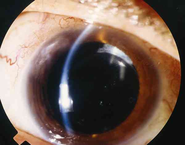
Figura 1

IMAGEN BIOMICROSCÓPICA EN LA QUE SE APRECIA UNA ÚNICA PLACA BLANQUECINA EN EL SACO CAPSULAR AL INICIO DEL CUADRO CLÍNICO.