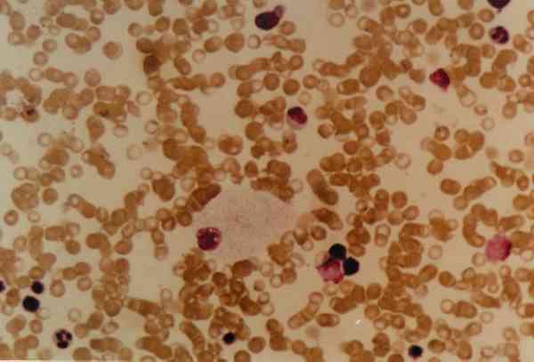
Figura 3

ASPECTO DE LA PUNCIÓN DE LA M. ÓSEA EN NUESTRO PACIENTE, MEDIANTE LA TINCIÓN DE MAY-GRÜNWALD-GIEMSA, DONDE APRECIAMOS UNA CÉLULA ESPUMOSA.