ACTUALIZACIONES TECNOLÓGICAS EN OFTALMOLOGÍA
CAJIGAL MORALES C1, ENCINAS MARTÍN JL1, ARGAYA AMIGO J2
Servicio de Oftalmología. Hospital
Universitario Puerta de Hierro. Madrid.
(1) Doctor en Medicina.
(2) Licenciado en Medicina.
Los melanomas y los nevus del tracto uveal se producen con la misma frecuencia en ambos ojos. Algunas veces los nevus son bilaterales mientras que los melanomas uveales malignos bilaterales son extremadamente raros. Aunque normalmente el melanoma uveal se presenta como una lesión solitaria, ocasionalmente se han observado melanomas uveales multicéntricos en un ojo (37).
Los tumores melanocíticos del tracto uveal se han clasificado en varios tipos citológicos. La clasificación de los nevus tiene poco significado clínico, sin embargo, la clasificación citológica del melanoma uveal es un factor pronóstico importante (37).
MELANOMA UVEAL ANTERIOR (IRIS-CUERPO CILIAR)
Epidemiología (38)
El melanoma de iris es una tumoración maligna que se forma a partir de los melanocitos del estroma del iris. Con frecuencia invade cuerpo ciliar.
La mayoría de los autores señalan una frecuencia de 0,03 a 0,9% de una población de 100.000 habitantes. Los nevus y los melanomas malignos de iris son los tumores primitivos más frecuentes del iris representado del 49% al 72% según las distintas estadísticas. El melanoma de iris representa del 3 al 12% de los melanomas malignos uveales. Es menos frecuente que el melanoma de coroides, en una proporción de 1/15.
Su localización es más frecuente en los cuadrantes inferiores; el 40% de los melanomas afectan al ángulo camerular mientras que los nevus lo hacen en el 17% de los casos. No tiene preferencia de sexo. Es más frecuente en la raza blanca y en iris claros. La edad media de aparición es de 35 años, unos 10 años antes que los melanomas de úvea posterior. Tiene una capacidad metastásica baja. Estudios epidemiológicos sugieren la influencia de la luz solar en su aparición.
Con frecuencia, el melanoma de iris se origina a partir de lesiones névicas benignas que en un momento determinado inician el crecimiento.
Formas de presentación (38)
Melanoma de iris circunscrito
En términos generales, toda lesión melánica de iris con una elevación superior a 1 mm y una base igual o superior a 5 mm es sospechosa de melanoma de iris.
Clínica
Se presenta como una lesión melánica de forma nodular, bien delimitada, situada en la superficie del iris. En ocasiones se acompaña de lesiones satélites en los márgenes del tumor o en sus cercanías. La uniformidad de los bordes es variable. El color puede oscilar desde una tonalidad marrón-negro hasta formas sin pigmentación (melanoma amelanótico).
Presenta vascularización propia, difícil de visualizar en las formas muy pigmentadas y fácil en las tumoraciones amelanóticas.
Con frecuencia genera deformación pupilar con ectopia del epitelio pigmentado.
Puede localizarse en los márgenes pupilares, iris medio y, con mayor frecuencia, en la raíz del iris afectando a la malla trabecular y cuerpo ciliar
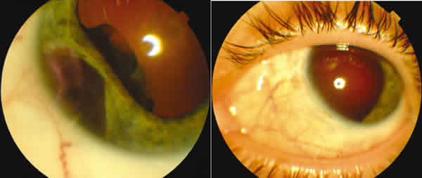
El 80% de los melanomas de iris se sitúan en los cuadrantes inferiores (fig. 1).
Repercusión sobre estructuras vecinas (fig. 2)
Queratopatía proximal a la lesión.
Catarata cortical.
Glaucoma secundario.
Invasión del cuerpo ciliar.
Melanoma difuso
Es menos frecuente que el circunscrito. Clínicamente se presenta como un engrosamiento difuso de la superficie del iris que pierde su arquitectura normal, borrándose sus criptas.
La formación del melanoma difuso puede presentar distintos patrones de evolución. En ocasiones el tumor inicialmente está constituido por una masa única a partir de la cual se desprenden células que se dispersan por la superficie del iris configurando una siembra que origina una tumoración de distribución difusa, que puede afectar a toda su superficie o adoptar una distribución en sector. Otras veces el tumor crece primitivamente de forma difusa, uniformemente por toda la superficie del iris.
Pronóstico (38)
El potencial metastásico de los melanomas de iris es bajo situándose en un 3% de los casos a los 5 años. Son factores de empeoramiento pronóstico:
Tumores de márgenes mal definidos.
Presencia de hipertensión intraocular.
Afectación de la malla trabecular.
Invasión de cuerpo ciliar.
El tipo celular predominante en el tumor es un indicativo de la probabilidad metastásica. Los fusiformes A no producen metástasis comportándose como lesiones benignas si bien pueden presentar recurrencias post-quirúrgicas e invadir estructuras vecinas.
Diagnóstico (38)
El diagnóstico del melanoma de iris se realiza mediante:
La historia clínica.
El examen con lámpara de hendidura.
La angiografía fluoresceínica.
La biomicroscopía ultrasónica.
La transiluminación del tumor.
La biopsia-aspiración con aguja fina.
La realización de fotografías control.
Diagnóstico diferencial (38)
En los melanomas circunscritos debemos establecer el diagnóstico diferencial fundamentalmente con (tabla 1):

1) Quiste de iris.
2) Nevus de iris: el diagnóstico diferencial entre el nevus y el melanoma de iris es, en ocasiones, muy difícil; de hecho, el melanoma puede crecer a partir de nevus preexistentes que evolucionan hacia la malignidad en un momento determinado. Son signos de sospecha de malignización:
Un crecimiento documentado; es el signo de máximo rango diagnóstico.
La existencia de hipertensión intraocular no controlable médicamente.
La presencia de vascularización propia.
La existencia de necrosis tumoral con dispersión pigmentaria.
3) Leiomioma de iris.
4) Metástasis de iris.
5) Cuerpo extraño en iris.
6) Meduloepitelioma de cuerpo ciliar que invade iris.
7) Xantogranuloma juvenil de iris.
En los melanomas difusos debemos establecer el diagnóstico diferencial fundamentalmente con:
1) Heterocromía congénita de iris.
2) Siderosis y Hemosiderosis.
3) Glaucoma pigmentario.
Tratamiento del melanoma de iris-cuerpo ciliar (1,38,50)
La estrategia terapéutica debe establecerse de forma individualizada valorando varios factores: evolución, tamaño y localización del tumor; situación anatómica del globo ocular, agudeza visual, edad y estado general del paciente. Su estudio determinara la elección de la pauta a seguir:
1. Observación.
2. Resección quirúrgica.
3. Radioterapia.
4. Enucleación.
1. Observación
La presencia de una lesión melanocítica en el iris no presupone necesariamente malignidad; sin embargo, son numerosos los melanomas de iris que crecen a partir de una lesión melanocítica que ha cursado durante muchos años de manera quiescente y que, en un momento determinado, experimenta la transformación.
Los criterios de riesgo que apoyan la trasformación de una lesión névica de iris e indican la decisión terapéutica son:
Crecimiento de la lesión névica.
Presencia de glaucoma no controlable médicamente.
Tumor con vascularización propia.
Tumor con más de 4 mm de espesor.
Incidencia sobre la función visual.
Desviación pupilar o ectopía del esfínter del iris.
Extensión a cuerpo ciliar o esclera.
Los criterios señalados poseen valor decisorio individualmente si bien es necesario correlacionarlos con otros factores variables en cada caso.
La presencia de una hipertensión no controlable con medicación no permite retrasar el tratamiento de la tumoración ante el peligro de que se produzca una atrofia papilar glaucomatosa; la cirugía filtrante antiglaucomatosa realizada en presencia de un melanoma de iris se ha mostrado causante de diseminación celular a través de la herida quirúrgica estando por tanto contraindicada.
2. Resección quirúrgica
• Iridectomía
Es la técnica de elección en los tumores situados en la proximidad del esfínter o en iris medio. La técnica quirúrgica de iridectomía simple en el melanoma de iris comprende:
1.º Incisión esclero-limbal con abordaje de la tumoración.
2.º Escisión con tijera respetando 2-3 mm de tejido peritumoral, macroscópicamente sano.
3.º Sutura de la iridectomía con Nylon de 9/0.
• Iridociclectomía
Es la técnica quirúrgica de aplicación más frecuente en la resección de melanomas de iris-cuerpo ciliar. Se realiza la extirpación de masa tumoral con un margen de tejido sano perilesional no inferior a 2 mm. No está indicado en tumores que afecten a más de 1/4 de la superficie del iris.
Las indicaciones de la iridociclectomía deben estar supeditadas igualmente al estado general del paciente, presencia de metástasis y existencia de siembra tumoral en otras zonas del iris.
Técnica quirúrgica
Se realiza fotocoagulación retiniana en el cuadrante correspondiente a la lesión con tres barreras de impactos de láser en la retina periférica, 15 días antes de la intervención; la fotocoagulación disminuye el riesgo de complicaciones de retina en el postoperatorio y la existencia de una buena lesión cicatrizal impide el desprendimiento de retina en aquellos casos en los que la incisión quirúrgica sea muy posterior llegando incluso a afectarla directamente (figs. 3 y 4).
Fig. 3. Melanoma de iris-cuerpo ciliar. A la Drcha. post-tratamiento quirúrgico.
Fig. 4. Melanoma de iris-cuerpo ciliar. A la Dcha. post-tratamiento quirúrgico.
1.º Intervención bajo anestesia general con hipotensión controlada durante la excisión del tumor.
2.º Se realiza disección conjuntival en el cuadrante o cuadrantes correspondientes a la lesión.
3.º Aislamiento y anclaje con sutura de los músculos rectos para tracción y sujeción del globo ocular.
4.º Exposición escleral y transiluminación de la lesión en los casos de afectación de cuerpo ciliar; la transiluminación se realiza situando la luz directamente sobre la esclera en el lado opuesto a la localización del tumor o bien a través de la pupila. Una vez lograda la imagen tumoral se realiza un marcado de la periferia del tumor con lapicero o puntos de diatermia.
5.º Incisión escleral de forma rectangular, con base en limbo y profundidad de 2/3 del espesor escleral. Se realiza disección roma del colgajo escleral superficial mediante escarificador hasta el limbo esclerocorneal.
6.º Transiluminación del plano profundo de esclera rechazando el colgajo superficial y marcando con lapicero o diatermia el contorno del tumor sobre el plano profundo.
7.º Se realiza incisión sobre este plano profundo conservando un margen de 2 mm del mismo respecto a la incisión de superficie.
8.º Fotocoagulación del tejido uveal peritumoral con dosis altas que provoquen su cauterización en dos o tres barreras.
9.º Incisión uveal con tijera de Vannas respetando un margen de 3-4 mm peritumorales y siguiendo la línea de impactos de láser más alejada de la masa tumoral.
10.º Sutura con Nylon monofilamento.
Complicaciones intraoperatorias
1. Hemorragia
La incidencia de hemorragia intraoperatoria varía dependiendo del tamaño y localización del tumor; los tumores con gran afectación del cuerpo ciliar y localización posterior exhiben una frecuencia de sangrado superior; los casos con antecedentes de hipertensión ocular no controlada o iritis presentan igualmente mayor incidencia de hemorragias perquirúrgicas.
La prevención y tratamiento de la hemorragia intraoperatoria se realiza respetando los siguientes pasos:
Control de la tensión arterial mediante técnicas de hipotensión controlada que no debe en ningún caso descender por debajo de 40-50 mm Hg, evitando así los riesgos de isquemias cerebral o renal.
Aplicación de láser argón en el curso de la intervención sobre la zona circundante al tumor.
Aplicación de diatermia directamente sobre los vasos sangrantes de mayor tamaño.
2. Pérdida de vítreo
Es excepcional en aquellos casos en los que el límite posterior de tumor se localiza en el ángulo camerular o en la zona anterior de cuerpo ciliar. Los tumores que afectan a la zona posterior del cuerpo ciliar o que son muy extensos ofrecen una incidencia mayor de pérdida de vítreo. En las tumoraciones con afectación de un cuadrante o más del cuerpo ciliar es aconsejable realizar vitrectomía total previa a la resección quirúrgica.
3. Catarata
La lesión directa del cristalino durante el acto quirúrgico es excepcional. Si esto ocurre se realizará facoemulsificación en el mismo acto.
La tabla 2 refleja las complicaciones postoperatorias más frecuentes.

• Escisión en bloque
A pesar de que iridociclectomía con disección lamelar para excisión de melanomas de iris cuerpo ciliar ha demostrado un comportamiento excelente en cuanto a resultados a largo plazo, muchos autores prefieren realizar la exéresis tumoral mediante técnicas de excisión en bloque del tumor junto al espesor total de la esclera subyacente.
La ventaja de la escisión en bloque viene dada por la eliminación de toda posibilidad de permanencia tumoral en la esclera; el inconveniente es la necesidad de utilizar un injerto tectónico con los problemas de rechazo inmunológico propios de cualquier transplante.
Indicaciones
— Tumores con invasión escleral y extensión escleral no superior a tres horas (fig. 5).
Fig. 5. Melanoma iris-cuerpo ciliar con extensión extraescleral. A la Dcha.
post-cirugía.
3. Radioterapia
La radioterapia ha sido utilizada ampliamente en el tratamiento de tumores de úvea posterior, tanto en forma de radioterapia externa como de braquiterapia. Sin embargo, en los tumores de úvea anterior su aplicación se ha visto restringida por las frecuentes complicaciones observadas en estructura vecinas: cristalino, cornea, retina y úvea circundante a la tumoración.
Indicaciones
Deben de quedar restringidas a los casos en los que no exista otra alternativa terapéutica, es decir:
Melanoma difuso en pacientes que rechazan la enucleación.
Melanoma difuso en ojo único.
Melanoma circunscrito no resecable en ojo único.
Tratamiento complementario en tumores con resección incompleta.
Resultados
Los resultados de supervivencia observados en el tratamiento del melanoma de iris-cuerpo ciliar con braquiterapia I-125 se sitúan en el 90-100%, a los 5 años de tratamiento, según las distintas estadísticas. Se registra recurrencia tumoral en el 7% de los casos y presencia de catarata en el 40% dentro del primer año de tratamiento. Otras complicaciones son: queratopatía en la vecindad de la zona tratada (21%) en forma de epiteliopatía, abrasión o edema corneal; neovascularización de iris (7%) e hiphema (14%) Los pacientes con neovascularización de iris evolucionan desfavorablemente hacia glaucoma neovascular siendo indicación de enucleación ulterior en la mayoría de los casos.
Braquiterapia complementaria a la resección quirúrgica
La braquiterapia complementaria tiene un interés especial como tratamiento complementario de restos tumorales post-iridociclectomía. El melanoma de iris-cuerpo-ciliar puede presentar márgenes mal definidos y no visibles macroscópicamente que originan resecciones quirúrgicas incompletas aun realizando una incisión que supere el borde tumoral en 2-3 mm. La utilización de dosis de braquiterapia inferiores a las empleadas en tumores de mayor altura disminuye notablemente los riesgos de yatrogenia radioinducida.
4. Enucleación
Indicaciones
Extensión superior al 40% del cuerpo ciliar.
Presencia de glaucoma no controlable con medicación.
Evolución con hiphemas recidivantes.
Melanomas difusos.
Invasión escleral superior a 6 mm.
Actualmente, la enucleación es una técnica de tratamiento excepcional en melanomas de iris cuerpo ciliar, no llegando al 2% como primer tratamiento y no superando el 8% en los tumores sometidos a tratamientos conservadores fracasados.
MELANOMA UVEAL POSTERIOR (COROIDES)
Epidemiología
El melanoma de coroides es el tumor intraocular primario más frecuente en adultos, constituyendo aproximadamente el 75% de los tumores intraoculares, y está formado por melanocitos uveales (2,9,11,12,26).
Estos tumores amenazan tanto la visión como la vida, con una mortalidad a los 5 años entre el 10% y el 30%, debido a metástasis sistémicas, dependiendo del tamaño del tumor (12).
La mayoría de los melanomas uveales posteriores se diagnostican en pacientes mayores de 50 años mientras que los de iris se diagnostican en pacientes más jóvenes (16).
Los tumores melanocíticos de coroides tienen una mayor predisposición a ocurrir en blancos (16,38).
Parece tener una ligera predilección por los varones (16,38). Sin embargo, en el rango de edad entre 20 y 39 años existe una predilección por las mujeres (38).
Existen una serie de factores de riesgo locales y generales en el huésped que pueden predisponer al desarrollo de un melanoma uveal: nevus uveal, melanocitosis congénita, síndrome de nevus displásico, neurofibromatosis, factores genéticos, factores hormonales, inmunocompetencia, color del iris. También se han implicado varios factores de riesgo ambientales en la patogénesis del melanoma uveal, de ellos el más importante es la exposición a la luz solar (16,38).
Clínica
Los pacientes que presentan un melanoma uveal pueden ser asintomáticos o presentar una gran variedad de síntomas y signos dependiendo de su patrón de crecimiento y de sus efectos sobre las estructuras oculares adyacentes (39).
Algunos pacientes presentan un defecto campimétrico, miodesopsias o fotopsias, síntomas similares a los del desprendimiento de retina. Cuando el tumor o el líquido sub-retiniano se extienden hacia la región subfoveal, el paciente presenta una pérdida de visión indolora (39).
Al igual que los melanomas de cuerpo ciliar, los melanomas de coroides presentan varios patrones de crecimiento, diferentes grados de pigmentación (desde la ausencia de pigmentación: amelánico, hasta muy pigmentado) y producen efectos diferentes sobre las estructuras adyacentes (39).
Aunque existe una variación considerable en cada caso, un melanoma coroideo pequeño se presenta como un engrosamiento de la coroides, nodular, pigmentado y bien delimitado. Al crecer, algunos tumores rompen la membrana de Bruch adoptando una configuración «en champiñón» (39).
Un melanoma difuso crece como un engrosamiento extenso de la coroides, no muy elevado. En este sentido puede recordar a una metástasis coroidea. Al contrario del melanoma nodular, puede ser difícil de reconocer oftalmoscópicamente. Un melanoma de coroides difuso produce típicamente un desprendimiento seroso de retina sensorial más extenso que un melanoma nodular. Los tumores difusos tienden a presentar características citológicas más malignas, con frecuencia presentan extensión extraescleral y peor pronóstico sistémico. Al contrario del melanoma nodular, tiene tendencia a invadir la cabeza del nervio óptico y a extenderse posteriormente hacia la porción retrolaminar del nervio óptico (39).
Diagnóstico
A diferencia de la mayoría de los tumores, el diagnóstico inicial de melanoma de coroides no se basa en el estudio histopatológico debido a: la dificultad para obtener una muestra de tejido, el riesgo para la visión asociado con la biopsia, el riesgo teórico de diseminación del tumor asociado con la manipulación del ojo durante la biopsia intraocular y al hecho de que el examen oftalmológico cuidadoso combinado con tests auxiliares no invasivos como la ecografía ocular A-B, tienen una fiabilidad diagnóstica alta (99,6%), al menos para los tumores grandes (4, 26).
Para realizar el diagnóstico de un melanoma de coroides disponemos de los siguientes procedimientos (3,4,36,41):
Historia clínica detallada.
Examen ocular externo.
Valoración de la agudeza visual.
Exploración mediante biomicroscopía.
Oftalmoscopía indirecta.
Fotografía del fondo de ojo.
Ecografía ocular A-B.
Angiografía fluoresceínica.
Resonancia nuclear magnética.
Tomografía axial computerizada.
Test del fósforo radiactivo.
Aspiración-biopsia con aguja fina.
Técnicas de anticuerpos monoclonales.
Diagnóstico diferencial
Los problemas relacionados con el diagnóstico clínico del melanoma uveal posterior podemos dividirlos en 2 categorías:
1) Melanomas no sospechados: aproximadamente el 10% de los melanomas uveales posteriores no se detectan clínicamente por estar enmascarados por otras condiciones oculares.
2) Pseudomelanomas: se denominan así a las lesiones, benignas o malignas, que simulan un melanoma uveal posterior (39,40). En los centros de oncología ocular la incidencia de falsos-positivos de melanoma (pseudomelanoma) de coroides es menor del 6% (4).
Tumores: Nevus coroideo, hemangioma coroideo circunscrito, tumor metastásico de la úvea posterior, osteoma coroideo, hemangioma retiniano adquirido o tumor vasoproliferante retiniano, melanocitoma del nervio óptico, neurilemoma, leiomioma, hemangioma cavernoso retiniano, lesiones del epitelio pigmentado retiniano.
Lesiones vasculares hemorrágicas: degeneración macular asociada con la edad (D.M.A.E.), desprendimiento hemorrágico del E.P.R. o de la retina sensorial.
Lesiones inflamatorias: escleritis posterior, granuloma corio-retiniano.
Lesiones quísticas: retinosquisis degenerativa.
Desprendimiento coroideo.
Síndrome de efusión uveal.
Otros: hemorragia vítrea, compresión del globo ocular por una masa orbitaria.
Pronóstico
A lo largo de la historia, ha habido cierto número de factores que se han correlacionado patológica y clínicamente con el pronóstico vital en pacientes que presentan un melanoma uveal posterior. Estos factores de riesgo han ido variando en diversos estudios: edad del paciente (los pacientes menores de 60 años tienen mejor pronóstico), tipo celular (las lesiones de células fusiformes tienen el pronóstico mejor mientras que las de células epitelioides tienen el peor: la mortalidad a los 5 años es del 5-10% en los tumores de células fusiformes mientras que aumenta hasta el 40-50% en los tumores mixtos o epitelioides) (14), actividad mitótica (el aumento de la actividad mitótica implica un pronóstico peor), pigmentación (los tumores con una pigmentación intensa tienen un pronóstico peor, sobre todo si se asocian con una rotura de la membrana de Bruch) (32), infiltración escleral por las células tumorales, localización del tumor, localización del borde anterior del tumor, diámetro tumoral mayor en contacto con la esclera, altura tumoral, integridad de la membrana de Bruch, invasión del nervio óptico (2,32,38).
Las metástasis del melanoma de iris son relativamente raras, mientras que las metástasis de los melanomas de coroides y cuerpo ciliar son mucho más frecuentes. Al menos el 30% de los pacientes con melanoma uveal posterior mueren de enfermedad metastásica a pesar del éxito del tratamiento (38).
El melanoma maligno de la úvea tiene una propensión, poco frecuente, a metastatizar en el hígado: cuando un melanoma coroideo primario metastatiza, en el 60% de los casos lo hace en el hígado como manifestación primaria de la enfermedad metastásica, en muchas ocasiones es el único órgano afectado. La segunda localización, en cuanto a frecuencia de metástasis, es el pulmón. Otras localizaciones metastásicas son el hueso, riñón y cerebro (3,36,38,42,45).
Una vez que se producen las metástasis, el pronóstico de vida es malo (la supervivencia media después de producirse metástasis hepáticas es de 2-4 meses), por eso, el objetivo debe ser tratar el melanoma de coroides mientras esté confinado en el globo ocular (3,16).
Es posible que algunos pacientes con melanoma uveal primario tengan metástasis a distancia antes de la detección clínica del melanoma uveal, pero los tests disponibles no son lo bastante sensibles como para detectar el foco metastásico. Es posible que las metástasis hepáticas subclínicas pudieran quedarse en un estado de inactividad durante muchos años, manteniéndose así gracias a los factores de defensa del huésped. Algunas publicaciones sugieren que tales células tumorales inactivas pueden activarse debido a una cirugía abdominal, inflamación del hígado, toxinas del hígado o trauma. El nivel sérico de glutamil transpeptidasa es el test sanguíneo más sensible para la detección de metástasis hepáticas. El T.A.C. y la R.N.M. pueden ser útiles en la detección precoz de metástasis hepáticas. La aplicación de técnicas de anticuerpos monoclonales puede tener un papel en el futuro para determinar la extensión metastásica de un paciente con melanoma uveal (36,38,42).
Tratamiento del melanoma uveal posterior (coroides)
Tratamiento conservador
El objetivo del tratamiento conservador del melanoma de coroides es controlar el tumor, conservar el ojo y preservar la visión tanto como sea posible cuando esto pueda conseguirse sin atentar contra su salud y supervivencia. Las técnicas conservadoras actuales incluyen: la observación periódica, termoterapia transpupilar, irradiación con placa/hilos radiactivos (braquiterapia) o partículas cargadas y resección local (3,5,42,44).
1) Observación periódica
Son necesarios criterios para identificar aquellos pacientes que deberían ser observados sin intervención. No está claro en qué momento de su evolución un melanoma de coroides desarrolla la capacidad de metastatizar, ya que no hay datos clínicos o de laboratorio que lo correlacionen con su desarrollo (3,5).
La elección del tratamiento en pacientes con melanomas coroideos pequeños está basada en la proporción riesgo-beneficio (3).
Un conocimiento de la relación entre el volumen de un tumor y la probabilidad de estar formado por un tipo celular agresivo es interesante para el manejo del melanoma coroideo maligno. Con frecuencia, los tumores pequeños se manejan simplemente mediante observación debido a que la mayoría de ellos están formados por células fusiformes que crecen lentamente. Los tumores grandes probablemente contienen células epitelioides de crecimiento rápido y tienen una probabilidad mayor de metastatizar o de presentar una extensión extraocular por lo que estos tumores tradicionalmente se han tratado mediante la enucleación del ojo afectado (7).
Hace unos años algunos expertos comenzaron a recomendar la observación periódica como método adecuado para manejar determinados melanomas de la úvea posterior, sin que esto aumentara de manera significativa la mortalidad relacionada con el tumor (36,42). Una vez que entran en su fase de crecimiento, los tumores pequeños crecen rápidamente y los estudios patológicos han demostrado que esto está correlacionado con un pronóstico peor, por lo tanto dichos tumores deberían ser tratados una vez que comienzan a crecer (3).
La observación periódica se recomendó primariamente para ciertos tumores melanocíticos pequeños (< 3 mm de altura y < 10 mm de diámetro) y medianos (entre 3-5 mm de altura y/o entre 10-15 mm de diámetro) que presumiblemente eran melanomas pero poseían características de inactivos. En ocasiones, es preferible la observación de tumores pequeños, cuestionablemente activos, ya que muchos métodos de tratamiento de melanomas uveales posteriores están asociados con una pérdida de visión secundaria al propio tratamiento. Actualmente, parece adecuado no realizar ningún tratamiento hasta que se observe algún signo oftalmoscópico de actividad tumoral o bien un crecimiento activo de la lesión (2-4,35,36,42,45).
Otras indicaciones serían: cuando estos melanomas pequeños o medianos se presentan en pacientes mayores (> 65 años) o seriamente enfermos, incluso aunque el tumor tenga signos de que crece lentamente o bien, cuando se localizan en el único ojo útil del paciente, incluso con signos de crecimiento lento (2,36,42).
Debido a que el crecimiento de la mayoría de los tumores melanocíticos uveales es muy lento, normalmente es necesario ver al paciente con un intervalo de 4-6 meses. Si se observa crecimiento tumoral, debemos realizar alguno de los tratamientos disponibles (36).
El seguimiento a largo plazo ayudará a determinar si la observación simple de los tumores pequeños aumenta las probabilidades de metástasis. Si la observación simple de tumores pequeños estuviera asociada con la disminución de la supervivencia, se emplearía el tratamiento precoz con mayor frecuencia (36, 42). Es probable que los estudios futuros nos enseñen más características clínicas que predigan el crecimiento de lesiones melanocíticas pequeñas de la úvea posterior, lo cual nos facilitará la decisión en relación con qué lesiones debemos o no tratar precozmente (fig. 6).
Fig. 6. Melanoma pequeño: observación.
2) Termoterapia transpupilar
La termoterapia transpupilar es un método innovador de tratamiento conservador para ciertos melanomas de coroides de tamaño pequeño-mediano (fig. 7). Esta técnica utiliza como fuente de calor un láser diodo para emitir radiación infra-roja (810 nm), a través de la pupila dilatada del paciente, hacia un tumor intraocular. El aumento subsecuente de la temperatura, por encima de 45ºC, en el tumor tiene un efecto citotóxico directo (inhibiendo los mecanismos de reparación del DNA), además de un efecto isquémico indirecto (debido a la obstrucción vascular en el tumor), que induce una necrosis de las células tumorales (13,21,28,46).
Fig. 7. Melanomas de coroides susceptibles de tratamiento mediante termoterapia
transpupilar.
La elección de la radiación infra-roja en esta técnica está basada en que, después de diferentes estudios se comprobó que, la penetración de la termoterapia transpupilar es óptima cuando utilizamos una longitud de onda entre 700 y 900 nm que corresponde a la radiación infra-roja, la cual además de conseguir una penetración tumoral alta (4-4,5 mm) presenta una absorción baja por los medios oculares transparentes (5%) (13,21,22,28,44,47).
Los primeros estudios clínicos utilizando la termoterapia transpupilar en el tratamiento del melanoma de coroides los realizaron Overgaard y sus colaboradores en 1987 e investigaron su efecto de manera adjunta con el tratamiento mediante Rutenio-106 (21). Oosterhuis y sus colaboradores, en 1995, publicaron su experiencia sobre la seguridad y eficacia de la termoterapia transpupilar en el melanoma coroideo humano, como tratamiento primario y como tratamiento coadyuvante con una placa de radioterapia (Ru-106) (44,47). Shields y sus colaboradores, en 1996, publicaron los resultados en 17 pacientes tratados únicamente con termoterapia transpupilar. Clínicamente, la mayoría de los tumores tenían un aspecto plano o excavado con una esclera parcialmente visible, oscurecida por la dispersión de pigmento, fibrosis y edema de la retina (21,44,47). En 1998, Shields y sus colaboradores explicaron sus hallazgos en un grupo mayor, de 100 pacientes consecutivos que presentaban un melanoma de coroides y fueron tratados mediante termoterapia transpupilar, con un período medio de seguimiento de 14 meses, consiguiendo el control tumoral en el 94% de los pacientes (47).
A. Indicaciones del tratamiento
Melanomas coroideos pequeños-medianos posteriores
Como tratamiento complementario de la braquiterapia en los casos de una respuesta tumoral insuficiente o en tumores con una altura
La termoterapia transpupilar no está indicada en:
Pacientes con un melanoma de coroides pequeño-mediano que presenten una opacidad severa de los medios ópticos, con dilatación pupilar insuficiente (22).
Melanomas coroideos elevados y/o asociados a un desprendimiento exudativo de retina cuya altura sea > 3 mm. Cuando la altura del líquido sub-retiniano sobre el ápex tumoral sobrepasa los 3 mm éste puede producir una dispersión del calor con lo que la efectividad del tratamiento sobre el tumor es menor (46).
Melanomas coroideos localizados periféricamente (22).
B. Técnica de tratamiento
Para realizar el tratamiento se utiliza un láser diodo infra-rojo, con una longitud de onda de 810 nm, un diámetro del impacto ajustable para 0,8, 1,2, 2 y 3 mm. El sistema de emisión puede adaptarse a la lámpara de hendidura o al microscopio quirúrgico y se aplica a través de la pupila dilatada mediante una lente panfunduscópica o una lente de Mainster estándar. Antes de la aplicación del tratamiento se aplica un colirio anestésico (21,46-48).
El tumor se trata mediante impactos superpuestos sobre la superficie tumoral incluyendo aproximadamente 1 mm alrededor del margen tumoral. La potencia necesaria depende de la pigmentación del tumor: la ausencia de pigmentación de los tumores amelánicos aumenta la penetración de la radiación infra-roja en el tejido pero disminuye la cantidad de radiación convertida en calor. La potencia media requerida para el tratamiento de melanomas amelánicos es un 15% mayor que la requerida en tumores pigmentados (21,22,44,46,47).
Se comienza el tratamiento con una potencia relativamente baja (250-300 mW) aumentándola poco a poco hasta que el edema hace que la superficie tumoral adquiera una coloración blanco-grisácea durante el período de exposición. El tiempo de exposición no debe ser inferior a 1 minuto ya que se necesitan 40 segundos para alcanzar una temperatura a nivel de subcoagulación (21, 22).
El tratamiento se aplica de forma confluente sobre toda la superficie tumoral incluyendo el margen ya que la circulación coroidea puede disipar algo el calor en el borde del tumor. Las sesiones de tratamiento se repiten hasta conseguir una remisión completa del tumor (44,47,48) (fig. 8).
C. Objetivo del tratamiento
El objetivo del tratamiento es producir la regresión del tumor definida por: 1) una cicatriz corio-retiniana, de aspecto plano, sin signos de actividad en el examen oftalmoscópico (13,22,46-48) y 2) una disminución de la altura tumoral Ž 0,5 mm en la ecografía ocular, con respecto a la exploración inicial. Otros hallazgos observados, aunque si se presentan de manera aislada no indican una remisión tumoral son: una reabsorción del líquido sub-retiniano, si existía previamente al tratamiento (aunque inicialmente puede aumentar) (28,47), un aumento de la reflectividad interna en la ecografía A-B (34) y una hipofluorescencia precoz y tardía en la A.F.G., en la zona tratada (36,41,42).
Los cambios histopatológicos tras la termoterapia transpupilar incluyen: necrosis isquémica, hemorragia, infiltración crónica de células inflamatorias y atrofia de la retina neurosensorial (23) (fig. 9).
Fig. 9. Melanoma pre-TTT, post-TTT inmediata y cicatriz corio-retiniana.
D. Complicaciones de la termoterapia transpupilar
Las complicaciones de la termoterapia pueden presentarse tanto en el segmento anterior como en el segmento posterior del globo ocular. Las complicaciones en el segmento anterior están relacionadas con el contacto entre el iris y/o cristalino y el haz de radiación. Como resultado pueden producirse iritis, lesión del esfínter del iris, sinequias posteriores y catarata subcapsular posterior (21,23,28,46,47).
Las complicaciones en el segmento posterior incluyen: obstrucción vascular retiniana (arterial y/o venosa), tracción y/o fibrosis retiniana, neovascularización retiniana y desprendimiento seroso de la retina. Parece que la obstrucción vascular se produce como resultado directo de la esclerosis vascular inducida por el calor. La neovascularización retiniana puede ser el resultado de la isquemia retiniana tras la esclerosis vascular y puede tratarse de manera efectiva mediante fotocoagulación con láser. La tracción retiniana puede ser visible tanto en la superficie como en la profundidad de la retina y parece ser más frecuente en tumores localizados en los cuadrantes temporales y en la región macular. Pueden observarse hemorragias retinianas pequeñas sobre el tumor durante o tras la termoterapia transpupilar (13,21,23,28,46-48).
3) Resección local
Teóricamente, el abordaje ideal para el tratamiento de un melanoma uveal posterior es retirar quirúrgicamente el tumor y salvar el ojo, especialmente si esto se consigue sin empeorar el pronóstico vital del paciente. En los últimos años, un grupo de autores ha utilizado algunos métodos para retirar tumores localizados más posteriormente, en la coroides (35,36,42,45).
Inicialmente se utilizó la técnica de esclerouveorretinovitrectomía parcial penetrante (resección de todo el espesor de la pared ocular) para extraer melanomas seleccionados. Más recientemente se utiliza una técnica de esclerouvectomía lamelar parcial, en la que se retira el tumor dejando la retina y el vítreo intactos (35,36,42,45).
La resección local de un melanoma uveal posterior ofrece varias ventajas teóricas sobre la enucleación y la radioterapia. En contraste con la enucleación, está diseñada para preservar la visión y mantener un ojo estéticamente normal. En contraste con la radioterapia, tiene menos complicaciones a largo plazo si la cirugía tiene éxito (35,45).
A. Indicaciones relativas
Actualmente, sólo los tumores periféricos más pequeños, con un diámetro basal ≤ 10 mm, pueden ser resecados satisfactoriamente con la esperanza de conservar una visión buena. Probablemente en el futuro, cuando la técnica esté más desarrollada, se utilizará con mayor frecuencia en melanomas uveales posteriores (35).
Debemos considerar que los melanomas que cumplen estos criterios, en la mayoría de los casos, también pueden ser manejados mediante radioterapia. Generalmente es preferible la esclerouvectomía lamelar parcial cuando el melanoma se localiza anteriormente y tiene una base tumoral menor que la altura mientras que es preferible la radioterapia cuando el melanoma está localizado posteriormente y tiene una base tumoral mayor que la altura (36,42).
B. Técnicas quirúrgicas
1) Esclerouvectomía lamelar parcial: se realiza un «flap» escleral sobre el tumor y se retira el tumor con una capa fina adyacente de fibras esclerales con objeto de dejar intactos la retina y el vítreo (36,42,45).
2) Resección tumoral «ab interno»: esta técnica debe realizarse con extremo cuidado y por un cirujano experimentado ya que no se sabe si la rotura de la integridad tumoral mediante esta técnica podría diseminar las células tumorales. Quizás esta técnica debería utilizarse inicialmente en melanomas pequeños con bajo potencial metastásico y documentación de crecimiento, localizados lo suficientemente alejados de la fóvea como para poder realizar con seguridad una fotocoagulación alrededor de la lesión sin afectar de manera importante a la agudeza visual.
C. Complicaciones del tratamiento
En contraste con la radioterapia, que casi nunca se asocia con complicaciones inmediatas, existe cierto número de complicaciones precoces que pueden presentarse en la resección local de los melanomas uveales posteriores (35,42,45).
Las 3 complicaciones más importantes incluyen: hemorragia vítrea, catarata y desprendimiento de retina (35,36,42,45). Otras complicaciones tardías incluyen: edema macular cistoide crónico, fibrosis pre-retiniana o sub-retiniana secundaria a hemorragia, y uveítis anterior crónica, probablemente como resultado de una isquemia secundaria a la interrupción de los vasos ciliares anteriores durante la cirugía (36,42).
En la actualidad no hay evidencia de que la resección local de los melanomas uveales posteriores tenga diferencias sobre la supervivencia con respecto a la enucleación y la radioterapia (35,45).
4) Radioterapia
A. Irradiación con placas/hilos radiactivos (braquiterapia)
La enucleación del ojo afecto era, históricamente, el tratamiento de elección en el melanoma de coroides. La hipótesis (51,52), por otros rebatida (31), de que la enucleación podría promover la diseminación sistémica del tumor, alentó la práctica de otras alternativas terapéuticas.
La utilización de placas radioactivas en el tratamiento del melanoma de coroides responde a la necesidad de encontrar un arma terapéutica que permita mantener la integridad del globo ocular y, en la medida de lo posible, la función visual, como alternativa a la enucleación.
Clasificación del tamaño tumoral (COMS*) (8):
Pequeños: Altura ≤ 3 mm y entre 5 y 16 mm de diámetro basal mayor.
Medianos: Entre 3,1 mm y 8 mm de altura y ≤ 16 mm de diámetro basal mayor.
Grandes: Más de 8 mm de altura y más de 16 mm de diámetro basal mayor.
El COMS, tras más de 12 años de seguimiento, ha demostrado que la mortalidad no es mayor entre los pacientes tratados con braquiterapia con I125 y los tratados mediante enucleación (11). Algunos estudios proponen la utilización de la braquiterapia como una alternativa válida incluso en tumores grandes (29), contiguos al nervio óptico y de cuerpo ciliar.
Criterios de inclusión para el tratamiento mediante braquiterapia (COMS), en cuanto a las características del tumor (11):
2,5-10 mm de altura y no más de 12 mm de diámetro basal mayor (hasta 1990 los límites de altura se situaban entre 3,1 y 8 mm).
Tumores peripapilares (aquellos cuyo borde está situado a ≤ 2 mm de la papila del nervio óptico), si el tumor estaba contenido dentro de un ángulo de 90º con el vértice en el centro del nervio óptico siempre que el oftalmólogo considerase que la base del tumor podría ser cubierta, con el material radiactivo, con un margen de 2 mm.
Los pacientes con un tumor en contacto con el nervio óptico quedaron excluidos.
También quedaron excluidos los que presentaban una extensión extraescleral ≥ 2 mm, los tumores difusos, en anillo, los multifocales o que se considerase que estaban localizados de forma primaria en el cuerpo ciliar.
En el tratamiento del melanoma de coroides se han utilizado varios isótopos: cobalto 60 (Co60), radón, yodo 125 (I125), ruthenio 106 (Ru106), iridio 192 (Ir192) (utilizado habitualmente en nuestro Centro) (15,27,33). El I125 se considera el isótopo ideal para el tratamiento de tumores intraoculares debido a que su energía media es adecuada para conseguir la destrucción del tumor, preservar, en gran medida, los tejidos adyacentes, carecer de emisiones alfa o beta y a que su penetrancia permite tratar tumores de mayor tamaño que el Ru106. Además, las semilla de I125 están comercializadas y su número puede ajustarse al tamaño del tumor y pueden ser reutilizadas (fig. 10).
Fig. 10. Placa de oro en la que, tras colocar las semillas de I125,
se suturará a la esclera sobre el tumor.
La altura y el diámetro basal mayor son las medidas principales en el cálculo de la dosis de radiación a liberar sobre la lesión. Se recomienda que la placa supere en 2 mm el margen del tumor con el fin de asegurar que el tratamiento de las lindes del mismo. Esta premisa limita el tratamiento de los tumores que están en contacto, o en la vecindad del nervio óptico, a pesar de haber disponibles placas con muescas o escotaduras que se ajustan a este elemento anatómico.
Los pasos fundamentales que componen el proceso de implantación de la placa radioactiva son:
1.º Localización del tumor mediante transiluminación: tras realizar una peritomía y fijar los músculos extraoculares, necesario para exponer la esclera situada sobre el tumor, a través de una pupila dilatada, una luz fría permite visualizar los márgenes de tumor y marcarlos con un rotulador estéril o diatermia.
2.º Colocación del material radioactivo: mediante una plantilla que simula una placa radioactiva se sitúan las suturas esclerales evitando la manipulación excesiva del material radioactivo, en ocasiones puede ser necesario desinsertar un músculo extraocular para situar adecuadamente la placa. Una vez colocada la placa, podemos confirmar la colocación correcta de la placa mediante una ecografía ocular intraoperatoria.
3.º Retirada del material radioactivo: en función de la dosis calculada que debe recibir el tumor, se mantendrá la placa varios días con el paciente debidamente aislado.
La eficacia del tratamiento se evalúa mediante la exploración clínica (oftalmoscopía indirecta) combinada con la realización de retinografías y ecografías del tumor. El objetivo del tratamiento no es la reducción del tumor a una cicatriz plana (como en la termoterapia transpupilar), e incluso, no es excepcional que el tamaño del tumor pueda aumentar transitoriamente en el período inicial post-tratamiento, pero tiende a disminuir de forma notable pasados varios meses (fig. 11).
Fig. 11. Aspecto de un melanoma de coroides antes y después de ser tratado
mediante braquiterapia.
La destrucción del tumor se produce por muerte celular directa y por afectación del ciclo reproductivo celular, otro mecanismo de destrucción tumoral es la afectación de su entramado vascular (27).
Los resultados visuales dependen, en gran medida, del isótopo utilizado. Más de la mitad de los pacientes que presentaban un tumor mediano y fueron tratados con I125, presentaron una pérdida considerable de visión después de 3 años del tratamiento. El 37% tienen, en el ojo tratado, una agudeza visual > 20/200 a los 5 años de tratamiento (10).
Como el COMS excluyó del tratamiento mediante braquiterapia a los tumores peripapilares debido a la dificultad para realizar el cálculo dosimétrico y a la imposibilidad de colocar una placa que comprendiera toda la superficie del tumor, no contamos con una respuesta inequívoca acerca de cuál es el tratamiento ideal para este tipo de tumores, por no poder extrapolar en este tipo de tumores los resultados del COMS.
Las complicaciones más frecuentes que pueden presentarse son: formación de catarata, retinopatía y neuropatía por radiación, hemorragia vítrea, glaucoma neovascular, necrosis escleral, diplopía, queratitis y uveítis (27).
La mortalidad en pacientes tratados con I125 no difiere de la que presentan los pacientes tratados mediante enucleación, tras un seguimiento de 12 años, ninguno de los 2 tratamientos incrementa o disminuye la mortalidad. La supervivencia a los 5 años es mayor del 80% y el 85% de los pacientes conservan el ojo a los 5 años del tratamiento. El fracaso del tratamiento conduce, en la mayoría de los casos, a la enucleación del ojo afecto (34).
B. Radiación mediante partículas cargadas
Además de la braquiterapia, la radiación externa del tumor con partículas cargadas (protones, helio, gamma-knife) ha sido ampliamente utilizada con resultados alentadores (6,17,30).
Las características físicas de las partículas cargadas permiten radiar áreas localizadas de forma uniforme, pueden ser colimadas para liberar el mayor porcentaje de ionización en un volumen determinado respetando los tejidos sanos a su alrededor. Esta técnica permite el tratamiento de tumores de mayor tamaño y en localizaciones que contraindicarían la braquiterapia (tumores yuxtapapilares, de cuerpo ciliar o con extensión extraescleral limitada) y evita la manipulación de material radiactivo por parte del cirujano. Está establecida su eficacia en comparación con el tratamiento con placas de I125.
La mayoría de los tumores muestran signos de regresión pasados los primeros 6 meses, al igual que con el tratamiento con placas de I125, en pocos tumores se consigue la reducción a una cicatriz plana. Las partículas cargadas, consiguen la destrucción del tumor por muerte directa de las células tumorales y por alteración de su entramado vascular.
La agudeza visual consecutiva al tratamiento depende, en gran medida, de la agudeza visual previa (es frecuente el desprendimiento de retina exudativo), el tamaño del tumor y su localización, aproximadamente un tercio de los pacientes tratados mantienen una visión de 20/40 o mejor a los cinco años de haber recibido el tratamiento (18).
Las complicaciones más frecuentes son: síntomas de ojo seco, catarata, retinopatía y neuropatía por radiación, hemovítreo y glaucoma neovascular.
La supervivencia, a los 5 años del tratamiento, varía entre el 70,3% y el 85% (18) según las distintas publicaciones, y es similar a la observada en pacientes tratados con braquiterapia y mejor que los pacientes tratados con enucleación. Los factores de riesgo principales que determinan una menor supervivencia son el tamaño del tumor, su localización anterior y la edad avanzada del paciente.
La probabilidad de conservar el ojo a los 5 años de haber recibido tratamiento con partículas cargadas es muy alta, del 76 al 99% en función de las características del tumor tratado (afectación del cuerpo ciliar, altura de más de 8 mm y distancia a la fóvea de 2 o menos diámetros papilares, son situaciones que se asocian a una mayor probabilidad de fracaso en el tratamiento) (20). La recurrencia tumoral local aparece en un 2-4% de los tumores tratados con partículas cargadas. El control local del tumor se consigue en un 98% de los casos a los cinco años y buena parte de las recurrencias pueden ser manejadas con tratamientos conservadores.
5) Otros tratamientos conservadores
Se han realizado avances y esfuerzos importantes en la inmunoterapia (25) y la quimioterapia (49) como tratamiento del melanoma de coroides y de sus metástasis sin que, por el momento, contemos con tratamientos estandarizados y con resultados clínicos reconocidos.
B. Enucleación
Hoy en día la enucleación se realiza en menos del 20% de los casos. Antes de realizar la enucleación de un ojo por un melanoma de coroides debe descartarse enfermedad metastásica ya que un paciente con melanoma coroideo metastásico tiene una esperanza de vida inferior a 1 año, por eso, la enucleación no está justificada salvo que tenga un ojo doloroso (3,5).
Este método tradicional de tratamiento del melanoma de coroides es controvertido existiendo un debate sobre el impacto de la enucleación y su influencia final sobre el pronóstico vital, sin embargo, parece que esta modalidad terapéutica es aceptable en casos seleccionados de melanoma uveal avanzado (2,9,35,36,42,45).
A. Indicaciones relativas
Cualquier melanoma coroideo o de cuerpo ciliar que haya producido una pérdida visual y sea demasiado grande (> 50% del volumen ocular) para tratarlo mediante radioterapia o resección local (2, 5, 35, 36, 42, 45).
La mayoría de los melanomas uveales posteriores que hayan producido un desprendimiento de retina total (ojo ciego) o un glaucoma secundario severo (dolor) (5,35,36,42).
Melanomas coroideos pequeños y medianos con crecimiento documentado y que hayan invadido el nervio óptico (35,36,42,45).
Ojos que contengan melanomas con extensión extraocular significativa (5).
B. Técnica quirúrgica
Actualmente, la técnica más aceptada es una enucleación estándar atraumática, con «manipulación mínima» en lugar de congelar la base del tumor mediante la aplicación de nitrógeno líquido a través de un anillo de polietileno inmediatamente antes de cortar el nervio óptico, como se propuso inicialmente. En el momento de la enucleación debemos examinar el globo ocular cuidadosamente para descartar extensión extraocular en cuyo caso modificaremos la técnica quirúrgica (3,36,42).
Sobre la premisa de que las fluctuaciones repentinas de la presión intraocular durante la enucleación pueden aumentar la diseminación hematógena de las células tumorales, algunos oftalmólogos han utilizado métodos de canulación de la cámara anterior del ojo utilizando métodos manométricos para mantener una presión intraocular más uniforme durante la cirugía (36,42).
Hoy en día se utiliza un implante integrado de hidroxiapatita para mejorar la motilidad ocular en los pacientes en los que se realiza la enucleación (36,42).
Ha habido un interés considerable en la utilización de la radioterapia externa (20 Gy aplicados en 5 sesiones de 4 Gy cada una durante un máximo de 8 días, enucleando el ojo tan pronto como fuera posible después de aplicar la última sesión de radioterapia) pre-enucleación como método para disminuir las probabilidades de enfermedad metastásica (9). Aunque parece que esta radioterapia disminuye el grado de actividad mitótica de las células del melanoma e inhibe «in vitro» el crecimiento de las células tumorales, los datos disponibles sugieren que no mejora la supervivencia del paciente, esto unido al coste añadido de la radiación, las molestias al paciente, los tumores inducidos por la radiación a largo plazo, la posibilidad de disminuir la calidad de vida del paciente durante el período del tratamiento de radioterapia y el retraso de la enucleación hacen que su utilización sea cuestionable (9,35,36,42).
Parece que el tratamiento con hipertermia antes de realizar la enucleación podría servir como método para «esterilizar» el tumor antes de su manipulación disminuyendo el posible riesgo de extensión metastásica a través de la diseminación de células viables durante la enucleación.
C. Complicaciones
Cuando la enucleación se realiza cuidadosamente, las complicaciones son extremadamente raras. La hemorragia en el momento de la cirugía puede controlarse disminuyendo la presión arterial (36,42).
D. Resultados
La mortalidad de pacientes con melanomas uveales posteriores se mantiene alta después de la enucleación. La muerte relacionada con el tumor en pacientes con melanoma uveal tras la enucleación ha sido del 30% en los 5 primeros años y del 50% a los 10 años. Esta mortalidad alta prevalece a pesar del hecho de no evidenciar metástasis en la evaluación sistémica previa a la enucleación (36,42).
La eficacia de la enucleación per se para prevenir la enfermedad metastásica no estará clara hasta que se completen los estudios prospectivos randomizados. Muchos de los datos actuales relacionados con su efectividad no son interpretables. El estudio de Westeerveld-Brandon y Zeeman para mostrar que la enucleación realizada en pacientes mayores de 65 años era inefectiva se realizó en un grupo de pacientes demasiado pequeño. Este estudio ha sido citado por muchos autores para mostrar que los métodos alternativos para tratar el melanoma de coroides son más eficaces que la enucleación para preservar la vida (3).
C. Exenteración orbitaria
A. Indicaciones relativas
Afectación extraocular extensa del melanoma en el momento de la presentación inicial una vez comprobado que no hay metástasis sistémicas (2,36,42,45).
Recurrencia orbitaria de un melanoma coroideo algún tiempo después de la enucleación una vez comprobado que no hay metástasis sistémicas (36,42).
Parece que en estos casos la exenteración orbitaria no mejora el pronóstico vital del paciente (36).
Con la mejoría de las técnicas diagnósticas y el diagnóstico precoz del melanoma uveal, es raro que los pacientes tengan inicialmente una afectación extraocular extensa. El paciente afectado suele presentar proptosis de un ojo ciego o desplazamiento anterior progresivo del implante de enucleación meses o años después de la enucleación por un melanoma de coroides. En tales casos el método mejor para documentar la presencia y extensión del tumor orbitario es la tomografía axial computerizada (T.A.C.) (36,42).
B. Manejo de la extensión extraocular: consideraciones especiales
Existe una controversia continua en cuanto al valor de la enucleación modificada y la exenteración en el manejo de la extensión extraocular de los melanomas uveales posteriores. Muchos oftalmólogos consideran la exenteración un procedimiento mutilante y se resisten a utilizarla en los casos de grados pequeños de extensión extraescleral. Además, la mortalidad tanto tras la enucleación como la exenteración parece bastante mayor en los pacientes con extensión extraocular del melanoma uveal (36,42).
Algunos estudios han demostrado que normalmente la extensión extraescleral se produce a través de canales emisarios en áreas donde la esclera es de grosor normal sin apreciarse un adelgazamiento de la esclera adyacente. Debido a esto, recientemente existe un interés por otras posibles alternativas en el manejo de pacientes que tienen melanomas uveales con extensión extraocular. Este manejo depende del grado de extensión extraocular y de cuando y cómo sea detectada la afectación extraescleral. Si se detecta clínicamente una extensión extraocular anterior se recomienda una enucleación modificada con la extirpación simultánea de la conjuntiva y la cápsula de Tenon, localizadas sobre la pigmentación. Sin embargo, si el melanoma intraocular está en el rango de tamaño y localización como para tratarlo con placa radiactiva, Shields y sus colaboradores recomiendan la placa a pesar de la presencia de una extensión extraocular. Hoy en día se piensa que puede utilizarse con seguridad una placa radiactiva en casos de extensión extraescleral cuando se trate de un ojo con visión útil y la extensión extraescleral no tenga una altura superior a 2 mm. Esta técnica se está utilizando debido a que se sabe que en estos casos existe una mortalidad alta cuando se manejan mediante enucleación o exenteración (36, 42).
Ocasionalmente, en el momento de la cirugía para colocar una placa o realizar una enucleación, pueden observarse grados pequeños de invasión tumoral hacia la luz de una vena vorticosa. En estos casos, las venas vorticosas deben ligarse, cauterizarse o cortarse cuidadosamente y continuar con la cirugía programada (36,42).
BIBLIOBRAFÍA
Actualización en tumores intraoculares. Capeans Tomé. Tecnimedia Editorial 1999.
Brady LW, Shields JA, Augsburger JJ, Day JL. Malignant intraocular tumors. Cancer 1982; 49: 578-585.
Char DH. The management of small choroidal melanomas. Surv Ophthalmol May-June 1978; 2 (6): 377-386.
Char DH, Stone RD, Irvine AR, Crawford JB, Hilton GF, Lonn LI, Schwartz A. Diagnostic modalities in choroidal melanoma. Am J Ophthalmol 1980 Feb; 89 (2): 223-230.
Char DH. Therapeutic options in uveal melanomas. Am. J. Ophthalmol 1984; 98: 796-799.
Char DH, Kroll SM, Castro JK: Ten-year follow-up of helium ion therapy of uveal melanoma. Am J Ophthalmol 1998, 125: 81-89.
Chong LP, Ozler SA. Indocyanine green-enhanced diode laser treatment of melanoma in a rabbit model. Retina 1993; 13: 251-259.
Collaborative Ocular Melanoma Study (COMS): Factors predictive of growth and treatment of small choroidal melanoma. COMS report no. 5. Arch Ophthalmol 1997, 115: 1537-1544.
Collaborative Ocular Melanoma Study (COMS). Randomized Trial of pre-enucleation radiation of «large» choroidal melanoma. II: Initial Mortality Findings. COMS Report No. 10. Am J Ophthalmol 1998; 125: 779-796.
Collaborative Ocular Melanoma Study (COMS): randomised trial of I-125 brachytherapy for medium melanoma. I. Visual acuity after 3 years. COMS Report No 16. Ophthalmology 2001; 108: 348-366.
Collaborative Ocular Melanoma Study (COMS). The COMS randomized trial of Iodine 125 brachytherapy for choroidal melanoma, II: Characteristics of patients enrolled and not enrolled. COMS Report No. 17. Arch. Ophthalmol. 2001; 119: 951-965.
Collaborative Ocular Melanoma Study (COMS). Fifteen years of work: The COMS outcomes for medium-sized choroidal melanoma. Arch Ophthalmol 2001; 119: 1067-1068.
Currie ZI, Rennie IG, Talbot JF. Retinal vascular changes associated with transpupillary thermotherapy for choroidal melanomas. Retina 2000; 20 (6): 620-626.
Davidorf FH, Lang JR. The natural history of malignant melanoma of the choroid: small vs large tumors. Trans Am Acad Ophthalmol Otolargyngol 1975; 79: 310-320.
Earle JD, Kline RW, Robertson DM. Selection of iodine-125 for the Collaborative Ocular Melanoma Study. Arch Ophthalmol 1987; 105: 763-764.
Egan KM, Seddon JM, Glynn RJ, Gragoudas ES, Albert DM. Epidemiologic aspects of uveal melanoma. Surv. Ophthalmol 1988; 32: 239-251.
Gragoudas ES, Goitein M, Verhey L et al. Proton beam irradiation. An alternative to enucleation for intraocular melanomas. Ophthalmology 1980, 89: 571-581.
Gragoudas ES, Seddon JM, Egan et al. Long term results of protom beam irradiated uveal melanomas. Ophthalmology 1987; 94: 349-353.
Gragoudas ES, Char D, Egan KM. Principles and Practice of Ophtalmology. 2nd Edition 2000. W.B Saunders Company. Philadelphia Pennsylvania. 5046-5056.
Gragoudas ES, Li W, Goitein M, el al. Evidence-Base estimates of outcome in patients irradiated for intraocular melanoma. Arch Ophthalmol 2002; 120: 1665-1671.
Ip M, Kroll A, Reichel E. Transpupillary thermotherapy. Semin Ophthalmol 1999 Mar; 14 (1): 11-18.
Keunen JEE, Journee-de-Korver JG, Oosterhuis JA. Transpupillary thermotherapy of choroidal melanoma with or without brachytherapy: a dilema. Br J Ophthalmol 1999; 83: 1212-1213.
Kiratli H, Bilgic S, Cal P. Intravitreal pigment dispersion as a complication of transpupillary thermotherapy of choroidal melanoma. Retina 2000; 20 (4): 408-409.
Kodjikian L, Roy P, Rouberol F, Garweg JG, Chauvel P, Manon L, Jean-Louis B, Little RE, Sasco AJ, Grange JD. Survival after proton-beam irradiation of uveal melanomas. Am J Ophthalmol. 2004; 137 (6): 1002-1010.
Mc Lean IW, Berd D, Mastrangelo MJ, Shields JA, Davidorff FH, Grever M, Makley TA, Gamel JW. A randomized study of methanol-extraction residue of bacille Calmette-Guerin as postsurgical adjuvant therapy of uveal melanoma. Am J Ophthalmol 1990 Nov 15; 110 (5): 522-526.
Murray TG. Small choroidal melanoma. Arch Ophthalmol 1997 Dec; 115 (12): 1577-1578.
Olsen KR, Murray TG, Johnson RN. Enucleation and plaque treatment. Principles and Practice of Ophtalmology. 2nd Edition 2000. W.B Saunders Company. Philadelphia Pennsylvania. 5028-5043.
Oosterhuis JA, Hanneke G, Journée-de Korver JG, Hedwig M. Kakebeeke-Kemme, Blecker JC. Transpupillary termotherapy in choroidal melanomas. Arch Ophthalmol 1995 Mar; 113 (3): 315-321.
Puusaari I, Heikkonen J, Summanen P, Tarkkanen A, Kivela T. Iodine brachytherapy as an alternative to enucleation for large uveal melanomas. Ophthalmology. 2003 Nov; 110 (11): 2223-2234.
Seddon JM, Gragoudas ES, Albert DM, et al.: Comparison of survival rates for patients with uveal melanoma after treatment with proton beam irradiation or enucleation. Am J Ophthalmol 1985; 99: 282-290.
Seigel D, Myers M, Ferris F, Steinhorn SC: Survival rates after enucleation of eyes with malignant melanoma. Am J Ophthalmol 1979; 87: 751-765.
Shammas HF, Blodi FC. Pronostic factors in choroidal and ciliary body melanomas. Arch Ophthalmol 1977; 95: 63-69.
Shields JA, Augsberger JJ, Brady LW, et al.: Cobalt plaque therapy of posterior uveal melanomas. Ophthalmology 1982; 89: 1201-1207.
Shields CL, Shields JA, Karlsson U, et al.: Reasons for enucleation after plaque radiotherapy for posterior uveal melanoma. Ophthalmology 1989; 96: 919-924.
Shields JA. Introduction to management of posterior uveal melanomas, in Ryan SR (ed): Retina. Vol. I. St Louis, CV Mosby 1989; Chapter 42, pp 683-686.
Shields JA, Shields CL, Donoso LA. Management of posterior uveal melanoma. Surv Ophthalmol 1991; 36: 161-195.
Shields JA, Shields CL. Introduction to melanocytic tumors of the uvea in Shields JA, Shields CL: Intraocular Tumors. A text and Atlas. Philadelphia, PA, Saunders, 1992; 45-59.
Shields JA, Shields CL. Melanocytic tumors of the iris estroma in Shields JA, Shields CL: Intraocular Tumors. A text and Atlas. Philadelphia, PA, Saunders, 1992; 61-83.
Shields JA, Shields CL. Posterior uveal melanoma: Clinical and pathologic features, in Shields JA, Shields CL: Intraocular Tumors. A text and atlas. Philadelphia, PA, Saunders, 1992; 117-136.
Shields JA, Shields CL. Differential diagnosis of posterior uveal melanoma, in Shields JA, Shields CL: Intraocular Tumors. A text and atlas. Philadelphia, PA, Saunders, 1992; 137-153.
Shields JA, Shields CL. Diagnostic approaches to posterior uveal melanoma, in Shields JA, Shields CL: Intraocular Tumors. A Text and Atlas. Philadelphia, PA, Saunders, 1992; 155-169.
Shields JA, Shields CL. Management of posterior uveal melanoma, in Shields JA, Shields CL: Intraocular Tumors. A Text and Atlas. Philadelphia, PA, Saunders, 1992; 171-205.
Shields JA. The expanding role of laser photocoagulation for intraocular tumors. The 1993 H. Christian Memorial Lecture. Retina 1994; 14: 310-322.
Shields CL, Shields JA, de Potter P, Kheterpal S. Transpupillary thermotherapy in management of choroidal melanoma. Ophthalmology 1996 Oct; 103 (10): 1642-1650.
Shields JA, Shields CL. Diagnosis and treatment of uveal melanoma. Semin. Oncol. 1996 Dec; 23 (6): 763-767.
Shields CL, Shields JA, Carter J, Lois N, Edelstein Ch, Gunduz K, Mercado G. Transpupillary thermotherapy for choroidal melanoma. Tumor control y visual results in 100 consecutive cases. Ophthalmology 1998 Apr; 105 (4): 581-590.
Shields CL, Shields JA. Transpupillary thermotherapy for choroidal melanoma. Curr Opin Ophthalmol 1999 Jun; 10 (3): 197-203.
Shields CL, Shields JA, Perez N, Singh AD, Cater J. Primary transpupillary thermotherapy for small choroidal melanoma in 256 consecutive cases. Outcomes and limitations. Ophthalmology 2002; 109: 225-234.
Shields CL, Shields JA. Recent developments in the management of choroidal melanoma. Current Opinion In Ophthal. 2004 June; 15 (3): 244-251.
Tumeurs intraoculaires. L. Zografos. Editorial Masson. 2002.
Zimmerman LE, McLean IW, Foster WD: Does enucleation of the eye containing a malignant melanoma prevent or accelerate the dissemination of tumour cells? Br J Ophthalmol 1978; 62: 420-425.
Zimmerman LE, McLean IW. An evaluation of enucleation in the management of uveal melanomas. Am J Ophthalmol 1979; 87: 741-760.
NOTA
* COMS (Collaborative Ocular Melanoma Study): en el año 1996, oftalmólogos de numerosos Centros, comenzaron un ensayo clínico prospectivo y aleatorizado con pacientes que presentaban melanomas de coroides medianos y grandes (sus objetivos, a grandes rasgos, eran comprobar el tratamiento de estos tumores con enucleación y radioterapia externa previa y valorar la braquiterapia como tratamiento alternativo a la enucleación), y otro prospectivo observacional y no aleatorizado con tumores pequeños (que permitiera asesorar la necesidad de tratarlos o no).