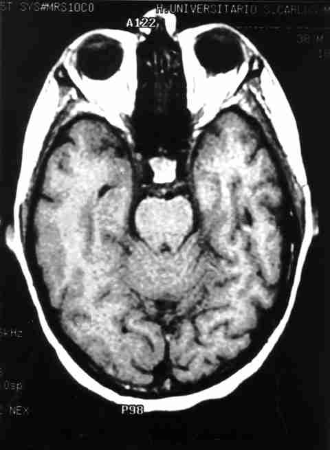
Figura 4

f08-04.jpg (54212 bytes)

RMN EN T1. REALCE Y ENGROSAMIENTO MENÍNGEO EN ZONA PARIETO-TEMPORAL DERECHA Y PARTE SUPERIOR DE VERMIS.