario a nivel de la unión iridociliar en todos ellos en ambos ojos. La imagen corresponde al cuadrante temporal superior del ojo izquierdo, y se visualizan dos quistes a nivel de la unión iridociliar. (I.N.G.O.)

F06_06_1.jpg (26130 bytes)

FIGURA 6.6.a: En la exploración con biomicroscopia óptica se observa una protrusión de la zona media del iris en el cuadrante temporal inferior del ojo derecho. (I.N.G.O.)

F06_06_2.jpg (50239 bytes)

FIGURA 6.6.b: Un corte radial de BMU a ese nivel permite visualizar un quiste tras el iris que parte de la unión iridocorneal y empuja hacia adelante el iris estrechando el ángulo. Se establece el diagnóstico de quiste de epitelio pigmentario. (I.N.G.O.)

F06_07_1.jpg (50707 bytes)

FIGURA 6.7: En un corte radial de BMU sobre la lesión, se observa un gran quiste lobulado en cámara posterior que desplaza el iris y el cuerpo ciliar, produciendo una oclusión angular. (I.N.G.O.)

En los quistes serosos secundarios a la penetración traumática del epitelio corneoconjuntival en la cámara anterior la BMU permite comprobar el carácter quístico de la lesión y determinar con precisión sus límites (FIGS 6.2.b, 6.9.b y 6.10.b-d).

El tratamiento de estos quistes, cuando producen sintomatología, puede ser quirúrgico o laserfotocoagulación. La BMU en ambos casos nos orienta sobre su localización exacta, la extensión posterior de los quistes y el estado de las estructuras vecinas. También nos advierte de la presencia de otras lesiones quísticas o de lobulaciones no detectadas ópticamente. Tras el tratamiento, la BMU nos permite observar el efecto del mismo y analizar la evolución posterior (FIGS 6.8.f, 6.8.h, 6.9.d y 6.10.f).

F06_08_1.jpg (25278 bytes)

FIGURA 6.8.a: Ojo derecho. En midriasis media se aprecian en el reborde pupilar múltiples tumoraciones redondeadas de superficie suave y pigmentadas. (I.N.G.O.)

F06_08_2.jpg (54733 bytes)

FIGURA 6.8.b: Ojo derecho. Corte a nivel pupilar de BMU con la pupila en condiciones basales. Se observan dos tumoraciones quísticas. Entre ellas persiste una zona pupilar libre que justifica la buena visión referida por la paciente en ese ojo. Se distinguen claramente los límites del reborde pupilar y detrás la línea hiperecogénica correspondiente a la superficie anterior del cristalino. (C: Cristalino). (I.N.G.O.)

F06_08_3.jpg (19443 bytes)

FIGURA 6.8.c: Ojo izquierdo. En midriasis media se aprecian en el reborde pupilar múltiples lesiones similares a las descritas en el ojo derecho. (I.N.G.O.)

F06_08_4.jpg (35887 bytes)

FIGURA 6.8.d: Ojo izquierdo. Corte a nivel pupilar de BMU en condiciones basales. Se aprecian múltiples tumoraciones que ocupan prácticamente todo el área pupilar lo que justifica la mala visión referida por la paciente en ese ojo. (I.N.G.O.)

F06_08_5.jpg (29705 bytes)

FIGURA 6.8.e: Ojo derecho. Al demostrarse el crecimiento de las lesiones y la pérdida progresiva de A.V. en ambos ojos, se practica la ruptura de los quistes con Laser-YAG para vaciar su contenido. En la biomicroscopia óptica del ojo derecho se comprueba el vaciado de los quistes y la liberación de la pupila. (I.N.G.O.)

F06_08_6.jpg (41704 bytes)

FIGURA 6.8.f: Ojo derecho. Corte bioultrasónico a nivel pupilar. Se confirma el vaciado de los quistes a nivel pupilar y la liberación de la pupila. (C: cristalino). (I.N.G.O.)

F06_08_7.jpg (23443 bytes)

FIGURA 6.8.g: Ojo izquierdo. Se observa también el vaciado de los quistes quedando libre la pupila. (I.N.G.O.)

F06_08_8.jpg (43734 bytes)

FIGURA 6.8.h: Ojo izquierdo. Corte a nivel pupilar. La BMU confirma el vaciado de los quistes y la persistencia de contenido en las lesiones no tratadas. (C: Cristalino). (I.N.G.O.)

F06_09_1.jpg (27450 bytes)

FIGURA 6.9.a: La exploración con biomicroscopia óptica permite ver una tumoración pigmentada a nivel angular a las 12 h de ojo derecho. (I.N.G.O.)

F06_09_2.jpg (36211 bytes)

FIGURA 6.9.b: Un corte radial de BMU a ese nivel detecta la existencia de un quíste ecogénicamente vacío que se origina a nivel limbar. En la imagen de la izquierda se observa como se sitúa en la cámara anterior y deplaza ligeramente el iris hacia atrás. En la imagen de la derecha se observa como el quiste penetra en el estroma del iris a través de la iridectomía periférica (flecha). Tras el iris se visualiza una LIO. El ángulo no está afectado. A pesar de su carácter pigmentado se diagnosticó como quiste seroso epitelial secundario. (I.N.G.O.)

F06_09_3.jpg (18836 bytes)

FIGURA 6.9.c: Tras realizar láser Yag para vaciar la tumoración, en biomicroscopia óptica continúa observándose la tumoración a nivel angular. (I.N.G.O.)

F06_09_4.jpg (34765 bytes)

FIGURA 6.9.d. Tras el tratamiento con láser Yag, la imagen bioultrasónica muestra la pérdida de contenido del quiste y la pérdida de tensión de sus paredes. (I.N.G.O.)

F06_10_1.jpg (23471 bytes)

FIGURA 6.10.a: En la exploración con biomicroscopia óptica se observa un gran quiste que ocupa la cámara anterior del cuadrante temporal inferior y desplaza la pupila. Se aprecia también una zona de adelgazamiento en la periferia de la córnea que hace sospechar la existencia de una antigua perforación corneal y la naturaleza serosa del quiste. (I.N.G.O.)

F06_10_2.jpg (36748 bytes)

FIGURA 6.10.b: Una composición de imágenes de BMU (corte central y radial) permiten ver de izquierda a derecha: Un gran quiste que ocupa la zona correspondiente al iris y que ocluye el ángulo, contacta con la córnea, desplaza el cristalino (línea hiperecogénica tras el quiste (C)), y cierra parcialmente la pupila. A la derecha de la imagen se puede observar el iris normal (I). (EE: Espolón escleral; CA: Cámara anterior). (I.N.G.O.)

F06_10_3.jpg (54486 bytes)

FIGURA 6.10.c: Un corte radial de BMU a las 7 h. visualiza una zona de leucoma corneal (línea hiperreflectiva) (flecha) que es contiguo a un adelgazamiento de los 2/3 posteriores de la córnea. De los bordes de la córnea adelgazada surgen las paredes del tumor, lo cual confirma que se trata de un quiste seroso de inclusión epitelial. (I.N.G.O.)

F06_10_4.jpg (40996 bytes)

FIGURA 6.10.d: En corte tangencial periférico a nivel de la lesión se puede observar las lobulaciones de la misma. (I.N.G.O.)

F06_10_5.jpg (28164 bytes)

FIGURA 6.10.e: Se realizó laser Yag sobre el quiste produciéndose su vaciamiento. En la imagen se aprecia la disminución del volumen del quiste y la liberación del centro de la pupila. (I.N.G.O.)

F06_10_6.jpg (41125 bytes)

FIGURA 6.10.f: Composición de imágenes de BMU (corte central y radial) tras el tratamiento. Se observa la retracción de las paredes del quíste que permanecen sinequiadas a la córnea y al iris (I), y éste a su vez al cristalino (C). Se observa como la superficie anterior del cristalino recupera su posición y como se amplía el área pupilar. (CA: Cámara anterior). (I.N.G.O.)

 

QUISTES DE IRIS. CASOS CLÍNICOS

CASO 1. Paciente sin antecedentes de interés, referido con diagnóstico de tumor melanocítico de iris del ojo derecho.

CASO 2. Paciente de 70 años referido por presentar una tumoración pigmentaria en la periferia del iris.

CASO 3. Paciente sin antecedentes de interés. En una exploración rutinaria se observa al dilatar la pupila una tumoración pigmentada en el reborde pupilar temporal inferior del ojo derecho.

CASO 4. Paciente remitido por presentar en ojo derecho una zona de abombamiento anterior del iris.

CASO 5. Paciente referida con sospecha diagnóstica de tumor melanocítico en cuerpo ciliar.

CASO. 6. Paciente remitido por elevación localizada del iris.

CASO 7. Paciente remitido por sospecha diagnóstica de tumor melanocítico de la raíz del iris por presentar una lesión pigmentada y sobreelevada a nivel del cuadrante temporal inferior del ojo derecho.

CASO 8. Paciente remitida con sospecha de melanoma de iris por presentar múltiples tumoraciones pigmentadas en el reborde pupilar de ambos ojos.

CASO 9. Paciente con lesión pigmentada en la superficie del iris con antecedente de cirugía de catarata 6 meses antes.

CASO 10: Paciente sin antecedentes de interés que presenta una tumoración quística en el ojo derecho con crecimiento progresivo en los últimos años.

 

II. TUMORES DE IRIS. Tumores melanocíticos del iris. Pecas. Nevus. Melanoma

Los tumores pigmentados del iris pueden derivar de dos estirpes celulares diferentes. De los melanocitos del estroma a partir de los que pueden desarrollarse pecas, nevus y melanomas y de las células del epitelio pigmentario a partir de las que se pueden desarrollar adenomas y adenocarcinomas, estos últimos muy infrecuentes5.

El diagnóstico de las diferentes lesiones pigmentarias del iris está basado en el estudio de su aspecto mediante biomicroscopia óptica y en la evolución del mismo pero la confirmación diagnóstica es incluso difícil mediante en el examen histopatológico.

El estudio con BMU complementa el estudio clínico. La BMU aporta diversas características y patrones comunes a las lesiones con aspecto clínico de benignidad o malignidad que nos ayudan a clasificar los tumores del iris. Permite además un seguimiento exhaustivo de los cambios en el tamaño, características internas y delimitación de la lesión y de su relación con las estructuras circundantes.

 

II.1. Pecas

Se trata de acúmulos superficiales de células melanocíticas y de pigmento que no ocultan ni alteran la estructura normal del iris. En la biomicroscopia óptica las criptas del iris pueden percibirse a través del pigmento.

 

Semiología Ultrasónica

La BMU permite comprobar la normalidad del estroma subyacente. Tanto el espesor como la reflectividad del estroma son normales.

 

II.2. Nevus

Los nevus del iris son tumores constituidos por melanocitos del estroma sin características morfológicas de malignidad. El nevus es con mucho el tumor mas frecuente del iris. Su potencial de malignización es bajo pero real.

El nevus aparece como una formación pigmentada, plana, carente de vasos y muy bien delimitada del estroma sobre el que asienta. Su localización más frecuente es en los cuadrantes inferiores (Casos 11 a 14). Aunque su tamaño es muy variable su diámetro mayor generalmente no sobrepasa los 4 mm. En general no suele afectar al borde pupilar ni a la malla trabecular por lo que no produce alteraciones en la forma de la pupila ni glaucoma.

Su característica clínica principal consiste en el ocultamiento de la arquitectura normal del estroma del iris (criptas, collarete) (Casos 11 a 16).

Frente a estas características clínicas clásicas que se dan en la mayoría de los nevus del iris, pueden aparecer casos con morfología diferente y que hacen más difícil el diagnóstico. En este sentido deben tenerse en cuenta las posibilidades siguientes:

Pueden existir nevus amelanóticos. Son congénitos, tienen un aspecto gelatinoso y contrariamente a lo que ocurre en los nevus típicos tienen vascularización propia.

Algunos nevus pueden originarse a partir del componente uveal de la malla trabecular. Por esta razón la ocupación de una pequeña porción del ángulo camerular por una masa pigmentada no significa necesariamente que se haya producido la malignización de un nevus preexistente.

Existe una forma particular de nevus en la que el pigmento se extiende desde el borde pupilar hasta la raíz del iris (nevus en sector).

Aunque sea muy infrecuente puede ocurrir que un nevus crezca hasta producir alteraciones pupilares (irregularidad del reborde, ectropion del iris) lo que hasta hace poco tiempo se consideraban patognomónicas del melanoma (Caso 17). Debido a estas formas particulares de nevus a veces el diagnóstico diferencial con el melanoma es imposible y solo la evidencia de crecimiento y en último término la punción aspiración con aguja fina nos pueden dar el diagnóstico.

Pueden existir nevus difusos que ocupen mas de un cuadrante del iris. Estos nevus tan extensos se interpretan como formas frustradas de melanocitosis ocular. Una forma particular de nevus difuso es aquella que aparece en el síndrome de Cogan-Reese: nevus magnocelular, nódulos múltiples, ectopia pupilar, heterocromía y glaucoma.

 

Semiología ultrasónica. Aportación de la BMU
al diagnóstico

La BMU muestra una serie de hallazgos comunes en las lesiones con aspecto de nevus que nos pueden ayudar a la hora de establecer su diagnóstico. Generalmente se produce un engrosamiento difuso del iris a nivel de la lesión pero manteniendo una reflectividad interna homogénea y respetando la estructura del iris (FIG 6.11.b). Es frecuente observar una línea de baja reflectividad en la superficie anterior la zona engrosada (FIGS 6.11.b, 6.16.c y 6.16.d). Pavlin y col.6 la relacionan con el hallazgo histológico de capas superficiales de células tumorales puras7.

F06_11_1.jpg (35335 bytes)

FIGURA 6.11.a: Tumoración pigmentada elevada que se extiende desde el reborde pupilar hasta la periferia del iris. El tamaño del tumor plantea la duda entre nevus y melanoma. (I.N.G.O.)

F06_11_2.jpg (48281 bytes)

FIGURA 6.11.b: Un corte radial de BMU a nivel de la lesión muestra un patrón compatible con un el diagnóstico de nevus: Engrosamiento del iris con aspecto fusiforme, aumento uniforme de la reflectividad de la masa, y línea hipoecogénica bajo la superficie anterior del iris (flechas negras). No se observan irregularidades en el perfil. El límite del tumor (flecha blanca) se establece por el cambio de reflectividad, con lo que se aprecia que la raíz del iris no está afectada. Los controles sucesivos durante tres años mostraron que no se produjeron cambios en el aspecto ni en el tamaño de la lesión. (I.N.G.O.)

Cuando la tumoración se localiza en la parte media del iris, el engrosamiento le confiere al mismo un aspecto de «ratón» (FIG 6.11.b), mientras que si el nevus está próximo a la pupila el engrosamiento suele tener un aspecto mas fusiforme (FIGS 6.15.b, 6.17.b y 6.17.c). Si la lesión afecta a la periferia del iris se produce a ese nivel una abombamiento anterior del iris y el engrosamiento es menos importante (FIGS 6.12.b, 6.13.b y 6.14).

F06_12_1.jpg (28621 bytes)

FIGURA 6.12.a: Tumoración pigmentada en la porción media del iris, con superficie rugosa y bordes difusos. (I.N.G.O.)

F06_12_2.jpg (54635 bytes)

FIGURA 6.12.b: Corte radial de BMU a nivel de la lesión. Se observa a nivel de la lesión un ligero aumento de la reflectividad y grosor del iris y un abombamiento anterior. Bajo el margen anterior del iris se observa una banda de menor ecogenicidad. El aspecto de la BMU es compatible con un nevus. El control periódico (2 años) demostró el no crecimiento del tumor. (I.N.G.O.)

F06_13_1.jpg (28252 bytes)

FIGURA 6.13.a: Pequeño tumor pigmentado y bién delimitado en la periferia del iris. (I.N.G.O.)

F06_13_2.jpg (39171 bytes)

FIGURA 6.13.b: Un corte radial (imagen de la izquierda) y tangencial (imagen de la derecha) a ese nivel muestra un abombamiento anterior del iris con aumento de la reflectividad localizado y bién delimitado (las flechas señalan los límites de la lesión). El grosor del iris no se modifica. En el corte radial se aprecia la no afectación de la raíz del iris y cuerpo ciliar. El aspecto de la BMU es compatible con un nevus. (I.N.G.O.)

F06_14_1.jpg (61056 bytes)

FIGURA 6.14.a: Un corte radial a nivel angular muestra una zona de engrosamiento y encurvamiento anterior en la periferia del iris que produce plegamiento del iris adyacente (flecha blanca). Aparentemente no está afectado el cuerpo ciliar (flecha negra señala la posición del espolón escleral). (I.N.G.O.)

F06_14_2.jpg (59974 bytes)

FIGURA 6.14.b: Tras la instilación de pilocarpina se observa con claridad como la lesión afecta al iris periférico y respeta la raíz del iris (cambio en la reflectividad). La imagen es compatible con nevus de iris. (I.N.G.O.)

F06_15_1.jpg (32058 bytes)

FIGURA 6.15.a: Tumor pigmentado a nivel del reborde pupilar, bién delimitado, que no altera la morfología de la pupila. (I.N.G.O.)

F06_15_2.jpg (31508 bytes)

FIGURA 6.15.b: Cortes radial (izquierda) y tangencial (derecha) de BMU. Se observa un engrosamiento y un aumento de la reflectividad del iris a nivel de la lesión. La estructura normal del iris no se altera, los márgenes están bién delimitados y no existe rotura de las líneas hiperreflectivas anterior y posterior del iris. Imagen compatible con una lesión benigna. (I.N.G.O.)

F06_16_1.jpg (31184 bytes)

FIGURA 6.16.a: Masa pigmentada sobreelevada a nivel del cuadrante temporal inferior que afecta a la periferia del iris. (I.N.G.O.)

F06_16_2.jpg (54196 bytes)

FIGURA 6.16.b: Un corte radial de BMU permite apreciar un engrosamiento y abombamiento posterior del iris. Los cambios en la reflectividad permiten determinar el límite periférico de la lesión (flecha inferior) que está en la raíz del iris. No existe aparente afectación del cuerpo ciliar. En la zona próxima a la pupila se produce un desprendimiento de epitelio pigmentario del iris (flecha derecha) y se intuye el límite interno de la lesión (fleha superior). (I.N.G.O.)

F06_16_3.jpg (47586 bytes)

FIGURA 6.16.c: En otro corte de BMU se detecta una banda hipoecogénica bajo la superficie anterior del iris que orienta hacia la benignidad de la lesión. (I.N.G.O.)

F06_16_4.jpg (49791 bytes)

FIGURA 6.16.d: En un corte tangencial observamos los límites laterales de la lesión, su reflectividad interna y una banda hipoecogénica bajo el borde anterior del iris. El iris está abombado posteriormente y sus bordes anterior y posterior están preservados. (I.N.G.O.)

F06_17_1.jpg (22175 bytes)

FIGURA 6.17.a: Lesión moderadamente pigmentada, de pequeño tamaño, situada en el reborde pupilar inferior. A nivel pupilar, se puede ver una zona de ectropion de epitelio pigmentario del iris. (I.N.G.O.)

F06_17_2.jpg (33553 bytes)

FIGURA 6.17.b: Reconstrucción bioultrasónica del segmento anterior: El iris de la izquierda de la imagen es normal. A la derecha, se observa una lesión próxima al reborde pupilar que produce un engrosamiento y aumento de la reflectividad del iris a ese nivel. Los márgenes de la lesión están bién delimitados y no se altera la estructura normal del iris. En el área pupilar se observa una zona de hiperreflectividad rodeando a la lesión (flecha), secundaria al ectropion del epitelio pigmentario. (I.N.G.O.)

F06_17_3.jpg (53219 bytes)

FIGURA 6.17.c: El seguimiento ultrasónico 18 meses después mostró cambios en el grosor y en el perfil de la lesión. En la imagen podemos ver como los márgenes de la lesión no están bién delimitados, existen cambios en la reflectividad interna respecto a la exploración previa, mostrando un patrón mas irregular y se pierde la línea hiperreflectiva anterior del iris (flecha). Estos hallazgos nos alertan acerca de una posible malignización de la lesión. (I.N.G.O.)

Con mucha menor frecuencia se puede observar un ectropion uveal (FIG 6.17.b), probablemente secundario a la contracción de las células névicas. En la exploración con BMU de los nevus en sector se observa un engrosamiento moderado y uniforme de todo el iris5.

La BMU consigue visualizar el margen posterior de las lesiones, permitiendo cuantificar fácilmente la magnitud del engrosamiento. Resulta difícil en cambio precisar la frontera exacta a nivel celular entre el tejido tumoral y el normal pues la resolución de la BMU no es suficiente para discriminar la composición celular. Sin embargo, mediante la obtención de cortes radiales y transversales es posible delimitar la lesión de modo relativamente fiable orientándonos por los cambios en la morfología y la reflectividad del tumor (FIGS 6.12.b, 6.13.b, 6.14.a y 6.16.d). Estas características permiten conocer si el nevus se extiende por detrás de la raíz del iris penetrando en cuerpo ciliar (FIGS 6.11.b, 6.12.b, 6.14.b, 6.16.b y 6.16.c).

En lo que se refiere al diagnóstico diferencial ante un nevus el problema fundamental consiste en descartar la presencia de un melanoma.

Dada la poca especificidad de las exploraciones especiales (ecografía convencional, angiografía, resonancia magnética, tomografía computerizada) y dada la baja potencialidad malignizadora de los nevus, el criterio mas habitual para diagnosticar o descartar un melanoma consiste en controlar el posible crecimiento del tumor y cambios en su morfología. Este crecimiento puede valorarse mediante biomicroscopia óptica y fotografías seriadas. En este seguimiento la BMU ofrece claras ventajas pues el espesor del iris puede ser valorado con gran exactitud y la documentación gráfica permite su comparación con el resultado de exploraciones posteriores (FIGS 6.17.b y 6.17.c). Además la BMU nos informa sobre cambios en el perfil de tumor (la superficie posterior del iris no puede ser observada con la lámpara de hendidura) y en las características interiores del mismo, así como de la relación con las estructuras adyacentes.

 

NEVUS DE IRIS. CASOS CLÍNICOS

Caso 11. Tumoración pigmentada en la zona media del iris.

Caso 12. Tumoración pigmentada en la zona media del iris.

Caso 13. Tumoración pigmentada en la periferia del iris.

Caso 14. Pequeño tumor pigmentado en la periferia del iris.

Caso 15. Tumoración próxima al reborde pupilar.

Caso 16. Tumoración pigmentada en periferia del iris.

Caso 17. Tumoración pigmentada en el reborde pupilar con ectropion del epitelio pigmentario.

 

II.3. Melanomas de iris

El melanoma del iris es un tumor maligno originado a partir de los melanocitos del estroma. Suele ser diagnosticado en la cuarta década de la vida. La gran mayoría de los casos (80%) se localizan en los cuadrantes inferiores del iris. Su capacidad para dar metástasis es pequeña. La expresión clínica de los melanomas del iris es muy variada. En principio pueden aceptarse dos formas clínicas principales: la circunscrita y la difusa.

 

– Melanoma circunscrito

En sus etapas iniciales puede presentar las mismas características del nevus diferenciándose tan sólo por la mayor rapidez de su crecimiento. La masa pigmentada asienta en el estroma ocultando totalmente la arquitectura normal del iris. Ya hemos visto que esta característica se da también en los nevus por lo que carece de valor diagnóstico. En algunas ocasiones ya en la primera consulta el tumor presenta aspectos que son muy poco probables en un nevus5 (Casos 18 a 21). Entre estos aspectos los más importantes son: [1] Ocupación de más de medio cuadrante del iris con protusión hacia adelante de la superficie del tumor, [2] deformación del reborde pupilar con ectropion del epitelio pigmentario del iris, [3] vasos propios bien desarrollados dentro de la masa tumoral que pueden dar origen a hipemas espontáneos, [4] catarata en sector en la zona del cristalino en contacto con la superficie posterior del tumor, [5] ocupación del ángulo de la cámara anterior por la masa tumoral que rebasa la línea de Schwalbe y contacta con la superficie posterior de la córnea, y [6] hipertensión ocular en el ojo afectado por el tumor con tensión normal en el ojo congénere.

Dentro del melanoma circunscrito pueden, a su vez, diferenciarse como formas especiales el melanoma amelanótico o en tapioca, bien delimitado con aspecto gelatinoso y múltiples nódulos y el melanoma en anillo ocupando gran parte del trabéculum (secundario a una extensión directa o a una siembra tumoral al humor acuoso).

 

– Melanoma difuso

Las formas difusas del melanoma de iris son mucho menos frecuentes que las circunscritas. En estos casos no existe una masa tumoral bien delimitada sino una infiltración difusa del estroma que origina la desaparición de las criptas y una heterocromía hipercrómica. Suele acompañarse de glaucoma secundario.

 

Semiología ultrasónica. Aportación de la BMU
al diagnóstico y al tratamiento

La imagen ultrasónica de los melanomas nos puede ofrecer una serie de patrones que pueden ayudarnos a realizar el diagnóstico diferencial con otros tumores.

En la BMU el melanoma aparece como una masa sólida situada en el estroma del iris. El iris está engrosado y presenta generalmente un patrón lineal de alta reflectividad en la parte mas superficial del tumor con una atenuación progresiva debido a la absorción de los ultrasonidos en las zonas anteriores (FIGS 6.18.b y 6.19.b). Se puede apreciar una reflectividad irregular en el interior con puntos de alta reflectividad y en ocasiones irregularidades en la superficie del iris e incluso pérdida de su estructura normal (FIGS 6.19.b, 6.19.c y 6.20.a). El examen BMU revela también la presencia de proyecciones tumorales en la superficie de la lesión, lesiones satélites e incluso la infiltración de las estructuras vecinas (FIGS 6.19.c, 6.19.d y 6.21.b).

F06_18_1.jpg (26380 bytes)

FIGURA 6.18.a: Lesión pigmentada sobreelevada en la superficie del iris que se extiende desde la parte media hasta la pupila provocando irregularidad en el reborde pupilar y ectropion del epitelio pigmentario. Se observa el carácter vascularizado de la lesión. (I.N.G.O.)

F06_18_2.jpg (51660 bytes)

FIGURA 6.18.b: Un corte radial de BMU a ese nivel muestra un aumento del grosor del iris de aspecto fusiforme y un patrón lineal de hiperreflectividad anterior. La superficie anterior del iris es ligeramente irregular. En la zona del reborde pupilar se aprecia una banda hiperreflectiva que se corresponde con la eversión del epitelio pigmentario (flecha). El límite periférico de la lesión no está claramente delimitado aunque no existe afectación aparente de la raíz del iris. El aspecto BMU es compatible con melanoma de iris. (I.N.G.O.)

F06_19_1.jpg (29138 bytes)

FIGURA 6.19.a: Tumor intensamente pigmentado que se extiende desde la parte media del iris hasta el ángulo iridocorneal, provocando la retracción del reborde pupilar y ectropion del epitelio pigmentario.
La punción aspiración con aguja fina confirmó el diagnóstico de melanoma de iris. (I.N.G.O.)

F06_19_2.jpg (55588 bytes)

FIGURA 6.19.b: En un corte radial de BMU se observa un engrosamiento irregular de todo el iris. La superficie anterior del iris es irregular y tras ella existe una banda anterior hiperreflectiva con un patrón lineal y atenuación ecogénica progresiva. La reflectividad interna es irregular y se pierde la estructura normal del iris. El aspecto ultrasónico recuerda los cortes histológicos de los melanomas de iris. (I.N.G.O.)

F06_19_3.jpg (51769 bytes)

FIGURA 6.19.c: En un corte tangencial de BMU se aprecia la irregularidad de la superficie anterior del iris y la pérdida parcial de las líneas hiperecogénicas anterior y posterior. El límite entre el iris normal y la lesión no está bién definido y se pueden ver prolongaciones del tumor hacia el cristalino (flecha). (I.N.G.O.)

F06_19_4.jpg (30179 bytes)

FIGURA 6.19.d: En otro corte tangencial de BMU se visualiza una pequeña infiltración de la lesión a nivel de la superficie posterior de la córnea periférica (flechas). (I.N.G.O.)

F06_20_1.jpg (49850 bytes)

FIGURA 6.20.a: Corte radial de BMU. Existe un engrosamiento de la mitad interna del iris con desestructuración completa del mismo y bordes desflecados. Se diferencia claramente el límite entre la tumoración y la zona de iris no afectado (flechas). La lesión presenta una reflectividad media-baja con áreas de irregularidad ecogénica en su interior y su aspecto es compatible con melanoma de iris. La punción aspiración con aguja fina confirmó el diagnóstico de melanoma de iris. (I.N.G.O.)

F06_20_2.jpg (50079 bytes)

FIGURA 6.20.b: Seis meses después de iniciar fotocuagulación de la lesión con láser Argon, se observa una reducción en el tamaño de la misma, mayor nitidez en sus bordes y ausencia de crecimiento tumoral. (I.N.G.O.)

F06_21_1.jpg (23086 bytes)

FIGURA 6.21.a: Melanoma de iris fotocuagulado con láser argon que afecta al cuadrante temporal inferior y se extiende hasta el ángulo. (I.N.G.O.)

F06_21_2.jpg (57327 bytes)

FIGURA 6.21.b: Corte radial de BMU. Se aprecia el engrosamiento difuso de los dos tercios internos del iris, y la banda de hiperreflectividad anterior a nivel de la zona de iris tratada. La lesión tiene dos pequeñas proyecciones tumorales (flecha). Se ve con facilidad el límite entre la zona tumoral y el iris restante. No hay evidencia de invasión del cuerpo ciliar ni de las estructuras circundantes. Los controles periódicos mediante BMU mostraron la estabilidad del aspecto del tumor y la ausencia de crecimiento. (I.N.G.O.)

Además, tal como sucede en los nevus, la BMU permite determinar el espesor del tumor y valorar su evolución.

En lo que se refiere al diagnóstico diferencial existen dos situaciones diferentes:

Si la duda diagnóstica se establece con un nevus y es necesario realizar un seguimiento del tumor para analizar si existe crecimiento, la BMU aporta la información mas precisa y mejor documentada que puede obtenerse de dicho crecimiento. Cuando la experiencia con el método sea mayor probablemente podrán establecerse criterios ecogénicos que permitan diferenciar a los melanomas de los nevus con la misma fiabilidad con que la ecografía convencional diagnostica el melanoma de coroides.

Si la duda diagnóstica se establece con un quiste primario o secundario del iris, la BMU permite determinar con claridad la imagen ecogénica característica de lesiones bien delimitadas con vacío ecogénico en el interior.

En ocasiones los nódulos inflamatorios también nos pueden inducir al error diagnóstico de un melanoma. Desde el punto de vista de la BMU se visualizan como lesiones nodulares bien delimitadas del resto del tejido iridiano con material inflamatorio de ecogenicidad media o alta en el interior (FIGS 6.22).

F06_22_1.jpg (22145 bytes)

FIGURA 6.22.a: En el ojo derecho presenta múltiples lesiones pigmentadas, sobreelevadas de aspecto rugoso. (I.N.G.O.)

F06_22_2.jpg (25351 bytes)

FIGURA 6.22.b: En el mismo ojo se aprecian depósitos subendoteliales. (I.N.G.O.)

F06_22_3.jpg (48992 bytes)

FIGURA 6.22.c: Corte radial de BMU del ojo derecho a 11h. Se aprecia un engrosamiento de la parte media del iris con preservación de la estructura del mismo. Se visualiza una lesión de aspecto nodular (N) bién definida a nivel del parénquima del iris. La raíz del iris y el cuerpo ciliar están desplazados hacia adelante (flechas). Tras el iris se ve una LIO en sulcus (líneas hiperreflectivas). (I.N.G.O.)

F06_22_4.jpg (49142 bytes)

FIGURA 6.22.d: Corte radial de BMU del ojo derecho a 2 h (composición de imágenes). El iris (I) presenta un ligero engrosamiento e hiperreflectividad uniforme en la mitad periférica. Su estructura está preservada. Se observa un engrosamiento uniforme del cuerpo ciliar (CC) y de la coroides periférica (C) que desplazan hacia adelante la raíz del iris y el cuerpo ciliar. El engrosamiento de la coroides se detectó en todos los cuadrantes. La coroides de polo posterior explorada con ECO convencional era normal. (I.N.G.O.)

F06_22_5.jpg (23257 bytes)

FIGURA 6.22.e: En el ojo izquierdo presenta múltiples lesiones pigmentadas, sobreelevadas de aspecto rugoso localizados en la mitad externa del iris. (I.N.G.O.)

F06_22_6.jpg (28347 bytes)

FIGURA 6.22.f: En el mismo ojo en midriasis media se aprecia depósito de pigmento sobre la LIO y opacificación capsular. (I.N.G.O.)

F06_22_7.jpg (43043 bytes)

FIGURA 6.22.g: Corte radial de BMU del ojo izquierdo a 9 horas (composición de imágenes). Se observa un engrosamiento de la mitad externa del iris (I), que mantiene su estructura normal, y contacta con la cara posterior de la córnea periférica (la flecha señala la situación del espolón escleral). Hay también un engrosamiento uniforme de la coroides periférica (C) en todos los cuadrantes explorados que provoca un desplazamiento anterior de la raíz del iris y cuerpo ciliar. (I.N.G.O.)

F06_22_8.jpg (45311 bytes)

FIGURA 6.22.h: Corte radial de BMU del ojo izquierdo a 6 h (composición de imágenes). El iris está abombado hacia adelante y la coroides periférica (C) está engrosada uniformemente y desplaza la raíz del iris y el cuerpo ciliar hacia córnea (flechas). Se observan tabicaciones a nivel de la cámara posterior (CP). Los hallazgos ultrasónicos de ambos ojos son compatibles con una uveitis granulomatosa. (I.N.G.O.)

Desde el punto de vista terapéutico es de especial interés la posibilidad de poder determinar mediante la BMU si un melanoma de iris invade el cuerpo ciliar. Este dato es muy importante para decidir si la exéresis del tumor debe realizarse mediante una iridectomía o una iridociclectomía.

En los casos en que un presunto melanoma de iris es tratado por laserfotocoagulación la BMU es un método esencial para controlar la ausencia de crecimiento del tumor y la regresión del mismo (FIGS 6.20.b y 6.21.b).

 

MELANOMA DE IRIS. CASOS CLÍNICOS

Caso 18. Tumoración pigmentada en la mitad interna del iris con afectación del borde pupilar.

CASO 19. Tumoración pigmentada del iris con afectación del borde pupilar

CASO 20. Tumoración pigmentada de la mitad interna de iris que afecta al reborde pupilar.

CASO 21. Melanoma de iris fotocuagulado.

CASO 22. Paciente referido por sospecha de melanoma de iris bilateral. Antecedentes de uveitis anterior y cirugía de catarata.

 

III. TUMORES DEL CUERPO CILIAR

III.1. Quistes de cuerpo ciliar

La localización más frecuente de los quistes de epitelio pigmentario es a nivel de la unión iridociliar (surco ciliar). Generalmente producen solamente pequeñas elevaciones en la periferia del iris, aunque en ocasiones pueden aparecer a nivel pupilar.

La BMU permite diagnosticar la presencia de quistes en esa región descartando la existencia de un tumor sólido y detecta la presencia de quistes en otros lugares e incluso en el ojo contralateral que pasarían desapercibidos en la exploración con otros medios (FIGS 6.3 a 6.6).

 

III.2. Tumores melanocíticos. Melanoma
del cuerpo ciliar

Los tumores que afectan al cuerpo ciliar son lesiones no muy bien definidas que con frecuencia se asocian a lesiones del iris o de la coroides periférica resultando en ocasiones imposible determinar cual es el origen de la lesión primaria.

El tumor de cuerpo ciliar mas frecuente es el melanoma. Debido a su localización los melanomas del cuerpo ciliar en sus fases iniciales no dan síntomas siendo diagnosticados de modo casual al dilatar la pupila y explorar la periferia de la retina. El tumor aparece como una masa pigmentada redonda u ovoide situada inmediatamente detrás de la periferia del cristalino. Al aumentar su tamaño el tumor puede desplazar el cristalino y provocar una catarata, una hemorragia intravítrea o un glaucoma. En algunos casos el borde anterior del melanoma aparece en el ángulo de la cámara anterior disecando la raíz del iris. Como signos externos del tumor pueden aparecer en el cuadrante correspondiente vasos epiesclerales dilatados o manchas pigmentadas en la esclera.

 

Semiología ultrasónica. Aportación de la BMU
al diagnóstico y al tratamiento

Tal como ocurre en los melanomas de iris, en los tumores del cuerpo ciliar la BMU informa sobre la reflectividad interna y sobre aspectos del tumor que nos ayudan al diagnóstico diferencial7.

La BMU nos orienta también acerca del origen del tumor. Puede ser un tumor originalmente de iris que se extiende a cuerpo ciliar (Casos 23 y 24), de cuerpo ciliar o bién una extensión anterior de un melanoma de coroides. El origen se determina por la cantidad relativa del tumor en cada estructura (iris, cuerpo ciliar, coroides periférica). Debido a que en ocasiones resulta imposible conocer el origen exacto del tumor agruparemos algunos de los casos como melanomas del iris y cuerpo ciliar (Casos 23 a 26) y como melanomas de cuerpo ciliar (Casos 27 a 29).

El aspecto de estos tumores en la exploración con BMU es el de una masa sólida de reflectividad media y uniforme apreciándose una atenuación progresiva de la imagen (FIGS 6.23.b, 6.24.b, 6.25.b, 6.26.b, 6.28.b y 6.29.b). Practicando cortes radiales y tangenciales puede determinarse la localización, el tamaño y los límites del tumor. Aunque la resolución de las imágenes no permite la delimitación de la masa tumoral a nivel celular el cambio de reflectividad permite determinar con precisión el límite entre el tumor y el tejido normal (FIGS 6.23.c, 6.24.b, 6.25.c, 6.26.b, 6.26.c y 6.27.c)

F06_23_1.jpg (32092 bytes)

FIGURA 6.23.a: Pequeña tumoración en el cuadrante temporal superior del ojo derecho, pigmentada y sobreelevada, que ocupa el ángulo. (I.N.G.O.)

F06_23_2.jpg (59817 bytes)

FIGURA 6.23.b: Corte radial de BMU: Pequeña lesión localizada en la raíz del iris que se extiende hacia la córnea, espolón escleral y zona anterior del cuerpo ciliar. La lesión tiene una reflectividad media y produce una importante atenuación ecogénica. (C: Córnea; CA: Cámara anterior; I: Iris; L: Cristalino).
A pesar de la aparente agresividad de la lesión, las dimensiones del mismo valoradas mediante BMU permiten establecer el diagnóstico de nevus de la periferia de iris y aconsejan el seguimiento de la lesión para valorar posibles cambios. (I.N.G.O.)

F06_23_3.jpg (52694 bytes)

FIGURA 6.23.c: En un corte tangencial se observan con claridad los límites laterales de la lesión respecto al iris de aspecto normal (flecha). A nivel de la lesión se produce una desestructuración total del iris y la rotura de la línea hiperreflectiva anterior y posterior del iris. (Cp: Córnea periférica). (I.N.G.O.)

F06_23_4.jpg (32918 bytes)

FIGURA 6.23.d: Corte radial realizado con sonda de 20 Mhz (IS). Se observa una masa sólida ocupando el ángulo (EE: Espolón escleral), y se puede determinar con precisión el límite mas profundo de la tumoración (flecha). (I.N.G.O.)

F06_24_1.jpg (33426 bytes)

FIGURA 6.24.a: Pequeña tumoración pigmentada en la periferia del iris que produce un discreto plegamiento del tejido circundante. (I.N.G.O.)

F06_24_2.jpg (53270 bytes)

FIGURA 6.24.b: Corte radial de BMU (composición). Engrosamiento de la periféria y de la raíz de iris con extensión hacia cara posterior de la periferia corneal y parte anterior del cuerpo ciliar. La zona afectada (flechas) presenta unos bordes desflecados y una reflectividad media. A nivel de la lesión se observa una pérdida completa de la estructura normal del iris y de los procesos ciliares (C: Cuerpo ciliar, EE: Espolón escleral, C: Cristalino). (I.N.G.O.)

F06_24_3.jpg (53295 bytes)

FIGURA 6.24.c: Corte tangencial de BMU a nivel de iris periférico. Se aprecian los límites laterales de la lesión y el plegamiento superficial del iris circundante (I). La lesión tiene una banda de hiperreflectividad anterior superficial con un patrón lineal y una importante atenuación ecogénica (la línea hiperecogénica de la cápsula del cristalino (C) se pierde en esa zona). El iris está desestructurado a nivel de la lesión. (I.N.G.O.)

F06_24_4.jpg (60355 bytes)

FIGURA 6.24.d: Corte tangencial de BMU a nivel la raíz del iris. Se observan los límites (flechas) laterales de la lesión (L) y como ésta ocupa totalmente el ángulo a ese nivel. (C: Córnea). (I.N.G.O.)

F06_25_1.jpg (27961 bytes)

FIGURA 6.25.a: Pequeña tumoración pigmentada situada en la periferia del iris en el cuadrante temporal superior. (I.N.G.O.)

F06_25_2.jpg (61330 bytes)

FIGURA 6.25.b: Corte radial de BMU. Engrosamiento en la parte anterior del cuerpo ciliar que diseca la mitad anterior de la raíz del iris. La periferia del iris está abombada hacia adelante. La zona afectada tiene una reflectividad media baja que permite diferenciarla de los tejidos circundantes (flechas). (I.N.G.O.)

F06_25_3.jpg (64869 bytes)

FIGURA 6.25.c: Corte tangencial de BMU a nivel de los procesos ciliares. Se observa a nivel de la raíz del iris una zona engrosada de menor ecogenicidad que el tejido circundante, que está ocupando el ángulo. En esa zona se pierde la línea hiperreflectiva del epitelio pigmentario. En los procesos ciliares contíguos se observa un engrosamiento y desflecamiento de los bordes y menor reflectividad (flechas). (I.N.G.O.)

F06_25_4.jpg (59203 bytes)

FIGURA 6.25.d: Corte radial de BMU. Un control 12 meses después no demuestra cambios significativos en la exploración bioultrasónica.
Las características de la lesión y sobre todo sus dimensiones, valoradas mediante BMU, aconsejan su seguimiento. (I.N.G.O.)

F06_26_1.jpg (23419 bytes)

FIGURA 6.26.a: Pequeña tumoración pigmentada situada en la periferia del iris en el cuadrante nasal superior, con ligera hipopigmentación del tejido circundante. (I.N.G.O.)

F06_26_2.jpg (59696 bytes)

FIGURA 6.26.b: Corte radial de BMU. Se puede ver una tumoración que afecta a la raíz del iris ocluyendo el ángulo, procesos ciliares y parte anterior de cuerpo ciliar. Se visualiza el límite profundo de la lesión (flechas). La lesión tiene una reflectividad media con algunos puntos de hiperreflectividad en el interior. (CA: Cámara anterior; EE: Espolón escleral). Longitud del tumor: 2,8 mm). (I.N.G.O.)

F06_26_3.jpg (59896 bytes)

FIGURA 6.26.c: Un corte tangencial de BMU a nivel de la raíz del iris muestra la afectación del iris a ese nivel y de los procesos ciliares contíguos. Se pueden ver los límites laterales del tumor (L: Limbo; I: Iris, PC: Procesos ciliares). Ancho del tumor: 2,9 mm y altura 1,6 mm). (I.N.G.O.)

F06_26_4.jpg (53151 bytes)

FIGURA 6.26.d: Un corte tangencial a nivel de la coroides mas periférica contígua a la lesión, evidencia la no afectación de la coroides por la tumoración.
Las dimensiones de la lesión, valoradas mediante BMU, orientan al diagnóstico de nevus de cuerpo ciliar y aconsejan su seguimiento. (I.N.G.O.)

F06_27_1.jpg (26523 bytes)

FIGURA 6.27.a: Tumoración pigmentada, sobreelevada a nivel de la periferia del iris de 7 a 8 h. que afecta al ángulo. Pliegues en el estroma del iris próximo al tumor. (I.N.G.O.)

F06_27_2.jpg (44339 bytes)

FIGURA 6.27.b: Corte radial de BMU (composición). Masa a nivel del cuerpo ciliar que desplaza el cristalino (C) y diseca la raíz del iris (I) creciendo en cámara anterior. La lesión tiene una reflectividad interna media, puntos de hiperreflectividad y marcada atenuación ecogénica. Se aprecia el límite posterior del tumor (flecha) y tras él un desprendimiento de retina (DR) seroso localizado. (I.N.G.O.)

F06_27_3.jpg (57264 bytes)

FIGURA 6.27.c: Corte tangencial de BMU. Se aprecia una masa que diseca el iris (I) y crece por delante del mismo en la cámara anterior (CA). La lesión tiene una banda de hiperreflectividad anterior y produce una importante atenuación ecogénica posterior.(C: Córnea). (I.N.G.O.)

F06_27_4.jpg (58866 bytes)

FIGURA 6.27.d: En un corte tangencial mas periférico se aprecia la masa tras el iris que lo diseca y crece por delante del mismo en la cámara anterior hasta contactar con el endotelio corneal (C).
Las características y dimensiones del tumor hacen sospechar un melanoma de coroides, por lo que se realiza una iridociclectomía. El análisis histopatológico confirmó el diagnóstico (Melanoma de cuerpo ciliar de células fusiformes tipo B). (I.N.G.O.)

F06_27_5.jpg (22004 bytes)

FIGURA 6.27.e: Dos años después de la iridociclectomía el ojo permanece tranquilo y no se observa signos de crecimiento tumoral. Obsérvese la zona de iridectomía sectorial. (I.N.G.O.)

F06_27_6.jpg (54808 bytes)

FIGURA 6.27.f: Corte tangencial de BMU en la la zona de la iridociclectomía. No se observa iris ni cuerpo ciliar. La flecha señala la superficie escleral interna sin evidencia de restos tumorales. Se puede apreciar el cristalino opacificado (C). Controles sucesivos demostraron la ausencia de crecimiento tumoral. (I.N.G.O.)

F06_28_1.jpg (26573 bytes)

FIGURA 6.28.a: Masa pigmentada en la periferia del iris, en cuadrante nasal inferior del ojo derecho, y abombamiento anterior del iris circundante. (I.N.G.O.)

F06_28_2.jpg (38912 bytes)

FIGURA 6.28.b: Corte radial de BMU (composición de imágenes). Se observa una tumoración que ocupa el cuerpo ciliar (EE: Espolón escleral) y coroides periférica extendiéndose hacia cámara anterior e infiltrando (flecha) la superficie posterior del iris (I) y el cristalino (C) que está desplazado. La reflectividad de la lesión es media-alta y en su interior presenta lagunas hipoecogénicas.
Se decidió la enucleación ojo. La anatomía patológica confirmó el diagnóstico de melanoma de cuerpo ciliar. (I.N.G.O.)

A medida que el tamaño del tumor es mayor se distorsiona el aspecto del cuerpo ciliar y no se distinguen los procesos ciliares. En ocasiones el tumor diseca la raíz del iris y entra en cámara anterior y la BMU posibilita ver como el tumor se abre paso de la cámara posterior a la anterior (FIGS 6.25.b, 6.26.b y 6.27.b). Otras veces se evidencia una infiltración de la cara posterior del iris oculta a la exploración óptica. También confirma la existencia del desplazamiento del cristalino y la opacificación del mismo (FIGS 6.28.b y 6.29.a).

F06_29_1.jpg (57063 bytes)

FIGURA 6.29.a: Un corte de BMU a nivel pupilar muestra una masa que crece tras el iris (I) infiltrando su cara posterior y empujándolo hacia adelante. El cristalino (C) está desplazado hacia atrás (flecha). (I.N.G.O.)

F06_29_2.jpg (30840 bytes)

FIGURA 6.29.b: Corte radial de BMU (composición de imágenes). La masa tiene una reflectividad media-alta con atenuación ecogénica posterior. Ocupa el cuerpo ciliar (EE: Espolón escleral), y coroides periférica y penetra en cámara anterior infiltrando la cara posterior del iris. En su límite posterior presenta aspecto pediculado y se aprecia el cuello (flecha de izquierda) y una amplia base de implantación (flecha derecha). No es posible detectar el límite profundo del tumor porque rebasa la penetración de la BMU.
Se decidió la enucleación ojo. La anatomía patológica confirmó el diagnóstico de melanoma de cuerpo ciliar. (I.N.G.O.)

La información aportada por la BMU sobre la profundidad del tumor y sobre sus límites posteriores es muy importante para la planificación del tratamiento8,9. Si por el pequeño tamaño del tumor se decide no actuar, los controles periódicos con BMU permitirán conocer si el tumor crece o se mantiene estacionario (FIGS 6.25.b y 6.25.d). Si el tamaño es compatible con el abordaje quirúrgico (ciclectomía) la BMU permitirá situar las incisiones en el lugar adecuado. Asimismo, en el postoperatorio inmediato demostrará si la extirpación ha sido completa o si persisten restos tumorales y a medio y largo plazo permitirá controlar la aparición de recidivas (FIG 6.27.f). Cuando la BMU demuestra un tamaño tal que la ciclectomía es impracticable esa información será útil para justificar la enucleación del globo (FIGS 6.28.b y 6.29.b).

Cuando el tamaño del tumor es muy grande o cuando se extiende hacia atrás la exploración con la sonda de 50 MHz puede no tener suficiente penetración para detectar los límites posteriores del tumor. En estos casos es preferible usar frecuencias más bajas (I3-System ABD, 20 MHz, Innovating Sistem) para aumentar la penetración aunque se disminuya el tamaño y la resolución de la imagen.

 

TUMORES MELANOCÍTICOS DE RAÍZ DE IRIS Y CUERPO CILIAR. CASOS CLÍNICOS

CASO 23. Pequeña lesión pigmentada a nivel angular. La ecografía convencional no detecta la lesión.

CASO 24. Pequeña lesión pigmentada a nivel angular. La ecografía convencional no detecta la lesión.

CASO 25. Pequeña lesión pigmentada a nivel angular. La ecografía convencional no detecta la lesión.

CASO 26. Pequeña tumoración pigmentada en periferia del iris. La ecografía convencional no detecta la lesión.

 

TUMORES MELANOCÍTICOS DEL CUERPO CILIAR. CASOS CLÍNICOS

Caso 27. Paciente remitido por presentar una lesión pigmentada a nivel del cuadrante temporal inferior del ojo derecho. La ecografía convencional no detecta la lesión.

CASO 28. Melanoma de Cuerpo Ciliar con extensión a iris y coroides.

CASO 29. Melanoma amelanótico de Cuerpo Ciliar con extensión a iris y coroides.

 

III.3. Tumores no melanocíticos

Adenoma

El adenoma del cuerpo ciliar es un tumor benigno derivado del epitelio no pigmentado (Caso 30). Al crecer puede producir subluxación del cristalino, catarata y glaucoma. Esta última complicación obliga a su extirpación quirúrgica que puede ser practicada por vía externa (ciclectomía) o por vía interna (endoresección mediante vitrectomía).

La BMU permite detectar el tumor, precisar sus límites, conocer su evolución y planificar la cirugía (FIGS 6.30.c a 6.30.f).

F06_30_1.jpg (28676 bytes)

FIGURA 6.30.a: Masa sólida a nivel de cuerpo ciliar, ligeramente pigmentada que origina desplazamiento y opacificación del cristalino. (I.N.G.O.)

F06_30_2.jpg (35162 bytes)

FIGURA 6.30.b: Imagen de ecografía estandarizada. Masa sólida pediculada de reflectividad media alta localizada en la región mas anterior de la cavidad vítrea. (I.N.G.O.)

F06_30_3.jpg (65064 bytes)

FIGURA 6.30.c: Corte radial de BMU. Gran masa (T) pediculada de reflectividad media, originada a nivel del cuerpo ciliar. Se intuyen los límites anteriores y posteriores de la lesión (flechas) (E: Esclera). (I.N.G.O.)

F06_30_4.jpg (69025 bytes)

FIGURA 6.30.d: El tumor (T) empuja al iris hacia córnea (C), pero no existe aparente infiltración del mismo.
Se realiza endoresección. El informe anatomotatológico confirmó que se trataba de un adenoma de epitelio pigmentario no pigmentado de cuerpo ciliar. (I.N.G.O.)

F06_30_5.jpg (59169 bytes)

FIGURA 6.30.e: Tras la cirugía se observa la base de implantación del adenoma a nivel del cuerpo ciliar bien delimitada del tejido circundante que tiene un aspecto de habichuela (flechas). El iris (I) está sinequiado a la córnea (C). (I.N.G.O.)

F06_30_6.jpg (60157 bytes)

FIGURA 6.30.f: Dos años tras la intervención se advierte un pequeño crecimiento de la lesión (flecha). (I.N.G.O.)

 

Meduloepitelioma

El meduloepitelioma es el tumor congénito más frecuente del epitelio ciliar. En su crecimiento produce una alteración de la zónula cristaliniana y de la periferia del cristalino similar a un coloboma. Aparece como una masa blanquecina y puede originar desplazamiento del cristalino, catarata y una ocupación del espacio retrocristaliniano pudiendo ser confundido con un retinoblastoma (Caso 31). Ocasionalmente en su interior aparece cartílago o glía por lo que ha sido considerado como un teratoma. No produce metástasis pero localmente es muy invasivo, progresa lentamente pero de modo inexorable, infiltra el iris, la córnea y la esclera pudiendo exteriorizarse como una masa epibulbar10. Es un tumor propio de la infancia, siendo diagnosticado habitualmente antes de los tres años, pero existen casos en los que el tumor ha sido diagnosticado en edades más tardías como ocurre en el caso que presentamos (14 años).

La BMU permite detectar y localizar el tumor así como reconocer su carácter infiltrante. Contrariamente a lo que ocurre con los melanomas, los límites del tumor no aparecen con un perfil regular sino que muestran múltiples prolongaciones (FIGS 6.31.c-h).

F06_31_8.jpg (69064 bytes)

FIGURA 6.31.a: Meduloepitelioma. C. Ciliar - Iris. Aspecto preoperatorio (cortesía del Dr. J.L. Encinas. Hospital Puerta de Hierro de Madrid).

F06_31_7.jpg (46063 bytes)

FIGURA 6.31.b: Meduloepitelioma. C. Ciliar - Iris. Corte anatomopatológico (cortesía del Dr. J.L. Encinas. Hospital Puerta de Hierro de Madrid).

F06_31_1.jpg (61767 bytes)

FIGURA 6.31.c: Tumoración de reflectividad media-baja que afecta a cuerpo ciliar (EE: espolón escleral) e infiltra cara posterior del iris (flechas) (cortesía del Dr. J.L. Encinas. Hospital Puerta de Hierro de Madrid). (I.C.)

F06_31_2.jpg (65079 bytes)

FIGURA 6.31.d: A nivel de la cámara posterior se observa una lesión quística (flechas), entre iris (I) y cristalino (C), secundaria al tumor (cortesía del Dr. J.L. Encinas. Hospital Puerta de Hierro de Madrid). (I.C.)

F06_31_3.jpg (62509 bytes)

FIGURA 6.31.e: Se obsevan prolongaciones tumorales (flecha) hacia el cristalino (C) siguiendo las fibras zonulares (cortesía del Dr. J.L. Encinas. Hospital Puerta de Hierro de Madrid). (I.C.)

F06_31_4.jpg (65730 bytes)

FIGURA 6.31.f: El límite posterior del tumor no es redondeado como en el caso de los melanomas. Se aprecian una ramificación del mismo (flecha) y un espacio quístico en el interior (cortesía del Dr. J.L. Encinas. Hospital Puerta de Hierro de Madrid). (I.C.)

F06_31_5.jpg (69100 bytes)

FIGURA 6.31.g: Corte a nivel de coroides periférica. La masa muestra reflectividad media y presenta numerosos espacios quísticos en su interior. Se puede observar la línea hiperreflectiva del epitelio pigmentario del cuerpo ciliar (EP) (cortesía del Dr. J.L. Encinas. Hospital Puerta de Hierro de Madrid). (I.C.)

F06_31_6.jpg (71332 bytes)

FIGURA 6.31.h: Corte a nivel de cuerpo ciliar (CC). Se observa irregularidad en su reflectividad interna. La línea del epitelio pigmentario está intacta, pero no se puede descartar infiltración del cuerpo ciliar en la pars plicata (cortesía del Dr. J.L. Encinas. Hospital Puerta de Hierro de Madrid). (I.C.)

 

TUMORES NO MELANOCÍTICOS DEL CUERPO CILIAR. CASOS CLÍNICOS

CASO 30. Adenoma de cuerpo ciliar.

CASO 31. Meduloepitelioma.

 

IV. TUMORES DE LA PERIFERIA DE LA COROIDES. MELANOMAS

Los melanomas de la periferia de la coroides participan de las características generales de los melanomas de la úvea, pero plantean dificultades especiales en lo que se refiere a su localización y delimitación. Esta delimitación tiene una gran importancia cuando se ha decidido el tratamiento con radioterapia del tumor mediante la colocación de una placa de I125. La ecografía convencional carece con frecuencia de resolución suficiente para precisar con certeza donde termina el tejido tumoral. La oftalmoscopia binocular y la biomicroscopia óptica con la lente de Goldmann reconocen con dificultad el límite más anterior del tumor y la transiluminación puede estar influenciada por variables como el contenido en melanina del tumor o la existencia de una hemorragia.

La BMU ofrece imágenes muy precisas del borde anterior de estos tumores permitiendo conocer si invaden o no cuerpo ciliar o iris (Casos 32 a 37). Haberly y Pavling11 han demostrado la existencia de una excelente correlación entre imágenes bioultrasónicas y las imágenes histopatológicas en ojos afectos de melanomas de la coroides cuyo borde anterior llegaba hasta la ora serrata o hasta el cuerpo ciliar y que fueron enucleados.

La imagen de estas lesiones es de una masa sólida de reflectividad media, uniforme y con atenuación ecogénica posterior. En ocasiones se aprecian espacios quísticos en su interior (FIGS 6.32.b y 6.37.b), pequeños desprendimientos de coroides (FIG 6.32.c) y desprendimientos exudativos en los márgenes del tumor (FIG 6.34.c), similares a los descritos en ecografía estandarizada (FIG 6.34.a). La BMU puede también detectar puntos de exteriorización escleral del melanoma (FIG 6.37.d).

F06_32_1.jpg (19546 bytes)

FIGURA 6.32.a: Tumoración pigmentada tras cristalino en cuadrante temporal inferior. (I.N.G.O.)

F06_32_1.jpg (19546 bytes)

FIGURA 6.32.b: Corte radial de BMU (composición de imágenes). Tumoración de reflectividad media y homogénea que ocupa cuerpo ciliar extendiéndose hacia coroides periférica e infiltrando la cara posterior del iris (flechas derechas). En el límite posterior se observa un pequeño desprendimiento coroideo (flecha izquierda). Se detecta el límite profundo de la lesión (flechas inferiores). (I.N.G.O.)

F06_32_1.jpg (19546 bytes)

FIGURA 6.32.c: En otra sección vemos un desprendimiento de coroides (flechas) subyacente a la tumoración. (EE: Espolón escleral). (I.N.G.O.)

F06_32_1.jpg (19546 bytes)

FIGURA 6.32.d: Un corte de BMU en una zona sin afectación aparente muestra un encurvamiento anterior de la base del iris e infiltración de la cara posterior del mismo.
Se decidió la enucleación del globo ocular. La anatomía patológica confirmó el diagnóstico de melanoma de coroides (tipo epitelioide). (I.N.G.O.)

F06_32_1.jpg (19546 bytes)

FIGURA 6.33.a: La ecografía convencional (corte transverso) detecta una masa de reflectividad media y uniforme compatible con melanoma de coroides pero su localización no permite precisar adecuadamente el borde anterior. (I.N.G.O.)

F06_32_1.jpg (19546 bytes)

FIGURA 6.33.b: Corte radial de BMU (composición de imágenes). Masa tumoral de reflectividad medio-baja, uniforme, que se extiende desde coroides periférica e infiltra (flechas) la raíz del iris (I) (EE: Espolón escleral). (I.N.G.O.)

F06_32_1.jpg (19546 bytes)

FIGURA 6.33.c: Detalle de la extensión anterior del tumor. Se decidió la enucleación ojo. La anatomía patológica confirmó el diagnóstico de melanoma de coroides. (I.N.G.O.)

F06_32_1.jpg (19546 bytes)

FIGURA 6.33.d: Corte anatómico del globo. La imagen del tumor y las estructuras vecinas es muy similar a la observada mediante BMU, tanto en sus límites como en la homogeneidad de su estructura interna. (I.N.G.O.)

F06_32_1.jpg (19546 bytes)

FIGURA 6.34.a: La ecografía convencional detecta una masa compatible con melanoma de coroides (modo B: Aspecto pediculado, reflectividad media y uniforme y DR exudativo asocido (flecha). Modo A: Angulo Kapa. (I.N.G.O.)

F06_32_1.jpg (19546 bytes)

FIGURA 6.34.b: Corte radial de BMU (composición de imágenes). Masa de reflectividad baja, que ocupa la coroides periférica sin afectar al cuerpo ciliar (CC). En su límite anterior presenta espacios quísticos compatibles con desprendimiento de coroides localizado (flecha izquierda).
La BMU permitió valorar los límites de la lesión para colocar una placa de I125. (I.N.G.O.)

F06_32_1.jpg (19546 bytes)

FIGURA 6.34.c: En otra sección de la lesión se aprecia el límite posterior encurvado (flecha negra) y un DR exudativo adyacente (flecha blanca). (I.N.G.O.)

F06_32_1.jpg (19546 bytes)

FIGURA 6.35.a: En la ecografía convencional observamos un engrosamiento coroideo periférico. (I.N.G.O.)

F06_32_1.jpg (19546 bytes)

FIGURA 6.35.b: Corte radial de BMU (composición de imágenes). Tumor plano (T), de reflectividad media y homogénea, que se extiende de coroides periférica hasta cuerpo ciliar (EE: Espolón escleral) y produce una rotación anterior (flecha) de la base del iris y cuerpo ciliar, que provoca el cierre angular. No se observa infiltración aparente del iris (I)
Se decidió la enucleación ojo. La anatomía patológica confirmó el diagnóstico de melanoma de coroides. (I.N.G.O.)

F06_32_1.jpg (19546 bytes)

FIGURA 6.36.a: Tumor pigmentado en periferia inferior de iris y en cámara anterior. (I.N.G.O.)

F06_32_1.jpg (19546 bytes)

FIGURA 6.36.b: Corte radial de BMU (composición de imágenes). Tumor de coroides posterior, de reflectividad media que se extiende a cuerpo ciliar (flecha superior señala espolón) y crece en cámara anterior infiltrando iris (I). (I.N.G.O.)

F06_32_1.jpg (19546 bytes)

FIGURA 6.36.c: Imagen con sonda de 20 Mhz (IS): Se aprecia la invasión del cuerpo ciliar por el tumor (flecha señala limbo), y su crecimiento en cámara anterior (CA). (C: Córnea, L: Cristalino). Se decidió la enucleación ojo. La anatomía patológica confirmó el diagnóstico de melanoma de coroides. (I.N.G.O.)

F06_32_1.jpg (19546 bytes)

FIGURA 6.37.a: En la exploración con ecografía convencional observamos un melanoma de coroides de gran tamaño con dos mamelones y un DR exudativo asociado. La exploración no determina el límite anterior de la lesión. (I.N.G.O.)

F06_32_1.jpg (19546 bytes)

FIGURA 6.37.b: Corte radial de BMU (composición de imágenes). Se observa el límite anterior del melanoma que afecta al cuerpo ciliar desplazando el iris hacia adelante. Se observa un espacio quístico en su interior (flecha). (I.N.G.O.)

F06_32_1.jpg (19546 bytes)

FIGURA 6.37.c: Punto de hiperpigmentación a nivel escleral.

F06_32_1.jpg (19546 bytes)

FIGURA 6.37.d: La exploración a ese nivel muestra un nódulo escleral (flecha) con un contenido de menor reflectividad que la esclera circundante y similar a la del tumor (T).
Se decidió la enucleación ojo. La anatomía patológica confirmó el diagnóstico de melanoma de coroides.

 

MELANOMAS DE COROIDES PERIFÉRICA. CASOS CLÍNICOS

CASO 32. Masa retrocristaliniana originada en coroides periférica.

CASO 33. Melanoma de Coroides.

CASO 34. Melanoma de coroides periférica.

CASO 35. Melanoma de coroides periférica.

CASO 36. Melanoma de coroides que invade cámara anterior.

CASO 37. Melanoma de coroides posterior.

 

BIBLIOGRAFÍA

 1. Frazier S, Green RL. Ultrasound of the eye and orbita. Mosby. St. Louis 1992; 133.

 2. Shields JS. Primary cyst of the iris. Trans Am Ophthalmol Soc 1991; 97: 772.

 3. Yanoff M, Fine BS. Ocular Pathology. A Text and Atlas, end. Harper and Row. Philadelphia 1982; 405.

 4. Sidoti PA, Valencia M, Chen N, Baerveldt G, Green RL. Echographic evaluation of primary cysts of the iris pigment epitheliun. Am J Ophthalmol 1995; 120: 161-167.

 5. Shields JA, Shields CL. Intraocular Tumors. W.B. Saunders. Philadelphia 1992; 61-81.

 6. Pavlin CJ, McWhae JA, McGowan HD, Foster FS. Ultrasound biomicroscopy of anterior segment tumors. Ophthalmology 1992; 99: 1220-1228.

 7. Pavlin CJ, Foster FS. Ultrasonics Biomicroscopy of the eye. Springer-Verlag Publising. New York 1995; 98-123

 8. Jacobiec FA, Silbert J. Are most iris «melanomas» really nevy? A clinicopathological study of 189 lesions. Arch Ophthalmol 1981; 99: 2117-32.

 9. Shields JA, Shields CL. Intraocular Tumors. Saunders. Philadelphia 1992, 177.

10. Green WR. Neuroepithelial tumors of the ciliary body. In Spencer WH. Ophthamic Pathology: An Atlas and Text-book. 3rd ed, W.B. Saunders. Philadelphia 1985; II: 1247.

11. Maberly DA, Pavlin CJ, McGowan HD, Foster FS, Simpson ER. Ultrasound biomicroscopic imaging of the anterior aspec of peripheral choroidal melanoma. Am J Ophthalmol 1997; 123: 506-514.