|
1. CONCEPTO
Se define la parálisis como la pérdida total de la función del músculo,
para distinguirla de la paresia, en la que la pérdida de la función no es
total. Actualmente se considera que la mayoría de las limitaciones de los
movimientos no son verdaderas parálisis, ya que generalmente se encuentra una
cierta acción del músculo afectado, aunque, en términos generales, hablemos
de parálisis oculomotoras (POM). La contractura, que se establece
en muchos casos, es la verdadera responsable de la limitación del movimiento
(1,2).
Kodsi considera como parálisis pediátricas a aquéllas que aparecen antes
de los 18 años de edad (3).
2. CLASIFICACIÓN
Existen numerosas clasificaciones, que enumeran las parálisis en función de
diferentes parámetros:
1. Según el momento de aparición.
• Formas congénitas. Su incidencia oscila entre el 2,4 y el 43,3%
(4-6).
• Formas adquiridas.
2. Según el nervio afectado.
• VI par craneal.
• IV par craneal.
• III par craneal.
3. Según la etiología.
• Parálisis congénitas. Su causa no está suficientemente aclarada. Los
traumatismos obstétricos, la hipoplasia de los núcleos, así como las
anomalías de las fibras y la ausencia o hipoplasia de los músculos, son las
causas más importantes (7).
• Parálisis adquiridas (figura 1). Los traumatismos (42,5%) son la
causa más frecuente de parálisis adquirida en los niños (3). Pero no debemos
olvidar que las parálisis englobadas bajo la denominación de parainfecciosas
son frecuentes durante la infancia (desde los 18 meses hasta casi la
adolescencia): postvíricas (1-3 semanas después de fiebre -a veces sin fiebre-
o enfermedad respiratoria no específica, infecciones en el oído medio,
amigdalitis…), postvacunales, o con viremias específicas como Epstein-Barr o
varicela. Se trata de una parálisis aislada, «benigna», a
menudo recurrente, que siempre tiende a la resolución espontánea sin
complicaciones ni secuelas, en unas 10 semanas. En cuanto a la presencia de
tumores, hay que referir que ronda el porcentaje del adulto (en torno a un
15-16%). En la población infantil, normalmente se trata de gliomas
troncoencefálicos, o de astrocitomas y meduloblastomas de la fosa posterior.
Por último, las formas idiopáticas y los aneurismas son mucho menos frecuentes
en los niños, que en los mayores de 17 años (tabla 1).
Figura 1. 1a. Paresia del VI par derecho. 1b. Limitación de
la abducción (grado –1) del OD.

4. Según la bilateralidad. La frecuencia de afectación uni o
bilateral varía en función de que se trate de una parálisis congénita o
adquirida, así como del tipo de parálisis. Así, las parálisis congénitas
del IV par son bilaterales en el 43,52%, mientras que esto es excepcional en el
caso del VI par (8).
5. Según la limitación del movimiento hacia el campo del músculo
parético (9).
• Grado 0: cuando el movimiento es normal.
• Grado –1: cuando sobrepasa la línea media en 15-20°.
• Grado –2: cuando el ojo llega a la línea media.
• Grado –3: cuando el ojo no llega a la línea media.
6. Según el tiempo de evolución.
• Agudas: cuando consultan antes de los 3 meses desde el inicio.
• Subagudas: cuando consultan entre los 3 y los 6 meses.
• Crónicas: cuando consultan pasados los 6 meses.
7. Según la localización de la lesión.
• Supranucleares.
• Nucleares.
• Fasciculares.
• Orbitarias.
• Lesiones en la placa neuromuscular.
Existen otros parámetros que también pueden ser analizados y que pueden ser
específicos de cada tipo de parálisis (10).
3. DIAGNÓSTICO
Las parálisis musculares son entidades que, en ocasiones, plantean un
difícil diagnóstico. Es necesario realizar, en primer lugar, una buena
anamnesis que permita interrogar y, al mismo tiempo, inspeccionar al niño para
investigar la posible etiología. El examen se inicia con una exploración
oftalmológica completa que evalúa la calidad funcional del aparato ocular. De
esta forma se podrán descartar patologías oculares y llegar a un mejor
diagnóstico.
La sintomatología permite, en algunos casos, ayudar al diagnóstico. Así,
en los casos congénitos suele ser característico la ausencia de síntomas,
dado que las supresiones son frecuentes. No ocurre lo mismo en los casos
adquiridos, en los que suele existir diplopía (ésta puede desaparecer al poco
tiempo mediante el guiño del ojo), así como otros síntomas asociados
(cefaleas, mareos, náuseas, etc.). Algunos pacientes presentan tortícolis
horizontal, vertical, torsional, o mixto, para compensar la diplopía.
La exploración motora permite, mediante el estudio de los movimientos
aislados (ducciones) y coordinados (versiones), catalogar el tipo de parálisis
y el grado de afectación. La ducción pasiva no puede ser realizada bajo
anestesia tópica en la mayoría de los niños, por lo que esta prueba se lleva
a cabo bajo anestesia general durante la cirugía. Otros tipos de tests
realizados en los adultos, como el de las fuerzas generadas, no se aplican en
los niños.
Las versiones se exploran mediante el cover test en las 9 posiciones
diagnósticas, permitiendo valorar la asimetría de los movimientos, tanto si se
trata de paresias-parálisis, como si es el caso de fibrosis musculares.
Mediante los prismas se puede cuantificar el grado de afectación. La
utilización de prismas es importante, aunque es más difícil que en los
adultos, sobre todo en las posiciones extremas (figura 2).
Figura 2. 2a. Parálisis oculomotora aguda del VI par izquierdo. 2b.
Limitación de la abducción (grado –2/–3) del OI.
En algunos casos, cuando no existe una buena visión, es útil el test de
Hirschberg que, mediante los reflejos corneales, permite valorar la
intensidad de la desviación. Si, además, utilizamos prismas hasta «centrar»
ambos reflejos —método de Krimsky—, podremos cuantificar
mejor el defecto.
Los exámenes se completan con la maniobra de Bielschowsky (positiva
cuando aparece o se incrementa una hipertropía en el ojo del lado del hombro
hacia el que se inclina la cabeza); la cual permite buscar indicios a favor de
una parálisis del IV par craneal. Existen tanto falsos positivos como falsos
negativos, que cuestionan esta maniobra (11,12) (figura 3).
Figura 3. 3a. Maniobra de Bielschowsky (–) hacia el hombro
derecho. 3b. Maniobra de Bielschowsky (+) hacia el hombro izquierdo.
El estudio sensorial, que permite analizar la diplopía, es muy útil.
Sin embargo, sólo puede ser llevado a cabo a partir de una determinada edad.
Así, el sinoptómetro, la pantalla de Hess-Lancaster, el cristal rojo y el
estudio de la torsión mediante varillas de Maddox, entre otros, sólo se
realizan en niños mayores (10).
Otras pruebas complementarias como la resonancia magnética nuclear,
la tomografía axial computadorizada, o la ecografía orbitaria, permiten, en
algunos casos, llegar a una conclusión sobre la localización causal del
proceso. En la mayoría de los casos son otros profesionales de la medicina los
que indican la necesidad de exploraciones complementarias.
En general, ante toda parálisis, aunque se sospeche una clara etiología, es
obligada la realización de un estudio sistémico (internista,
neurólogo, etc.) para descartar procesos asociados.
4. PARÁLISIS DEL VI PAR
El diagnóstico suele ser sencillo. En la exploración clínica se encuentra
una desviación horizontal, mayor de lejos que de cerca, con la abducción
«normal» (paresia) o completamente limitada (parálisis). En algunos casos
aparece tortícolis para intentar compensar la diplopía. Normalmente se trata
de un tortícolis horizontal, con la cara girada lateralmente hacia el lado del
ojo parético.
En las formas congénitas es necesario hacer el diagnóstico diferencial
con los siguientes procesos, sin olvidar que las parálisis del VI par
verdaderamente congénitas son muy raras, y mucho más aún las formas
bilaterales:
1. Síndrome de limitación de la abducción (SLA). Dicha limitación
es generalmente bilateral, más o menos asimétrica, y completa el síndrome
mediante un tortícolis con fijación cruzada y una endotropía de gran ángulo.
Se trata una de las formas más comunes de estrabismo manifiesto durante la
primera y segunda infancia: la endotropía congénita. La abducción está
limitada pero, en principio, sólo activamente. Suele ir asociado a las
características clínicas de este tipo de estrabismo, como nistagmus y
divergencia vertical disociada (DVD).
2. Síndrome de Duane tipo I. En estos casos la limitación de la
abducción es importante, llegando en la mayoría de los casos a un grado –2.
La presencia de un enoftalmos por retracción ocular, tanto en posición
primaria de la mirada —lo que a veces pasa desapercibido— como en aducción,
así como la presencia de alteraciones verticales en aducción, o de reducción
de la convergencia, sugieren que se trata de un cuadro Duane tipo I. Además, el
ángulo de endodesviación suele ser mucho menor en este síndrome, en
comparación con la verdadera paresia del VI par. Souza-Dias llega a decir que
una verdadera limitación en la abducción pasiva, en edades muy precoces, es un
síndrome de Duane, mientras no se demuestre lo contrario (13) (figura 4).
Figura 4. 4a. Síndrome de Duane izquierdo. Limitación de la
abducción del OI. 4b. Síndrome de Duane izquierdo. Disminución de la
hendidura palpebral en aducción del OI.
3. Miopatías. Aunque sea raro diagnosticar una miastenia gravis en la
edad infantil, debe ser sospechada ante la presencia de problemas musculares
asociados.
4. Síndrome de Möbius. Es un cuadro más complejo en el que, además
de la parálisis oculomotora del VI par se encuentra una parálisis facial, con
aplasia de los núcleos de los pares craneales VI y VII. Existe una limitación
importante de la abducción bilateral. Las características faciales son
determinantes.
5. Parálisis benigna recurrente del VI par craneal (14-16). Es un
cuadro clínico raro que clínicamente se caracteriza por (figura 5):
Figura 5. 5a. Parálisis oculomotora del VI par izquierdo con
limitación de la abducción (grado –3) del OI. 5b. Desaparición
espontánea. Abducción del OI normal.
• Aparición en la infancia y, generalmente, en mujeres.
• Recuperación espontánea en la mayoría de los casos.
• Ausencia de dolor.
• Recidivas ipsilaterales.
• Dificultad para encontrar una clara etiología.
El tratamiento de las formas congénitas suele ser quirúrgico, salvo que el
paciente acuda a la consulta antes del tercer mes, en cuyo caso se debe inyectar
toxina botulínica para evitar la contractura asociada. Se distinguen las
siguientes opciones terapéuticas en general, para congénitas y adquiridas:
1. Tratamiento médico. Generalmente es un tratamiento transitorio,
mientras se decide la intervención, o como tratamiento complementario de la
cirugía en los casos de hipocorrección. Los prismas, con o sin oclusión —según
la presencia de ambliopía, dominancia, etc.—, permiten, en algunos casos,
mantener la visión binocular mientras el paciente espera la intervención
quirúrgica. Es necesario hacer ejercicios mecánicos del ojo paralizado, que
permitan, si es posible, recuperar el movimiento.
2. Toxina botulínica. Es el tratamiento de elección en la fase
aguda. El objetivo es que desaparezcan la diplopía (casos adquiridos o
congénitos descompensados), la desviación y el tortícolis, con normalización
de la abducción. El tratamiento puede ser aplicado desde los 15 días pero,
sobre todo, antes de los tres meses. Nosotros no solemos tratar a estos niños
antes de un mes y medio o dos meses, salvo que la etiología sea traumática o
tumoral, en cuyo caso inyectamos a partir de los 15-20 días.
Suele ser necesario inyectar la toxina con sedación. En los niños mayores
de 8-10 años se puede realizar bajo anestesia tópica. El producto se inyecta
en el músculo recto medio del ojo afecto, bajo control con electromiograma
(EMG). La dosis (entre 2,5 y 5 unidades internacionales - UI) varía en función
de la etiología, de la limitación del movimiento, de la ducción pasiva, etc.
En algunos casos pueden ser inyectadas 7,5 UI, pero no es frecuente. El volumen
habitualmente empleado suele ser de 0,1 ml.
El efecto suele iniciarse al 2° o 3.er día, aunque puede ocurrir hasta el
10° día. La duración del mismo suele ser de 3-5 semanas (17). La parálisis
temporal del músculo recto medio no indica la normalización del movimiento. En
ocasiones, esto se produce a partir del mes o incluso más tarde (figura 6).
Figura 6. 6a. Parálisis oculomotora del VI par, bilateral
asimétrica, con tortícolis, de etiología traumática. 6b. Ligera
dificultad de la abducción (grado –1) del OI. 6c. Limitación de la
abducción (grado –3) del OD. 6d. Posición primaria de la mirada.
Tratamiento con toxina botulínica (5 UI en los músculos rectos mediales de
ambos ojos), al mes del accidente. 6e. Abducción del OI normal. 6f.
Abducción del OD normal.
La reinyección del producto se realiza cuando no se obtuvo el efecto
deseado, aplicando la misma dosis o aumentándola, en función de la respuesta a
la primera dosis y de la desviación residual. El número máximo suele ser de
dos inyecciones, aunque en algunos casos pueden ser más.
Las complicaciones que ocurren son realmente efectos colaterales y no
verdaderas secuelas. La blefaroptosis aparece como consecuencia de la difusión
del producto al músculo elevador del párpado superior, y desaparece entre los
20 días y los 3 meses después de la inyección. La hipertropía es también
frecuente pero suele desaparecer más tardíamente. Es infrecuente que sea
necesaria la intervención para corregir la desviación vertical (véase el
capítulo sobre tratamiento con toxina botulínica). Tuvimos, hasta la fecha,
dos casos de hematoma retrobulbar, que se resolvieron espontáneamente, sin
repercusión en la agudeza visual.
3. Tratamiento quirúrgico. Se reserva para aquellos casos en los que la
toxina no sea eficaz. Las formas crónicas suelen ser tratadas mediante
cirugía. Las técnicas quirúrgicas tienen como objetivo eliminar la diplopía
—cuando exista—, la desviación, y el tortícolis, aunque persista una
limitación parcial o total de la abducción.
Las técnicas dependen del tipo de paráli sis/paresia, de la limitación del
movimiento, y del grado de desviación. Se discute actualmente si es mejor
utilizar técnicas convencionales de recesión-resección o cirugía
inervacional, como proponen Horta (1) y Bicas (2), frente a las técnicas
de suplencia propuestas, entre otros, por Souza-Dias (18,19).
Nosotros, dependiendo de la limitación de la abducción, realizamos (figura
7) (tabla 2):
Figura 7. 7a. Paresia del VI par izquierdo de etiología tumoral.
Posición primaria de la mirada. 7b. Limitación ligera de la abducción
del OI. 7c. Siete meses después de una cirugía inervacional. Posición
primaria de la mirada. 7d. Muy ligera limitación de la abducción del
OI.

• Grado –1. Cirugía clásica de recesión-resección del ojo paralizado.
• Grado –2. Dependiendo de la cantidad de desviación, hacemos:
a) Si el estrabismo es menor de 30 dp (dioptrías prismáticas): cirugía
clásica.
b) Si el estrabismo es mayor de 30 dp: cirugía inervacional en ambos ojos.
• Grado –3. En estos casos pensamos que la técnica de suplencia, con
debilitamiento del músculo recto medio puede ser una buena actitud. La
actuación sobre el músculo recto medio puede consistir, bien en toxina previa
a la cirugía y/o durante el postoperatorio inmediato (a los 15 días), bien en
un debilitamiento quirúrgico.
La técnica de suplencia que recomendamos es el desplazamiento total de las
mitades temporales de los músculos rectos verticales, según Carlson-Jampolsky,
con un punto posterior de anclaje escleral a unos 8 mm de la inserción del
músculo recto lateral (modificación propuesta por Foster).
En los niños es raro utilizar una técnica de suplencia pero, en general,
parece que los riesgos de isquemia anterior, cuando se operan más de dos
músculos rectos, son escasos en el niño. El círculo arterial mayor del iris
podría estar muy abastecido por las arterias ciliares largas posteriores. Las
anastomosis importantes entre la circulación ciliar anterior y posterior
parecen estar presentes solamente en el círculo intramuscular del músculo
ciliar (20).
5. PARÁLISIS DEL IV PAR
El diagnóstico puede ser más complejo. En la exploración clínica suelen
encontrarse las siguientes características (figura 8):
Figura 8. 8a. Parálisis oculomotora del IV par derecho. Posición
primaria de la mirada. Tortícolis con la cabeza hacia el hombro izquierdo. 8b.
Elevación en aducción derecha. 8c. Maniobra de Bielschowsky negativa
hacia el hombro izquierdo. 8d. Maniobra de Bielschowsky positiva hacia el
hombro derecho. 8e. Hipofunción del músculo oblicuo superior derecho.
• Hipoacción del músculo oblicuo superior ipsilateral.
• Hiperfunción del músculo oblicuo inferior ipsilateral.
• Puede existir hipertropía en posición primaria de mirada.
• Síndrome en «V».
• Suele existir tortícolis torsional, con la cabeza dirigida hacia el
hombro sano. También predomina el tortícolis horizontal (cara hacia el
lado contrario al de la paresia), huyendo de la zona de mayor descompensación
vertical, que suele ser aquélla en la que se pone de manifiesto una
hiperfunción patente del músculo oblicuo inferior, antagonista homolateral del
oblicuo superior parético. Además, especialmente en los casos de paresia
bilateral del IV par, en los que la fijación en exciclotorsión, si es
alternante, se muestra como un tortícolis torsional discordante (dependiente
del ojo fijador), suele aparecer un tortícolis vertical, con el mentón
deprimido. Esta inclinación de la cabeza surge como respuesta al síndrome en
«V» tan marcado que acompaña a estos casos bilaterales, y pretende conseguir
la ortotropía en la supraversión, ya que, ante la debilidad infraductora de
los oblicuos superiores, los músculos rectos inferiores provocan, con su
esfuerzo inervacional, una franca endodesviación en infraversión. Por tanto,
no es raro encontrar casos con tortícolis mixto, el cual puede mostrar
incluso los tres componentes, torsional, horizontal y vertical.
• Contractura y fibrosis secundarias del músculo recto superior ipsilateral
y/o del músculo recto inferior contralateral.
• Maniobra de Bielschowsky positiva.
• Asimetría facial en algunos casos congénitos, y posible asociación con
plagiocefalia (21).
Cuando la parálisis es bilateral, aparecen todos los signos descritos arriba
en ambos ojos. Es característico encontrar una mayor incomitancia vertical
(mayor síndrome en «V») y una mayor exciclotorsión.
La cuantificación de la desviación se realiza compensándola mediante
prismas. Sin embargo, en posiciones terciarias y sobre todo en los niños, estas
mediciones pueden resultar dificultosas por lo que, habitualmente, medimos en
cruces en función de la intensidad (+/++++). También puede ser medida la
desviación en grados, mediante sinoptometría.
En las formas congénitas la parálisis puede ser aislada, aunque es más
frecuente que esté asociada a una desviación horizontal, ya sea endotropía o
exotropía. En estos casos es necesario hacer el diagnóstico diferencial
con las siguientes situaciones:
• Hiperacción esencial primaria de ambos músculos oblicuos inferiores. En la
paresia del IV par, la elevación en aducción puede estar también provocada
por el músculo recto superior (22,23), así como por la contractura del
músculo recto inferior contralateral a un oblicuo superior parético.
• DVD. En ella, la desviación vertical en aducción suele responder a la
disociación binocular producida por el efecto «oclusor» del puente nasal. La
mayor dificultad puede estribar en el diagnóstico diferencial con la paresia
bilateral del IV par. Pero, un estudio pormenorizado de estos casos complejos,
atendiendo a múltiples caracteres especialmente cualitativos, suele bastar para
el diagnóstico certero (tabla 3).

• Otros cuadros menos frecuentes como miositis, pseudotumor orbitario, cuadros
miasténicos, contracturas de otros músculos, etc.
También es necesario hacer el diagnóstico diferencial entre una parálisis
unilateral congénita y una adquirida (tabla 4).

En cuanto al tratamiento general, se distinguen las siguientes
opciones:
1. Tratamiento médico. Es excepcional, ya que los prismas y la
oclusión no suelen ser bien tolerados. Generalmente se reservan para casos
concretos, antes del tratamiento con toxina botulínica o cirugía, o en los
casos de hipo o hipercorrección quirúrgica.
2. Toxina botulínica. En las formas congénitas no suele ser
utilizada ya que, con frecuencia, las paresias están asociadas a un estrabismo
y, por lo tanto, se corrigen al mismo tiempo que el componente horizontal,
mediante la cirugía pertinente. Pero, si los padres acuden pronto, con poco
tiempo de evolución, y el diagnóstico es bastante seguro, puede actuarse con
toxina. No existen series importantes que puedan valorar la eficacia de este
proceder. Tampoco nosotros tenemos gran experiencia, pero los casos en los que
hemos obtenido la autorización de los padres nos han enseñado que hemos de
poner dosis muy bajas, en músculos cicloverticales, con el fin de que la
difusión a otros músculos no deseados sea mínima.
En las formas adquiridas, se recomienda su uso en las siguientes situaciones:
• En la fase aguda. Aunque, desgraciadamente, es poco frecuente que lleguen
tan pronto a la consulta especializada.
• Cuando se pretende simplificar una cirugía, o como complemento de la misma,
aunque en la mayoría de los casos, al menos en los niños, la cirugía suele
ser el tratamiento definitivo.
Las dosis oscilan entre 1,25 y 5 UI, en función del músculo a inyectar. En
estos casos es necesario el empleo del EMG para inyectar el producto, ya que la
inyección en otro músculo traería consecuencias desagradables. Los músculos
que pueden inyectarse están en función de las características clínicas
predominantes: el músculo oblicuo inferior, el músculo recto superior del
mismo lado, y el músculo recto inferior del lado opuesto.
El conocimiento del músculo en el que se inyecta está basado en la
experiencia en adultos, aunque en la mayoría de los casos no suele ser el
tratamiento más adecuado. En niños muy pequeños es necesario sedar
ligeramente y abrir la conjuntiva para localizar el músculo, por lo que una de
las principales ventajas de la toxina desaparece, siendo casi mejor ir
directamente a la cirugía.
3. Tratamiento quirúrgico. Existen unas reglas básicas que deben ser
tenidas en cuenta a la hora de plantear la cirugía:
• Es preferible emplear técnicas de debilitamiento a técnicas de refuerzo
muscular.
• En general, el protocolo depende del tipo predominante de desviación.
• La técnica más comúnmente aplicada suele ser el debilitamiento del
músculo oblicuo inferior que, en función de las preferencias de cada cirujano,
y del grado de debilitamiento que se pretende, variará: Fink, Apt-Call,
miectomía con denervación…
• En los casos en que exista una desviación horizontal, se debe realizar la
cirugía pertinente al mismo tiempo que la técnica vertical.
• Puede ser necesario más de un tiempo quirúrgico, así como la
intervención sobre más de un músculo.
• Es necesario hacer hincapié en la valoración del ojo dominante, y en la
observación de la presencia de tortícolis, así como en el intento de mejorar
cualquier incomitancia, por orden de gravedad.
• En los casos en que sea posible, las suturas ajustables pueden ser una buena
opción para mejorar los resultados.
De esta forma, el protocolo que habitualmente seguimos es el siguiente:
• Si existe hiperacción en aducción, operamos el músculo oblicuo
inferior. Cuando la hiperacción es bilateral pero asimétrica, generalmente
realizamos una cirugía simétrica. La indicación de la actuación sobre este
músculo se ve reforzada si, además, existe anisotropía en «V» con
exotropía marcada en supraversión, que suele expresarse en la posición
primaria de la mirada mediante exoforia.
a) Hiperacción +. No hacemos nada, salvo que exista una hiperacción
en el ojo contralateral de ++ o +++, en cuyo caso se hará una cirugía más o
menos simétrica, para evitar la inversión de la tropía vertical.
b) Hiperacción ++. Técnica de Apt-Call.
c) Hiperacción +++ o ++++. Miectomía con denervación.
Otras variantes de debilitamiento mayor, como las distintas variedades de anteroposición,
que pretenden al mismo tiempo limitar la elevación mediante restricción de la
misma, no se emplean habitualmente en las parálisis adquiridas, salvo que
tengan importantes hiperforias; sí es más frecuente su utilización en las
parálisis bilaterales congénitas, que con frecuencia se asocian a una
endotropía y DVD, con mínima extorsión. La técnica de Caleb González (24),
anteroposición más resección, provoca una importante limitación de la
elevación de hasta 25 dp. A nuestro juicio, esta técnica debe ser reservada
para casos muy puntuales y, generalmente, de manera bilateral. En los casos en
los que se opera un ojo suele dar lugar a una importante limitación de la
elevación.
• Cuando existe significativo tortícolis por torsión, es necesario
operar el músculo oblicuo superior:
— Mediante un refuerzo de todas sus fibras (resección o plegamiento),
especialmente en situaciones en las que la infraversión empeora la tropía
vertical y la exciclotorsión, y provoca o descompensa a su vez una
endodesviación. Con el refuerzo global del músculo mejorarán la intorsión,
la abducción y el descenso del ojo, sobre todo en infraversión.
— Mediante un refuerzo selectivo de las fibras anteriores (técnica de Harada-Ito).
• Cuando existe un tortícolis por compromiso vertical, se operan los
músculos rectos verticales: retroceso de los músculos rectos superior
ipsilateral y/o inferior contralateral, según el grado de
contractura y los campos verticales de la mirada con mayor incomitancia, entre
otros factores.
• Cuando existe una maniobra de Bielschowsky positiva, suele haber una
contractura del músculo recto superior y, por lo tanto, hay que eliminarla.
En las parálisis bilaterales se actúa de modo similar al descrito para las
formas unilaterales, pero en ambos ojos. Sea o no un caso bilateral, con
relativa frecuencia se recurrirá a la reintervención. Por ejemplo, si tras un
debilitamiento bilateral de oblicuos inferiores, persiste un síndrome en «V»
por fuerte endotropía en infraversión o una exciclotorsión, puede ser
necesario reintervenir mediante una técnica de refuerzo de los músculos
oblicuos superiores; o mediante debilitamiento de los músculos rectos
verticales si persiste una hipertropía importante, normalmente en casos
unilaterales o bilaterales asimétricos. Al final, se ha de pretender el mejor
resultado posible ante el mayor número de posiciones de la mirada y de la
cabeza (figura 9).
Figura 9. 9a. Resultado postquirúrgico (14 meses) de la paciente de
la foto 8. Posición primaria de la mirada. Ausencia de tortícolis. 9b.
Maniobra de Bielschowsky negativa hacia el hombro derecho. 9c. Maniobra
de Bielschowsky negativa hacia el hombro izquierdo.
Por otro lado, la cirugía de los músculos oblicuos y rectos verticales
puede dar lugar a las siguientes complicaciones:
• Dificultad de elevación del ojo paralizado. Puede deberse a:
a) Excesiva recesión del músculo recto superior.
b) Debilitamiento simultáneo de los músculos recto superior y oblicuo
inferior.
c) Fibrosis secundaria del músculo recto inferior.
d) Adherencia del músculo oblicuo inferior al recto inferior.
e) Adherencia del músculo oblicuo superior al recto superior.
f) Síndrome de Brown por iatrogenia, a causa de una excesiva resección del
músculo oblicuo superior.
g) La técnica de Caleb González (24), como ya hemos referido, cuando se
realiza unilateralmente, provoca una importante limitación de la elevación,
con un «efecto báscula» sobre el otro ojo, el cual suele desencadenar una
intensa hiperforia (figura 10).
Figura 10. Dificultad de elevación en aducción del OD secundaria a
cirugía del oblicuo inferior ipsilateral.
• Asimetría en la hendidura palpebral. Puede aparecer por:
a) Recesión importante del músculo recto superior, con deficiente
aislamiento de las estructuras de sostén que relacionan los músculos recto y
oblicuo superiores.
b) Ectropion del párpado inferior del ojo contralateral por recesión
inadecuada, por defectuosa o excesiva, del músculo recto inferior.
c) Prominencia del músculo oblicuo inferior en la zona del párpado
inferior, que generalmente sucede cuando se realiza una técnica de
anteroposición con resección de Caleb González (figura 11).
Figura 11. Prominencia del músculo oblicuo inferior en la zona del
párpado inferior del OD.
• Hipocorrección quirúrgica, que obliga a realizar nuevos planteamientos
quirúrgicos.
• Hipercorrección. Es más rara, pudiendo aparecer tanto en el postoperatorio
inmediato, como en el tardío. Es necesario descartar la presencia de parálisis
bilaterales fuertemente asimétricas o enmascaradas que puedan provocar esta
situación.
6. PARÁLISIS DEL III PAR CRANEAL
Las formas congénitas generalmente están asociadas a traumatismos
obstétricos. En los niños, la forma más frecuente de presentación suele ser
la parálisis completa o casi total. El cuadro clínico se caracteriza por una
importante exotropía, con limitación más o menos severa de la aducción,
elevación y depresión. Aunque el grado de exotropía no suele ser tan
importante como en la parálisis adquirida, dado que no suele haber contractura
del recto lateral. No siempre hay afectación pupilar (descartar una parálisis
de la acomodación, que provocaría una importante reducción de la agudeza
visual en la mirada de cerca) o blefaroptosis (figura 12).
Figura 12. Paresia congénita del III par. Posición primaria de la
mirada.
La parálisis cíclica del nervio motor ocular común, que cursa con
fases alternantes de paresia y de espasmo de la musculatura del III par, puede
debutar en la primera infancia o desde el nacimiento. Es de etiología
desconocida (está por comprobar su etiología obstétrica) y, una vez iniciados
los ciclos, persisten toda la vida. Normalmente se trata de afectación de la
musculatura extrínseca e intrínseca, y las fases espásticas suelen ser
breves.
Las formas adquiridas pueden tener todo tipo de presentación, desde
parálisis totales, pasando por todas las variedades posibles, con mayor o menor
gravedad. Suele ser rara la parálisis aislada del músculo oblicuo inferior. En
el caso de existir una parálisis aislada del músculo recto inferior, debe ser
investigada una posible causa neurológica, entre las que cabe destacar la
miastenia gravis (25). En general, la parálisis adquirida aislada del
III par es rara en los niños. Es mucho más común, y casi exclusivo de
la primera década de la vida, su asociación con cefalea benigna: migraña
oftalmopléjica. Esta oftalmoplejía migrañosa suele acontecer en niños con
antecedentes familiares de migraña, en los que la cefalea no es tan intensa
como los vómitos cíclicos, el vértigo, la irritabilidad y la fotofobia. En
niños más mayores la presencia asociada de cefalea recurrente en racimo es
más frecuente. En estos cuadros tan claros no es necesario, ni aconsejable,
recurrir a pruebas arteriográficas. En cualquier caso, ante niños de dudoso
diagnóstico, sin el cuadro típico migrañoso, es aconsejable practicar una
tomografía axial computadorizada o una resonancia magnética nuclear de las
estructuras basales, con inclusión de las órbitas.
La evolución de la parálisis del III par puede ser hacia la resolución
espontánea, aunque en estos casos es característico el intento de
reinervación del III par por fibras anómalas de otros nervios. El cuadro
clínico de la regeneración aberrante se caracteriza por una serie de
movimientos paradójicos, estereotipados y permanentes, que afectan a la
musculatura extraocular, palpebral y pupilar tras una parálisis del III par. No
se sabe cuándo aparece: frente a algún caso en que se inició casi al mes del
accidente, en otros, por el contrario, no aparecen nunca. Existen dos formas
clínicas:
• Sincinesia mirada-párpado (pseudosigno de von Graefe) (26,27).
• Sincinesia mirada-pupila (pseudosigno de Argyll-Robertson) (27,28).
La teoría etiopatogénica más aceptada actualmente es la hipótesis de la
dirección equivocada («misdirection»), que defiende que, tras una
agresión sobre el nervio, se produce una regeneración axonal errónea, por lo
que las fibras toman una dirección equivocada, inervando músculos diferentes
de los que les correspondían originariamente (29,30). En los niños pueden
aparecer los espasmos cíclicos, que aparecen regularmente cada 120
segundos, con una duración de alrededor de 20 segundos. Durante las
intercrisis, la motilidad ocular permanece «normal». Se cree que este tipo de
alteración se debe a una lesión incompleta del núcleo oculomotor, en el que
sobrevivirían algunas motoneuronas (31).
En cuanto al tratamiento, las parálisis del III par completas suelen ser las
de peor pronóstico. La oclusión puede ser el único tratamiento, si la
parálisis es adquirida.
En las formas congénitas el objetivo es estético, por lo que en la mayoría
de los casos es necesario recurrir a la cirugía. En las adquiridas y,
dependiendo de las características de la desviación, pueden ser aplicados
otros tratamientos.
1. Toxina botulínica. Es el tratamiento de elección en la fase
aguda. En las parálisis totales, el producto se inyecta en el músculo recto
lateral en primer lugar y, posteriormente, en los músculos rectos verticales,
si existe desviación en posición primaria de mirada, con limitación solamente
en una dirección de la mirada (figura 13).
Figura 13. 13a. Paresia congénita del III par. Ligera aducción del
OI. 13b. Posición primaria de la mirada. 13c. Resultado del
tratamiento con toxina botulínica en el músculo recto lateral del OI.
Posición primaria de la mirada. Persiste ligera hipotropía izquierda. 13d.
Mejoría de la aducción izquierda.
El momento de inicio, así como la dosis aplicada, son superponibles a lo
descrito para otras parálisis. Es necesario la utilización del EMG. En la
mayoría de los casos es necesario sedar suavemente al niño y puede suceder
que, cuando se inyecta en el músculo recto superior o inferior, sea necesario
hacer un pequeño ojal conjuntival e inyectar la toxina bajo visualización
directa.
Las complicaciones encontradas son mucho menores que las que se producen en
otros músculos. La blefaroptosis aparece sistemáticamente en los casos en los
que se inyecta en el músculo recto superior. No hemos tenido hipercorrecciones
como consecuencia de la aplicación del producto.
2. Tratamiento quirúrgico. El objetivo de la cirugía es diferente
según se trate de parálisis congénitas, en las cuales existe supresión y,
por lo tanto, puede ser un buen resultado una desviación próxima a la
ortotropía; o de formas adquiridas, en las que existe diplopía, que habrá que
intentar eliminar. En estos casos el pronóstico es mucho peor. Los resultados
también dependen de la gravedad y del número de músculos afectados.
Las técnicas quirúrgicas se basan en un debilitamiento del músculo
recto lateral y en un refuerzo del músculo recto medial, del ojo
afecto. En los casos con parálisis total, la resección del músculo recto
medial no va a normalizar el movimiento, pero realiza un «efecto cuerda» que
impide que el ojo se vaya a la divergencia (figura 14).
Figura 14. 14a. Parálisis oculomotora del III par derecho.
Posición primaria de la mirada. Tortícolis. 14b. Limitación de la
aducción (grado –2) del OD. 14c. Abducción del OD normal. 14d.
Postoperatorio (1 mes). Posición primaria de la mirada. 14e. Ligera
dificultad de la abducción del OD. 14f. Ligera dificultad de la
aducción del OD.
Si el ángulo de la desviación es importante, es necesario realizar una cirugía
inervacional, propuesta por Horta (32,33), que intenta igualar los
impulsos inervacionales en ambos ojos. Consiste en debilitar el músculo recto
lateral y reforzar el músculo recto medial del ojo sano, con cifras
importantes, para conseguir recuperar el paralelismo ocular.
En algunos casos estas cirugías son, a pesar de todo, claramente
insuficientes, por lo que se intenta limitar la abducción mediante sutura de
la carúncula al limbo, suturas de tracción, o transposición
nasal del músculo oblicuo superior. Esta última técnica se realiza
en casos de parálisis congénitas, con supresión e importante desviación.
Horta Barbosa, en estos casos que precisan tanta cirugía, es partidario de
combinar, en un mismo acto quirúrgico, la retroinserción del músculo recto
lateral contracturado, la cirugía inervacional contralateral
(resección del recto medio), y la sutura carúnculo-limbar del ojo
paralítico. Esta última técnica, que se comporta como una «suplencia
conjuntival», no requiere o evita la realización de la resección del recto
medio del ojo afectado. Se trata de una verdadera resección conjuntival,
desde el limbo hasta el pliegue semilunar. Éste se despliega, disminuyendo su
grosor, y se sutura a limbo y esclera perilímbica mediante varios puntos de
fijación. Es una auténtica sutura de tracción, que pretende no permitir la
recidiva de la divergencia en el ojo paralítico.
Cuando el párpado está comprometido, es necesario evaluar la necesidad de
operar el estrabismo. Pensamos que, ante esta situación, solamente deberán ser
intervenido aquellos niños con ojo único e importante tortícolis vertical,
para permitir una cierta calidad visual. En definitiva, ha de existir una
valoración conjunta entre el estrabólogo y el cirujano plástico que asuma el
problema palpebral o, en su caso, el oftalmólogo especializado en cirugía de
anejos. En el caso de que esté indicada la cirugía de la ptosis, siempre
habrá que corregir primero el estrabismo, sobre todo en las situaciones en que
pueda aparecer, o ya exista, algún tipo de diplopía.
La cirugía de la blefaroptosis puede provocar una alteración sensorial así
como del trofismo corneal, por exposición y maloclusión. Es posible observar
tras la cirugía palpebral una queratitis por exposición, que puede mejorar con
el tiempo. La suspensión al músculo frontal y la resección
del músculo elevador, según el grado de función de éste, son las
técnicas habitualmente empleadas.
7. OTRAS PARÁLISIS
En los niños puede aparecer todo tipo de parálisis, de modo similar a lo
que sucede en la población adulta. Como consecuencia de un traumatismo, de un
tumor, o de cualquier otro proceso, se pueden presentar cuadros clínicos
similares.
La miastenia gravis, el síndrome de Parinaud, el síndrome «del uno y
medio», y la oftalmoplejía internuclear, son cuadros que, si bien son más
característicos del paciente de cierta edad, no son exclusivos.
Sin embargo hay un cuadro clínico, generalmente congénito, que se
diagnostica desde la primera infancia y que se denomina parálisis unilateral
de la elevación. También llamada «parálisis doble de los
elevadores», es un cuadro raro y unilateral, en el cual los músculos
oblicuo inferior y recto superior están comprometidos (34-36). El cuadro
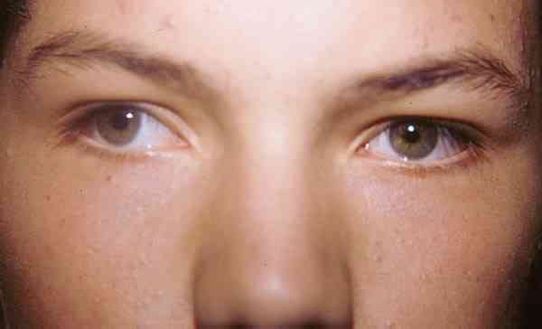
clínico se caracteriza por (figura 15):
Figura 15. 15a. Parálisis oculomotora unilateral de la elevación
izquierda. Posición primaria de la mirada. Hipotropía del OI con ptosis y
pseudoptosis. 15b. Dificultad de la elevación del OI.
• Blefaroptosis, aunque generalmente hay un componente de pseudoptosis
asociado.
• Ortotropía en posición primaria de la mirada o discreta hipotropía.
• Si el ojo fijador es el afectado, aparece una hipertropía del ojo sano.
• Limitación de la elevación, tanto en abducción como en aducción.
• Existe fenómeno de Bell, lo cual iría a favor de un origen supranuclear.
• Puede ir asociado a un tortícolis para lograr conservar la visión
binocular.
• El estudio sensorial binocular muestra una normalidad en la posición
primaria de la mirada, salvo que exista una hipotropía, pudiendo existir una
supresión, con o sin ambliopía del ojo afectado.
El tratamiento es quirúrgico en cualquiera de las siguientes situaciones:
• Cuando existe hipotropía en la posición primaria de la mirada superior a
10 dp, con o sin desviación horizontal asociada.
• Cuando existe tortícolis con el mentón elevado.
El tipo de técnica, depende de la ducción pasiva intraoperatoria:
a) Si existe contractura del músculo recto inferior del mismo lado:
— Deberá debilitarse dicho recto inferior, mediante un retroceso.
Lo que resolverá los casos en los que se pretenda corregir desviaciones
verticales de hasta unas 18-20 dp.
— Si la desviación vertical a corregir es mayor que 20 dp, se ha de
añadir en la misma intervención la cirugía del ojo sano,
mediante retroceso del músculo recto superior, con adición o no de una técnica
de debilitamiento del músculo oblicuo inferior, que podrá llegar a ser
incluso una anteroposición, según la gravedad del caso.
b) Si no existe contractura ni fibrosis del músculo recto inferior del mismo
lado, actualmente se discuten dos tipos de técnicas:
— Cirugía del ojo sano, mediante recesión del músculo recto
superior, con o sin operación de Faden (37).
— Cirugía del ojo afecto, mediante una transposición de los
músculos rectos horizontales hacia arriba, según la técnica propuesta
por
Knapp (38). Esta técnica, de forma estandarizada, corrige hasta 20 dp
en posición primaria por lo que, si la desviación a corregir es superior,
sería necesario operar el ojo sano en un segundo tiempo. Pero, nosotros nos
inclinamos por la opción de Knapp, incluso en tales casos, ya que esta técnica
permite aumentar el efecto corrector de la hipotropía, de forma gradual,
conforme mayor sea el desplazamiento posterior de las nuevas inserciones de los
músculos rectos horizontales con respecto a la línea de inserción del recto
superior. El incremento en la elevación del ojo se conseguirá de esta forma
siempre que se aíslen bien dichos rectos horizontales, mediante un
desbridamiento que llegue hasta detrás del ecuador.
Por último, existen otros tipos de parálisis menos frecuentes, entre los
que cabe destacar la pérdida del reflejo de fusión, generalmente
adquirida, así como la parálisis de la acomodación. Esta
última puede ser aislada o asociada a la parálisis del esfínter pupilar,
constituyendo una oftalmoplejía interna; también puede ir asociada a una parálisis
de la convergencia. Existen varias entidades que pueden provocar una
parálisis de este tipo (10). Los niños se quejan de mala visión de cerca,
así como diplopía y micropsia. El tratamiento de la parálisis de la
acomodación pura consiste en colocar una lente esférica de +3 dioptrías
delante del ojo afectado. Tenemos algún caso con desaparición espontánea. Los
casos más frecuentes son bilaterales, en cuyo caso, las gafas tipo ejecutivo o
bifocales tipo Franklin son la solución. Además, ante la coexistencia de
insuficiencia de convergencia que proporcione exotropía relativa de cerca
superior a las 15-20 dp, se podrá adherir a los cristales los correspondientes
prismas tipo «Press-on».
BIBLIOGRAFÍA
- Horta Barbosa P. Paresia del III nervio. Comunicación presentada en el
XIV Congreso del CLADE (Sao Paulo). Mayo 2000.
- Bicas HEA. B. Comunicación presentada en el XIV Congreso del CLADE (Sao
Paulo). Mayo 2000.
- Kodsi SR, Younge BR. Acquired oculomotor, trochlear and abducent cranial
nerve palsies in pediatric patients. Am J Ophthalmol 1992; 114: 568-574.
- Richards BW, Jones FR, Younge BR. Causes and prognosis in 4278 cases of
paralysis of the oculomotor, trochlear and abducens cranial nerves. Am J
Ophthalmol 1992; 113: 489-496.
- Miller NR. Solitary oculomotor nerve palsy in childhood. Am J Ophthalmol
1977; 83: 106.
- Rush JA, Younge BR. Paralysis of cranial nerves III, IV and VI: Cause and
prognosis in 1000 cases. Arch Ophthalmol 1981; 99: 76-79.
- Parks MM. Duane´s Clinical Ophthalmology. Philadelphia: JB Lippincott;
1989: cap.1.
- Syndor CF, Seabe BA, Buckley EG. Traumatic superior oblique palsies.
Ophthalmology 1982; 89 (2): 134.
- Gómez de Liaño P, Rodríguez Sánchez JM, Gómez de Liaño R. Actitud
terapéutica de las parálisis oculomotoras del VI par: resultados del
tratamiento con toxina botulínica. Actas del XII Congreso del CLADE (Buenos
Aires) 1996: 345-348
- Gómez de Liaño P. Parálisis oculomotoras: diagnóstico y tratamiento.
Madrid: Tecnimedia Editorial; 1999
- Spielmann A. Les estrabismes. París: Masson; 1989-1990.
- Bielschowsky A. Lectures on motor anomalies. Hannover: Dartmouth College
Public.; 1943: 73-86.
- Souza-Dias C. Congenital VI nerve palsy in Duane´s syndrome until
proven. Binocular Vision 1992; 7 (2): 70.
- Meyerhof O. Augenmuskellahmungen bei Grippe. Klin Monatsbl Augenheilk
1922; 68: 393.
- Knox DL, Clark DB, Schuster F. Benign VI nerve palsy in children.
Pediatrics 1967; 40: 560-564.
- Afifi AK, Bell WE, Bale JF. Recurrent lateral rectus palsy in childhood.
Pediatr Neurol 1990; 6: 315.
- Amorós S, González M, Cabrera F, et al. Parálisis del sexto par:
factores influyentes en la eficacia del tratamiento con toxina botulínica. Acta
Estrabológica 1997: 43-50.
- Souza-Dias C. Parálisis del IV nervio. Comunicación presentada en el
XIV Congreso del CLADE (Sao Paulo). Mayo 2000.
- Souza-Dias C. Some thoughts about the recti muscles transposition: the
side-slip. Actas del XII Congreso del CLADE (Buenos Aires) 1996: 557-564.
- Saunders RA, Sandall GS. Anterior segment ischemia after strabismus surgery.
Surv. Ophthalmol 1994; 38:456 – 466.
- Paysee EA, Coats DK, Plager DA. Facial asymmetry and tendon laxity in
superior oblique palsy. J Pediatr Ophthalmol Strabismus 1995; 32: 158-161.
- Jampolsky A. The forced head tilt test facts and some fictions. In:
Abstracts del XII Congreso Latinoamericano de Estrabismo. Buenos Aires: Prieto
Díaz J; 1996: 209-213.
- Jampolsky A. Management of vertical strabismus. In: Crawford JS, Flynn J,
Halk BG, et al. Pediatric Ophthalmology and Strabismus. Trans New Orleans Acad
Ophthalmol. New York: Raven Press; 1986: 141-171.
- González C, Cinciripini G. Anterior transposition of the inferior
oblique in the treatment of the fourth nerve palsy. In: Update on strabismus and
pediatric Ophthalmology. Vancouver: G. Lennerstrand; 1996: 326-328.
- Barton JJS. Infranuclear and nuclear ocular motor palsies. In: Rosen ES,
Eustace P, Thompson HS, et al. Neuroophthalmology. Londres: Mosby; 1998:
15.1-15.13.
- Rice CD. Unilateral blepharoptosis with sinkynetic movements of the
eyelids on horizontal gaze. J Pediatr Ophthalmol Strabismus 1986; 23 (4):
201-205.
- Graf M, Krzizok T. Okuläre Fehlinnervationen (Ocular Misdirection
Syndromes). Z Prakt Augenheilk 1995; 16: 101-111.
- Czarnecki JSC, Thompson HS. The iris sphincter in aberrant regeneration
of the third nerve. Arch Ophthalmol 1978; 96: 1606-1610.
- Bender MB, Fulton JF. Factors in the functional recovery following
section of the oculomotor nerve in monkeys. J Neurol Psychiatry 1939; 4:
285-292.
- Ford FR, Woodhall B. Phenomena due to misdirection of regenerating fibers
of cranial, spinal and autonomic nerves: Clinical observations. Arch Surg 1938;
36: 480-496.
- Prieto-Díaz J, Souza-Dias C. Estrabismo. La Plata (Argentina): Prieto
Díaz; 1996: 377-401.
- Horta Barbosa P. Fuerzas pasivas en la terapéutica quirúrgica de la
parálisis del III nervio. In: Gómez de Liaño F. Encuentro Estrabológico
Iberoamericano. Madrid: ONCE; 1994: 59-60.
- Horta Barbosa P. Neurogénicos: Paralisia do III. In: Souz Dias C, Ameida
HC. Estrabismo. Sao Paulo: Roca; 1993: 181-184.
- Duke-Elder S, Wybar K. Ocular motility and strabismus. In: Duke-Elder S.
System of Ophthalmology. Londres: Henry Kimpton; 1973; VI: 16-29 y 839-850.
- Spector RH. Vertical diplopia. Ophthalmology 1993; 38: 31-62.
- Hugonnier R, Hogonnier S. Parálisis oculomotoras, formas complejas y
asociadas. In: Estrabismos: heteroforias, parálisis oculomotrices. Barcelona:
Toray-Masson; 1973: 350-369.
- Spielman A. Le traitement chirurgical des paralysies de l’elevation. Fases
physiologiques. J Fr Orthopt 1981; 13: 67-86.
- Dunlap EA. Vertical displacement of horizontal recti. Symposium on
strabismus. St. Louis; 1971: 307-329.
|