ACTUALIZACIÓN  EN  CIRUGÍA  OFTÁLMICA  PEDIÁTRICA

ÍNDICE GENERAL


PARTE 2. GLAUCOMA

CAPÍTULO 6

GLAUCOMA PEDIÁTRICO (GP). I. CLASIFICACIÓN ETIOLÓGICA. INDICACIONES GENERALES DEL TRATAMIENTO

Jesús Peralta Calvo, José Abelairas Gómez, José M.ª Fernández Guardiola, Ernesto Sánchez Jacob

INTRODUCCIÓN

El glaucoma pediátrico puede ser clasificado de muy diversos modos, atendiendo a multitud de criterios. Con fines didácticos, nosotros preferimos dividirlo en dos grandes grupos:

1. Glaucoma primario: Es el que aparece clínicamente aislado, constituyendo una entidad por sí misma, sin unirse a otros síndromes ni a otras alteraciones oculares, salvo la malformación trabecular que origina el cuadro y las producidas como consecuencia de la hipertensión ocular. Este glaucoma se ha denominado tradicionalmente «congénito» (1), aunque en determinados países tiende a manifestarse en los primeros meses de vida, y está caracterizado por una trabeculodisgenesia aislada en la clasificación etiopatogénica más difundida actualmente, la de Hoskins (2).

2. Glaucoma secundario: Acompaña a otras malformaciones o alteraciones oculares, entre las que destacan:

  • Determinados síndromes con afectación multiorgánica como la aniridia, el síndrome de Axenfeld-Rieger, la anomalía de Peters tipo I y II, el síndrome de Lowe, el de Nance-Horan, el de Sturge-Weber, las neurofibromatosis.
  • Glaucomas que complican la evolución de determinados cuadros vitreorretinianos como la retinopatía del prematuro (RP), las displasias vitreorretinianas (Norrie) o la Persistencia de la Vasculatura Fetal (PVF), conduciendo al bloqueo angular por desplazamiento del diafragma irido-cristaliniano.
  • Glaucomas neovasculares como estadío final del desprendimiento retiniano de larga evolución, bien postraumático, bien secundario a alteraciones tales como la Vitreorretinopatía Exudativa Familiar (VREF), la enfermedad de Coats, o ciertos tumores como los hemangiomas capilares retinianos, el retinoblastoma y el meduloepitelioma.
  • Glaucomas secundarios a uveítis, por ángulo cerrado (sinequias iridianas posteriores y anteriores periféricas) o abierto (cortisónico, trabeculitis), que se ven principalmente en la Iridociclitis Crónica Juvenil y en la uveítis intermedia.
  • Glaucomas secundarios a la cirugía, particularmente a la de la catarata congénita, pudiendo tratarse bien de ángulos abiertos (cataratas nucleares en ojos microftálmicos), o bien cerrados (sinequias iridianas posteriores/anteriores periféricas).
  • Glaucomas por malposición cristaliniana, generalmente producidos por bloqueo pupilar y asociados a síndrome de Weill-Marchesani, Marfan u homocistinuria.
  • Glaucomas asociados a tumores iridianos, como el xantogranuloma juvenil y la leucemia.
  • Glaucomas postraumáticos complicando hifemas y generalmente asociados a una recesión angular.

Debe recordarse que ciertos glaucomas pediátricos secundarios pueden hacerse patentes al nacimiento, por lo que son, stricto sensu, «congénitos».

Para intentar reducir el confusionismo existente, denominaremos al primer grupo como glaucoma congénito primario (GCP). Este tipo de glaucoma merece un comentario aparte.

 

APROXIMACIÓN AL GLAUCOMA CONGÉNITO PRIMARIO

Es el glaucoma pediátrico más prevalente (3), y aunque en ciertos lugares tiende a aparecer en los primeros meses de vida (4), en España tiende a presentarse al nacimiento, según experiencia propia. Esto parece tener una importancia terapéutica fundamental, como se discutirá posteriormente.

Las contribuciones principales al conocimiento de la etiopatogenia del GCP se deben a los avances quirúrgicos. A finales del siglo XIX Tailor (5) y De Vicentiis (6) introdujeron una novedosa técnica quirúrgica para tratar el glaucoma del adulto: La goniotomía. El procedimiento no ofreció buenos resultados pero, modificada posteriormente por Barkan (7), supuso un cambio radical en el tratamiento y pronóstico del GCP. La eficacia de la goniotomía en el tratamiento del GCP ha quedado avalada (8-10), atribuyendo Barkan (11) y Worst (12) su mecanismo de acción a la sección de una delgada membrana («membrana de Barkan») que tapizaba la superficie trabecular. No ha podido demostrarse en ningún caso la existencia de dicha membrana. Anderson, en estudios anatomopatológicos, llegó a la conclusión de que el trabeculum del GCP es similar al de un feto de 7-8 meses de gestación, encontrándose las láminas trabeculares comprimidas por esta detención en el desarrollo (13). La sección del trabeculum en la goniotomía permitiría su expansión y permeabilización (figura 1).

06-01a.jpg (16183 bytes) 
Figura 1a. Goniotomía clásica con lente de Worst.

06-01b.jpg (12317 bytes) 
Figura 1b. Goniotomía clásica con lente de Swan-Jacob.

Smith (14) y Burian (15,16) descubrieron que la resistencia trabecular también podía vencerse mediante la trabeculotomía ab externo, con un acceso a través de la esclera al canal de Schlemm, que era seccionado junto al trabeculum. Esta técnica pronto ganaría numerosos adeptos (17-19).

Se considera que las dos técnicas son igualmente efectivas (20), si bien cada una tiene sus propios defensores (10,21). La goniotomía es un abordaje ab interno que requiere una córnea transparente y un entrenamiento especializado por parte del cirujano y sus ayudantes. Quizá por ello gana cierta preferencia la trabeculotomía en la actualidad como tratamiento inicial del GCP (22-23), bien como procedimiento exclusivo, bien unida a la trabeculectomía (24-26).

No obstante, Shaffer, estudiando durante varios años 287 ojos sometidos a goniotomía (27), concluyó que los resultados finales vienen condicionados por el momento del inicio de la clínica. Si el glaucoma pediátrico primario debuta entre el mes y los 24 meses de vida, el éxito del procedimiento alcanza el 90% —glaucoma «infantil» (25)—. Si debuta antes del mes —«congénito»— o después de los 24 meses —«juvenil»—, el éxito sólo llega al 30%. Estos resultados llevaron a Hoskins a proponer una clasificación anatómica del GCP (2) que pudiera explicar la disparidad de resultados de la goniotomía según el grado de malformación existente. Distingue entre:

  • Trabeculodisgenesia aislada, según el concepto de trabeculum fetal de Anderson, que responde a la goniotomía y trabeculotomía con elevado porcentaje de éxitos.
  • Iridotrabeculodisgenesia: Se asocian hipoplasia del estroma iridiano anterior y generalmente vasos iridianos anómalos. Son ojos con córneas opacas presentes al nacimiento y con PIOs muy elevadas. La respuesta a gonio y trabeculotomía es pobre.
  • Corneotrabeculodisgenesia: Agrupa a alteraciones concomitantes de la córnea periférica (síndrome de Axenfeld-Rieger) o central (anomalía de Peters). La respuesta a gonio y trabeculotomía es pobre.

Luntz (28) cree que el procedimiento indicado en estos dos últimos grupos es la cirugía filtrante, pudiendo también recomendarse las válvulas de derivación para el glaucoma. Parece, entonces, que la indicación quirúrgica en el GCP puede venir determinada por ciertos hallazgos clínicos e intraoperatorios.

 

INDICACIONES DE LOS DIFERENTES PROCEDIMIENTOS QUIRÚRGICOS

A continuación se ofrece un algoritmo aproximativo al tratamiento del glaucoma pediátrico en sus variantes más prevalentes. Glaucoma hace referencia aquí a una hipertensión intraocular mantenida, independientemente del daño papilar asociado. Este algoritmo está basado en la práctica clínica diaria y pretende reflejar nuestra experiencia quirúrgica en el Hospital La Paz de Madrid.

1. Glaucoma congénito primario (GCP) (figura 2): El tratamiento inicial viene condicionado por la transparencia corneal y los hallazgos gonioscópicos, como ha quedado expuesto previamente. SI LA OPACIDAD CORNEAL IMPIDE VISUALIZAR LOS DETALLES DEL TRABECULUM, INCLUSO TRAS DESEPITELIZACIÓN, NO ESTÁ INDICADA LA GONIOTOMÍA, que puede suponer un daño yatrogénico severo. Si la gonioscopia revela malformaciones iridianas asociadas, generalmente unidas a un «ángulo cicatricial» (28), puede ser más recomendable la cirugía combinada ab externo (trabeculectomía más trabeculotomía). En raras ocasiones practicamos trabeculotomía aislada. El fracaso del procedimiento empleado dictará una nueva indicación quirúrgica. La goniotomía pierde eficacia en las repeticiones (1); la trabeculectomía repetida compromete decisivamente nuevas trabeculectomías al producirse una cicatrización de los tejidos epiesclerales. La solución puede estar en el empleo de antimitóticos o, como método más seguro y eficaz, un dispositivo de derivación para el glaucoma. Nosotros empleamos la Válvula de Ahmed para el Glaucoma (VAG).

06-02.gif (8128 bytes) 
Figura 2. Algoritmo para el tratamiento del GCP.
GCP: Glaucoma Congénito Primario; Trabeculod: Trabeculodisgenesia; Iridotrabeculod: Iridotrabeculodisgenesia; TE: Trabeculectomía; TT: Trabeculotomía: GT: Goniotomía; VAG: Válvula de Ahmed para el Glaucoma.

2. Glaucoma asociado con la aniridia (figura 3): El mecanismo de glaucoma parece ser la aposición de primordios iridianos al trabeculum (29). Se considera que el glaucoma en la aniridia es difícil de controlar, por lo que Walton aboga por una profilaxis mediante goniotomía (29,30). Si se desarrolla el glaucoma, se trata médicamente y, si debe intervenirse, el tratamiento que parece más eficaz es la trabeculotomía (31,32). Tanto en la gonio como en la trabeculotomía el riesgo de lesionar el cristalino es elevado, por lo que se puede valorar una trabeculectomía inicialmente o VAG (33).

06-03.jpg (10496 bytes) 
Figura 3. Aniridia congénita.

3. Glaucoma asociado con el síndrome de Axenfeld-Rieger (figura 4): Se atribuye a una detención del desarrollo angular con mantenimiento del endotelio primordial (34,35), asociándose en los casos más severos una hipoplasia del canal de Schlemm (36). Estos ojos pueden manifestar un glaucoma connatal, y el tratamiento preferible es la trabeculectomía o VAG. Si el debut se produce en la infancia o adolescencia, se comienza por el tratamiento médico. Si no se controla adecuadamente, se procede a trabeculectomía, preferiblemente asociada a antimetabolitos (37) o VAG.

06-04.jpg (9567 bytes) 
Figura 4. Síndrome de Axenfeld-Rieger.

4. Glaucoma asociado con la anomalía de Peters (figura 5): Parece que la alteración subyacente es un prematuro envejecimiento trabecular (38). El glaucoma puede presentarse al nacimiento o más adelante (1), y frecuentemente se relaciona con la queratoplastia penetrante (39,40). El glaucoma connatal se tratará quirúrgicamente, principalmente mediante trabeculectomía (41) o una válvula (28). Si aparece en los primeros años de vida o tras queratoplastia, puede intentarse el tratamiento médico primero, aunque con gran probabilidad requiera cirugía en algún momento, aplicándose las indicaciones previas.

06-05.jpg (9470 bytes) 
Figura 5. Anomalía de Peters.

5. Glaucoma asociado con el síndrome de Sturge-Weber (figura 6) —y anomalías relacionadas, como el síndrome de Klippel-Trenaunay-Weber (41) y el «cutis marmorata telangiectatica congenita» (1)—. Parece que el glaucoma connatal se relaciona con una trabeculodisgenesia (41). El desarrollado más tardíamente se debería a una presión epiescleral elevada (42). Es conocida la frecuencia de complicaciones secundarias a la cirugía filtrante en el Sturge-Weber, particularmente la hemorragia coroidea expulsiva y el desprendimiento coroideo (43), atribuibles ambos a una presión epiescleral elevada (41,42). Si existe un glaucoma connatal, frecuentemente con ojo buftálmico, es recomendable practicar una gonioscopia intraoperatoria y realizar goniotomía si existen indicios de trabeculodisgenesia. Varios autores consideran de elección combinar trabeculotomía con trabeculectomía en la cirugía de este síndrome (44,45), preferentemente en el glaucoma neonatal (46). Si el glaucoma aparece más tardíamente, se puede plantear inicialmente el tratamiento médico. Si no es suficiente, se valorará la trabeculectomía, generalmente unida a esclerotomías posteriores profilácticas con el fin de minimizar las complicaciones asociadas a desprendimientos coroideos (47), aunque recomendamos la VAG por su notable eficacia en la prevención de dichas complicaciones y facilidad de manejo (48).

06-06.jpg (13571 bytes) 
Figura 6. Síndrome de Sturge-Weber.

6. Glaucoma asociado con la neurofibromatosis: Presenta también dos tipos de glaucoma. En el connatal parece existir una detención del desarrollo trabecular (1). En el glaucoma tardío se produce una compresión trabecular por tejido uveal hamartomatoso (41). Por tanto, en el glaucoma precoz se pueden aplicar las mismas técnicas que en el GCP tras realizar gonioscopia y comprobar la presencia de trabeculodisgenesia. En el tardío se comienza por el tratamiento médico y, si es insuficiente, se plantea trabeculectomía o VAG.

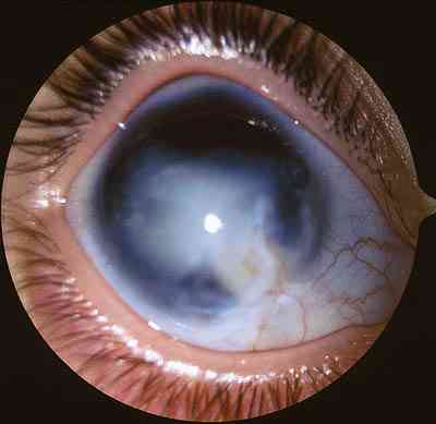
7. Glaucoma asociado con síndrome de Lowe (figura 7): El síndrome oculocerebrorrenal de Lowe, de herencia ligada al sexo, se caracteriza oftalmológicamente por cataratas (100% de los casos) y un glaucoma aproximadamente en el 70% de los niños, de etiología idiopática y de difícil control (49). Pueden plantearse todas las técnicas quirúrgicas pero, al ser frecuentemente afáquicos, es muy recomendable la VAG.

06-07.jpg (12508 bytes) 
Figura 7. Síndrome de Lowe.

8. Glaucomas de ángulo cerrado secundarios. Se pueden agrupar principalmente en:

A. Secundarios a alteraciones vitreorretinianas como la Retinopatía del Prematuro (RP) avanzada, la Persistencia de la Vasculatura Fetal (PVF) y las displasias vitreorretinianas. La intervención precoz puede impedir estas complicaciones en la RP (50-52) y en la PVF (53), llegando a establecer resultados funcionales en las dos entidades (50-53). En los casos avanzados el glaucoma se produce por desplazamiento del diafragma iridocristaliniano, bien por el desprendimiento retiniano completo de los grados 5 de RP o bien por la tracción ejercida por la PVF asociada o no a catarata intumescente (49). Si no existe posibilidad visual se procede a lensectomía más iridectomía. Es conveniente practicar gonioscopia: Si se evidencian sinequias anteriores periféricas (SAP) se puede asociar una goniosinequialisis (cuando se cree que la evolución del proceso es corta), e incluso pensar en trabeculectomía o VAG cuando existe algún resto visual. Muchos de estos ojos están abocados a la atrofia dada su grave desestructuración (figura 8).

06-08.jpg (13078 bytes) 
Figura 8. Grado 5 de RP con glaucoma de ángulo cerrado.

B. Secundarios a uveítis (principalmente la Iridociclitis Crónica Juvenil): Son raros y se producen por sinequias iridianas posteriores. Se puede proceder a iridectomía, aunque por lo general desarrollarán otros problemas como cataratas y glaucomas crónicos de ángulo abierto.

C. Secundarios a cirugía intraocular previa (generalmente de la catarata): Pueden complicar todas las técnicas, pero es más frecuente verlos tras extracciones extracapsulares de las cataratas con/sin capsulotomía posterior y de deben a sinequias iridianas a restos capsulares o a hialoides. Cuando se diagnostica el problema generalmente no es efectiva la iridectomía aislada, por presencia de sinequias anteriores. Recomendamos practicar iridectomía periférica, sinequiotomías posteriores, vitrectomía si existe vítreo en cámara anterior y gonioscopia intraoperatoria: Si se confirman sinequias anteriores periféricas en más de 180° de circunferencia, recomendamos intento de goniosinequialisis, que puede ser efectiva si la evolución del proceso es inferior al año (54). Si existen dudas acerca de la necesidad de cirugía filtrante, recomendamos VAG.

El glaucoma en la queratoplastia penetrante pediátrica se asocia a anomalías angulares congénitas y/o a SAP. Se previene y trata principalmente mediante VAG. Temporalmente puede emplearse tratamiento médico.

D. Glaucomas neovasculares evolucionados: Complican los procesos isquémicos y/o desprendimientos retinianos de larga evolución —p.e. la Vitreorretinopatía Exudativa Familiar (VREF) (55)— y también a ciertos tumores, particularmente el retinoblastoma y el meduloepitelioma (56,57). En el caso de las retinopatías se puede intentar un tratamiento precoz como la panfotocoagulación en una retinopatía con isquemia periférica asociada a Incontinentia Pigmenti o una VREF, o bien proceder a un vitrectomía si existe ya un desprendimiento retiniano. En los tumores infantiles se considera que la presencia de un glaucoma es sinónimo de enucleación (56).

E. Secundarios a dislocación cristaliniana: Puede ser de origen traumático o bien asociada a síndromes típicos como el Weill-Marchesani o el Marfan (58). El glaucoma se produce por bloqueo pupilar ocasionado por el cristalino en su desplazamiento, pudiendo estar indicada la iridectomía (59). Sin embargo, parece más lógico actualmente prevenir otras posibles complicaciones mediante la lensectomía y vitrectomía (no se puede conservar la cápsula cristaliniana), asociando generalmente iridectomía.

9. Glaucomas de ángulo abierto secundarios: Se pueden agrupar principalmente en:

A. Secundarios a uveítis: El origen de una hipertensión intraocular crónica frecuentemente es especulativo, pero parece relacionarse con un daño trabecular producido por células y mediadores inflamatorios, así como por los corticoides utilizados en la terapia de estas patologías. Este tipo de glaucomas se ven principalmente en la Iridociclitis Crónica Juvenil, asociada o no a artritis, y en la uveítis intermedia (pars planitis). Si la hipertensión no se controla adecuadamente con tratamiento médico se puede intentar la trabeculodiálisis, técnica derivada de la goniotomía (60), aunque recomendamos vivamente el uso de la VAG (61).

B. Secundarios a cirugía intraocular previa: Suele ser más frecuente tras cirugía de cataratas nucleares en ojos microftálmicos, sin que se haya dilucidado el mecanismo último (62). Se presenta generalmente en la adolescencia o juventud. Si no se controla adecuadamente con tratamiento médico se puede intentar trabeculectomía, aunque recomendamos VAG.

C. Glaucomas asociados a tumores iridianos. Se dan principalmente en dos entidades:

Xantogranuloma juvenil (figura 9) (63): Tumor de células histiocitarias de tipo no-Langerhans, cuando se localiza en el iris se caracteriza por originar hifemas espontáneos con hipertensión intraocular. Se trata mediante corticoterapia tópica-periocular-sistémica, asociando medicación antiglaucomatosa. En raras ocasiones debe recurrirse a la radioterapia externa, a dosis bajas.

06-09.jpg (16328 bytes) 
Figura 9. Xantogranuloma juvenil.

Leucemias, típicamente en una recurrencia (64): Tiende a presentarse como una masa iridiana asociada a signos inflamatorios, hipopión gris e hipertensión intraocular. El tratamiento consiste en corticoterapia tópica-periocular y medicación antiglaucomatosa, si bien debe reinducirse la quimioterapia y se asocia radioterapia externa en el ojo afecto, a razón de unos 3.000 cGy.

D. Glaucomas asociados a traumatismos oculares: Es muy frecuente y conocida la hipertensión intraocular asociada a hifemas, generalmente de gran tamaño y/o resangrados, pudiendo requerir el lavado de cámara anterior por este motivo. El glaucoma crónico postraumático parece íntimamente correlacionado con la extensión de la recesión angular (65) y es especialmente resistente al tratamiento médico. Recomendamos el empleo de VAG.

 

BIBLIOGRAFÍA

  1. Russell-Eggitt. Childhood glaucoma. In Taylor D ed: Paediatric Ophthalmology. London: Blackwell Science; 1997; 477-497.
  2. Hoskins HD Jr, Shaffer RN, Hetherington J. Anatomical classification of developmental glaucomas. Arch Ophthalmol 1984; 102: 1.331-1.334.
  3. Miller SJH. Genetic aspects of glaucoma. Trans Ophthalmol Soc UK 1962; 81: 425-434.
  4. Morin JD, Merin S, Sheppard RW. Primary congenital glaucoma; a survey. Canad J Ophthalmol 1974; 9: 17-22.
  5. Tailor U. Sulla incisione dell´angolo irideo (contribuzione alla cura del glaucoma). Ann Ottalmol 1891; 20: 117-127.
  6. De Vicentiis C. Sulla cosidetta «sclerotomia» interna. In: Lavori della Clinica Oculistica dell´Università di Napoli. Napoli: Pasquale V, 1894-1896; 227-235.
  7. Barkan O. Technic of goniotomy. Arch Ophthalmol 1938; 19: 217-223.
  8. Rice NSC. The surgical management of the congenital glaucomas. Aust J Ophthalmol 1977; 5: 174-179.
  9. Draeger J, Wirt H, Ahrens V. Long-term results following goniotomy in congenital glaucoma. Klin Monatsbl Augenheilkd 1984; 185: 481-489.
  10. Russell-Eggitt MI, Rice NS, Jay B, Wyse RK. Relapse following goniotomy for congenital glaucoma due to trabecular dysgenesis. Eye 1992; 6: 197-200.
  11. Barkan O. Pathogenesis of congenital glaucoma: gonioscopic and anatomic observations of the anterior chamber in the normal eye and in congenital glaucoma. Am J Ophthalmol 1955; 40: 1-15.
  12. Worst JG. Congenital glaucoma. Remarks on the aspect of chamber angle, ontogenic and pathogenetic background, and mode of action of goniotomy. Invest Ophthalmol 1968; 7: 127-134.
  13. Anderson DR. The development of the trabecular meshwork and its abnormality in primary infantile glaucoma. Trans AM Ophthalmol Soc 1981; 79: 458-485.
  14. Smith R. A new technique for opening the canal of Schlemm. Preliminary report. Br J Opthalmol 1960; 44: 370-373.
  15. Burian HM. A case of Marfan´s syndrome with bilateral glaucoma with a description of a new type of operation for developmental glaucoma (trabeculotomy ab externo). Am J Ophthalmol 1960; 50: 1.187-1.192.
  16. Burian HM, Allen L. Trabeculotomy ab externo. A new glaucoma operation: Technique and results of experimental surgery. Am J Ophthalmol 1962; 53: 19-26.
  17. Mc Pherson SD Jr. Results of external trabeculotomy. Am J Ophthalmol 1973; 76: 918-920.
  18. Mc Pherson SD Jr, Mc Farland D. External trabeculotomy for developmental glaucoma. Ophthal-mology 1980; 87: 302-305.
  19. Luntz MH. Primary buphthalmos (infantile glaucoma) treated by trabeculotomy ab externo. S Afr Arch Ophthalmol 1974; 2: 319-333.
  20. Anderson DR. Trabeculotomy compared to goniotomy for glaucoma in children. Ophthalmology 1983; 90: 805-806.
  21. Luntz MH. The advantages of trabeculotomy over goniotomy. J Pediatr Ophthalmol Strabismus 1984; 21: 150-153.
  22. Wada Y, Nakatsu A, Kondo T. Long-term results of trabeculotomy ab externo. Ophthalmic Surg 1994; 25: 317-320.
  23. Meyer G, Schwenn O, Pfeiffer N, Grehn F. Trabeculotomy in congenital glaucoma. Graefes Arch Clin Exp Ophthalmol 2000; 238: 207-213.
  24. Elder MJ. Combined trabeculotomy-trabeculectomy compared with primary trabeculectomy for congenital glaucoma. Br J Opthalmol 1994; 78: 745-748.
  25. Mandal AK, Naduvilath TJ, Jayagandan A. Surgical results of combined trabeculotomy-trabeculectomy for developmental glaucoma. Ophthalmology 1998; 105: 974-982.
  26. Mullaney PB, Selleck LVN, Al-Awad A, Al-Mesfer S, Zwann J. Combined trabeculotomy and trabeculectomy as an initial procedure in uncomplicated congenital glaucoma. Arch Ophthalmol 1999; 117: 457-460.
  27. Shaffer RN. Prognosis of goniotomy in primary infantile glaucoma (trabeculodysgenesis). Trans Am Ophthalmol Soc 1982; 80: 321-325.
  28. Luntz MH, Harrison R. Surgery for congenital glaucoma. In: Ritch R, Shields MB, Krupin T eds. The glaucomas. St Louis: Mosby; 1996; vol. III: 1.761-1.781.
  29. Walton DS. Aniridic glaucoma: the results of gonio-surgery to prevent and treat this problem. Trans Am Ophthalmol Soc 1986; 84: 59-70.
  30. Chen TC, Walton DS. Goniosurgery for prevention of aniridic glaucoma. Arch Ophthalmol 1999; 117: 1.144-1.148.
  31. Hoskins HD Jr, Shaffer RN, Hetherington J. Goniotomy vs trabeculotomy. J Pediatr Ophthalmol Strabismus 1984; 21: 153-158.
  32. Adachi M, Dickens CJ, Hetherington J Jr, Hoskins HD Jr, Iwach AG, Wong PC, Nguyen N, Ma AS. Clinical experience of trabeculotomy for the surgical treatment of aniridic glaucoma. Ophthalmology 1997; 104: 2.121-2.125.
  33. Wiggings R, Tomey K. The results of glaucoma surgery in aniridia. Arch Ophthalmol 1992; 110: 503-505.
  34. Shields MB. Axenfeld-Rieger syndrome: a theory of mechanism and distinctions from the iridocorneal endothelial syndrome. Trans Am Ophthalmol Soc 1983; 81: 736-784.
  35. Shields MB, Buckley E, Klintword GK, Tresher R. Axenfeld-Rieger syndrome. A spectrum of developmental disorders. Surv Ophthalmol 1985; 29: 387-409.
  36. Shields MB. Axenfeld-Rieger syndrome. In: Ritch R, Shields MB, Krupin T eds. The glaucomas. St Louis: Mosby; 1996; vol. III: 875-885.
  37. Mandal AK, Prasad K, Naduvilath TJ. Surgical results and complications of mitomycin C-augmented trabeculectomy in refractory developmental glaucoma. Ophthalmic Surg Lasers 1999; 30: 473-480.
  38. Heath DH, Shields MB. Glaucoma and Peters´ anomaly. A clinicopathologic case report. Graefes Arch Clin Esp Ophthalmol 1991; 229: 277-280.
  39. Parmley VC, Stonecipher KG, Rowsey JJ. Peters´ anomaly: A review of 26 penetrating keratoplasties in infants. Ophthalmic Surg 1993; 24: 31-35.
  40. Althaus C, Sundmacher R. Keratoplasty in newborns with Peters' anomaly. Ger J Ophthalmol 1996; 5: 31-35.
  41. Weiss JS, Ritch R. Glaucoma in the phakomatoses. In: Ritch R, Shields MB, Krupin T eds. The glaucomas. St Louis: Mosby; 1996; vol. II: 899-924.
  42. Jorgensen JS, Guthoff R. Sturge-Weber syndrome: glaucoma with elevated episcleral venous pressure. Klin Monatsbl Augenheilkd 1987; 191: 275-278.
  43. Theodossiadis G, Damanakis A, Koutsandrea C. Choroid effusion in an antiglaucoma operation in a child with Sturge-Weber syndrome. Klin Monatsbl Augenheilkd 1985; 186: 300-302.
  44. Board RJ, Shields MB. Combined trabeculotomy-trabeculectomy for the management of glaucoma associated with Sturge-Weber syndrome. Ophthalmic Surg 1981; 12: 813-817.
  45. Agarwal HC, Sandramouli S, Sihota R, Sood NN. Sturge-Weber syndrome: management of glaucoma with combined trabeculotomy and trabeculectomy. Ophthalmic Surg 1993; 24: 399-402.
  46. Mandal AK. Primary combined trabeculotomy- trabeculectomy for early-onset glaucoma in Sturge-Weber syndrome. Ophthalmology 1999; 106: 1.621-1.627.
  47. Lytle RA, Thomas JV, Simmons RJ. Glaucoma surgical techniques in eyes with enlarged epiescleral vessels. In: Thomas JV ed. Glaucoma surgery. St Louis: Mosby-Year Book; 1992; 235-243.
  48. Hamush NG, Coleman AL, Wilson MR. Ahmed glaucoma valve implant for the management of glaucoma in Sturge-Weber syndrome. Am J Ophthalmol 1999; 128: 758-760.
  49. Cantor LB. Glaucoma associated with congenital disorders. In: Ritch R, Shields MB, Krupin T eds. The glaucomas. St Louis: Mosby; 1996; vol. II: 925-954.
  50. Cryotherapy for Retinopathy of Prematurity Cooperative Group. Multicenter Trial of Cryotherapy for Retinopathy of Prematurity: Snellen visual acuity and structural outcome at 51/2 years after randomization. Arch Ophthalmol 1996; 114: 417-424.
  51. White JE, Repka MX. Randomized comparison of diode laser photocoagulation versus cryotherapy for threshold retinopathy of prematurity: 3-year outcome. J Pediatr Ophthalmol Strabismus 1997; 34: 83-87.
  52. Trese MT, Droste PJ. Long-term postoperative results of a consecutive series of stages 4 and 5 retinopathy of prematurity. Ophthalmology 1998; 105: 992-997.
  53. Dass AB, Trese MT. Surgical results of Persistent Hyperplastic Primary Vitreous. Ophthalmology 1999; 106: 280-284.
  54. Sharpe ED, Thomas JV, Simmons RJ. Goniosynechialysis. In: Thomas JV ed. Glaucoma surgery. St Louis: Mosby-Year Book; 1992; 245-249.
  55. Pendergast SD, Trese MT. Familial Exudative Vitreoretinopathy. Results of surgical treatment. Ophthalmology 1998;105: 1.015-1.023.
  56. Shields JA, Shields C, Shields MB. Glaucoma associated with intraocular tumors. In: Ritch R, Shields MB, Krupin T eds. The glaucomas. St Louis: Mosby; 1996; vol. II: 1.131-1.139.
  57. Shields JA, Eagle RC, Shields C, De Potter P. Congenital neoplasm of the nonpigmented ciliary epithelium (medulloepithelioma). Ophthalmology 1996; 103: 1.998-2.006.
  58. Lambert S. Lens. In Taylor D ed: Paediatric Ophthalmology. London: Blackwell Science; 1997; 445-476.
  59. Liebmann JM, Ritch R. Glaucoma assiciated with lens intumescence and dislocation. In: Ritch R, Shields MB, Krupin T eds. The glaucomas. St Louis: Mosby; 1996; vol. II: 1.033-1.053.
  60. Hoskins DH Jr, Kass M. Becker - Shaffers´ diagnosis and therapy of the glaucomas. 6.ª ed. St Louis: Mosby; 1989; 616.
  61. Da Mata A, Burk SE, Netland PA, Baltatzis S, Chisten W, Foster CS. Management of uveitic glaucoma with Ahmed glaucoma valve implantation. Ophthalmology 1999; 2.168-2.172.
  62. Johnson DA, Parks MM. Cataracts in childhood: Prognosis and complications. Semin Ophthalmol 1991; 6: 201-211.
  63. Lyons C, Rootman J. Histiocytic, haematopoietic and lymphoproliferative disorders. In Taylor D ed: Paediatric Ophthalmology. London: Blackwell Science; 1997; 356-365.
  64. Taylor D. Leukaemia. In Taylor D ed: Paediatric Ophthalmology. London: Blackwell Science; 1997; 816-827.
  65. Mermoud A, Heuer DK. Glaucoma associated with trauma. In: Ritch R, Shields MB, Krupin T eds. The glaucomas. St Louis: Mosby; 1996; vol. II: 1.259-1.275.

ÍNDICE GENERAL