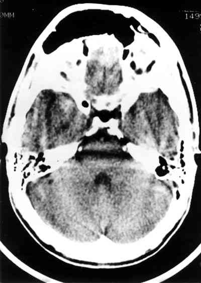
Figura 4

PROYECCIÓN AXIAL DE TAC CRANEAL MOSTRANDO LA CAVIDAD FRONTAL DERECHA HIPERNEUMATIZADA HACE 7 AÑOS Y PREVIA LA INTERVENCIÓN.