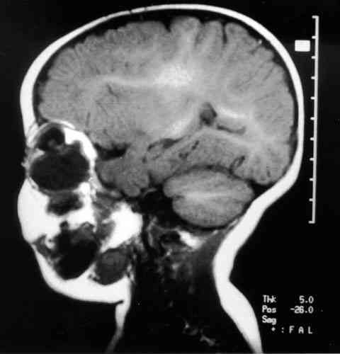
Figura 1

RESONANCIA NUCLEAR MAGNÉTICA EN T1, CORTE SAGITAL ÓRBITA DERECHA, DONDE PODEMOS OBSERVAR TUMORACIÓN INTRAORBITARIA QUÍSTICA EN ÍNTIMO CONTACTO CON EL GLOBO OCULAR. EL CONTENIDO QUÍSTICO PARECE DE DENSIDAD SIMILAR AL LCR.

[Regresar]