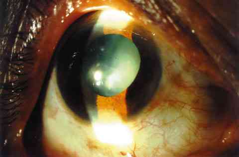
Figura 7

OJO IZQUIERDO. PIGMENTO SOBRE CÁPSULA ANTERIOR DEL CRISTALINO.

[Regresar]