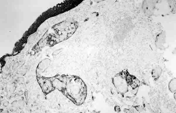
Figura 3

INMUNOREACTIVIDAD PARA LA CITOQUERATINA. OBSÉRVESE COMO LAS CÉLULAS TUMORALES QUE SE DISPONEN EN NIDOS ASÍ COMO EL EPITELIO NORMAL SE TIÑEN DE OSCURO, QUE CORRESPONDE A LA TINCIÓN MARRÓN CON PEROXIDASA (PEROXIDASA).