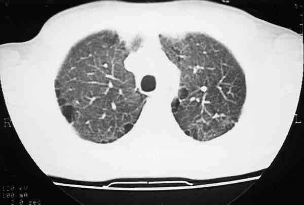
Figura 4

MÚLTIPLES IMÁGENES ENFISEMATOSAS BULLOSAS QUE HAN DESCRITO DE FORMA EXCEPCIONAL EN CASOS DE NEUROFIBROMATOSIS GENERALIZADA.