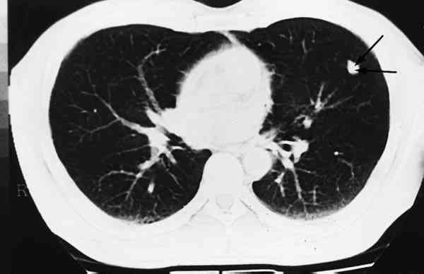
Figura 6

IMAGEN DE TAC PULMONAR DONDE SE EVIDENCIA LA LOCALIZACIÓN DE LA LESIÓN ANTERIOR.