ACTUALIZACIÓN  EN  CIRUGÍA  OFTÁLMICA  PEDIÁTRICA

ÍNDICE GENERAL


PARTE 7. ÓRBITA

CAPÍTULO 53

AVANCES Y NUEVAS APLICACIONES DE LAS TÉCNICAS DE NEUROIMAGEN A LA CIRUGÍA ORBITARIA INFANTIL

Aranzazu Royo Orejas, Pilar Moreno Anaya, Pilar García Raya,Isabel Díez Pérez de las Vacas

 

INTRODUCCIÓN

Las aplicaciones de los métodos de imagen a la cirugía orbitaria, al igual que a otras áreas quirúrgicas, han experimentado un cambio total debido a los grandes avances tecnológicos de los últimos tiempos. La ecografía o ultrasonografía (US), con las aportaciones del Doppler y la imagen tridimensional (todavía no de uso clínico habitual), ha hecho de esta prueba el mejor medio de despistaje en el estudio de la patología del globo ocular. También la angiografía digital, donde la mejora de los materiales ha disminuido de forma significativa la morbimortalidad, ha podido ampliar sus indicaciones, en especial en los tratamientos endovasculares.

Pero es, sobre todo, en el campo de la tomografía computada (TC) y resonancia magnética (RM), donde se han producido los cambios más significativos, que han permitido al neurorradiólogo, no sólo mejorar su capacidad diagnóstica, sino aportar información de gran ayuda en la planificación de cirugías complejas e incluso al mismo acto quirúrgico. Desde que en 1972 Hounsfield realizara el primer estudio cerebral con un tomógrafo experimental a la actualidad, la evolución de la TC ha sido vertiginosa. El último gran avance en este campo, la TC helicoidal ha dado una nueva dimensión a esta técnica. Combinando el movimiento de rotación del tubo y el de traslación de la mesa a través del mismo, se crea un movimiento en hélice o espiral que permite una adquisición volumétrica de datos similar a la que se realiza en RM. Esto consigue, por una parte, disminuir de forma muy importante los tiempos de exploración (30 segundos para la realización del estudio completo) y la dosis de radiación y, por otra, hacer reconstrucciones en distintos planos con sólo una mínima pérdida de calidad respecto a la proyección basal (figura 1).

53-01.jpg (20780 bytes) 
Figuras 1a, b, c, d, e y f. Imagen axial (a) en técnica espiral con reconstrucciones biplanares coronal (b), y de superficie de estructuras óseas (c, d, e) y de piel (f). Se observa fractura de la lámina papirácea (a) con hundimiento del suelo (b) y con esquirla ósea. En las reconstrucciones tridimensionales de superficie puede valorarse su repercusión estética.

 

La RM también ha avanzado mucho técnicamente y la órbita ha sido una de las regiones que más se ha beneficiado de estos avances. En un principio, la resolución en este área era menor a la de otras técnicas debido a su situación periférica y a la movilidad de su estructura más grande, el globo ocular. Además, tanto la US como la TC tenían una capacidad diagnóstica especialmente alta en este área. Por ello se ha trabajado en encontrar soluciones para paliar estas dificultades. Entre estos avances destaca la aparición de las secuencias rápidas (fast o turbo), de similares características a las convencionales pero con una importante reducción de tiempo en la adquisición de datos. Estas secuencias han disminuido el número de artefactos de movimiento y han permitido mejorar la imagen, al poder utilizar matrices de alta resolución manteniendo el tiempo de exploración en unos límites aceptables. Otro gran avance ha sido la aparición de antenas de superficie, que son bobinas de exploración de pequeño diámetro que se colocan sobre la superficie a estudiar, consiguiendo aproximar al máximo la zona de interés a la antena receptora y eliminando el ruido que producen áreas cercanas a la órbita pero fuera del campo de interés. De esta forma, se logra aumentar la relación señal-ruido que es la que marca la calidad de la imagen. Existen algunas dificultades en el uso de esta antena: no permite explorar el vértice orbitario ni el compartimento intracraneal, áreas de especial interés en la valoración de la diseminación tumoral. Además las secuencias largas (como las secuencias con potenciación T2) son más susceptibles de artefactos cuando se utiliza.

Es importante reseñar que en el Hospital Infantil La Paz, y dentro de la población pediátrica hay dos factores especialmente importantes que debemos considerar a la hora de decidir cuál es el método diagnóstico más adecuado para cada caso:

— La necesidad de sedación en gran parte de los pacientes. Por ello, hay que utilizar, a igual rendimiento, el más rápido posible, que puede evitar la necesidad de largas anestesias.

— La radiación. Según la Comisión Internacional de protección radiológica (CIPR), la mayor esperanza de vida de los niños da lugar a una mayor manifestación potencial de los efectos tardíos de la radiación, como la carcinogénesis. Por tanto, la utilización de todas los recursos que permitan optimizar la prueba disminuyendo la dosis de radiación deben ser especialmente utilizadas en ellos, incluso a expensas de perder cierto grado de resolución. Todo esto debe realizarse manteniendo lógicamente la capacidad diagnóstica de la prueba.

Teniendo en cuenta estas consideraciones, la elección se basará en las ventajas y desventajas de cada técnica, adaptándose a las circunstancias concretas de cada caso (disponibilidades de aparataje, edad del niño, urgencia de la prueba, etc.).

En este capítulo, además de hacer una revisión del diagnóstico neurorradiológico en las patologías orbitarias infantiles frecuentemente quirúrgicas a la luz de la evolución de las técnicas de diagnóstico por imagen, incidiremos especialmente en sus nuevas aplicaciones para planificación y guía quirúrgica.

 

DIAGNÓSTICO NEURORRADIOLÓGICO DE LA PATOLOGÍA ORBITARIA DE TRATAMIENTO QUIRÚRGICO HABITUAL

Tumores del globo ocular: retinoblastoma

El retinoblastoma (RTB) es el tumor intraocular más frecuente en la infancia, diagnosticándose con mayor frecuencia entre un año y medio y dos de edad. Puede ser uni o bilateral (1/3 de los casos). El diagnóstico inicial suele ser oftalmoscópico. Las técnicas de imagen son imprescindibles para detectar la patología en aquellos casos que se presenten con leucocoria (60% de los pacientes según Kaufman) (1) y en todos los casos necesarias para confirmar el diagnóstico clínico y realizar un diagnóstico diferencial, ya que aportan datos sobre las características del proceso, extensión orbitaria y al SNC, así como sobre la respuesta al tratamiento (2).

La ultrasonografía (US) debe ser la técnica inicial tras la exploración oftalmológica. Se trata de una técnica ampliamente disponible e inocua tanto por no emplear radiaciones ionizantes como por realizarse sin sedación del paciente.

La fiabilidad diagnóstica de la US es alta ya que detecta masas únicas o múltiples de pequeño tamaño (menores de 2 mm), heterogéneas, con calcificación (detectada con esta técnica hasta en un 85-90% de los casos), y desprendimiento de retina.

El uso del Doppler es capaz de detectar vasos en los tumores no calcificados y ayuda en el diagnóstico diferencial en casos de RTB atípicos.

La US dadas las ventajas referidas es muy útil para realizar controles evolutivos de respuesta al tratamiento, según el tamaño y el grado de calcificación y vascularización (3).

Más del 90% de los RTB muestran calcificación en tomografía computada (TC), generalmente en la porción posterior del globo (4). Su aspecto es variable, única o múltiple, finas o gruesas. Si el tumor es pequeño la calcificación puede ser difícil de identificar (5). La TC permite hacer cortes seriados de 1,5 a 3 mm de espesor o estudiar un volumen orbitario mediante técnica helicoidal. En el estudio con contraste intravenoso el realce tumoral es mínimo o moderado, no obstante puede ayudar a identificar enfermedad retrobulbar e intracraneal aunque para ello es más sensible la resonancia magnética (figuras 2a y 2b).

53-02.jpg (9588 bytes) 
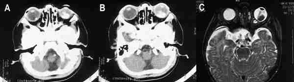
Figuras 2a, b y c. Retinoblastomas bilaterales calcificados. Imágenes axiales mediante TC (a, b) y secuencia potenciada en T2 de RM. El calcio se define mejor en el estudio de TC.

 

La resonancia magnética (RM) muestra menor sensibilidad en la detección de calcio que la US o la TC, sin embargo supera a estas dos técnicas en la valoración de extensión local, diseminación al SNC y en el diagnóstico diferencial con entidades que simulan al RTB (1) (figura 2c). El tumor aparece iso o levemente hiperintenso respecto al vítreo en secuencia eco de espín potenciada en T1 (SET1) en relación a hemorragia intratumoral y al depósito de sustancias paramagnéticas asociadas a calcificaciones tumorales (6) (figura 3). En secuencia eco de espín potenciada en T2 (SET2) la señal del tumor es hipointensa respecto al vítreo. El grado de extensión local se valora tras la administración de gadolinio intravenoso mediante secuencias SET1 con saturación de la grasa. Aunque el realce tumoral es variable, siempre ha de realizarse estudio con contraste ya que ayuda a identificar enfermedad retrobulbar (4).

53-03.jpg (12263 bytes) 
Figura 3. Secuencia axial potenciada en T2 de retinoblastoma bilateral con hemorragia vítrea asociada en el lado izquierdo.

 

Los protocolos de imagen en el diagnóstico del RTB deben incluir la búsqueda de tumores asociados de línea media, de la región pineal en el 75% de los casos y supra o paraselares en el 25% (RTB trilateral) (7).

Tanto la TC como la RM son fundamentales para establecer el diagnóstico diferencial con lesiones simulantes de RTB entre ellas la enfermedad de Coat o teleangiectasia retiniana, meduloepitelioma, osteoma coroideo, etc. (1).

Las técnicas de imagen y en especial la RM juegan un papel primordial en el control de la respuesta al tratamiento. Tras la enucleación e implantación de prótesis porosas de hidroxiapatita, Medpor o Alumina la RM permite valorar la revascularización previa a la colocación del vástago con una eficacia global de un 90% (2).

Aunque algunos autores propugnan la US como método de seguimiento, en nuestra experiencia, tras revisar los estudios de RM y TC de 31 niños con RTB tratado con quimioterapia, la RM es el método más adecuado para evaluar la respuesta al tratamiento. Es posible valorar la reducción del tamaño tumoral, la presencia de tejido tumoral activo, así como la asociación con hemorragia y desprendimiento de retina. La valoración cuantitativa de la reducción tumoral ha de ser rigurosa, realizando las medidas en planos y secuencias similares en todos los controles.

El protocolo más idóneo en el diagnóstico de RTB consistiría en la realización de:

— US.

— TC sin contraste para la detección de calcificaciones, si fuese posible mediante técnica helicoidal.

— RM sin y con Gadolínio, empleando técnica de saturación grasa.

Los controles deben realizarse por lo menos cada seis meses con RM complementado con ecografías bimensuales (2).

 

Tumores orbitarios

El estudio por imagen es esencial en el diagnóstico de masas orbitarias. La TC y la RM confirman la presencia de lesión, definen su localización y extensión periorbitaria o intracraneal. El diagnóstico definitivo se realizará por biopsia.

Algunos autores plantean el dilema de cual de las dos técnicas se debe usar y en que orden. Como regla general recomiendan la RM como 1ª en procesos neuro-oftálmicos, lesiones del nervio óptico, así como en lesiones orbitarias en las que se sospeche extensión intracraneal. La TC se acepta como modalidad de elección en otros procesos orbitarios dado que permite valorar las estructuras óseas orbitarias con una buena delimitación de tejidos blandos. En casos complicados ambas técnicas deben ser realizadas complementándose la una a la otra (8).

Los tipos de tumores orbitarios encontrados en la población pediátrica por orden de frecuencia son quistes, lesiones vasculares, tumores del nervio ópticos y meninges, masas inflamatorias, lesiones óseas y fibroquísticas y rabdomiosarcoma (9). Las lesiones vasculares son tratadas específicamente más adelante en un apartado distinto, dada su complejidad.

 

Quistes dermoides y epidermoides

Los quistes dermoides y epidermoides son lesiones benignas del desarrollo y representan el tipo más frecuente de masa orbitaria en niños. Se suelen diagnosticar en la primera década de la vida especialmente cuando son superficiales o subconjuntivales (8). La localización más frecuente de los quistes dermoides es el cuadrante superotemporal junto a la sutura frontozigomática, debido a que su origen está en relación con el secuestro de epidermis en las suturas durante el desarrollo orbitario. La TC muestra una lesión quística de pared fina y lisa con un centro de baja atenuación. Los quistes dermoides, dependiendo de su contenido, pueden mostrar densidad grasa, niveles líquido-líquido y calcio. El realce con contraste suele ser nulo o leve en la pared. Pueden causar remodelación o erosión ósea. En RM los quistes dermoides aparecen como lesiones redondeadas u ovales con intensidad de señal variable dependiendo de su contenido. Son de modo característica hipointensos con respecto a la grasa en imágenes T1 e hiperintensos en T2, aunque pueden tener áreas con intensidad de señal idéntica a la grasa en todas las secuencias. Los niveles grasa-líquido son patognomónicos (10). Los quistes epidermoides no suelen contener grasa, su intensidad de señal es similar a la del líquido excepto en aquellos con componente hemorrágico o proteináceo intralesional hiperintensos en imágenes T1.

 

Tumores del nervio óptico y meninges

Glioma del nervio óptico:

El glioma del nervio óptico o astrocitoma pilocítico juvenil es un tumor benigno, de lento crecimiento, que se asocia con frecuencia a neurofibromatosis en especial cuando es bilateral.

La TC muestra un aumento de grosor liso y fusiforme del nervio óptico aunque también puede verse tortuoso dependiendo del patrón de crecimiento del tumor. A diferencia con el meningioma la calcificación es rara. Suelen mostrar un realce con contraste moderado y uniforme. Si el tumor se ex tiende al canal óptico la imagen en ventana de hueso muestra ampliación y remodelación del canal.

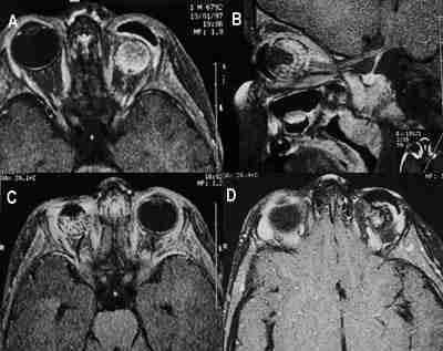
Como ya se comentó anteriormente en este capítulo, la RM es la técnica de elección en el diagnóstico del glioma del nervio óptico para determinar su extensión intracanalicular, quiasmática e intracra neal profunda, sin artefactos en la imagen por estructuras óseas circundantes. La intensidad de señal suele ser similar a la de la sustancia blanca cerebral tanto en secuencias T1 como T2. El realce con gadolínio puede ser moderado o intenso (figura 4).

53-04.jpg (6514 bytes) 
Figuras 4a, b y c. Glioma del nervio óptico. Secuencia axial potenciada en T1 tras la administración de Gadolínio (a, b) que muestra el tumor del nervio óptico derecho que no llega al quiasma. Una reconstrucción biplanar (c) logra delimitar mejor la extensión tumoral así como su componente quístico.

 

Meningioma:

El meningioma de la vaina del nervio óptico o del ala del esfenoides con extensión a la órbita es menos frecuente en niños aunque también es posible encontrarlo. Se observa un engrosamiento fusiforme con márgenes irregulares, puede presentar calcificación en TC y realza con contraste. La RM muestra el tumor que suele ser isointenso con respecto al nervio en T1 y T2, con intensa captación de contraste alrededor del nervio óptico hipointenso.

 

Lesiones óseas y fibroquísticas

La lesión más frecuente en este grupo es la displasia fibrosa que puede afectar cualquier hueso de la órbita. Los estudios de imagen muestran un engrosamiento difuso con aumento de la densidad en TC e intensidad de señal variable en RM. Otras lesiones menos frecuentes son las lesiones fibro-óseas benignas, y lesiones malignas como el osteosarcoma y el sarcoma de Ewing.

 

Rabdomiosarcoma (RMS)

El rabdomiosarcoma es el tumor maligno más frecuente en la infancia, representa el 4-8% de las masas orbitarias biopsiadas según la serie de Shields y cols. (11).

El diagnóstico debe ser precoz ya que un tratamiento precoz con quimio y radioterapia mejora dramáticamente la supervivencia. La TC y la RM juegan un importante papel en la evaluación preoperatoria y en el estadiaje.

Suele presentarse en niños de 7-8 años de edad con proptosis unilateral progresiva de evolución rápida. La localización más frecuente es el cuadrante superonasal aunque puede afectar a más de uno. El tumor es indistinguible del cono muscular que se encuentra desplazado o englobado en la lesión aunque la mayoría de los tumores se desarrollan independientes del cono a partir, de células mesenquimales indiferenciadas (12). Puede extenderse fuera de la órbita y con menor frecuencia dar metástasis hematógenas a pulmón, hígado y cerebro.

La TC muestra una lesión isodensa con el músculo normal, homogénea, de márgenes bien definidos.

El tamaño es variable, menor o similar al globo ocular mostrando éste desplazamiento o deformación posterior aunque no suele estar invadido (12).

La captación de contraste es leve-moderada y homogénea.

Los tumores grandes suelen tener márgenes peor definidos y al estar en contacto con los márgenes óseos orbitarios pueden adelgazar o erosionarlos e invadir estructuras vecinas como la glándula lacrimal o el nervio óptico (figura 5).

53-05.jpg (13291 bytes) 
Figuras 5a y b. Rabdomiosarcoma orbitario izquierdo. Secuencia potenciada en T1 con gadolínio y saturación grasa (a) y potenciada en T2 (b). El tumor impronta el globo ocular y el cono muscular.

 

La RM muestra una masa de intensidad de señal similar al músculo o al cerebro en T1, hiperintensa en T2. La intensidad de señal puede variar si el tumor presenta áreas de hemorragia focal. El realce con contraste paramagnético es moderado-marcado.

La RM demuestra la extensión del tumor a senos paranasales (seno etmoidal) así como al compartimento intracraneal a través de la fisura orbitaria inferior.

Hay autores que defienden la superioridad de la RM como modalidad de imagen en el diagnóstico del RMS para detectar, evaluar extensión debido a su mejor resolución de contraste y a su capacidad multiplanar (13). Además es muy útil en el diagnóstico diferencial con otras lesiones orbitarias que causan proptosis y que por su intensidad de señal característica permiten hacer un diagnóstico más específico. Este es el caso de lesiones quísticas benignas, lesiones hemorrágicas (hematoma subperióstico) o lipomatosas, lesiones óseas o condrogénicas (14).

El diagnóstico diferencial con lesiones inflamatorias (poco frecuentes en esta edad) así como con otros tumores orbitarios (leucemia, linfoma, hemangioma, linfangioma, granuloma eosinófilo) (figura 6), tumores de nervio periférico (el más frecuente el neurofibroma) (figura 7) puede ser más dificil ya que pueden presentar una intensidad de señal similar al RMS. En algunos casos es preciso diagnóstico histológico (15).

53-06.jpg (13316 bytes) 
Figuras 6a y b. Granuloma eosinófilo que destruye el techo orbitario izquierdo e invade el parénquima cerebral. Secuencias de RM potenciadas en T1 con Gadolínio coronal (a) y sagital (b).

53-07.jpg (12729 bytes) 
Figuras 7a, b, c y d. Neurinoma extraconal. Secuencia sagital T1 (a) y axial DP que muestra la lesión de localización extraconal. Las reconstrucciones coronales en ventana ósea (c) y parenquimatosa (d) de TC helicoidal permiten ver la lesión pue produce remodelación ósea, hallazgo típico de las lesiones de lento crecimiento.

 

Las técnicas de imagen también juegan un importante papel en la detección de masa residual y recurrencia tumoral. Para ello es preciso realizar TC o RM tras completar el tratamiento, estudios que servirán de base para comparar con estudios de control y así detectar de forma precoz recaídas (14).

 

Metástasis

Las lesiones secundarias o metastásicas representan menos de la mitad de las lesiones orbitarias malignas en niños (9).

El tumor más frecuente es el RTB ocular con invasión local orbitaria.

Los tumores que con mayor frecuencia metastatizan en la órbita en niños son el neuroblastoma y el sarcoma de Ewing. La TC y la RM muestran una lesión focal o infiltrativa.

Las leucemias tambien pueden afectar a la órbita siendo los cloromas una de las causas de exoftalmos (figura 8).

53-08.jpg (11097 bytes) 
Figuras 8a, b y c. Cloromas. TC axial con contraste intravenoso yodado que muestra tres lesiones en rama mandibular izquierda (a), pared orbitaria inferolateral derecha (b), y la de mayor tamaño en pared orbitaria lateral izquierda. Las 3 corresponden a cloromas.

 

Tumores orbitarios vasculares infantiles

Papel de las distintas técnicas de imagen

En la infancia, los tumores vasculares ocupan estadísticamente el segundo puesto en frecuencia, después de los tumores quísticos (9,16). Las series de Belmekki, Kodsi y Cotton, (9,16,17), coinciden en que suponen del 18-20% del total de los tumores orbitarios infantiles, incluyendo primarios y secundarios. Dada la complejidad de su diagnóstico diferencial, hemos preferido tratarlos de forma separada del resto de los tumores orbitarios.

Las nuevas técnicas de imagen han adquirido un papel muy importante en la caracterización de estas lesiones y son fundamentales, en las decisiones terapéuticas, en el control evolutivo de las mismas, y en caso de que sea necesaria la cirugía en la planificación del abordaje quirúrgico. La información es fundamental cuando las lesiones son profundas y no revelan su carácter vascular en el examen clínico.

Todas las técnicas de imagen pueden ser útiles en el diagnostico de las lesiones orbitarias vasculares: placa simple, US, tomografía computada (TC) y resonancia magnética (RM). Sólo en casos de diagnóstico dudoso o cuando se plantee un tratamiento endovascular, hay que recurrir a la arteriografía. La venografía orbitaria era muy utilizada hasta hace unos años, pero con la aparición de las nuevas técnicas (TC y RM), ha caído en desuso y sólo se utiliza en contadas ocasiones (18).

En la radiología simple, que aporta muy poca información, podemos ver remodelación ósea orbitaria, agrandamiento del agujero óptico o de la hendidura esfenoidal, e incluso calcificaciones en las varices o en los hemangiomas cavernosos, pero estos dos hallazgos (alteraciones óseas y calcificaciones), se ven mejor en la TC que, además, nos proporciona información sobre otras estructuras del contenido orbitario.

La US es una técnica accesible, fácil de realizar y puede ser muy útil como estudio inicial para descartar otras patologías orbitarias y sobre todo intraoculares. Con US analizamos la naturaleza de la lesión y se puede diferenciar claramente entre tumores quísticos y sólidos, también en los procesos vasculares (19,20), con la introducción del Doppler pulsado y del Doppler color, podemos ver la vascularización tumoral y medir la velocidad del flujo de los vasos que la componen. Como es una prueba dinámica, en las varices se puede distinguir si la lesión es depresible y si cambia con las maniobras de Valsalva o con los cambios posturales.

Los tumores orbitarios generalmente son hiperecogénicos, aunque pueden presentar en su interior áreas quísticas o hemorrágicas, que se manifiestan como zonas hipoecoicas. Cuando hay flebolitos, se pueden ver las calcificaciones.

Cuando la US es normal no es necesario realizar más pruebas si no hay discordancia clínica, pero cuando es dudoso o patológico, debemos continuar con TC o RM.

La TC tiene mayor poder de resolución que los ultrasonidos, por lo que se pueden delimitar mejor las lesiones, su morfología, sitio de origen y grado de afectación de las estructuras que los rodean, se diferencia muy bien la grasa orbitaria de los músculos, nervio orbitario y contenido ocular, en cambio para la valoración intraocular es superior la US.

Los procesos vasculares son casi siempre masas de alto valor de atenuación con gran captación tras la introducción de contraste intravenoso, ésta puede ser homogénea o heterogénea pero con frecuencia muy intensa.

La RM permite obtener imágenes en varios planos diferentes sin necesidad de movilizar al paciente, tiene gran capacidad de discriminación de tejidos blandos y supera a la TC ampliamente en la valoración de la relación del proceso tumoral con las estructuras adyacentes. Esto es especialmente cierto cuando hay extensión intracraneal; en estos casos es la única técnica capaz de valorar el proceso con seguridad, pues es una prueba muy segura detectando la existencia de hemorragia y la presencia de vasos patológicos. Únicamente el calcio se ve peor que en la TC, por lo que, para asegurar un diagnóstico correcto, a veces hay que realizar las dos técnicas (TC y RM), ya que muchos procesos se presentan con imágenes poco específicas.

 

Diagnóstico diferencial de los tumores vasculares orbitarios

Los tumores vasculares orbitarios más frecuentes en la infancia, ya hemos dicho que son el hemangioma capilar (figura 9) y el linfangioma (figuras 10 y 11), pero también, aunque son más raros, se pueden ver los hemangio-pericitomas y los hemangiomas cavernosos. La varíz orbitaria, es una malformación venosa generalmente congénita que se manifiesta con frecuencia en las primeras décadas de la vida y es la principal causa de hemorragias orbitarias. Hay otras entidades mucho menos frecuentes en la infancia como la malformación arteriovenosa y la fístula carótido-cavernosa que producen aumento de tamaño de las venas orbitarias (17).

53-09.jpg (12346 bytes) 
Figuras 9a, b, c y d. Hemangioma capilar. TC axial con adquisición helicoidal (a) con reconstrucción sagital (b). RM en secuencias sagital T1 y coronal T2 (c, d). Masa intra-extraconal hipercaptante con imágenes de vacío correspondientes a pequeños vasos en la RM (a).

53-10.jpg (19860 bytes) 
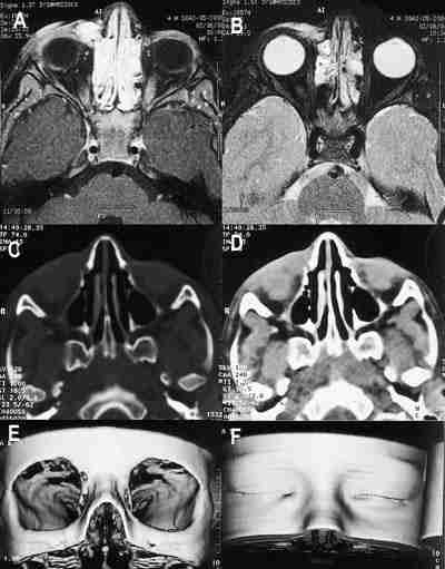
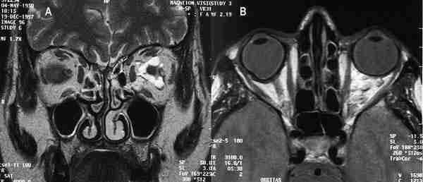
Figuras 10a, b, c, d, e y f. Típica localización de linfangioma orbitario en la región cantomeatal. Secuencias potenciada en T1 con gadolínio (a) y en T2 (b) en las que no se observa afectación retrobulbar. TC axial en ventana ósea (c) y parenquimatosa (d) con reconstrucción tridimensional ósea (e) y de piel (f) muestran asimetría de párpado inferior y ausencia de afectación ósea.

53-11.jpg (13996 bytes) 
Figuras 11a y b. Linfangioma: Secuencias coronal (a) y axial (b) potenciadas en T2 que muestran la lesión interconal multilobulada que brilla en T1 y T2.

 

Los tumores vasculares con frecuencia están presentes en el nacimiento o se manifiestan en los primeros 5 años de vida (16), es el hemangioma cavernoso el que aparece mas tardíamente. En algunas series, hay predominio del sexo masculino, en cambio en la revisión de Kodsi (9), afecta por igual a ambos sexos.

Todos ellos tienen muchas características en común y muchas veces las imágenes radiológicas son inespecíficas, por eso su diagnóstico resulta complicado y por lo tanto habrá que tener en cuenta multiples factores como son: edad de aparición, localizacion, velocidad de crecimiento y presentación radiológica, para con todos estos datos intentar llegar a un diagnóstico lo más preciso posible.

El crecimiento de estas lesiones es lento excepto el del hemangioma capilar que crece rápidamente durante los 6-10 meses de vida a partir de los cuales involuciona progresivamente (18). El linfangioma que es de crecimiento lento, puede aumentar de tamaño bruscamente por sufrir hemorragia, esta misma complicación también es frecuente en las varices (21).

La localización más frecuente de los procesos vasculares orbitarios es extraconal, excepto el hemangioma cavernoso, que es intraconal, y los linfangiomas y las varices (figura 12) que son mixtas, de situación intra y extraconal. El hemangioma capilar puede extenderse al interior del cráneo a través de la fisura orbitaria inferior, el canal óptico, o el techo de la órbita. (6).

53-12.jpg (15560 bytes) 
Figuras 12a, b, c, d, e y f. Variz de la vena oftálmica superior. Secuencia axial potenciada en T1 pre y post administración de gadolínio (a, b). Corte axial con contraste yodado a nivel de la lesión (c) con reconstrucciones biplanares coronales (d) y sagitales (e). Angiografía venosa de la lesión (f). Se observa lesión en región teórica de la vena oftálmica superior que capta contraste marcadamente, y en la angiografía venosa (f) se observa el teñido correspondiente a la variz.

 

Con US las malformaciones venosas son anecoicas, pero pueden ser heterogéneas si la variz esta parcialmente trombosada. El registro Doppler es de flujo venoso cambiando con la maniobra de Valsalva. La fístula arteriovenosa produce dilatación de la vena oftálmica superior, hay inversión del flujo venoso normal que, además, presenta registro arterializado (6,22).

Los tumores vasculares son masas homogé neas, bien o mal delimitadas pero casi siempre hipoecoicas con vascularización muy evidente, algunos pueden tener componentes quísticos como los linfangiomas. El único proceso con características ecográficas típicas que permite un diagnóstico bastante seguro, es el hemangioma cavernoso, que es intraconal, muy bien delimitado con respecto a la grasa orbitaria con aspecto ecográfico en «panal de miel» (22). La presencia de calcio no es muy frecuente, aparece en primer lugar en las varices y con menor frecuencia en los hemangiomas cavernosos, la imagen será de pequeños nódulos hiperecogénicos con sombra acústica posterior.

En la TC suelen tener valor de atenuación alto y captan contraste de forma intensa y homogénea, la excepción es el linfangioma que es más heterogéneo (quístico) y que puede mostrar captación de contraste leve y heterogénea.

Como en todas las pruebas el mejor delimitado es el hemangioma cavernoso que tiene forma redondeada u oval y límites muy nítidos, en cambio el hemangioma capilar y el hemangiopericitoma, también tienen bordes nítidos, pero más irregulares o multilobulados. El linfangioma y el hemangiopericitoma maligno, están mal delimitados, son difusos, no están encapsulados y pueden infiltrar estructuras adyacentes. Las varices tienen límites nítidos y su forma puede ser lobulada o serpiginosa.

El diagnóstico diferencial de los tumores vasculares, por sus características, siempre hay que hacerlo con lesiones muy vascularizadas, que también capten mucho contraste. Las bien delimitadas como el hemangioma cavernoso, hay que diferenciarlas de los meningiomas y schwanomas. Las peor delimitadas, como el hemangiopericitoma, linfangioma o hemangioma capilar, se pueden parecer a entidades menos frecuentes como angioleiomiomas, hemangioendoteliomas malignos (angiosarcomas) y mención especial merece el pseudotumor que puede ser muy parecido en infiltración, mala delimitación, erosión ósea, etc., pero en este, generalmente, la captación de contrate no es tan intensa. (6,19).

En RM el hemangioma capilar y el hemangiopericitoma, son muy similares: ambos son tumores muy vascularizados con abundantes vasos en su interior, que se mostrarán hipointensos en T1 y T2 por el vacío de señal debido al flujo sanguíneo en su interior. La masa del hemangioma capilar es hiperintensa en T1 y T2 con respecto a la sustancia gris cerebral y el hemangiopericitoma, suele ser isointenso en T1 y T2, aunque en ocasiones, también puede mostrarse hiperintenso en ambas secuencias (19,23).

El linfangioma tiene señal similar al hemangioma capilar con hiperseñal en T1 y T2, pero tiene cavidades quísticas en su interior y hemorragias en diferentes estadíos de evolución que lo hace bastante característico ya que la señal es más heterogénea aunque el predominio sea hiperintenso.

El hemangioma cavernoso es iso o hipointenso en T1 e hiperintenso en T2, ésto es bastante inespecífico pero si introducimos contraste intravenoso y realizamos adquisiciones precoces, la captación será heterogénea con más intensidad en la periferia del tumor y en las adquisiciones tardías, la captación se vuelve homogénea e intensa (23).

En las varices orbitarias la señal es muy variable, dependiendo de si la varíz está permeable en su interior (la señal será hipo en T1 y T2), si está trombosada (hiperintensidad en T1 y T2) o si está parcialmente trombosada (se mezclarán ambas señales).

La RM tiene la ventaja en el diagnóstico de los procesos vasculares (fístula carótido cavernosa, malformación arteriovenosa o varices) de que, además de mostrar los vasos anormales intraorbitarios, nos permite ver el contenido intracraneal y poder descartar si la lesión orbitaria es primaria o secundaria, o si (como puede ocurrir en las anomalías venoso-linfáticas), coexisten simultáneamente la lesión orbitaria y la intracraneal (23,24).

 

Traumatismo orbitario

La radiología es de gran ayuda en la valoración de los traumatismos orbitarios, aunque hasta hace poco su diagnóstico se basaba principalmente en la radiología simple, con lo cual se obtenía abundante información sólo sobre las líneas de fractura, pero ahora con la introducción de la US, tomografía computada y de la resonancia magnética, se ha mejorado mucho en la valoración de las partes blandas.

Sigue habiendo muchos centros en los que se sigue considerando la placa simple como la primera exploración radiológica, si esta resulta normal y la clínica no es sugestiva de fractura, no se realiza ninguna prueba radiológica más (25).

Si la placa simple es patológica o dudosa, se debe recurrir siempre a hacer una TC que ha revolucionado el diagnóstico de estos traumatismos porque delimita bien las lesiones óseas pero, además, permite ver las partes blandas orbitarias y su relación con los senos paranasales, especialmente útil en las fracturas de la pared medial (figura 1). Con la nueva generación de TC helicoidal se pueden hacer adquisiciones de cortes muy finos en tiempos muy cortos que permite hacer reconstrucciones sagitales, coronales y 3D sin necesidad de movilizar al paciente (figura 1). En nuestra experiencia la calidad de las reconstrucciones, a pesar de ser aceptable no se puede comparar con las adquisiciones directas y sólo sirven para descartar lineas de fractura evidentes o luxaciones pero no tienen nitidez para valoración fina de lesiones pequeñas, por lo tanto siempre que las condiciones del enfermo lo permitan, haremos adquisiciones directas (figura 13) y en caso contrario recurriremos a las reconstrucciones. Con la TC se ve el contenido orbitario herniado en el seno maxilar (grasa o músculo) y esto nos permite anticiparnos a las complicaciones como enoftalmos o diplopía. Con la TC se pueden valorar simultáneamente las lesiones asociadas intracraneales o faciales (26).

53-13.jpg (13018 bytes) 
Figuras 13a y b. Doble fractura orbitaria. Cortes coronales secuenciales mediante TC. Doble línea de fractura de la pared lateral (a) y del suelo (b), con esquirlas óseas que afectan a los músculos del cono.

 

Resulta imprescindible en la valoración del canal óptico cuando haya neuropatía traumática para valorar el tratamiento a seguir (27-29).

La TC resulta muy útil en la evolución del traumatismo y en el seguimiento posquirúrgico de la reparación de la fractura, bien sea la fijación con Teflón o metálica. (19). Hay que valorar con mucho cuidado los estudios radiológicos en especial la TC para poder evitar con el tratamiento adecuado, las secuelas postraumáticas (30).

La principal indicación para realizar RM, son las fracturas del techo orbitario, con ella se pueden realizar adquisiciones multiplanares directas sin necesidad de recurrir a las reconstrucciones. Con TC se valora muy bien el hueso, pero no se puede distinguir un hematoma orbitario de una herniación cerebral intraorbitaria, con la RM estas dos patologías se diferencian sin dificultad (25).

Aunque la RM parecería el procedimiento más indicado, la exploración de elección ante un traumatismo orbitario es la TC, porque la RM esta contraindicada siempre que haya duda de la existencia de un cuerpo extraño metálico. El cuerpo extraño ferromagnético se movería al ser introducido en el campo magnético y aumentaría el daño ocular u orbitario. La TC como hemos dicho delimita mejor que la RM, las lesiones óseas y da muy buena delimitación de las partes blandas (29).

Cuando se sospecha la existencia de cuerpo extraño metálico hay autores (22) que sugieren la US como primera exploración, aunque debido a las condiciones del paciente, no siempre resulta fácil la realización de esta prueba. Se dice que la radiología en manos expertas, detecta los cuerpos extraños intraoculares en el 95% de los casos y en el 70% cuando están fuera del globo ocular (22). La TC, con cortes finos y contiguos, puede detectar cuerpos extraños metálicos desde 0,06 mm, cuando el material del que están formados es madera o plástico, este poder de detección es menor, y por lo tanto en estos casos sería conveniente recurrir a la ecografia.

Por lo tanto la exploración indicada ante un traumatismo orbitario, sería la TC, después de la radiología simple. La RM quedaría como segunda exploración para casos dudosos, sobre todo en fracturas del techo de la órbita. La ecografia se debe hacer ante la sospecha de lesión ocular, sobre todo si puede haber cuerpos extraños intraoculares no metálicos difíciles de detectar con las otras técnicas.

 

NUEVAS APLICACIONES DE LA NEURORRADIOLOGÍA DE LA CIRUGÍA ORBITARIA

Los importantes avances ya mencionados en las técnicas de imagen no sólo han mejorado la sensibilidad y especificidad diagnóstica en este campo sino que, además, están permitiendo nuevas aplicaciones en la planificación previa a la cirugía e incluso en el mismo acto quirúrgico, que comentaremos brevemente en este apartado.

 

A. Técnicas de imagen aplicadas a la planificación quirúrgica

Reconstrucciones de imagen

El sofisticado desarrollo de computadores conectados a los diferentes métodos de imagen (TC, RM, US), las llamadas estaciones de trabajo, han permitido procesar y reconvertir las imágenes obtenidas mediante una o varias de estas técnicas y así conseguir otras tri o bidimensionales de las estructuras a estudio. Además, permiten trabajar en esa imagen simulando la cirugía planificada, decidiendo el procedimiento más seguro y sobre todo, comprobar el resultado de esa intervención viendo las imágenes obtenidas tras la simulación quirúrgica (31).

Las posibilidades y tipos de reconstrucción a realizar por estas estaciones de trabajo son múltiples:

Reconstrucciones planares: reconstruyen bidimensionalmente superficies planas o curvas que sigan estructuras de interés (figura 1b).

Reconstrucciones 3D: reconstrucciones en los tres planos del espacio obteniendo imágenes tridimensionales (figuras 1c, 1d, 1e y 1f). Estos pueden ser:

• De superficie: reconstruyen una imagen tridimensional de un tejido específico, es decir, eligiendo una única densidad, como por ejemplo el hueso. Nos permitirá ver la superficie del cráneo pero no su interior.

• De la superficie y por transparencia, de algún elemento interior, eligiendo dos densidades.

• Reconstrucciones tridimensionales de una estructura determinada, sea cual sea su localización, y de una densidad que en general es la máxima, como en el caso del contraste intravenoso. Así se obtienen las reconstrucciones de estructuras vasculares.

La técnica de imagen utilizada para realizar estos procesos es variable. En el caso de la órbita, la elegida suele ser la TC debido a su mejor resolución para evaluación de estructuras óseas así como su mayor capacidad para detectar posibles fragmentos, calcificaciones o cuerpos extraños. Aunque la RM puede tener superior resolución en partes blandas, la falta de referencias óseas la hace menos útil en esta área.

Se está trabajando en la fusión de imágenes de distintas técnicas lo cual resultaría ideal para obtener la máxima resolución de cada tejido, sí bien en regiones como la órbita todavía no esta muy perfeccionado. La experiencia con estaciones de trabajo ha demostrado numerosas ventajas, entre las que destacan (31-33): mejor comprensión de la extensión de las patologías, en especial de estructuras complejas en las que la extrapolación de planos axiales es más complicada; mediciones de distancias, ángulos y volúmenes; ensayos quirúrgicos teóricos; más exactitud en la construcción de la prótesis; planificaciones quirúrgicas en las que participan varias especialidades, para realizar una intervención más integrada y con mejor coordinación entre los distintos equipos quirúrgicos.

Estas ventajas tienen especial aplicación en el campo de la cirugía orbitaria infantil, donde las reparaciones quirúrgicas óseas pueden impedir complicaciones a largo plazo como el enoftalmos. Estudios realizados también mediante mediciones volumétricas en caso de enoftalmos han demostrado que el único elemento orbitario cuya proporción varia en estas órbitas respecto a las normales es el hueso, cuyo volumen aumenta, mientras que la grasa, músculo y globo ocular mantienen su volumen normal. Esto implicaría que resecciones adecuadas en cantidad y localización de parte del hueso orbitario permitirían la anteriorización del globo y la desaparición del enoftalmos. Tanto en este tipo de cirugía orbitaria como en las displasias y disóstosis óseas, las planificaciones mediante TC pueden ser de gran utilidad (34).

 

Programas de simulación quirúrgica: técnica de imagen en espejo. Esta es una de las aplicaciones más prometedoras de la manipulación de imagen, especialmente útil en cirugías que implican reconstrucciones faciales importantes. Mediante esta técnica se logra una imagen virtual del resultado ideal de la intervención, y, a partir de la misma, realizar las resecciones adecuadas y los moldes con las medidas precisas para las prótesis que deban colocarse. El procedimiento se llama producción de imagen en espejo (35). Requiere de los siguientes pasos: una adquisición de imágenes siguiendo un método riguroso de colocación del paciente (ninguna rotación de la cabeza, ni sobre eje axial ni vertical, no angulación del gantry, adquisición volumétrica...); una revisión exhaustiva de las imágenes para evaluar exactamente la línea media de cada una de ellas, cosa no siempre sencilla por las deformidades naturales del paciente; mediante técnicas de sustracción digital se logra eliminar la parte a intervenir y sustituirla por la imagen en espejo (o algo modificada según las necesidades) del lado contralateral sano.

Se pueden, a partir de estas imágenes, reconstruir modelos que permiten luego conseguir moldes para utilizarse en la cirugía.

Esta técnica, sin embargo, no está todavía introducida de forma habitual en la práctica diaria debido, no sólo a su coste (software especifico, etc.), sino a las dificultades técnicas que a veces implica la realización de la prueba (la colocación exacta del paciente es difícil en muchas ocasiones) y la laboriosidad del postproceso de la imagen, con el consiguiente gasto de tiempo médico. Todo el procedimiento debe, además, garantizar un grado de resolución máxima para que el error sea prácticamente inexistente en las mediciones y las prótesis encajen correctamente.

 

Mediciones tumorales para diseño de placas radioactivas de actuación local. Otra de las grandes utilidades del postproceso de imagen es la capacidad de medir distancias a veces desde cualquier ángulo y proyección que nos permiten elegir las placas radioactivas del tamaño más adecuado y colocarlos en la posición idónea.

En este sentido, la realización de secuencias de RM potenciadas en T1 con gadolinio y matrices de alta resolución resulta muy útil, en nuestra experiencia, para evaluar el resto activo de los retinoblastomas, diferenciándolo del componente cálcico y medir exactamente su localización y tamaño (figura 14).

53-14.jpg (14744 bytes) 
Figuras 14a y b. Resto tumoral activo de retinoblastoma que se diferencia en secuencia T1 con gadolínio del componente óseo, para realizar mediciones previa a la colocación de la placa radioactiva.

 

Control del intervalo quirúrgico en los casos de tratamientos quirúrgicos en varios tiempos: implantes porosos. Las técnicas de imagen pueden ser muy útiles a la hora de decidir el momento de las distintas fases en tratamientos con varias cirugías. Es el caso de la colocación de prótesis oculares porosas de hidroxiapatita (HA) o MEDPOR, La RM permite un control de la revascularización que se produce en la prótesis y que es necesaria para una correcta implantación del vástago en el que se anclará la prótesis externa.

La sección de Oftalmología infantil y la sección de Neurorradiología del Hospital Universitario La Paz, hemos realizado un estudio prospectivo mediante RM para valorar la existencia o no de revascularización en función del grado de captación de Gd en 39 niños (20 niñas y 19 niños) sometidos a enucleación o evisceración uni o bilateralmente y de edades comprendidas entre los 3 meses y los 2 años por diferentes patolo gías de base, colocando en 10 casos prótesis de MEDPOR y en 29 niños prótesis de hidroxiapatita (en un caso de forma bilateral). Se realizaron secuencias potenciadas en T1, con saturación grasa y reconstrucciones axiales y sagitales de 3 mm con matriz de alta resolución antes y después de la administración de gadolinio. La RM nos permitió evaluar diferentes parámetros como el grado de captación (sinónimo de revascularización del implante), la forma de captación (homogénea o heterogénea), el lugar de comienzo (anterior o posterior), la existencia o no de captación extraprótesis como índice de infección periprótesis y la presencia o no de líneas que sugieran fisuras o alteraciones intrínsecas de la prótesis. Estos parámetros fueron comparados con la evolución y el estado de la prótesis en el acto quirúrgico de la colocación del vástago, evaluando el grado de correlación entre los hallazgos en la RM y los datos clínicos y quirúrgicos (figura 15).

53-15.jpg (13343 bytes) 
Figuras 15a, b, c y d. Secuencias T1 con gadolínio intravenoso y saturación grasa de prótesis porosas. Captación completa de la prótesis en (a). Falta la vascularización anterior en la prótesis (b, c). Línea de fractura de la prótesis (d).

 

Los resultados de nuestro estudio muestran una forma de vascularización bastante constante, empezando por el polo posterior, con un patrón homogéneo, y quedando la parte anterior como última zona para vascularizar. Esto podría explicar la aparición de exposiciones anteriores y malas implantaciones de vástagos en los casos de prótesis sin buena vascularización anterior. Por ello, es especialmente importante que sea prácticamente completa antes de la colocación del vástago, o, por lo menos, la de la región anterior. Respecto al tiempo de esta revascularización, nuestros resultados coinciden con los referidos en la literatura, siendo necesario casi un año en el caso de las prótesis HA para lograr un 75-80 por ciento y un tiempo algo menor para las prótesis MEDPOR. Son llamativas las diferencias en la sensibilidad de la RM para las prótesis de MEDPOR y las de HA, significativamente menor en la primera. Hay que tener en cuenta, sin embargo, varios hechos a la hora de evaluar estos resultados como el escaso número de prótesis de MEDPOR estudiadas con RM por el momento (solo diez) y el hecho de que en todos los casos en los que ha existido una mala correlación clínico-radiológica el recubrimiento era de esclera. Quizá este tipo de recubrimiento dificulta la valoración de la captación. También puede ser que el MEDPOR pueda dar lugar a más variabilidad en la forma de captación. De hecho, el patrón y la forma de evolución de la captación son menos constantes en el MEDPOR que en la HA.

En conclusión, y de acuerdo con otros trabajos, la RM es un método útil y de alta fiabilidad en el control de las prótesis sobre todo de HA. Asimismo, la RM es especialmente útil para la detección de complicaciones en ambos tipos de prótesis (36-39).

 

B. Aplicación de técnicas de imagen como guía para procedimientos quirurgicos

A. En cirugías complejas

Si bien las técnicas de imagen han logrado una gran precisión en el diagnóstico y la planificación quirúrgica de las lesiones craneofaciales, todavía la correlación entre esa imagen conseguida o planificada y la situación real de la lesión en el campo quirúrgico seguía siendo un proceso mental que el cirujano debía de realizar. También se ha intentado facilitar y agilizar este proceso. Para ello se ha desarrollado una estación de trabajo, aunque de características y funcionamiento algo diferente a los nombrados previamente, que permite la visualización directa y en tiempo real de la región que se está interviniendo mediante imágenes, ya sea de TC, RM o US.

Esta estación de trabajo tiene las mismas posibilidades de reconstrucción que las otras, pero su ubicación es en el quirófano donde, por un complicado sistema de reconocimiento de coordenadas, son capaces de correlacionar las imágenes realizadas previamente de la región a intervenir, con la situación exacta de esa región en la mesa del quirófano. De esta forma, mediante un puntero que el cirujano puede usar directamente, o bien conectar a los distintos instrumentos quirúrgicos, él sabe su situación exacta en cada momento en las imágenes del computador, y ve más claramente en el lecho quirúrgico las estructuras cercanas, la distancia a la lesión y si la resección es más o menos completa. Las primeras estaciones de este tipo se han utilizado sobre todo en neurocirugía con el nombre de navegadores.

Dentro del campo de la cirugía orbitaria también se está empezando a utilizar esta tecnología. En este sentido, es destacable la experiencia llevada a cabo en la Universidad de Aachen por un equipo multidisciplinario con la técnica CASS (Computed assisted Surgery). En su experiencia, de 21 casos, se ha conseguido acortar significativamente el tiempo quirúrgico, teniendo en todo momento la situación exacta del cirujano en la órbita marcada en las imágenes y, por tanto, una más clara visión de conjunto, de los posibles obstáculos al objetivo de la cirugía (40-42). En otros centros se han llevado a cabo experiencias similares (43).

Las indicaciones fundamentales según su experiencia para esta técnica serían las siguientes:

• Tumores retrobulbares profundos de pequeño tamaño.

• Biopsias en especial por vía intranasal.

• Descompresiones del nervio óptico.

• Extracción de cuerpos extraños o fragmentos óseos.

• Sangrados severos que impiden ver el campo quirúrgico.

En todos estos casos la técnica utilizada para las imágenes basales es la TC, ya que es la que mejor visualiza el hueso, como ya hemos comentado, y este es un punto de referencia fundamental en la cirugía orbitaria.

No obstante lo prometedoras que parecen ser estas experiencias, nunca debe olvidarse que son una mera ayuda para el cirujano y que nunca deben sustituir su visión espacial y su orientación en el campo quirúrgico, tanto más cuando la casuística todavía es pequeña con esta técnica, en especial en el campo de la órbita, y que debemos esperar series mas largas para mejor evaluación de los posibles errores y problemas que conlleve (movilización de estructuras al exponerlas en el campo quirúrgico que aumentan el posible margen de error en la correlación de coordenadas, etc...).

En cuanto a la realización del estudio basal de imágenes, éste ha de tener unas características técnicas muy concretas para ser compatibles con cada estación de trabajo concreta. En general en estos estudios debe:

• realizarse cortes continuos sin distancia entre ellos

• cortes de 1 mm preferentemente y nunca mas de 3 mm

• pixel cuadrados de 512x512

• FOV circular o cuadrado y fijo a lo largo de todo el estudio

• Proyección axial.

Estas condiciones aconsejan el uso de tomógrafos helicoidales para la realización de estos estudios, ya que:

• consiguen mejor calidad de reconstrucción

• se utiliza menor dosis de radiación

• el estudio es más rápido por lo que en especial en el caso de los niños puede ahorrar el uso de sedación.

 

B. En procedimientos mínimamente invasivos

Finalmente, no podemos dejar de hacer mención en este apartado de la utilidad de las técnicas de imagen como guía y control de procedimientos mínimamente invasivos, como toma de biopsias, o hinchado de prótesis retrobulbares para corregir o evitar enoftalmos. En estos casos la TC suele ser la técnica de elección por su mayor resolución, aunque en muchos casos, la US puede ser suficiente y resulta más barata, accesible e inocua que la TC (figura 16).

53-16.jpg (10634 bytes) 
Figuras 16a, b, c, d, e y f. Prótesis de silicona intraorbitaria que se ha ido expandiendo progresivamente (a, b, c) con control de TC en tres tiempos. En las reconstrucciones de superficie óseas (d) y de piel (e) se observa la asimetría orbitaria que trata de corregirse.

 

BIBLIOGRAFÍA

  1. Kaufman LM, Mafee MF, Song CD. Retinoblastoma and simulating lesions. Role of CT, MR imagin and use of Gd-DTPA Contrast Enhancement. Radiologic clinics of North America. NOV. 1998, 36, 6: 1101-1116.
  2. Capeans C. Actualización en tumores intraoculares. Tecnimedia. 1999, pág 179-186.
  3. Kingston JE, Hungerford JL, Madreperla SA, Plowman PN. Results of Combined Chemoterapy and Radiotherapy for Advenced Intraocular Retinoblastoma. Arc Ophthalmol 1996; 114: 1339-43.
  4. Pelak VS, Volpe NJ, Liu GT, Galetta SL. Neuroradiology in ophtalmology. Ophthalmology clinics of North America. 1998; 11 (3): 339-347.
  5. Hansberger HR. Handbook of head and neck imaging. Second edition. Mosby, 1995; 301-338.
  6. Som Peter M, Curtin Hugh D. Head and Neck Imaging. Third Edition. MOSBY. 1996, pág. 1009-1183.
  7. Bagley LJ, Hurst RW, Zimmerman RA, Shields CL, De Potter P. Imaging in the trilateral retinoblastoma syndrome. Neuroradiology 1996; 38: 166-170.
  8. Buerger D, Biesman B. Orbital imaging. Ophthalmology clinics of North America 1998; vol 11, num 3: 381-410.
  9. Kodsi S, Shetlar D, Campbell J, Garrity J, Bartley G. A review of 340 orbital tumors in children during a 60-year period. Am Journal oh Ophthalmology 1994; 117: 177-182.
  10. Scott W. Atlas: Magnetic Resonance Imaging of tha Brain and Spine. Second edition. Lippincot-Raven, 1996; 1007-1092.
  11. Shields JA, Bakewell B, Augsburger JJ et al. Space occupying orbital masses in children. A review of 250 consecutives biopsies. Ophthalmology 1986; 93: 379-384.
  12. Sohaib SA, Moseley y, Wrigth JE. Orbital Rhabdomyosarcoma-the radiological characteristics. Clinical Radiology 1998; 53, 357-362.
  13. Lee JH, Lee MS, Lee BH, et al. Rhabdomyosarcoma of the head and neck in adults: MR and CT findings. AJNR Am J Neuroradiol 1996; 17: 1923-1928.
  14. Mafee M, Pai E, Philip B. Rhabdomyosarcoma of the orbit. Radiologic clinics of North America 1998; 36.6: 1215-1227.
  15. Yousem DM, Lexa JL, Bilaniuk LT, et al. Rhabdomyosarcomas in the head and neck: MR imaging evaluation. Radiology 1990; 177: 683-686.
  16. Belmekki BM, El Bakkali M, Abdellah H. Epidemiologie des processus orbitaires chez l’ enfant. A propos de 54 cas. J. Fr.Ophtalmol. 1999; 22 (3), 394-398.
  17. Cotton J B, Ligeon-Ligeonnet P, Ranchin B. Exophtalmie de l’ enfant par neoformation vasculaire orbitaire. Arch Pediatr. 1994; 1: 1111-1114.
  18. Tan WS, Wilbur AC, Mafee MF. The role of neuroradiologist in vascular disorders involving the orbit Radiologic Clinics of North America. 1987; 25 (4) 849-861.
  19. Newton TH, Bilaniuk LT. Radiology of the eye and orbit 1ª ed. Raven Press. 1990; cap 5, 6, 7, 1-84, 1-20, 1-26.
  20. Edmar A, Boumahni B, Piyaralys. Hemangiome capillaire orbitaire profond chez un nourrisson. Lettre à la redaction. Arch Pediatr 1997; 4, 896-904.
  21. Wright JE, Sullivan TJ, Garnen A. Orbital venous anomalies. Ophthalmology 1997; 104 (6), 905-913.
  22. Berges O, Torrent M. Echographie de l’ oeil et de l’orbite. 1ª ed. Vigot. 1986 cap. 6 pag. 101-31, cap. 7 pag. 133-139.
  23. Bilaniuk LT. Orbital vascular lesions. Role of imaging. Radiologic Clinics of North America. 1999, 37 (1), 169-183.
  24. Katz SE, Rootman J, Vangueeravong S. Combined venous lymphatic malformations of the orbit (so-called lymphangiomas). Ophtalmology 1998; 105 (1), 176-184.
  25. Koh JY, Della Rocca RC, Maher EA. Orbital fractures. Diagnosis and management. In Albert, ed. Ophtalmic Surgery: Principles and techniques, Vol. Two, London, Blackwell Science Inc., 1995; 90: 1459-1507.
  26. Mixter RC, Carson LV, Hardy S. Orbital aspects of craniofacial surgery. In Albert, ed. Ophtalmic Surgery: Principles and techniques, Vol. Two, London, Blackwell Science Inc.,1999; 94: 1537-1552.
  27. Levin LA, Beck RW, Joseph MP. The treatment of traumatic optic neuropathy ophthalmology. 1999; 106: 1268-1277.
  28. Harris GJ, Garcia GJ, Logan SC. Orbital Blow-out fractures: correlation of preoperative computed tomography and postoperative ocular motility. Trans Am Ophthalmol. 1998; 96: 329-347.
  29. Seiff SR, Carter SR. Optic canal decompression. In Albert, ed. Ophtalmic Surgery: Principles and techniques, Vol. Two, London, Blackwell Science Inc., 1995; 93: 1529-1536.
  30. Meyer CH, Groos N, Sabatier H. Séquelles á long terme des fractures du plancher de l’orbite opérées. Stomatol. Chir. Maxillofac. 1998; 99, (3) 149-154.
  31. Zonneveld FW, Vaandrager TM, Van der Meulen JH. Three dimensional imaging in congenital disorders involving the orbit. Rad Clinicals of North America. 1998; 36: 1261-1277.
  32. Eppley BL, Sadove AM. Computer- generated patient models for reconstruccion of cranial and facial deformities. J Craniofac Surgery. 1998; Nov, 9(6): 548-56.
  33. Altobell DE, Kitinis R, Mulliten JB. Computer- assisted three-dimensional planning in craniofacial surgery. Plast Reconstr Surg. 1993; Sep 92(4): 576-85.
  34. Bite Uldis, Jackson IT, Forbes GS et al. Orbital Volume Measurements in Enophthalmos using three-dimensional CT Imaging. Plastic and reconstructive Surgery 1995; 75: 502-508.
  35. Fukuta F, Jackson IT, Mc Ewan CM et al. Three- dimensional imaging in craniofacial surgery: a review of the role mirror image production. Eur J Plast Surg. 1990; 13: 209-217.
  36. Karesh JW, Dresner SC. «High-density porous polyethylene (MEDPOR) as a succesful anophothalmic socket implant». Ophthalmology 1994; 101: 1688-95.
  37. Flanders AE, De Potter P, Rao VM, Tom BM, Shields CL, Shields JA. MRI of orbital hydroxyapatite implants. Neuroradiology 1996; 38: 273-277.
  38. Jamell GA, Hollsten DA, Hawes MJ, Griffin DJ, Klingensmith WC, White WL, Spirnak J. Magnetic resonance imaging versus bone scan for assessment of vascularization of hydroxyapatite orbital implant. Ophthalm Plast Reconstr Surg 1996; 12: 127-130.
  39. Jordan DR, Ells A, Brownstein S, Munro SM, Grahovac SZ, Raymond F, Gilberg SM, Allen LH. Vicryl-mesh wrap for the implantation of hydroxyapatite orbital implants: an animal model. Can J Ophthalmol 1995; 30: 241-246.
  40. Korves B, Klimek L, Mosges R. Surgical decompression in endocrine orbitopathy a three-dimensional locating device greater safety. ORL J Otorhinolaryngol Relat Spec. 1996; 58(1): 46-50.
  41. Klimek L, Wenzel M, Mosges R. Computed assisted orbital Surgery. Ophthalmic Surgery. 1993; 24(6): 411-416
  42. Klimek L, Mosges R, Laborde G et al. Computed-assisted image-guided surgery in pediatric skull-base procedures. J Pediatric Skull-base procedures. J Pediatr Surg. 1995; 30(12): 1673-6.
  43. Sandeman DR, Gill SS. The impact interactive image guided surgery: The Bristol experience with the IgG/Elekta viewing wand. Acta Neurochir Suppl (wien) 1995; 64: 54-58.

ÍNDICE GENERAL