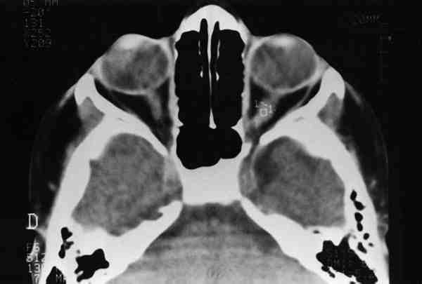
Figura 7

TAC DE ÓRBITA DONDE SE APRECIA GLIOMA DE NERVIO ÓPTICO IZQUIERDO (AÑO 1985). SE OBSERVA EL ASPECTO FUSIFORME Y SIMÉTRICO DE LA LESIÓN.