CASO CLÍNICO


Caso 4: Proptosis y paresia del III par consecutivas a aneurisma de arteria comunicante posterior sin ruptura

BELLIDO RUBIALES F1, BELLIDO RUBIALES JA1, DURAND NEYRA F2

Centro Médico Hiniesta. Sevilla.
(1) Oftalmólogo.
(2) Neurocirujano.


RESUMEN

Exponemos el caso de una niña de 13 años de edad que presentaba proptosis axial y paresia aislada del III par, con preservación pupilar inicial. La eco doppler color y la angio RMC con gadolinio sugirieron la existencia de una fístula carótida cavernosa.

La arteriografía demostró la existencia de un aneurisma de la arteria comunicante posterior sin ruptura, procediéndose a su embolización con espirales de platino (coils).

Concluimos que en estos casos la arteriografía es una técnica fundamental para el correcto diagnóstico.

Proponemos la debilidad del cono muscular como hipótesis patogénica de la proptosis.

  

SUMMARY

We expose the case of a woman of 13 years old, that presented/displayed isolated axial proptosis and paresia of III the pair, with preservation of pupilar initial. Ecografia with Doppler color and angiografia RMC with gadolinium suggested the cavernous existence of one fistule carotida. Arteriografia show the existence of an aneurism of the posterior comunicante artery, without rupture. We concluded, that in these cases arteriografia is tecnica fundamental for I diagnose correct. We propose the weakness of the muscular one, like patogonica hypothesis of the proptosis.


INTRODUCCIÓN

Los aneurismas de la arteria comunicante posterior (ACP) sintomáticos sin ruptura son una rareza, pues su forma de presentación habitual es la hemorragia subaracnoidea. Sin embargo, estos aneurismas constituyen, probablemente, la causa más frecuente de parálisis aislada del III par (1).

Presentamos un caso de proptosis y paresia aislada del III par en una niña de 3 años causada por un aneurisma de ACP sin ruptura.

  

CASO CLÍNICO

Niña de 13 años de edad, sin antecedentes personales ni familiares de interés, que acude a la consulta para revisión rutinaria. Refiere cefalea hemicránea izda. de una semana de evolución y discreta ptosis palpebral izda. que los padres había atribuido a un orzuelo.

  

Exploración

Avs.c. 1 en ambos ojos. Ptosis palpebral izda. (fig. 1). Ligera proptosis axial de ojo izdo. (fig. 2), que no se modifica con la maniobra de Valsalva (fig. 3). Limitación de las ducciones verticales superiores de ojo izdo. (figs. 4-6). Pupilas isocóricas y normorreactivas. BMC, F. de O. y PIO normales. No se aprecian diferencias en las oscilaciones de las miras tonométricas. No se auscultan soplos ni déficit sensorial en V1, V2 y V3. La paciente es remitida a un centro hospitalario infantil para valoración neurológica.


Fig. 1.


Fig. 2.


Fig. 3.


Fig. 4.


Fig. 5.


Fig. 6.

Dos semanas después vuelve a la consulta con informe de alta hospitalaria. Había sido diagnosticada de pseudotumor orbitario compatible con miosistis. Le habían sido practicadas las siguientes pruebas complementarias: hemograma, bioquímica, L.D.H., V.S.G., P.C.R., Mantoux, S. de orina, Rx de senos paranasales y tórax, tomografía asistida por ordenador (TAO) y RMN craneales y orbitarias y ECO doppler de ambas órbitas, todo ello sin hallazgos de interés. La exploración neurológica había resultado asimismo anodina excepto la comentada limitación de las ducciones.

El cuadro no se había modificado, salvo que la pupila izda. se encontraba ahora en midriasis media y reaccionaba débilmente a la luz.

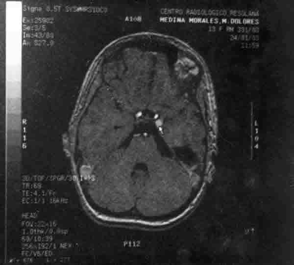
Solicitamos una angioRMC, informada como normal, y eco doppler de ambas órbitas en la que se nos informa de una mayor vascularización y mayor flujo demostrado con doppler color en la órbita izda. respecto de la derecha. La angio RMC con gadolinio (fig. 7) mostró unas imágenes que, sin ser concluyentes, sugerían la posibilidad de una fístula carótido-cavernosa izda. Al no estar plenamente convencidos de este diagnóstico decidimos, de acuerdo con el neurocirujano, practicar una arteriografía (fig. 8), la cual evidenció la existencia de un aneurisma en el territorio de la carótida izda. a la altura de la ACP. Dos días después se procedió a la embolización del aneurisma con espirales de platino (coils) (fig. 9).


Fig. 7.


Fig. 8.


Fig. 9.

Dos meses después no se han producido complicaciones, aunque los signos oftalmológicos no han variado.

  

DISCUSIÓN

Los aneurismas de ACP representan el 15% aproximadamente de todos los aneurismas intracerebrales, siendo de gran interés oftalmológico por la tendencia que tienen a afectar el III par (1). Aunque su forma de presentación típica la constituyen síntomas y signos derivados de su ruptura y consiguiente hemorragia, casi el 70% de los aneurismas sintomáticos sin ruptura cursan con parálisis del III par y su localización más frecuente es el origen de la arteria comunicante posterior (2). En éstos, la incidencia de parálisis del III par oscila entre el 34% y el 56% (3). Se asocian a riñón poliquístico y coartación de aorta (4,5).

El comportamiento pupilar es de gran importancia. La afectación pupilar es tan frecuente que si hay ausencia de dolor e hipoestesia en V1 y la pupila no está afectada, éstas paresias parciales del M.O.C. pueden ser mal interpretadas como una inflamación orbitaria local (1). En la serie de Kissel y col (6), de 51 parálisis del III par consecutivas a aneurismas de la ACP solamente en 7 se demostró una preservación pupilar, pero en 4 se manifestó la alteración en 5 días y en un quinto paciente 4 meses después. Gittinger (7) ya advirtió que la mayoría, si no todas, de las parálisis aisladas del III par causadas por aneurismas con preservación pupilar cursaban con un déficit de motilidad extrínseca parcial.

En cuanto al diagnóstico, se le ha atribuido (8) a la angio RNM una alta sensibilidad y especificidad, pero en nuestro caso no fue concluyente y sugirió un diagnóstico erróneo. La arteriografía es la técnica de elección para la detección de aneurismas (9), aunque no está exenta de riesgos, cifrándose la mortalidad en el 0,1% y la morbilidad neurológica permanente en el 0,5% (10).

En la literatura revisada no hemos encontrado la proptosis como signo de los aneurismas de ACP. Creemos que la debilidad del cono muscular motivada por la paresia del III par es una explicación razonable, proponiéndola como hipótesis patogénica.

Como consecuencia de lo expuesto, podemos concluir que en los casos de paresia aislada del III par no dolorosa en la infancia, con o sin proptosis, es necesaria la estrecha colaboración de otras especialidades, siendo la arteriografía una técnica fundamental para alcanzar el diagnóstico correcto.


BIBLIOGRAFÍA


  1. Joel S. Glasser. Neurooftalmología. 2.ª edición. Barcelona 1993; 357.

  2. Locksley HB. Report on the Cooperative Study of Internial Aneurysms and Subarachnoid Hemorrhage. Section V, part. I. Natural history of subarachnoid hemorrhage, intracranial aneurysms and arteriovenous malformations. J Neurosurg 1966; 25: 219.

  3. Soni SR. Aneurysms of the posterior communicating artery and oculomotor paresis. J Neurol Neurosurg Psychiatry 1974; 37:475.

  4. Sánchez Salorio M, Díaz Llopis M, Benítez del Castillo JM, Rodríguez Arias I. Manifestaciones oftalmológicas de las enfermedades generales. LXXVII ponencia oficial de la Sociedad Española de Oftalmología (SEO) 2001.

  5. Kanski JJ. Oftalmología clínica. 4.ª ed. Barcelona. Ediciones Horcourt 200; 498.

  6. Kissel JT, Burd RM, Klingele TG, Zeiger HE. Pupil-Sparing oculomotor paresis with internal carotid-posterior communicating artery aneurysms. Ann Neurol 1983; 13: 149.

  7. Gittinger JW Jr. Non-myasthenic ophthalmoplegias. In: Lessell S, van Dalen JTW (eds): Neuroophthalmology, vol. 3, p. 262. Amsterdam. Elserier Science Publisher BV, 1984.

  8. Gray L, Russell BA, Djang WT. Magnetic Resonance Imaging of cerebro vascular diseases. In: Wilkins RH, Renganchary SS (ed). Neurosurgery Update I. Diagnosis, Operative technique and Neurooncology. New York, Mac Graw Hill Inc. 1991. Ch. 6: 69-87.

  9. Setton D, Bose A et al. Angiography of cerebral aneurysms. Neuroimaging Clin North Am 1996; 705-738.

  10. Dion JE, Gates PC, Fox AJ et al. Clinical events following neuroangiography: a prospective study. Stroke 1987; 18: 997-1004.