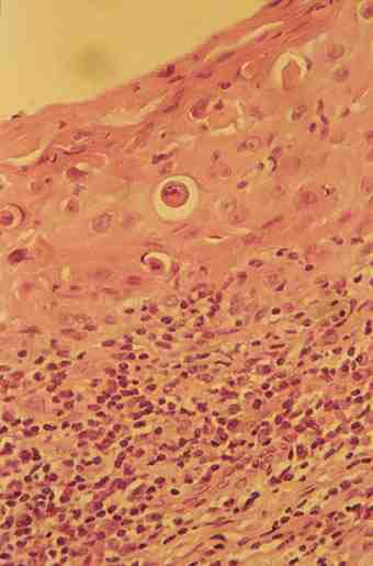
Figura 3

f11-03.jpg (58359 bytes)

SECCIÓN HISTOLÓGICA DEL TUMOR CONJUNTIVAL (TINCIÓN DE HEMATOXILINA-EOSINA). CARCINOMA IN SITU CON PRESENCIA DE CÉLULAS ATÍPICAS CON ÍNDICE MIÓTICO MODERADO, PÉRDIDA DE POLARIDAD Y MADURACIÓN CELULAR, Y FRECUENTES FENÓMENOS DE DISQUERATOSIS LIMITADOS AL EPITELIO. NO HAY SIGNOS DE INVASIÓN ESTROMAL.