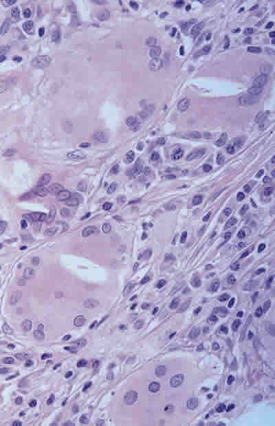
Figuras 7 y 8

REACCIÓN GIGANTO-CELULAR A CUERPO EXTRAÑO A NIVEL TARSAL REACCIÓN INFLAMATORIA CRÓNICA SUBCONJUNTIVAL EN LA TINCIÓN CON HEMATOXILINA-EOSINA Y PÉRDIDA Y FRAGMENTACIÓN DE FIBRAS ELÁSTICAS A NIVEL DE LA DERMIS EN LA TINCIÓN CON ORCEÍNA.