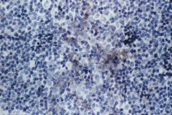
Figura 4

ESTUDIO INMUNO-HISTOQUÍMICO CON ANTICUERPOS MONOCLONALES: TINCIÓN POSITIVA CON MARCADOR CD20.