BUENO LOZANO J1, ENCINAS JL2, ZATO MA1
(1) Doctor en Medicina. Instituto de
Ciencias Visuales (INCIVI). Madrid.
(2) Doctor en Medicina. Clínica Puerta de Hierro. Madrid.
En la reunión de expertos celebrada en el Instituto de Ciencias Visuales (INCIVI) el 23 de Enero de 2004 participaron como conferenciantes el Prof. Berger, Dr. Monés, Prof. Encinas y el Dr. Bueno debatiendo las indicaciones de terapia fotodinámica (TFD).
De todos es ya conocida la indicación primaria de la técnica. Recordamos los resultados de los estudios TAP donde indicaban la aplicación de verteporfin en la degeneración macular asociada a la edad (DMAE) con neovascularización subretiniana (NVSR) subfoveal de predominio clásico (1-3). Desde entonces se aplica el tratamiento en aquellas lesiones de predominio clásico con agudeza visual mínima de 20/200.
Se han realizado nuevos ensayos ampliando las indicaciones y los criterios de inclusión. En el estudio VIP 1 y VIP 3 se analizaban los resultados para miopía patológica (con AV>20/10) (4,5) y en los ensayos VIP 2 se discutían los resultados de las membranas ocultas a los 2 años (6).
Los resultados a 2 años del estudio VIP-3 para pacientes con NVC subfoveal secundaria a miopía patológica sugieren el beneficio en el grupo tratado con terapia fotodinámica comparado con el grupo placebo. El resultado era significativamente superior para los grupos tratados en el primer años (86% frente al 67%) aunque en el segundo año se reducían las ventajas (79% frente al 72%). El valor medio de sesiones disminuye (3,4 sesiones el primer año y 1,7 sesiones el segundo año).
El promedio de sesiones para la DMAE disminuye con el tiempo 3,6 sesiones el primer año, 2,4 sesiones el segundo año y 1,3 sesiones al tercer año.
El Dr. Monés en su conferencia explicaba y analizaba el esquema de actuación para las lesiones neovasculares secundarias a DMAE apoyado en los resultados de los diferentes estudios multicéntricos (ver tabla 1).
TABLA 1

1. Lesión extrafoveolar: lesión bien delimitada a más de 200 micras de la ZAF. Se debe realizar fotoablación con láser argon siguiendo las recomendaciones y parámetros de los estudios MPS.
2. Lesión yuxtafoveolar: lesión 1-199 micras de la fóvea. Se considera tratamiento con láser térmico si tenemos confianza y la seguridad que la lesión no crecerá englobando en un futuro la zona subfoveolar. Si no estamos convecidos que se cumplan estas condiciones se debe realizar terapia fotodinámica.
3. Lesión subfoveolar: dependerá de la proporción de membrana clásica.
a) Lesión de predominio clásico (>50%). Los estudios TAP 1,2,3 con seguimientos a 3 años han demostrado una proporción significativa menor de pérdidas de menos de 3 líneas en aquellos pacientes sometidos a terapia fotodinámica 67% frente a un 39% en el primer año, 59% frente 31% en el segundo año y en el tercer año se mantiene esta diferencia del 28% en las lesiones de predominio clásico.
b) Lesión mínima clásica (<50%). Los ensayos TAP 1,2,3 no han demostrado mejores resultados en estos casos por lo que inicialmente se recomendaba la observación. Existen condiciones donde debemos considerar el tratamiento. Si en revisiones sucesivas comprobamos aumento de la proporción de membrana clásica aproximándose al 50%, o en membranas pequeñas (<4MPS) con importante pérdida visual. Los ensayos TAP se enfocaron para las lesiones de predominio clásico por lo que las conclusiones en este grupo de pacientes tiene poco «peso estadístico». Por este motivo se está desarrollando ensayo VIM específico para las lesiones mínimamente clásicas (7).
c) Lesiones ocultas sin componente cásico: En los ensayos VIP 1 y 3 se comprobó como el 45% frente al 32% habían perdido menos de 3 líneas de visión a los 2 años. También los estudios reflejan que el beneficio del tratamiento es mayor en lesiones pequeñas (<4MPS) o bajos niveles de agudeza visual (AV 20/50–1). Las lesiones ocultas tratables deben ser recientes. Lesión reciente se define como presencia de sangre, incremento de al menos 10% de su diámetro mayor, o descenso de la agudeza visual (al menos 1 línea) en las últimas 12 semanas. En lesiones grandes se puede aplicar TFD cuando las agudeza visual es baja (AV 20/50–1).
En la segunda parte de su conferencia el Dr. Monés avanzaba los resultados del ensayo con Pegaptamib sodium (Macugen). Los estudios en fase II/III demuestran la eficacia de macugen para lesiones de DMAE de todos los tipos con inyecciones intravítreas 0,3 mg cada 6 semanas y mínimos efectos sistémicas y locales.
El Prof. Berger en su coferencia comentaba los resultados preliminares de los ensayos VIO, VALIO y VIM y la aplicación de nuevos agentes antiangiogénesis: Pegaptamib sodium (Macugen), Rhufab V2 (Lucentis) y Anecortave Acetate (Retaane).
El ensayo VIO analiza los resultados de verteporfino en membranas ocultas sin componente clásicos. Sus mejores resultados eran a los 2 años en las membranas pequeñas (<4MPS) y cualquier agudeza visual y membranas grandes (>4MPS) y agudeza visual baja (AV>20/50-1).
El ensayo VALIO analiza los resultados de demorar la aplicación del láser diodo a 30 minutos para las membranas ocultas sin demostrar mejores resultados.
El ensayo VIM compara los resultados en lesiones mínima clásicas aplicando la mitad de la dosis (300 mW/cm2) sin evidenciar diferencias con la dosis habitual.
Rhufab es un fragmento de inmunoglobulina que en la fase III ha demostrado su eficacia para la DMAE en lesiones angiográficas mínima clásicas y ocultas. Se realizan inyecciones intravítreas mensuales de 300-500 microgramos.
El acetato de anecortave inyectado supraescleral cada 6 meses con dosis 0,5 ml (15 mg) ha demostrado su eficacia para las lesiones de predominio clásico.
Como conclusiones para ambos doctores en el futuro inmediato se aplicarán los agentes antiangiogénicos asociados a la terapia fotodinámica.
El Prof. Encinas y el Dr. Bueno presentaban los resultados de su experiencia personal.
El Prof. Encinas comentaba la presión mediática de los resultados de ensayos multicéntricos. En ocasiones la indicación de tratamiento se apoya en comunicaciones, publicaciones y ensayos dirigidos. En su experiencia personal analizaba el resultado de 82 ojos de DMAE sometidos a terapia fotodinámica y como conclusiones obtenía 12% mejoraban su agudeza visual, 35% se mantenían igual y un 49% estaban peor. Lo llamativo era que preguntando por el grado de satisfacción el 28% estaban contentos y el 46% resignados. Enumeraba las indicaciones de terapia fotodinámica desde su inicio. De ser muy cautos y precisos para la indicación (lesión DMAE subfoveolar de predominio clásico), en la actualidad se amplían las indicaciones, no existe límites de agudeza visual, ni tipo angiográfico, ni siquiera condición de la neovascularización a tratar (ya se aplica a membranas del miope, estrías angiodes, secundarias a procesos inflamatorios...).
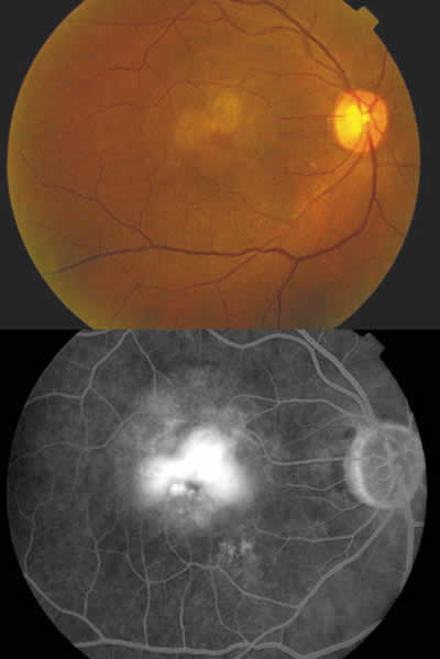
El Dr. Bueno en su experiencia personal analizaba los resultados de 95 ojos y obtenía que el 24,70% mejoraban su agudeza visual (figs. 1 y 2), 22,35% se mantienen igual, y el 52,94% empeoraban (figs. 3 y 4). Al preguntar por el grado de satisfacción también es llamativo que no se corresponden al criterio de agudeza visual. Los pacientes mejoran de manera subjetiva al disminuir la metamorfopsia y la densidad de su escotoma central.
Fig. 1. Lesión subfoveal de predominio clásico con membrana activa. AV=0,1.
Fig. 2. Lesión subfoveal de predominio clásico sometida a 4 sesiones de
terapia fotodinámica con membrana inactiva. AV=0,4.
Fig. 3. Lesión subfoveal mínima clásica con membrana activa. AV=0,4.
Fig. 4. Lesión subfoveal mínima clásica sometida a 3 sesiones de terapia
fotodinámica con membrana activa. AV=0,1.
CONCLUSIONES
1. La terapia fotodinámica ha demostrado ser eficaz para disminuir la pérdida de visión en la DMAE con lesiones de predominio clásico subfoveolares con 3 años de seguimiento.
2. La terapia fotodinámica ha demostrado su eficacia para minimizar la pérdida visual en las lesiones subfoveolares del miope con 2 años de seguimiento.
3. La terapia fotodinámica se puede aplicar en lesiones recientes ocultas sin componente clásico con buenos resultados a los 2 años de inicio del tratamiento. Mejores resultados en lesiones pequeñas (<4MPS) o grandes con baja agudeza visual (AV<20/50–1).
4. Se puede considerar el tratamiento de las lesiones mínimamente clásicas si existe progresión de pérdida de visión o si el componente clásico se aproxima al 50%.
ABREVIATURAS
DMAE: Degeneración macular asociada a la edad
TFD: Terapia fotodinámica
NVSR: Neovascularización subretiniana
AV: Agudeza visual
ZAF: Zona avascular foveal
MPS: Macular Photocoagulation Study
TAP: Treatment of age-related macular degeneration with photodynamic therapy
Study Group
VIP: Verteporfin in Photodynamic Study Group
VIO: Visudyne In Occult Choroidal Neovascularization
VIM: Visudyne In Minimally Classic Choroidal Neovascularization
VALIO: Visudyne with Altered Light in Occult CNV
BIBLIOGRAFIA
Treatment age-related macular degeneration with photodynamic therapy (TAP) study group. Photodynamic therapy of subfoveal choroidal neovascularization in age-related macular degeneration with verteporfin: one-year results of 2 randomized clinical trial-TAP reports 1. Arch Ophthalmol. 1999; 117: 1329-1345.
Treatment age-related macular degeneration with photodynamic therapy (TAP) study group. Photodynamic therapy of subfoveal choroidal neovascularization in age-related macular degeneration with verteporfin: two-year results of 2 randomized clinical trial-TAP reports 2. Arch Ophthalmol. 2001; 119: 198-207.
Verteporfin therapy of subfoveal choroidal neovascularization in age-related macular degeneration. Three-year results of an open-label extension of 2 randomized clinical trials-TAP report 5. Arch Ophthalmol. 2002; 120: 1307-1314.
Photodynamic therapy of subfoveal choroidal neovascularization in pathologic myopia with verteporfin: one-year results of a randomized clinical trial-VIP report 1. Opthalmology. 2001; 108: 841-852.
Verteporfin therapy of subfoveal choroidal neovascularization in pathologic myopia. 2 year results of a randomized clinical rial-VIP report 3. Opthalmology 2003; 110: 667-673.
Verteporfin therapy of subfoveal choroidal neovascularization in age-related macular degeneration: two-year results of a randomized clinical trial including lesions with occult with no classic choroidal nevascularization-verteporfin in photodynamic therapy report 2. Am J Ophthalmol. 2001; 131: 541-560.
Guidelines for using verteporfin (Visudyne) in photodynamic therapy to treat choroidal neovascularization due to age-related macular degeneration and other causes. Retina. 2002; 22(1): 6-18.