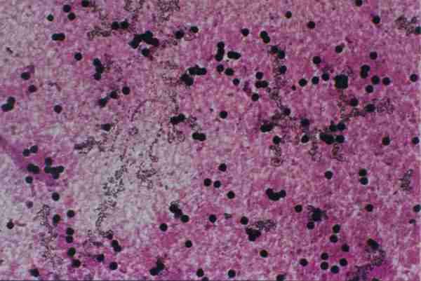
Figura 2

f03-02.jpg (62343 bytes)

CELULARIDAD INFLAMATORIA EN ACUOSO DEL GRUPO II (ACETATO DE PREDNISOLONA) (x20 AUMENTOS).