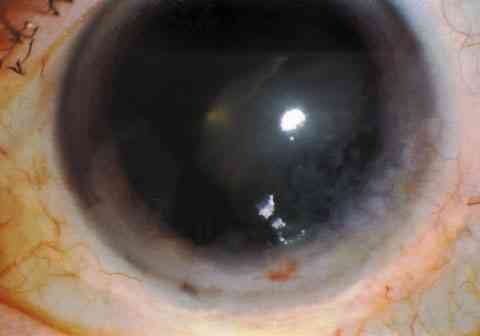
Figura 1

LESIÓN CORNEAL PREVIA AL TRATAMIENTO.

[Regresar]