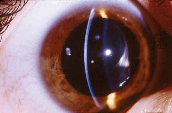
Figura 2

PORCIÓN MÁS ANTERIOR DE LA ARTERIA HIALOIDEA PERSISTENTE. PUNTO DE MITTENDORF.