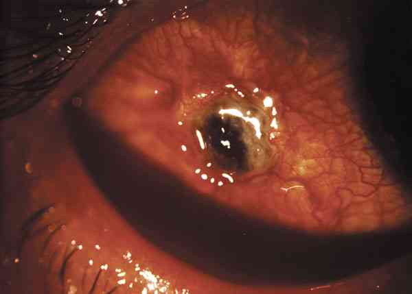
Figura 2

f10-02.jpg (39285 bytes)

FOCO DE NECROSIS ESCLERAL AVANZADO.