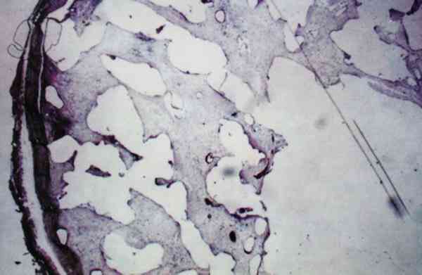
Figura 4

SECCIÓN HISTOLÓGICA DEL IMPLANTE DEL CONEJO N.º 3. NÓTESE QUE EL TERCIO INTERNO ESTÁ LIBRE DE VASCULARIZACIÓN Y SÓLO SE APRECIAN ALGUNAS CÉLS. INFLAMATORIAS AISLADAS (TINCIÓN H&E, 4X).