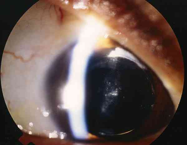
Figura 2

ASPECTO BIOMICROSCÓPICO DE LA REACTIVACIÓN OCURRIDA A LOS 6 MESES DEL TRATAMIENTO CON VANCOMICINA INTRAOCULAR, MOSTRANDO MÚLTIPLES PLACAS CAPSULARES.