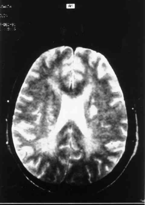
Figura 1

LESIONES DESMIELINIZANTES EN SUSTANCIA BLANCA DE AMBOS HEMISFERIOS, DE PREDOMINIO PERIVENTRICULAR.

  

[Regresar]