ARGAYA AMIGO J1, VALVERDE ALMOHALLA S2, ENCINAS MARTÍN JL2 LÓPEZ GARCÍA-GALLO C3, SÁNCHEZ YUSTE R4
Hospital Universitario Puerta de Hierro.
Madrid.
(1) Licenciado en Medicina. Servicio Oftalmología.
(2) Doctor en Medicina. Servicio Oftalmología.
(3) Licenciado en Medicina. Servicio de Neumología.
(4) Licenciado en Medicina. Servicio de Anatomía Patológica.
Ante el hallazgo de una tumoración intraocular, la sospecha diagnóstica, irá dirigida hacia las entidades más frecuentes: el melanoma de coroides, tumor intraocular primario más frecuente, y la metástasis coroidea, tumoración intraocular más frecuente (1), siempre que los datos que nos proporciona la exploración oftalmoscópica y las pruebas complementarias no nos hagan sospechar otro diagnóstico menos habitual.
El caso que a continuación se expone, fue remitido a nuestro centro, ante la duda de qué tipo de tumor presentaba la paciente, los eventos sistémicos que coincidieron con su exploración oftalmológica disiparon cualquier duda, si bien, sólo con la exploración oftalmoscópica y ultrasonográfica, en la mayoría de las ocasiones, es posible llegar a un diagnóstico clínico, con un importante grado de certeza.
El caso que nos ocupa se trata de una mujer de 50 años, sin antecedentes médicos de interés, que 20 días antes había experimentado molestias oculares y pérdida de visión por su ojo derecho, le fue detectado un tumor intraocular por lo que de inmediato fue remitida a nuestro servicio.
La exploración que presentaba era como sigue: agudeza visual movimientos de la mano en el ojo derecho y de 1,0 en el ojo izquierdo. Biomicroscopia: hiperemia severa en el ojo derecho, presión intraocular del ojo derecho 22 mmhg, ojo izquierdo 17 mmHg.
En la oftalmoscopia podía observarse un tumor coroideo amelánico, de grandes dimensiones, con desprendimiento de retina exudativo y efusión uveal, signos altamente sugestivos de carcinoma metastásico (figs. 1 a y b).
Fig. 1a. Retinografía en la que se pueden apreciar
el color amarillento y las grandes dimensiones de la masa coroidea.

Fig. 1b. Retinografías en la que se pueden
apreciar el color amarillento y las grandes dimensiones de la masa coroidea.
En la Ultrasonografía podía apreciarse un tumor coroideo de reflectividad interna media y estructura interna y estructura interna irregular, sus dimensiones eran: 7,5 mm de grosor, 13,3 m de base transversal y 14,8 de base longitudinal (fig. 2).
Fig. 2. ECO A y B de la tumoración intraocular.
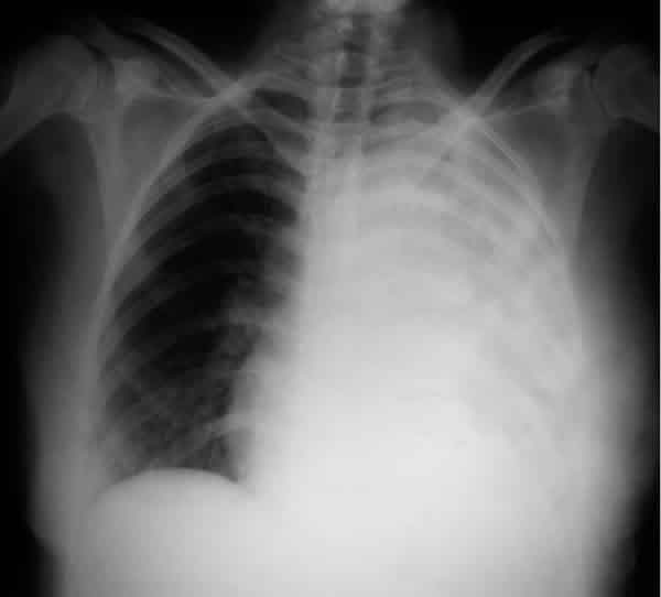
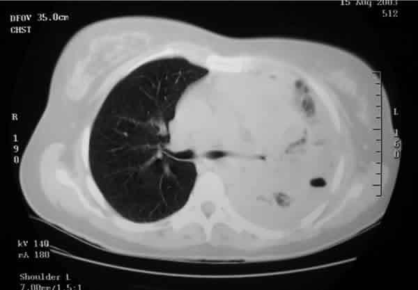
El mismo día que fue explorada en nuestro servicio, fue remitida al Servicio de Urgencias por haber debutado esa misma mañana con una disnea severa, le fue detectado un importante derrame pleural (fig. 3). Fue ingresada para ser estudiada y en el curso de apenas dos semanas se precipitaron los síntomas sistémicos debido a la enorme diseminación del tumor primario. El análisis histológico de una muestra obtenida mediante una broncoscopia, permitió identificar a un Carcinoma de Células Grandes pulmonar como tumor primario responsable de los múltiples focos metastásicos que la paciente presentaba y que en ese momento comprendía, además de la afectación ocular y torácica, masas cerebrales y hepáticas (figs. 4-6).
Fig. 3. Radiografía de tórax realizada a la
paciente el mismo día que fue explorada en nuestro Servicio, se puede apreciar
un derrame pleural masivo.
Fig. 4. En este corte de la TC se puede apreciar la
afectación masiva del hemitórax izquierdo por la masa tumoral y el derrame
pleural.
Fig. 5. En este corte de la TC craneal se pueden
apreciar múltiples focos metastásicos cerebrales.
Fig. 6. Fotografía de la preparación histológica
de la muestra obtenida en la biopsia transbronquial. Se puede apreciar
infiltración de la mucosa bronquial por una proliferación epitelial de
células grandes (H-Ex100).
La paciente fue valorada por el Servicio de Oncología Medica, le fue propuesto tratamiento quimioterápico sistémico, la paciente optó por recibir el tratamiento en su hospital de origen.
Aunque históricamente las metástasis coroideas eran consideradas un hallazgo excepcional, hoy día pueden considerarse como un hallazgo común, son, de hecho, la tumoración intraocular más frecuente (2).
Los tumores primarios que con más frecuencia metastatizan son el cáncer de mama (47%), pulmón (21%), tracto gastrointestinal (4%), riñón (2%), piel (2%) próstata (2%). Hasta en un 17% no se logra localizar el tumor primario (3).
La coroides, y en concreto el tracto uveal posterior, es la localización predilecta de las metástasis oculares y anexas, seguramente debido a su rica arquitectura vascular (3).
El porcentaje de metástasis coroideas en pacientes que mueren de tumores malignos se sitúa entre el 5 y el 30% (2). La posibilidad de detectarlas aumenta de forma paralela al grado de diseminación de la enfermedad (4), con frecuencia son asintomáticas y no es excepcional, como en el caso que nos ocupa, que constituyan la primera manifestación de la enfermedad (5).
Cuando producen síntomas, el más frecuente es la pérdida de visión, seguida de fotopsias y metamorfopsias y más raramente debutan con dolor (2).
Las metástasis coroideas suelen ser masas subretinianas pálidas o blanco amarillentas, pueden presentar alteraciones moteadas en el epitelio pigmentario, tienen predilección por el polo posterior, con frecuencia son múltiples, es excepcional que adopten forma de champiñón (típico de los melanomas de coroides) (6), suelen ser lesiones aplanadas de tamaño importante (varios diámetros papilares) y bordes irregulares, en ocasiones, como en este caso, asocian efusiones y desprendimientos coroideos (2,3).
El la ultrasonografía suelen presentar una reflectividad interna media o alta, mayor en general a la que presentan los melanomas de coroides (7).
Otras pruebas diagnósticas como la angiografía fluoresceínica, la TC o la RNM raramente nos van a aportar información adicional (2) (figs 7 y 8).
Fig. 8. Secciones axiales de la TC y RNM orbitaria en la que se puede apreciar
la metástasis y el desprendimiento de retina asociados.
El abordaje terapéutico de las metástasis coroideas suele consistir en quimioterapia sistémica, radioterapia externa, braquiterapia y con menos frecuencia terapia hormonal, resección local, enucleación o distintos tipos de láser. Muchas de las metástasis no reciben tratamiento debido al estado general del paciente, de hecho, la supervivencia media en pacientes con metástasis coroideas es de 6 a 12 meses (2,3,8-10).
BIBLIOGRAFÍA
Albert D, Jakobiec F, Azar D, Gragoudas E. Principles and Practice of Ophtalmology. 2nd Edition 2000. W.B Saunders Company. Philadelphia Pennsylvania.
Bloch RS, Gartner S. The incidence of ocular metastatic carcinoma. Arch Ophthal 1971; 85: 673-675.
Shields CL, Shields JA, Gross NE, Schwartz GP, Lally SE. Survey of 520 eyes with uveal metastases. Ophthalmology. 1997 Aug; 104(8): 1265-1276.
Vidal Candela MT, Javaloy Estañ J, Soler Fernández FL, Rodriguez-Lescurea A, Carrato Mena A. Choroidal metastases in breast and lung cancer. Prevalence and clinical features. A prospective study]. Arch Soc Esp Oftalmol. 2002 Jan; 77(1): 23-28.
Wiegel T, Kreusel KM, Bornfeld N, Bottke D, Stange M, Foerster MH, Hinkelbein W. Frequency of asymptomatic choroidal metastasis in patients with disseminated breast cancer: results of a prospective screening programme. Br J Ophthalmol. 1998 Oct; 82(10): 1159-1161.
Ward SD, Byrne BJ, Kincaid MC, Mann ES. Ultrasonographic evidence of a mushroom-shaped choroidal metastasis. Am J Ophthalmol 2000 Nov; 130(5): 681-682.
Sobottka B, Schlote T, Krumpaszky HG, Kreissig I. Choroidal metastases and choroidal melanomas: comparison of ultrasonographic findings. Br J Ophthalmol. 1998 Feb; 82(2): 159-161.
Shields CL, Shields JA, De Potter P, Quaranta M, Freire J, Brady LW, Barret J. Plaque radiotherapy for the management of uveal metastasis. Arch Ophthalmol. 1997 Feb; 115(2): 203-209.
Wiegel T, Bottke D, Kreusel KM, Schimdt S, Bornfeld N, Foerster MH, Hinkelbein W;German Cancer Society. External beam radiotherapy of choroidal metastases--final results of a prospective study of the German Cancer Society (ARO 95-08). Radiother Oncol. 2002 Jul; 64(1): 13-18.
Levinger S, Merin S, Seigal R, Pe`er J. Laser therapy in the management of choroidal breast tumor metastases. Ophthalmic Surg Lasers. 2001 Jul-Aug; 32(4): 294-299.