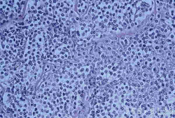
Figura 2

(H-E. X50). PROLIFERACIÓN LINFOIDE DIFUSA DE CÉLULAS PEQUEÑAS.