CASO CLÍNICO


Mitomicina C tópica como tratamiento coadyuvante en la papilomatosis conjuntival recurrente

Postoperative topical application of mitomycin C in the recurrent conjunctival papillomatosis

MORENO GARCÍA-RUBIO LF1, REINOSO MONTALVO C1, MENCÍA GUTIÉRREZ E1, GUTIÉRREZ DÍAZ E1, RICOY JR

Hospital 12 de Octubre. Universidad Complutense. Madrid. España.
(1) Licenciado en Medicina. Servicio de Oftalmología.
(2) Doctor en Medicina. Servicio de Anatomía Patológica.


RESUMEN

Objetivo/Método: Se presenta la eficacia de la crioterapia y de la mitomicina C local en el tratamiento de la papilomatosis conjuntival recurrente en un paciente varón de 35 años de edad, con historia de papilomas escamosos difusos conjuntivales tratados previamente 6 veces mediante cirugía excisional, en un período de 10 años. En la última recurrencia el tratamiento consistió en cirugía con crioterapia y mitomicina C coadyuvante.

Resultados/Conclusiones: No se ha detectado nueva recurrencia de la lesión tras 16 meses de seguimiento. El paciente no ha presentado alteraciones locales por la medicación. La mitomicina C local puede ser útil en la prevención de la papilomatosis conjuntival virus inducida.

Palabras claves: Papilomatosis conjuntival, VPH, crioterapia, mitomicina C.

  

SUMMARY

Purpose/Method: To report the efficacy of cryotherapy and mitomycin C eyedrop for treatment of recalcitrant conjunctival squamous papilomatosis. A 35-year-old man with a 10-year history of diffuse conjunctival papillomas, previously treated with standard measures of excisional biopsy for 6 times. On the last recurrency the treatment was surgery, cryotherapy and local mitomycin C.

Results/Conclusions: No new tumor recurrence has been noted by 16 months. The patient had no local side effects from the medication. Local mitomycin C may be useful in virus-induced conjuntival papillomatosis.

Key words: Conjunctival papillomatosis, HPV, cryotherapy, mitomycin C.


INTRODUCCIÓN

El papiloma escamoso conjuntival es un tumor benigno que se localiza en la superficie epitelial del ojo, en casi un 100% de los casos es de origen viral (VPH) (1) y puede presentarse en cualquier edad. En niños ocurre por transmisión madre e hijo, aunque puede manifestarse años más tarde. También se puede presentar en adultos, siendo en este caso la transmisión por vía venérea o autoinoculación. La presencia de un HPV tipo 16 y 18 son considerados de alto riesgo porque se asocian con displasia epitelial y con carcinomas de células escamosas, particularmente en el cuello uterino y en el canal anal.

En algunos pacientes, sobre todo en niños, están descritas múltiples recurrencias, ya que el virus puede persistir y reduplicarse.

   

CASO CLÍNICO

Paciente varón de 35 años de edad, que desde hace 10 años ha sido intervenido 6 veces de una lesión en el ojo derecho con diagnóstico de papiloma. La última cirugía fue hace 5 años, con una nueva recurrencia hace 2 años y con sangrado ocasional. En el momento de la consulta inicial en nuestro hospital presentaba una lesión de aspecto abollado y color sonrosado, que englobaba la carúncula del ojo derecho y se extendía de manera difusa por el tercio interno del borde libre palpebral superior y conjuntiva bulbar interna, con unas dimensiones de 1 x 1 x 0,5 cm (fig. 1). Se le practicó una excisión en bloque sin sutura, y por séptima vez recurre a las 6 semanas. Tras esta última recurrencia se realiza una nueva cirugía excisional y crioterapia asociada.


Fig. 1.
Aspecto preoperatorio de la papilomatosis conjuntival difusa derecha en la 7.ª recurrencia.

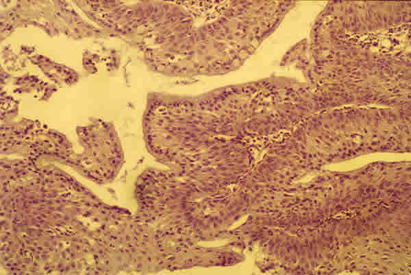
Histológicamente, la lesión muestra numerosas ramificaciones papilares vascularizadas con un epitelio acantósico (fig. 2). No hemos encontrado koilocitosis (célula escamosa madura con vacuolización perinuclear) pero sí la presencia de un VPH tipo 18 demostrado por la técnica de la reacción en cadena de la polimerasa (PCR). Se aplica colirio de mitomicina C postoperatorio al 0,04% cuatro veces al día durante 7 días, repitiendo el ciclo tres veces. Tras 22 meses de seguimiento permanece sin signos de recurrencia (fig. 3).


Fig. 2. Sección histológica del papiloma escamoso. A destacar los centros fibrovasculares rodeados por un epitelio escamoso acantósico (H-E 100x).


Fig. 3. No existe nueva recurrencia de la papilomatosis conjuntival después de 16 meses del tratamiento con excisión quirúrgica, crioterapia y mitomicina C.

   

DISCUSIÓN

El virus del papiloma humano (HPV) afecta la piel y mucosas, pudiendo dar origen a un papiloma escamoso (neoplasia intraepitelial benigna), puede presentarse a cualquier edad y los tipos más frecuentemente hallados son el 6 y 11 en niños y el 16 y 18 en adultos (1,2).

Son solitarios y tienen una configuración sésil o pedunculada, con color sonrosado y vasos muy finos que se ramifican a través del estroma bajo el epitelio de la superficie de la lesión. Su crecimiento es rápido. A veces las lesiones pueden llegar a ser confluentes, produciéndose una papilomatosis, más frecuente en niños y de color más rojo aunque de menor tamaño. Cuando se presentan en pacientes de edad avanzada suelen localizarse cerca del limbo y frecuentemente invaden la córnea. En los adultos pueden ser potencialmente malignos y convertirse en un carcinoma de células escamosas si destruyen la membrana basal, en ocasiones también pueden presentar un patrón de crecimiento invertido en la cavidad nasal y en el saco lagrimal. En pacientes de piel oscura pueden aparecer pigmentados debido a un exceso de melanocitos y a veces con hiperqueratosis. No ha aparecido koilocitosis, que está presente en un 42% de los casos (1), y que es el cambio morfológico que prueba la infección por HPV.

El tratamiento puede ser conservador con esteroides tópicos en su fase inicial si el tamaño es pequeño. Cuando ya alcanzan una extensión importante está indicada la excisión quirúrgica, completándose con crioterapia asociada (nitrógeno líquido). Su modo de acción es doble, tanto destrucción por efecto térmico de las células alteradas como de la microcirculación, lo que entraña una anoxia de la lesión (3).

En cerca de un 20% de los pacientes se presentan recurrencias que pueden llegar a ser múltiples en el tiempo, en especial en los niños en los que son más difusos, por lo que deben realizarse otros tipos de tratamientos añadidos. La mitomicina C local se ha usado intraoperatoriamente (0,3 mg/ml; 3') (4). Este antimetabolito inhíbe la proliferación fibrovascular por inhibición de la síntesis del RNA, DNA dependiente. En este caso, que había recurrido 7 veces, se realizó quimioterapia tópica (0,04%, 4 veces al día, 7 días, tres ciclos) (5,6) inmediatamente postcirugía para prevenir otra recurrencia, que suele aparecer entre las 4.ª y 6.ª semanas. Su uso no tuvo ningún efecto secundario. El 5-fluoracilo puede usarse también de la misma forma, pero al ser cicloespecífico celular se recomienda en los casos resistentes a la mitomicina C (7).

En niños se puede usar la cimetidina oral en las verrugas virales, su acción se basa en el aumento del sistema inmune por inhibición de la función T celular supresora y aumento de la respuesta de hipersensibilidad tardía (8). También se ha sugerido el uso de interferón, basado igualmente en la importancia de la inmunomodulación.

   

CONCLUSIONES

Presentamos un caso de una papilomatosis conjuntival que incluía carúncula lagrimal, conjuntiva tarsal superior y conjuntiva bulbar interna en un adulto de 35 años de edad, con 7 recurrencias previas en las que fue tratado con cirugía.

Por PCR se encontró un VPH tipo 18. En la última recidiva se le trató además con crioterapia y mitomicina C tópica, manteniéndose libre de lesión tras 16 meses de observación. Es importante tener en cuenta que, en el tratamiento de las neoplasias intraepiteliales malignas y en las recurrentes benignas con su potencial maligno, el uso de la mitomicina C puede estar indicado (9).


BIBLIOGRAFÍA


  1. Sjo NC, Heegaard S, Prause JU, von Buchwald C, Lindeberg H. Human papillomavirus in conjunctival papilloma. Br J Ophthalmol 2001; 85: 785-787.

  2. Buggage rr, Smith JA, Shen D, Chan C. Conjuntival papillomas caused by human papillomavirus type 33. Arch Ophthalmol 2002; 120: 202-204.

  3. Eichler MD, Fraunfelder FT. Cryotherapy for conjunctival lymphoid tumors. Am J Ophthalmol 1994; 118: 463-467.

  4. Hawkins AS, Yu J, Hamming NA, Rubenstein jb. Treatment of recurrent conjunctival papillomatosis with mitomycin C. Am J Ophthalmol 1999; 128: 638-640.

  5. Shields CL, Naseriopur M, Shields JA. Topical mitomycin C for extensive, recurrent conjunctival-corneal squamous cell carcinoma (1). Am J Ophthalmol 2002; 133: 601-606.

  6. Frucht-Pery J, Rozenman Y, Pe'er J. Topical mitomycin C for partially excised conjunctival squamous cell carcinoma. Ophthalmology 2002; 109: 548-552.

  7. Scott IV, Karp CL, Nuovo GJ. Human papillomavirus 16 and 18 expression in conjunctival intraepithelial neoplasia. Ophthalmology 2002; 109: 542-547.

  8. Shields CL, lally MR, Singh AD, Shields JA, Nowinski T. Oral cimetidine (Tagamet) for recalcitrant, diffuse conjunctival papillomatosis. Am J Ophthalmol 1999; 128: 362-364.

  9. Yamamoto N, Ohmura T, Suzuki H, Shirasawa H. Successful treatment with 5-fluoracil of conjunctival intraepithelial neoplasia refractive to mitomycin-C. Ophthalmology 2002; 109: 249-252.