ACTUALIZACIÓN  EN  CIRUGÍA  OFTÁLMICA  PEDIÁTRICA

ÍNDICE GENERAL


PARTE 2. GLAUCOMA

CAPÍTULO 8

GLAUCOMA PEDIÁTRICO (GP). III. CIRUGÍA FILTRANTE: TRABECULECTOMÍA Y ANTIMITÓTICOS

Jesús Peralta Calvo, José Abelairas Gómez, José M.ª Fernández Guardiola, Ernesto Sánchez Jacob

INTRODUCCIÓN

Tradicionalmente se ha considerado la cirugía filtrante, y particularmente la trabeculectomía, como una cirugía con bajo porcentaje de éxitos en el GP (1-3). No obstante, en la actualidad algunos investigadores están obteniendo resultados satisfactorios con la trabeculectomía como tratamiento inicial en el glaucoma congénito primario —GCP— (4-7). Parece que existen ciertos factores que condicionan un resultado desfavorable en la trabeculectomía del GP, principalmente las cirugías previas (8). De este modo, la trabeculectomía podría ofrecer mejores resultados en ojos no intervenidos. Luntz (9) propone abiertamente su empleo en todos los casos de glaucoma congénito primario no debidos a una trabeculodisgenesia aislada. Pero en la mayoría de los grupos de trabajo la trabeculectomía es la cirugía que se emplea cuando han fracasado la gonio o trabeculotomía.

Como queda referido en el primer capítulo acerca del GP, la trabeculectomía es el tratamiento de elección en muchos tipos de glaucomas secundarios, particularmente los unidos a determinados síndromes (síndrome de Axenfeld-Rieger, anomalía de Peters), o alteraciones oculares secundarias a la cirugía, traumatismos o uveítis.

La trabeculectomía, por todo lo anterior, se realiza frecuentemente en ojos poliintervenidos de glaucoma sin control tensional adecuado (glaucomas refractarios) o afectos de procesos que pueden afectar negativamente a la supervivencia de la fístula (p.e. uveítis, afaquia, queratoplastia, angiomas epiesclerales, hamartomatosis). En los últimos años se ha intentado mejorar el pronóstico de la cirugía filtrante en estos globos mediante el empleo de antimetabolitos (10-17) y la utilización de dispositivos de derivación para el glaucoma (18) —capítulo siguiente—.

 

INDICACIONES

En resumen, las indicaciones de la trabeculectomía en el GP pueden resumirse así:

A) GCP: Ver el apartado sobre indicaciones de los diferentes procedimientos quirúrgicos en el capítulo introductorio.

Actualmente recomendamos trabeculectomía unida a trabeculotomía como procedimiento inicial en los ojos con edema corneal moderado-severo que impida visualizar los detalles trabeculares (19-21), y en los casos en que se aprecie una iridotrabeculodisgenesia.

Si la cirugía combinada no ha dado resultado, se procede a nueva trabeculectomía. Antes de indicar una tercera trabeculectomía indicaríamos válvula de Ahmed para el glaucoma (VAG).

Si el procedimiento inicial ha sido una goniotomía, sin resultado satisfactorio, el segundo puede ser una cirugía combinada (puede indicarse también una nueva goniotomía). Si fracasa la combinada, se indicaría la segunda trabeculectomía.

B) GP secundario: Está indicada inicialmente en todos los glaucomas pediátricos secundarios sin evidencia de trabeculodisgenesia. Estos glaucomas no son congénitos y se ven en diferentes síndromes y enfermedades oculares ampliamente comentados en el capítulo introductorio. En la mayoría de ellos preferimos actualmente el empleo de la VAG. Algunos grupos de trabajo recomiendan cirugía combinada trabeculectomía-trabeculotomía en el síndrome de Sturge-Weber (22-24), pero creemos especialmente indicada la implantación de VAG en este síndrome (25).

 

CONSIDERACIONES PREOPERATORIAS

A) Anestesia

Como en toda cirugía intraocular es conveniente procurar una anestesia con hipotensión del globo en la medida de lo posible, con el fin de eliminar una presión excesiva sobre los contenidos intraoculares que tienda a extruirlos.

 

B) Medicación prequirúrgica

• En la trabeculectomía infantil pueden tomarse las mismas precauciones que en la del adulto en lo referente al control de la PIO previa a la apertura del globo ocular, con el fin de evitar una descompresión súbita del ojo. Esta descompresión condicionaría una exudación en el espacio supracoroideo provocando un desprendimiento coroideo, hemorrágico o seroso (26). Hemos observado esta complicación casi exclusivamente en el síndrome de Sturge-Weber y en él actualmente recomendamos el empleo de VAG. Si se va a proceder a trabeculectomía en este síndrome se puede mantener un tratamiento hipotensor hasta el momento de la cirugía, para utilizar manitol intravenoso a razón de 1 gr/kg de peso en infusión lenta desde 1/2 hora previa a la incisión prevista del globo. Como se ha comentado en el capítulo introductorio, es recomendable practicar esclerotomías profilácticas para prevenir el desprendimiento coroideo.

• Si el niño se encuentra bajo tratamiento hipotensor éste debe interrumpirse antes de una cirugía filtrante con el fin de que la secreción de humor acuoso origine una ampolla de filtración. Como es sabido, los beta-bloqueantes deben interrumpirse dos semanas antes de la cirugía. El resto de la medicación tiene un efecto menos prolongado, por lo que puede mantenerse hasta el día previo a la cirugía. En raras ocasiones se precisa el empleo de acetazolamida sistémica, a dosis de 5-10 mg/Kg de peso cada 6-8 horas.

 

METODOLOGÍA DE LA TRABECULECTOMÍA PEDIÁTRICA CON/SIN USO DE ANTIMITÓTICOS

A) Instrumental

El utilizado normalmente en la trabeculectomía del adulto. En la disección escleral empleamos un cuchillete de microcirugía de 22,5°. Si se van a aplicar antimitóticos intraoperatorios, utilizamos mitomicina C —MMC— (Kyowa®).

 

B) Técnica

Se describe la técnica básica de la trabeculectomía pediátrica. Exponemos también la variante de cirugía combinada trabeculectomía-trabeculotomía empleada en el GCP. Asimismo, se tratará del empleo de antimitóticos y de las esclerotomías profilácticas recomendables en los nanoftalmos y síndrome de Sturge-Weber. En principio se realiza la cirugía en alguno de los cuadrantes superiores, debido al riesgo de endoftalmitis asociado a las trabeculectomías inferiores (27).

1. Suturas de tracción: Pueden utilizarse las convencionales suturas sobre el recto superior con seda de 4/0, pero actualmente nos inclinamos por una sutura de 7/0 de Vicryl® con aguja espatulada que se pasa a través de la mitad del espesor corneal en la zona superior yuxtalímbica, a las 12 horas. Permite un buen acceso a todo el limbo superior. Se prefiere evitar el meridiano de las 12 horas en la trabeculectomía, con el fin de minimizar el sangrado derivado de vasos epiesclerales relacionados con los ciliares anteriores, que proceden de los músculos rectos (obviamente, en este caso, el recto superior).

2. Peritomía: Según las preferencias del cirujano, puede hacerse con base limbo o con base fórnix. Actualmente nos inclinamos por la última, ya que permite una mejor visualización del limbo, se seccionan conjuntiva y Tenon conjuntamente, y es técnicamente más sencilla de realizar y de cerrar. Mide alrededor de 7 mm de cuerda.

Nota: Si está previsto el empleo de MMC no recomendamos la peritomía base fórnix, ya que es virtualmente imposible evitar un test de Seidel positivo con este acceso, salvo practicando un cierre conjuntival estanco con nylon de 9/0 en aguja atraumática.

3. Procedimientos previos: Como ya es conocido, en el síndrome de Sturge–Weber (28) y en los nanoftalmos (29) existe un riesgo elevado de desprendimientos coroideos, que pueden originar serias complicaciones en su evolución, además de comprometer el resultado quirúrgico. En estos casos es recomendable realizar esclerotomías profilácticas inferiores. Existen diversos modos de hacerlas, pero quizás el más sencillo sea el siguiente:

Se secciona la conjuntiva y Tenon en sentido radial desde el limbo y en aproximadamente 6 mm de longitud. Se escoge uno o los dos cuadrantes inferiores.

Se dibuja sobre la epiesclera la futura incisión escleral. Está centrada a unos 4-5 mm del limbo y mide unos 4 mm.

Aplicación de diatermia sobre la zona.

Sección escleral practicada en cortes sucesivos con profundización lenta hasta llegar a úvea (pars plana).

Diatermia sobre las paredes del corte escleral para retraerlas y aumentar el espacio de filtración.

Sutura de conjuntiva-Tenon con Vicryl® de 7/0 en puntos de colchonero.

4. Preparación de la esclera: Se denuda de tejido epiescleral. Es frecuente practicar tenonectomía con la extensión que se pretende que posea la ampolla. No es recomendable realizarla si se van a utilizar antimitóticos. El lugar elegido para la trabeculotectomía se perfila con diatermia para minimizar el sangrado en la incisión.

5. Paracentesis: La encontramos innecesaria. El ojo infantil suele revertir la atalamia con gran facilidad, no precisando la reformación de la cámara anterior. Si queremos comprobar el flujo de filtración o la estanqueidad del cierre conjuntival, recurrimos a una paracentesis con aguja de 30-G y procedemos a la infusión de BSS plus®.

6. Aplicación de los antimitóticos (si están indicados): Debe reconstituirse la MMC con suero fisiológico. La concentración que parece obtener mejores resultados es la de 0,04% (0,4 mg/ml) aplicada durante 2-3 minutos (15). Se emplea una esponja de celulosa sumergida previamente en la solución, situándola en el lugar donde se preve la trabeculectomía y cubriéndola con la conjuntiva-Tenon. Se evita el contacto entre la esponja y el borde de sección conjuntival. Una vez transcurrido el tiempo programado, se lava el lecho con unos 15-30 ml de suero fisiológico. Debe recordarse la toxicidad potencial de la MMC: Todo el material en contacto con ella, incluyendo el suero, debe ser desechado en envases especiales.

7. Tallado del colgajo escleral (figura 1): El tamaño depende especialmente de las preferencias del cirujano. Recomendamos 3-4 mm en sentido circunferencial y 3 mm en sentido radial. Las referencias se realizan respecto a la unión corneolimbar. Si se va a emplear MMC su profundidad será de la mitad del espesor escleral; si no es así, recomendamos 1/3 de dicho espesor.

08-01.jpg (12128 bytes) 
Figura 1. Tallado del colgajo escleral.

8. Trabeculotomía (si está indicada). Se continúa con el punto 4 del procedimiento apuntado en el capítulo sobre trabeculotomía. En la técnica combinada se practica una incisión de aproximadamente 2 mm centrada sobre la unión esclerolimbar, una vez que se ha levantado el colgajo escleral. A partir de este momento se profundiza la incisión mediante cortes radiales hasta llegar a la pared externa del canal de Schlemm. El procedimiento se continúa como en la trabeculotomía simple. Alternativamente, puede tallarse el lugar destinado a la trabeculectomía antes de realizar la incisión radial.

9. Trabeculectomía: Excisión del bloque interno de esclera-córnea-trabeculum. Recomendamos una sección de 2 ´ 2 mm de tejido (figura 2). Primeramente se perfila el lugar deseado, que debe comenzar en córnea y extenderse hasta la unión esclero-limbar (figura 3). La penetración en cámara anterior se realiza lentamente en una de las esquinas del cuadrado con el cuchillete quirúrgico. Se finaliza con tijera de Vannas (figura 4). La cámara anterior puede mantenerse con aire mientras se concluye el procedimiento.

08-02.jpg (15066 bytes) 
Figura 2. Marcado de la zona de trabeculectomía.

08-03.jpg (13324 bytes) 
Figura 3. Se perfila con el cuchillete de 22,5° el lugar de la trabeculectomía.

08-04.jpg (12024 bytes) 
Figura 4. Trabeculectomía con cuchillete y tijera de Vannas.

10. Iridectomía (figura 5): Debe ser más amplia que la apertura de la trabeculectomía, con el fin de impedir la incarceración iridiana. Para ello se prende el iris cerca de su raíz con una pinza dentada y se secciona con una tijera de Vannas sostenida en sentido circunferencial. En el primer movimiento para un cirujano diestro, la pinza desplaza el iris hacia la izquierda mientras la tijera secciona la mitad del tejido. En el segundo tiempo, la pinza desplaza el iris hacia la derecha mientras tracciona levemente de él y se concluye la iridectomía.

08-05.jpg (11319 bytes) 
Figura 5. Iridectomía.

11. Cierre del colgajo escleral (figura 6): Empleamos normalmente dos puntos de nylon de 10/0 a través de las dos esquinas posteriores del colgajo escleral. En este momento se puede reformar la cámara anterior a través de una paracentesis con aguja de 30-G, comprobando a la par el flujo a través de la trabeculectomía.

08-06.jpg (10661 bytes) 
Figura 6. Cierre del colgajo escleral.

12. Cierre de la peritomía: En las peritomías con base en el fórnix se desepiteliza la córnea en su proximidad al limbo y se aplican dos puntos de Vicryl® de 7/0 en los extremos, con paso de la sutura por la esclera subyacente. La peritomía con base límbica se cierra con una sutura continua, generalmente de nylon de 9/0 con aguja atraumática (cilíndrica). El cierre debe ser especialmente meticuloso si se ha empleado MMC. En este caso es prudente cerrar separadamente la Tenon con puntos sueltos de Vicryl® de 7/0, realizar el cierre de la conjuntiva evitando el más mínimo desgarro (con aguja atraumática), y comprobar la estanqueidad de la peritomía mediante aplicación de colirio (estéril) de fluoresceína al 2%, buscando un test de Seidel positivo. Debe comprobarse tras reformar adecuadamente la cámara anterior.

13. Finalización del procedimiento: La cámara anterior debe quedar reformada al final de la cirugía. Si ello no sucede espontáneamente, se empleará bien BSS plus®, bien aire. Se instila una gota de un ciclopléjico, generalmente ciclopentolato al 1%, dada la toxicidad de la atropina en pacientes pediátricos (21), y se aplica una pomada oftálmica con antibiótico-corticoide. El ojo es ocluido del modo habitual.

 

CUIDADOS POSTOPERATORIOS

1. Medicación

Normalmente se mantiene la oclusión 24 horas.

Se pauta un colirio de antibiótico-corticoide cada 2 horas los dos primeros días. Posteriormente se reduce la frecuencia según esta pauta orientativa:

1.ª semana: Cada 4 horas.
2.ª semana: Cada 8 horas.
3.ª semana: Cada 12 horas.
4.ª semana: Cada 24 horas.

Se emplea ciclopentolato al 1% cada 6 horas durante 3 semanas.

 

2. Revisiones

El niño es dado de alta hospitalaria al 4.º día postquirúrgico si no existen complicaciones aparentes, y se pautan revisiones semanales durante un mes.

Si la PIO parece controlada y la evolución satisfactoria, se revisará al mes siguiente.

Si existieran dudas acerca de la PIO y de la evolución, se planificará una revisión tonométrica bajo anestesia general al mes postoperatorio. Las revisiones en quirófano se repiten trimestralmente durante el primer año, si no es posible evitarlas mediante el examen en consulta.

 

COMPLICACIONES

En general son mínimas. Teóricamente se pueden ver todas las complicaciones descritas en la trabeculectomía del adulto, pero en la práctica son escasas. Mencionaremos las más frecuentes o típicas de la trabeculectomía infantil.

 

1) Intraoperatorias

Es característico el prolapso del vítreo a través de la iridectomía debido a la buftalmía presente con frecuencia. La esclera adelgazada tiende a colapsarse tras la apertura del globo, extruyendo los contenidos intraoculares. Normalmente se puede proceder al cierre del colgajo escleral sin dañar la hialoides. Si se produce una vitreorragia, se realiza una vitrectomía, preferiblemente automatizada, con mínima penetración del vitrectomo a través de la trabeculectomía, con el fin de no dañar el cristalino especialmente elástico de estos pacientes.

 

2) Postoperatorias

A. Hipo/atalamia: Esta complicación la hemos apreciado particularmente en el síndrome de Sturge-Weber, unida a un desprendimiento exudativo de coroides. En todos los casos se ha resuelto sin otras complicaciones, aunque puede haber influido en la pérdida posterior de la ampolla de filtración.

B. Desprendimientos coroideos y retinianos exudativos: Se une al apartado anterior como queda referido, y es típica del síndrome de Sturge-Weber (figura 7) y también de ojos buftálmicos afáquicos, generalmente poliintervenidos. Suelen resolverse sin dar lugar a otras complicaciones.

08-07.jpg (30095 bytes) 
Figura 7. Trabeculectomía en el Síndrome de Sturge-Weber: a) Síndrome de Sturge-Weber; b) Angioma epiescleral; c) Desprendimiento retiniano exudativo; d) Ecografía de un desprendimiento coroideo.

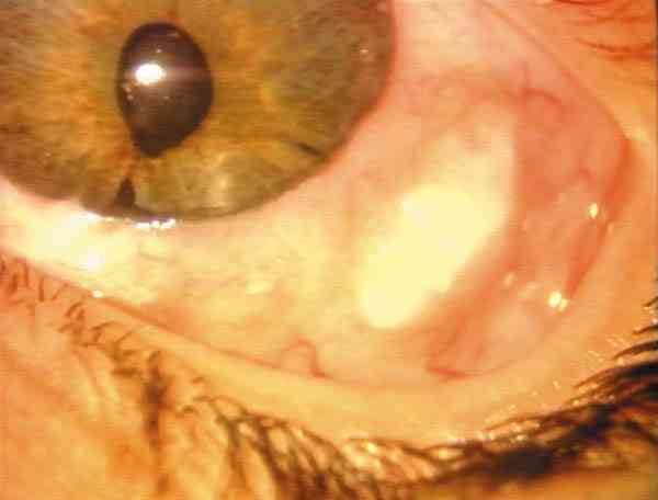
C. Complicaciones relacionadas con el empleo de antimitóticos: Varios estudios coinciden en el incremento de complicaciones relacionadas con el uso de MMC en la cirugía filtrante (14-17), particularmente ampollas quísticas (figura 8) (15), test de Seidel positivo (15,17), hipotonía (15-17) y endoftalmitis (14,15,17). El estudio más reciente encuentra un porcentaje de infección relacionada con la ampolla del 17% (17). El cuadro clínico en estos casos es de aparición tardía, curso acelerado y puede comprometer el resultado visual final (31).

08-08.jpg (10977 bytes) 
Figura 8. Ampolla de filtración en la trabeculectomía con MMC.

 

RESULTADOS

Los resultados de la trabeculectomía en el GP son dispares, como ya se ha comentado. Tras varias décadas de desprestigio, estudios recientes ofrecen resultados sorprendentes en la trabeculectomía para el GCP, tradicionalmente indicación para gonio o trabeculotomía. Así Burke (4) refiere un porcentaje de casos con PIO controlada del 86% a los 4 años. Fulcher obtiene tasas de éxitos del 92 % en el GCP con una trabeculectomía y del 100% con dos (5). Dureau (7) refiere un 87% de éxitos, con un 30% de reintervenciones; parece que el debut precoz del glaucoma se une a un control más dificultoso. Estos casos podrían corresponder a las iridotrabeculodisgenesias de Hoskins (32).

El empleo de antimitóticos ofrece también resultados dispares. Es necesario recordar que la mayoría de los ojos tratados con MMC han sido previamente intervenidos. Mandal obtuvo inicialmente un control en el 95% de los casos tratados con MMC y seguidos durante 18 meses (13). Posteriormente ha publicado unas tasas de control del 65% a los 3 años (16), cifra que parece coincidir con otros estudios: Beck (14), con un 60% a los dos años, Sidoti (17), con un 60% a los 3 años. Consideramos que estas cifras de éxitos en el control tensional son elevadas y suponen una esperanza para los ojos afectos de GP refractario. No obstante, el riesgo de una endoftalmitis tardía parece elevado (17), siendo prudente controlar exhaustivamente la ampolla de filtración en las revisiones periódicas con el fin de detectar un test de Seidel positivo (33,34). Los padres deben ser informados de la posibilidad de este tipo de complicaciones y del deber de consultar rápidamente ante una pérdida de agudeza visual, dolor ocular, enrojecimiento, secreción o un cambio del aspecto externo del globo.

 

BIBLIOGRAFÍA

  1. Beauchamp GR, Parks MM. Filtering surgery in children: barriers to success. Ophthalmology 1979; 86: 170-180.
  2. Gressel MG, Heuer DK, Parrish RK II. Trabeculectomy in young patients. Ophthalmology 1984; 91: 1.242-1.246.
  3. Debnath SC, Teichmann KD, Salamah K. Trabeculectomy versus trabeculotomy in congenital glaucoma. Br J Opthalmol 1989; 73: 608-611.
  4. Burke JP, Bowell R. Primary trabeculectomy in congenital glaucoma. Br J Opthalmol 1989; 73: 188-190.
  5. Fulcher T, Chan J, Lanigan B, Bowell R, O´Keefe M. Long-term follow up of primary trabeculectomy for infantile glaucoma. Br J Opthalmol 1996; 80: 499-502.
  6. Detry-Morel M, Feron EM. Trabeculectomy in congenital glaucoma: retrospective medium and long-term results. Bull Soc Belge Ophthalmol 1996; 262: 143-151.
  7. Dureau P, Dollfus H, Cassegrain C, Dufier JL. Long-term results of trabeculectomy for congenital glaucoma. J Pediatr Ophthalmol Strabismus 1998; 35: 198-202.
  8. Sturmer J, Broadway DC, Hitchings RA. Young patient trabeculectomy. Assessment of risk factors for failure. Ophthalmology 1993; 100: 928-939.
  9. Luntz MH, Harrison R. Surgery for congenital glaucoma. In: Ritch R, Shields MB, Krupin T eds. The glaucomas. St Louis: Mosby; 1996; vol. III: 1.761-1.781.
  10. Zalish M, Leiba H, Oliver M. Subconjuntival injection of 5-fluorouracil following trabeculectomy for congenital and infantile glaucoma. Ophthalmic Surg 1992; 23: 203-205.
  11. Whiteside-Michel J, Liebmann JM, Ritch R. Initial 5-fluorouracil trabeculectomy in young patients. Ophthalmology 1992; 99: 7-13.
  12. Susanna R, Oltrogge EW, Carani JCE, Niolela MT. Mitomycin as adjunct chemotherapy in congenital and developmental glaucoma. J Glaucoma 1995; 4: 151-157.
  13. Mandal AK, Walton DS, John T, Jayagandan A. Mitomycin C-augmented trabeculectomy in refractory congenital glaucoma. Ophthalmology 1997; 104: 996-1.003.
  14. Beck AD, William RW, Lynch MG, Lynn MJ, Noe R. Trabeculectomy with adjunctive mitomycin C in pediatric glaucoma. Am J Ophthalmol 1998; 126: 648-657.
  15. al-Hazmi A, Zwann J, Awad A, al-Mesfer S, Mullaney PB, Wheeler DT. Effectiveness and complications of mitomycin C use during pediatric glaucoma surgery. Ophthalmology 1998; 105: 1.915-1.920.
  16. Mandal AK, Prasad K, Naduvilath TJ. Surgical results and complications of mitomycin C-augmented trabeculectomy in refractory developmental glaucoma. Ophthalmic Surg Lasers 1999; 30: 473-480.
  17. Sidoti PA, Belmomte SJ, Liebmann JM, Ritch R. Trabeculectomy with mitomycin-C in the treatment of pediatric glaucomas. Ophthalmology 2000; 107: 422-429.
  18. Englert JA, Freedman SF, Cox TA. The Ahmed valve in refractory pediatric glaucoma. Am J Ophthalmol 1999; 127: 34-42.
  19. Elder MJ. Combined trabeculotomy-trabeculectomy compared with primary trabeculectomy for congenital glaucoma. Br J Opthalmol 1994; 78: 745-748.
  20. Mandal AK, Naduvilath TJ, Jayagandan A. Surgical results of combined trabeculotomy-trabeculectomy for developmental glaucoma. Ophthalmology 1998; 105: 974-982.
  21. Mullaney PB, Selleck LVN, Al-Awad A, Al-Mesfer S, Zwann J. Combined trabeculotomy and trabeculectomy as an initial procedure in uncomplicated congenital glaucoma. Arch Ophthalmol 1999; 117: 457-460.
  22. Board RJ, Shields MB. Combined trabeculotomy-trabeculectomy for the management of glaucoma associated with Sturge-Weber syndrome. Ophthalmic Surg 1981; 12: 813-817.
  23. Agarwal HC, Sandramouili S, Sihota R, Sood NN. Sturge-Weber syndrome: management of glaucoma with combined trabeculotomy and trabeculectomy. Ophthalmic Surg 1993; 24: 399-402.
  24. Mandal AK. Primary combined trabeculotomy-trabeculectomy for early-onset glaucoma in Sturge-Weber syndrome. Ophthalmology 1999; 106: 1.621-1.627.
  25. Hamush NG, Coleman AL, Wilson MR. Ahmed glaucoma valve implant for the management of glaucoma in Sturge-Weber syndrome. Am J Ophthalmol 1999; 128: 758-760.
  26. Thomas JV. Filtering operation with scleral flap. In: Thomas JV ed. Glaucoma surgery. St Louis: Mosby-Year Book; 1992; 25-52.
  27. Liebman JM, Ritch R. Complications of glaucoma filtering surgery. In: Ritch R, Shields MB, Krupin T eds. The glaucomas. St Louis: Mosby; 1996; vol. III: 1.703-1.736.
  28. Lytle RA, Thomas JV, Simmons RJ. Glaucoma surgical techniques in eyes with enlarged epiescleral vessels. In: Thomas JV ed. Glaucoma surgery. St Louis: Mosby-Year Book; 1992; 235-243.
  29. Walsh JB, Muldoon TO. Glaucoma associated with retinal and vitroretinal disorders. In: Ritch R, Shields MB, Krupin T eds. The glaucomas. St Louis: Mosby; 1996; vol. II: 1.055-1.071.
  30. Palmer EA. How safe are ocular drugs in pediatrics? Ophthalmology 1986; 93: 1.038-1.040.
  31. Waheed S, Ritterband DC, Greenfield DS, Liebmann JM, Sidoti PA, Ritch R. Bleb-related ocular infection in children after trabeculectomy with mitomycin C. Ophthalmology 1997; 104: 2.117-2.120.
  32. Hoskins HD Jr, Shaffer RN, Hetherington J. Anatomical classification of developmental glaucomas. Arch Ophthalmol 1984; 102: 1.331-1.334.
  33. Soltau JB, Rothman RF, Budenz DL, Greenfield DS, Feuer W, Liebmann JM, Ritch R. Risk factors for glaucoma filtering bleb infections. Arch Ophthalmol 2000; 118: 338-342.
  34. Katz LJ. A call for innovative operations for glaucoma. Arch Ophthalmol 2000; 118: 412-413.

ÍNDICE GENERAL