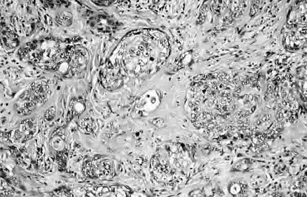
Figura 2

PROLIFERACIÓN DE CÉLULAS DE ASPECTO SEBÁCEO QUE SE DISPONEN EN NIDOS SÓLIDOS. LAS CÉLULAS MUESTRA CITOPLASMAS AMPLIOS, CLAROS Y FINALMENTE VACUOLADOS CON NÚCLEOS HIPERCROMÁTICOS, CON MARCADA ATIPIO Y PRESENCIA DE NUCLEOLOS PROMINENTES (HEMATOXILINA-EOSINA).