ACTUALIZACIÓN  EN  CIRUGÍA  OFTÁLMICA  PEDIÁTRICA

ÍNDICE GENERAL


PARTE 7. ÓRBITA

CAPÍTULO 58

NEUROCIRUGÍA Y PATOLOGÍA ORBITARIA INFANTIL

Fernando Carceller Benito, Antonio Gómez Sierra

 

La proximidad de las estructuras intracraneales con la órbita, unido a la alta frecuencia de síntomas oculares en los pacientes neuroquirúrgicos, obliga a los especialistas en neurocirugía a estar familiarizados con la anatomía (1) y la patología orbitaria.

Hoy día, las patologías orbitarias de mayor interés neuroquirúrgico pediátrico, están constituidas por: las lesiones ocupantes de espacio, ya sean, originadas dentro de la orbita o en su vecindad, las lesiones traumáticas cráneo-orbitarias, la patología malformativa y otras entidades que provocan un deterioro de la función del nervio óptico en el contexto de hipertensión endocraneal. El abordaje actual de estas lesiones requiere, muchas veces, una colaboración estrecha de varias especialidades.

 

PATOLOGÍA OCUPANTE DE ESPACIO INTRAORBITARIA

Existen muchos tipos de tumores orbitarios, que pueden clasificarse según el tipo celular, la edad de presentación y el comportamiento biológico benigno o maligno (2). La frecuencia de este tipo de lesiones varía según sea el origen de las series estudiadas (neuroquirúrgicas u oftalmológicas) y también según el tipo de estudio realizado (histológico, radiológico, etc.).

 

MANIFESTACIONES CLÍNICAS

La sintomatología oftalmológica de los tumores orbitarios, evoluciona en general de forma insidiosa o subaguda, excepto en casos de tumores de alta malignidad (metastásicos), y tumores que se extienden desde los senos paranasales y de otras estructuras paraorbitarias especialmente del cono posterior y techo de la orbita (3).

La manifestación clínica clásica es la proptosis, producida por un desplazamiento axial o anterior del globo ocular. Los pacientes la refieren como prominencia de uno de sus globos oculares o como ampliación de la hendidura palpebral. Otra manifestación frecuente es la quemosis, que indica un importante aumento de la presión en las venas de la órbita, producida bien por una obstrucción venosa o por una comunicación arterio-venosa orbitaria.

La alteración de la agudeza visual que suele acompañar a estos procesos, puede estar producida por una compresión directa sobre el nervio óptico o por una impronta sobre el globo ocular. Una forma peculiar de esta alteración es la pérdida de visión monocular transitoria en relación con los movimientos del globo ocular («gaze-evoked amaurosis») debida a la compresión directa sobre el nervio óptico o la arteria central de la retina, que desaparece al volver el globo ocular a su posición central. La pérdida aguda de visión puede ser debida también a la presión provocada por un hematoma intratumoral.

Con relativa frecuencia los pacientes refieren la aparición de visión doble, bien de naturaleza mecánica (la masa interfiere la movilidad de uno de los globos oculares) o por alteración de los pares craneales (III, IV o VI) ya sea en la órbita o en el seno cavernoso.

 

DIAGNÓSTICO

La evaluación de los pacientes con tumores orbitarios requiere una exploración oftálmica completa, que incluya un examen ocular externo y de la órbita, una valoración campimétrica y de agudeza visual, y una valoración de la musculatura ocular extrínseca e intrínseca.

Así mismo debe realizarse los estudios de imagen necesarios, los cuales deben incluir ultrasonografía, Tomografía Computarizada (TC) y Resonancia Magnética (RNM).

 

PATOLOGÍA OCUPANTE DE ESPACIO MÁS FRECUENTE

Glioma del nervio óptico

Este tipo de tumor tiene su origen en el nervio óptico (figura 1), quiasma o radiaciones ópticas anteriores. La mayoría produce síntomas en la 1ª década de la vida con pérdida progresiva de agudeza visual y proptosis (2). Presenta una incidencia aumentada en los pacientes con Neurofibromatosis. Histológicamente la mayoría son tumores de bajo grado con un patrón histológico variable que oscila entre un patrón predominantemente fibrilar a uno microquístico. Existe además una proliferación reactiva meníngea, que contribuye al aumento de su tamaño.

58-01.jpg (11923 bytes) 
Figura 1. Imagen axial de RM de un glioma del nervio óptico derecho

 

La evolución clínica puede seguir dos cursos diferentes: 1) evolución indolente, con poca progresión sintomatológica (frecuente en pacientes con Neurofibromatosis); y 2) crecimiento rápido del tumor, con ceguera, proptosis y extensión intracraneal (poco frecuente en pacientes con Neurofibromatosis). Alrededor de un 50% de los pacientes presentan un curso progresivo y precisan por tanto un seguimiento estrecho, tanto desde el punto de vista clínico, como radiológico (TC y RNM).

Si existe progresión de la sintomatología, se recomienda la intervención quirúrgica, mediante un abordaje transcraneal (no lateral). Si existe extensión intracraneal, sobre todo con afectación del quiasma óptico, se recomienda la realización de una biopsia con aguja fina. El tratamiento con radioterapia es controversial ya que son, en la mayoría, tumores de bajo grado de malignidad histológica. Los gliomas malignos de la vía óptica se desarrollan habitualmente en adultos y son uniformemente letales a pesar de cualquier tipo de tratamiento.

 

Meningioma del nervio óptico

Se originan de las células meningoteliales, que ocupan la superficie interna de la duramadre y que pueden encontrarse también en la aracnoides y la piamadre (4). El primer síntoma es normalmente la pérdida de visión; posteriormente puede aparecer proptosis, alteración de los movimientos oculares, papiledema o atrofia óptica con un defecto pupilar aferente.

El curso clínico depende de las vías de desarrollo del tumor: 1) crecimiento centrífugo: efecto de masa exofítico y proptosis anteriores a la afectación visual; 2) tumor confinado al espacio subdural: la pérdida de agudeza visual puede ser el único síntoma, apareciendo posteriormente papiledema y atrofia óptica secundaria; y 3) tipo intradural-extradural: componente exofítico y proptosis, coincidiendo con disminución de la agudeza visual.

El diagnóstico radiológico (TC y RNM) permite además predecir el comportamiento y localización anatómica de la lesión.

El tratamiento de este tipo de lesiones depende de la localización de las mismas y del grado de afectación visual. Si está localizado en los segmentos medio o anterior y se acompaña de una agudeza visual estable, se recomienda seguimiento clínico y radiológico; si desarrolla pérdida de agudeza visual progresiva, se recomienda abordaje microquirúrgico lateral. Si el tumor está localizado en el ápex orbitario y la visión es normal se recomienda seguimiento. Si existe pérdida de agudeza visual se recomienda craneotomía y abordaje transcraneal o radioterapia. Si el tumor está localizado en el ápex con extensión intracraneal y pérdida de visión progresiva, se recomienda un abordaje transcraneal con resección de la porción intracraneal, incluyendo el nervio óptico y la porción intraorbitaria.

 

Neurofibroma

Pueden ser formas solitarias y difusas o multicéntricas. El Neurofibroma solitario aparece en personas de mayor edad y se caracteriza por una proptosis indolora, lentamente progresiva. La pérdida de visión es normalmente mínima. El tumor suele localizarse en la parte posterior y superior de la órbita, produciendo una paresia de la mirada vertical.

El tipo difuso o multicéntrico representa un problema congénito con afectación multisistémica, sobre todo en niños y adolescentes. El síntoma inicial suele ser una proptosis progresiva desfigurante (figura 2). Es preciso una exéresis completa del globo para la resección tumoral. La recurrencia es la regla.

58-02.jpg (16102 bytes) 
Figura 2. La imagen superior de RM, muestra en la parte externa de la orbita derecha, una lesión neurofibromatosa. En la imagen inferior de la TC en 3D se observa el defecto óseo de la pared orbitaria postero-externa en el mismo paciente.

 

Quistes dermoides y epidermoides

Son los quistes de desarrollo más frecuentes de la órbita. De origen dermal se encuentran normalmente en niños y constituyen un 4-6% de los tumores orbitarios. Son los tumores orbitarios más frecuentes de la infancia, pero pueden encontrarse en personas mayores de 50 años.

Los quistes epidermoides o colesteatomas afectan al grupo de mayor edad, localizados profundos en la órbita y con crecimiento en el diploe óseo. Tienden a localizarse en la porción superior de la órbita y pueden protruir a través del arco supraciliar. Normalmente el quiste es indoloro, no adherido a la piel y produce un desplazamiento escaso del globo ocular. En ocasiones puede progresar intracranealmente o hacia el seno adyacente. El defecto óseo es radiolucente con márgenes escleróticos o bien delimitados.

El abordaje quirúrgico depende de la localización. Los tumores localizados en el ápex, cerca del agujero óptico o de la fisura orbitaria superior o los que se extiendan intracranealmente, requieren un abordaje transcraneal. Sin embargo, la mayoría de estas lesiones pueden abordarse a través de una orbitotomía lateral. Independientemente del tipo de abordaje, es muy difícil, poder extirpar el quiste intacto, siendo por lo tanto relativamente frecuente, su recurrencia.

 

Metástasis

Las más frecuentes de la infancia son el neuroblastoma y el sarcoma de Ewing. La mayoría de los neuroblastomas son retroperitoneales y aparecen antes de los 7 años de edad. Se presentan típicamente con exoftalmos brusco y quemosis, que puede ser bilateral. Existe destrucción ósea, sobre todo de la pared lateral.

 

Displasia fibrosa

Es una lesión ósea no neoplásica de la infancia y adolescencia. Cuando afecta a la órbita lo suele hacer también al maxilar, arco zigomático, etmoides, frontal o esfenoides. Dependiendo del hueso afectado puede haber pérdida de visión (esfenoides) o proptosis ligera y distensión orbitaria (maxilar). En general el crecimiento es indoloro (figura 3). Radiológicamente se caracteriza por la aparición de pequeñas zonas translúcidas en los huesos craneales o amplias áreas de esclerosis difusa.

58-03.jpg (8530 bytes) 
Figura 3. Imagen de TC , en proyección axial, que muestra la compresión de los elementos del ápex orbitario en un paciente con displasia fibrosa.

 

El tratamiento está condicionado por la severidad de la lesión, reflejado en la pérdida de agudeza visual, debiendo realizarse una descompresión del nervio óptico mediante un abordaje transcraneal (5,6). No se recomienda la radioterapia, ya que puede inducir una transformación sarcomatosa.

 

ABORDAJES QUIRÚRGICOS A LA ÓRBITA

La primera cirugía para un tumor intracra neal que producía proptosis fue realizada por Durante en 1889 (7) en Roma. Desde entonces se han desarrollado numerosas técnicas para el abordaje quirúrgico a la órbita las cuales requieren un conocimiento de la microanatomía orbitaria (1,8) de las técnicas microquirúrgicas convencionales (2,9) y las guiadas con neuroimagen (Navegación asistida con ordenador o con ultrasonidos).

La cirugía intraorbitaria presenta notables dificultades, debido principalmente al pequeño tamaño de la órbita y a la forma geométrica de la misma: pirámide rectangular irregular (figura 4).

58-04.jpg (17101 bytes) 
Figura 4. Dibujo de la pirámide orbitaria.

 

La órbita tiene 5 caras, que pueden utilizarse para alcanzar el contenido intraorbitario: 1) orbitotomía anterior: a través de los párpados o conjuntiva; 2) orbitotomía transetmoidal: ruta órbito-nasal; 3) orbitotomía transmaxilar: a través de la pared orbitaria inferior; 4) orbitotomía lateral o temporal: cara externa a través de la fosa temporal; y 5) orbitotomía transfrontal: intracraneal.

La vía de acceso a utilizar depende de la localización de la patología y de la experiencia del cirujano. En Neurocirugía se utilizan las orbitotomías lateral y transfrontal.

 

Reglas generales

1) Tarsorrafía preventiva: evita el edema palpebral y conjuntival, la quemosis y el hematoma subconjuntival. Se realiza preferentemente al principio o al final de la cirugía y se mantiene 1-2 semanas. La técnica consiste en unir los bordes de los párpados con 2-3 puntos en U.

2) Aislamiento pre-operatorio de los músculos oculares: sobre todo en cirugía transfrontal. Se realiza mejor a través de una vía transconjuntival, mediante ganchos.

3) Mantener la anatomía de la órbita (anillo) o reconstruirla al finalizar, debido al gran componente estético de la órbita.

 

Orbitotomía lateral

Es el abordaje más antiguo, descrito por Krönlein en 1889 (10); desde entonces se han descrito numerosas variaciones (2,11,12).

Es menos invasivo que el abordaje transcraneal y puede utilizarse no sólo para la resección de tumores orbitarios, sino también para la descompresión orbitaria en la orbitopatía tiroidea.

 

Técnica

Incisión cutánea en S, curvada hacia arriba hasta la región lateral de la ceja y posteriormente a lo largo del arco zigomático hasta no más de 40 mm del canto externo.

Exposición del periostio para liberar el hueso fronto-zigomático con separación del músculo temporal, y separación de la periórbita de la pared externa. Se realizan 2 incisiones horizontales con sierra oscilante posteriores al reborde orbitario lateral. Se realiza la osteotomía superior por encima de la sutura fronto-zigomática, y la osteotomía inferior a nivel del borde superior del arco zigomático; posteriormente se fractura el hueso hacia fuera y hacia atrás en la sutura esfeno-zigomática. Si se quiere exponer lesiones en el interior del cono muscular se fresa parcialmente el esfenoides.

La orbitotomía puede ampliarse, si se precisa, hasta la fisura orbitaria superior (FOS) con exposición de la duramadre temporal, teniendo mayor acceso a la porción lateral profunda del cono muscular.

 

Abordajes intraorbitarios

1) Superior: entre el músculo recto superior y el músculo recto lateral.

Las primeras estructuras que encontramos son la arteria y el nervio lacrimales (ramas respectivamente de la arteria y el nervio oftálmicos). Retrayendo hacia abajo el recto lateral se expone el compartimiento lateral del cono muscular, pudiendo visualizarse la arteria ciliar postero-lateral y los nervios ciliares cortos. La división superior del III par camina en la cara inferior del músculo recto superior. La vena oftálmica superior pasa en el interior del cono muscular, saliendo del mismo cerca del anillo de Zinn, y puede ocasionalmente dificultar el acceso a la región cercana al ápex.

Se suele utilizar para lesiones situadas supero-laterales al nervio óptico o cuando es necesario exponer el nervio óptico.

 

2) Inferior: entre el músculo recto lateral y el músculo recto inferior.

Las estructuras neurales que podemos encontrar incluyen la división inferior del III par, los nervios ciliares cortos y el ganglio ciliar. La división del III par da 3 ramas para los músculos recto inferior, oblicuo inferior y recto medial (pasa por debajo del nervio óptico). La rama para el músculo recto inferior proporciona la rama parasimpática del ganglio ciliar. El ganglio ciliar se encuentra lateral al nervio óptico. También puede exponerse la arteria ciliar postero-lateral y la vena oftálmica inferior sobre el músculo recto inferior; esta vena es de menor tamaño que la superior y no suele suponer ninguna dificultad operatoria.

Se suele utilizar este acceso para lesiones localizadas infero-laterales al nervio óptico. Se consigue peor exposición del nervio óptico, ya que encontramos en nuestra trayectoria al ganglio ciliar y sus raíces; estas estructuras están en general, confundidas con la grasa orbitaria y se lesionan con bastante facilidad.

En ambos casos se realiza una apertura del anillo de Zinn entre el origen de los músculos rectos superior y lateral.

 

Abordaje transcraneal

Se utiliza generalmente para tumores orbitarios con extensión intracraneal, tumores localizados en ápex orbitario o canal óptico y tumores intracraneales con extensión orbitaria.

 

Técnica

Se realiza una craneotomía fronto-orbitaria modificada con resección del reborde supraorbitario junto con el colgajo frontal. La parte posterior de la órbita se reseca con una pinza de Leksell.

 

Abordajes intraorbitarios

1) Medial: entre el espacio comprendido entre el músculo oblicuo superior (que se retrae medialmente) y los músculos elevador del párpado y recto superior (se retrae lateralmente). Se expone el nervio óptico desde el globo hasta el canal óptico. En la parte lateral del nervio óptico encontramos el IV par, la arteria oftálmica, el nervio nasocialiar y la vena oftálmica superior, que cruzan por encima del nervio óptico hasta la región medial de la órbita. El anillo de Zinn se abre entre los músculos rectos superior y medial, permitiendo exponer la parte medial y superior del nervio óptico.

Se suele utilizar para lesiones localizadas supero-mediales al nervio óptico o cuando se necesita exponer el nervio óptico desde el canal óptico hasta el globo ocular. Se utiliza sobre todo en meningiomas y gliomas del nervio óptico.

 

2) Central: se retrae medialmente el músculo elevador del párpado y lateralmente el recto superior. Existen 2 variantes, con retracción medial o lateral del nervio frontal.

Se utiliza preferentemente para lesiones localizadas en la porción media del segmento intraorbitario del nervio óptico o para realizar biopsias del nervio óptico.

 

3) Lateral: se realiza entre el músculo recto lateral (se retrae lateralmente) y los músculos recto superior y elevador del párpado (se retraen medialmente). Existen 2 variantes, con retracción medial o lateral de la vena oftálmica superior. Permite una buena exposición de la zona apical profunda del nervio óptico. Dividiendo el anillo de Zinn entre los músculos recto superior y recto lateral se puede exponer la unión de la zona apical con la fisura orbitaria superior.

Se suele utilizar para lesiones que incluyen el área apical profunda, la fisura orbitaria superior o el seno cavernoso.

 

Descompresión del canal óptico

La descompresión del canal óptico se realiza principalmente cuando el nervio óptico está comprometido por un tumor o por fragmentos óseos (13,14). Para ello se han utilizado varias técnicas. La vía a través de una craneotomía frontal es la más antigua y permite una visión directa del nervio óptico, una vez extirpado el techo. La vía esfenoetmoidal, variante lateral de la ruta clásica transesfenoidal a la silla turca, proporciona acceso microquirúrgico a la porción del canal óptico que entra en contacto con las celdas etmoidales y el seno esfenoidal. Esta última técnica se puede realizar con medios endoscópicos transnasales (15,16).

El abordaje transorbitario-etmoidal utiliza una vía a través de la pared medial de la orbita la cual permite extirpar las celdas etmoidales posteriores que forman parte de la cara infero medial del canal óptico.

 

PATOLOGÍA TRAUMÁTICA CRANEO-ORBITARIA: FRACTURAS

Las fracturas orbitarias se producen comúnmente después de un trauma directo oculo-facial pero también pueden existir asociadas a politraumas con lesiones graves craneoencefálicas, torácicas, o abdominales, etc. Muchas de ellas, a pesar de tratamientos correctos, dejan secuelas permanentes como diplopia, ceguera y alteraciones en las vías lagrimales. Cuando no se diagnostican o no se tratan bien pueden dejar también deformidades estéticas.

Las causas más frecuentes que intervienen en la producción de las fracturas orbitarias son los accidentes de vehículos con motor, las caídas, los traumas deportivos y las agresiones, etc. En USA, el trauma fronto orbitario, es la segunda causa de ceguera.

 

Clínica

Los síntomas asociados a las fracturas de la orbita pueden ser triviales o devastadores incluyendo la pérdida completa de visión (17). Los pacientes pueden presentar diplopia, alteraciones sensitivas en la piel, dolor mandibular al abrir la boca, sangrado nasal, hinchazón de los párpados, rinolicuorraquia.

La exploración debe incluir un examen completo ocular. Pudiendo existir disminución de la agudeza visual, ptosis, heridas en los párpados, desplazamientos oculares, limitaciones de la movilidad ocular, movimientos dolorosos, enoftalmus, proptosis, epixtasis, desplazamiento medial o lateral del canto ocular, alteración en la sensibilidad en el dermatoma correspondiente y enfisema subcutáneo entre otros hallazgos. Las fracturas del tercio medio facial suele provocar edema importante de los tejidos blandos. El aplanamiento de la eminencia malar indica fractura con desplazamiento del zigoma. La palpación del contorno orbitario puede revelar deformidades indicando que existen fracturas. La salida continua de líquido claro transparente que aumenta al comprimir las venas yugulares o al flexionar el cuello es sugestivo de fístula de líquido cefalorraquideo (LCR). Esto ocurre en las fracturas que afectan al techo orbitario con desgarro de la duramadre y también se observa en el 20% de las fracturas naso-etmoidales (figura 5). El diagnóstico de fístula de LCR se confirma si el análisis del líquido tiene un contenido de glucosa mayor de 30mg/ml. Una Tomografía Computarizada Cerebral después de la inyección de Metrizamida en la teca puede detectar el punto de salida de LCR. La anosmia es un síntoma típico de las fracturas del suelo de la fosa craneal anterior las cuales pueden irradiarse al techo orbitario. La presencia de heridas externas deben hacer pensar al clínico en la posibilidad de cuerpos extraños o ser el inicio de trayectorias de proyectiles u otros objetos penetrantes. A veces después de un trauma craneo-orbitario aparece un soplo carotídeo acompañado de quemosis conjuntival y exoftalmus, hallazgos que sugieren la producción de una fístula carótido-cavernosa.

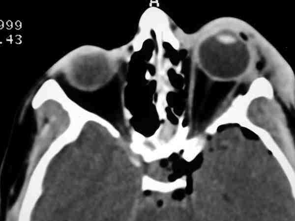
58-05.jpg (13167 bytes) 
Figura 5. La imagen de TC muestra un neumoencéfalo en una fractura del techo de la orbita izquierda.

 

Neuroimagen

La Tomografía Computarizada (TC) ha revolucionado la evaluación de las fracturas orbitarias y sustituido a las técnicas de Rx simples, técnicas de Rx tomográfico y las xeroradiografías. La introducción del TC helicoidal permite una reducción significativa en el tiempo de análisis y es muy útil en la población pediátrica. La TC tridimensional (18) sirve de ayuda para la planificación y guía de las reparaciones quirúrgicas. Las imágenes de resonancia magnética evitan la radiación, dan mejor definición de las partes blandas, e informan de la composición de ciertas lesiones (hematomas, inflamaciones, herniaciones cerebrales, etc.). Son muy útiles como complemento en la evaluación de las fracturas del techo de las órbitas. Las técnicas de ultrasonidos son rápidas y dan información de cuerpos extraños, quistes, hematomas, desplazamientos, etc. (19). En ciertos casos de fracturas provocadas por objetos penetrantes (cuchillos, antenas, arpones, lapiceros) la angiografía informa de la relación de estos objetos con las estructuras vasculares intracraneales) siendo muy útil para la planificación quirúrgica. Igualmente la angiografía cerebral permite diagnosticar la presencia de una fístula carótido-cavernosa de origen traumático.

 

Clasificación de las fracturas

El tipo de fractura ordinaria debe ser reconocido después de la valoración clínica del paciente y de los estudios neuroimagen. Según la localización anatómica las fracturas pueden ser: (del suelo, techo, paredes lateral y medial orbitario), del tercio medio facial. Según la forma se clasifican en «blow-out» y «blow-in». Pueden ser también simples o conminuta, desplazadas y no desplazadas, estables o inestables. Cuando sale LCR son abiertas. Son evolutivas si crecen en el tiempo herniándose a su través las leptomeninges y a veces el tejido cerebral. En las fracturas tipo «blow-out» no se afecta el reborde orbitario inferior, existe un desplazamiento óseo hacia fuera de la órbita lo cual puede causar enoftalmus al aumentar el volumen orbitario. En contraste, en las fracturas del tipo «blow-in», los fragmentos se desplazan al interior de la órbita reduciendo su volumen y provocando proptosis. El techo de la órbita suele verse afectado en este último tipo de fracturas.

 

Tratamiento

El tratamiento de fracturas que interesan el techo orbitario, canal óptico, la fisura orbitaria superior, ápex orbitario, el etmoides, el esfenoides son de interés neuroquirúrgico. En las medidas de tratamiento médico se recomienda evitar en lo posible las maniobras de Valsalva las cuales pueden causar enfisema orbitario, y sangrado con resultado de proptosis y a veces aumentar un neumoencéfalo existente. Se aconseja por lo tanto el uso de descongestivos nasales en spray. La proximidad de los senos paranasales a la órbita aumenta el riesgo de infección de su contenido si se tiene sinusitis. En estos casos se recomienda el uso de antibióticos profiláctico. Si existen cuerpos extraños incluidos o heridas contaminadas o sucias se debe utilizar antibióticos. La presencia de LCR obliga al uso de antibioterapia siempre.

El uso de corticoides cuando existe edema orbitario y hematomas reduce la proptosis y mejora las condiciones quirúrgicas orbitarias. Cuando se administran debe asociarse antibioterapia sistémica. Si se produce una pérdida de visión completa o parcial secundaria a una compresión del nervio óptico en el ápex orbitario o en canal óptico la administración de corticoides en megadosis no ha demostrado un efecto sustancial por lo que su uso permanece en controversia (20-24).

La presencia de neumoencéfalo o lesiones contusivas cerebrales hace necesario el uso de anticomiciales profilácticos.

Las fracturas del techo orbitario son más frecuentes en los niños que en los adultos. La disminución de la visión puede ser secundaria a una lesión directa del ojo, a una hemorragia orbitaria, a una fractura que se extiende hasta el canal óptico. Los daños directos del nervio óptico pueden ser debidos a contusiones, estiramientos, torsiones, desgarros, secciones y compresiones (figura 6). A veces se produce la lesión en los vasos que irrigan al nervio. Cuando la perdida de visión es progresiva y existe un hematoma, fractura extendida al canal óptico o fragmentos óseos que afectan al nervio óptico se indica una intervención descompresiva de urgencia (20-24). Ante una pérdida completa de visión, aunque existen controversias, se indica cada vez más una cirugía descompresiva de urgencia. Se debe recordar que el nervio óptico tolera muy poco el tiempo de isquemia por lo que el diagnóstico debe realizarse de urgencia al igual que las descompresiones.

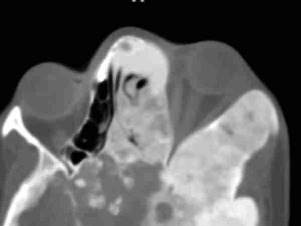
58-06.jpg (12483 bytes) 
Figura 6. En la imagen de TC, se aprecia un fragmento óseo en la pared interna de la órbita izquierda que comprime los elementos del cono orbitario.

 

Las fracturas del techo orbitario y las naso órbito etmoidales requieren a veces tratamiento neuroquirúrgico de urgencia por existir hemorragias intracraneales, contusiones cerebrales, fracturas complejas abiertas hundimientos del hueso frontal, heridas, penetrantes con cuerpos extraños intracraneales (25-29). En estos casos el abordaje se realiza mediante incisión cutánea bicoronal y requiere la colaboración estrecha de varios especialistas (figura 7).

58-07.jpg (16069 bytes) 
Figura 7. Fractura abierta hundida del techo orbitario derecho, con desgarro dural y herniación cerebral.

 

En ausencia de las indicaciones de urgencias citadas anteriormente una espera de una semana antes de la intervención quirúrgica es razonable. En este período de observación el 80% de la fístulas de LCR se cierran espontáneamente. Otros autores abogan por la cirugía precoz cuando existe fístula de LCR con el argumento de evitar infecciones.

Las complicaciones mas frecuente después de la cirugía suelen ser las fístulas de LCR, hidrocefalia, pérdida de visión, diplopia y enoftalmus. Los pacientes que sufres desgarros de la duramadre desarrollan meningitis y/o abscesos cerebrales en un 25% de los casos. Otras de las complicaciones que pueden ocurrir cuando no se diagnostican bien estas fracturas o la reparación dural es defectuosa es el desarrollo de fracturas evolutivas con herniaciones de la leptomeninges solas o asociadas a encarceración de tejido cerebral en los defectos óseos creados (figura 8).

58-08.jpg (12930 bytes) 
Figura 8.
 Imagen coronal de RM que muestra una herniación cerebral a través de una fractura evolutiva en el techo de la orbita derecha.

 

HIPERTENSIÓN ENDOCRANEAL BENIGNA

Clásicamente el tratamiento neuroquirúrgico de elección para reducir la hipertensión endocraneal benigna (figura 9) ha sido la implantación de derivaciones de LCR. Sin embargo estas implantaciones no están exentas de complicaciones y de morbilidad. Las derivaciones lumboperitoneales con frecuencia se obstruyen y son fuente de dolores radiculares o de reacciones inflamatorias.

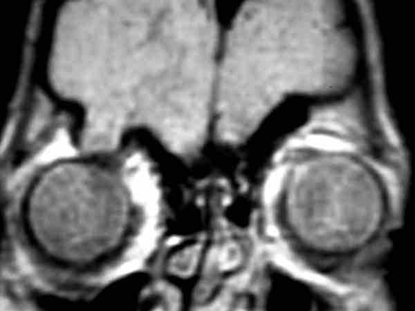
58-09.jpg (12120 bytes) 
Figura 9. Acumulos de LCR dentro de las vainas del nervio óptico vistos en una plano axial de RM. Paciente con hipertensión endocraneal benigna.

 

La técnica de fenestración de las vainas del nervio óptico ha resurgido como método de tratamiento de la hipertensión endocraneal benigna en la última década (30-32). En muchos de los casos se ha convertido en el procedimiento de elección con una eficacia que alcanza el 90%. La mayoría de paciente tratados con esta técnica presentaban hipertensión endocraneal crónica con edema de papila y afectación del nervio óptico. La técnica se ha mostrado eficiente también en otros tipos de hipertensión endocraneal secundarios a hidrocefalia, tumores cerebrales y trombosis de senos venosos intracraneales (33). La mayoría de autores creen que el mecanismo de reducción de la presión intracraneal es el filtrado de LCR hacia la órbita desde las fenestraciones de las vainas de nervio ópticos. El acceso al nervio para realizar estas fenestraciones puede ser hecho por una vía medial o por una vía lateral. En ambos casos se debe abrir bien tanto la duramadre como la aracnoides del nervio óptico permitiendo la salida de LCR hacia la órbita.

 

BIBLIOGRAFÍA

  1. Natori Y, Rhoton ALJ. Transcranial approach to the orbit: microsurgical anatomy. J Neurosurg 1994; 81: 78-86.
  2. Maroon JC, Kennerdell JS, Brillman J. Tumors of the orbit; in Ed.Wilkins RHyR, SS (eds): Neurosurgery. Mcgraw-Hill, 1995, pp 1481-1493.
  3. Brihaye J. Neurosurgical approaches to orbital tumours. Adv Tech Stand Neurosurg 1976; 3: 103-121.
  4. Sibony PA, Krauss HR, Kennerdell JS, et al. Optic nerve sheath meningiomas. Clinical manifestations. Ophthalmology 1984; 91: 1313-1326.
  5. Michael CB, Lee AG, Patrinely JR, et al. Visual loss associated with fibrous dysplasia of the anterior skull base. Case report and review of the literature. J Neurosurg 2000; 92: 350-354.
  6. Yavuzer R, Khilnani R, Jackson IT, et al. A case of atypical McCune-Albright syndrome requiring optic nerve decompression. Ann Plast Surg 1999; 43: 430-435.
  7. Durante F. Contribution to endocraneal surgery. Lancet 1887; 2: 654-655.
  8. Natori Y, Rhoton ALJ. Microsurgical anatomy of the superior orbital fissure. Neurosurgery 1995; 36: 762-775.
  9. Maroon JC, Kennerdell JS. Surgical approaches to the orbit. Indications and techniques. J Neurosurg 1984;60:1226-1235.
  10. Krönlein RU. Zur pathologie und operativen Behandlung der Dermoid-zysten der orbita. Beitr Klin Chir 1889; 4: 149-163.
  11. Berke RN. A modified Krönlein operation. Trans Am Ophthalmol Soc 1953; 51: 193-231.
  12. Arai H, Sato K, Katsuta T, et al. Lateral approach to intraorbital lesions: anatomic and surgical considerations. Neurosurgery 1996; 39: 1157-1162.
  13. Maurer J, Hinni M, Mann W, et al. Optic nerve decompression in trauma and tumor patients. Eur Arch Otorhinolaryngol 1999; 256: 341-345.
  14. Knox BE, Gates GA, Berry SM. Optic nerve decompression via the lateral facial approach. Laryngoscope 1990; 100: 458-462.
  15. Luxenberger W, Stammberger H, Jebeles JA, et al. Endoscopic optic nerve decompression: the Graz experience. Laryngoscope 1998; 108: 873-882.
  16. Kountakis SE, Maillard AA, El-Harazi SM, et al. Endoscopic optic nerve decompression for traumatic blindness. Otolaryngol Head Neck Surg 2000; 123: 34-37.
  17. Ashar A, Kovacs A, Khan S, et al. Blindness associated with midfacial fractures. J Oral Maxillofac Surg 1998; 56: 1146-1150.
  18. Remmler D, Denny A, Gosain A, et al. Role of three-dimensional computed tomography in the assessment of nasoorbitoethmoidal fractures. Ann Plast Surg 2000; 44: 553-562.
  19. Forrest CR, Lata AC, Marcuzzi DW, et al. The role of orbital ultrasound in the diagnosis of orbital fractures. Plast Reconstr Surg 1993; 92: 28-34.
  20. Cook MW, Levin LA, Joseph MP, et al. Traumatic optic neuropathy. A meta-analysis. Arch Otolaryngol Head Neck Surg 1996; 122: 389-392.
  21. Lee AG. Traumatic optic neuropathy [letter; comment]. Ophthalmology 2000; 107: 814.
  22. Levin LA, Beck RW, Joseph MP, et al. The treatment of traumatic optic neuropathy: the International Optic Nerve Trauma Study [see comments]. Ophthalmology 1999; 106: 1268-1277.
  23. Li KK, Teknos TN, Lai A, et al. Traumatic optic neuropathy: result in 45 consecutive surgically treated patients. Otolaryngol Head Neck Surg 1999; 120: 5-11.
  24. Mine S, Yamakami I, Yamaura A, et al. Outcome of traumatic optic neuropathy. Comparison between surgical and nonsurgical treatment. Acta Neurochir (Wien) 1999; 141: 27-30.
  25. Denny AD, Rosenberg MW, Larson DL. Immediate reconstruction of complex cranioorbital fractures in children. J Craniofac Surg 1993; 4: 8-20.
  26. Penfold CN, Lang D, Evans BT. The management of orbital roof fractures. Br J Oral Maxillofac Surg 1992; 30: 97-103.
  27. Crockett DM, Funk GF. Management of complicated fractures involving the orbits and nasoethmoid complex in young children. Otolaryngol Clin North Am 1991; 24: 119-137.
  28. Holt GR, Holt JE. Management of orbital trauma and foreign bodies. Otolaryngol Clin North Am 1988; 21: 35-52.
  29. Gonul E, Akboru M, Izci Y, et al. Orbital foreign bodies after penetrating gunshot wounds: retrospective analysis of 22 cases and clinical review. Minim Invasive Neurosurg 1999; 42: 207-211.
  30. Mauriello JAJ, Shaderowfsky P, Gizzi M, et al. Management of visual loss after optic nerve sheath decompression in patients with pseudotumor cerebri. Ophthalmology 1995; 102: 441-445.
  31. Kelman SE, Heaps R, Wolf A, et al. Optic nerve decompression surgery improves visual function in patients with pseudotumor cerebri. Neurosurgery 1992; 30: 391-395.
  32. Lee AG, Patrinely JR, Edmond JC. Optic nerve sheath decompression in pediatric pseudotumor cerebri. Ophthalmic Surg Lasers 1998; 29: 514-517.
  33. Horton JC, Seiff SR, Pitts LH, et al. Decompression of the optic nerve sheath for vision-threatening papilledema caused by dural sinus occlusion. Neurosurgery 1992; 31: 203-211.

ÍNDICE GENERAL