CASO CLÍNICO


Meningioma esfenoidal. Repaso práctico de la anatomía del seno cavernoso

GONZÁLEZ MARTÍN-MORO J1, MORCILLO LAIZ R1, MUÑOZ IBÁÑEZ A1

(1) Licenciados en Medicina y Cirugía. Médicos oftalmólogos del Instituto de Ciencias Visuales (Fundación INCIVI). Madrid. España.


RESUMEN

Introducción: El seno cavernoso es un espacio anatómico complejo localizado a ambos lados de la silla turca que alberga las estructuras nerviosas y vasculares en su camino desde el cerebro hacia la órbita.

Caso clínico: Se presenta el caso de un paciente varón de mediana edad con alteraciones inespecíficas de la función visual de varios años de evolución. En la exploración física se objetivaba la afectación del III y IV par craneal derechos y un defecto campimétrico ipsilateral y contralateral. En la RMN craneal se visualizó una masa sugestiva de meningioma esfenoidal.

Discusión: En la patología del seno cavernoso cuando los primeros pares craneales en verse afectados son el III, IV y V par craneal debe sospecharse que la patología es extrínseca. En este contexto la aparición de un defecto campimétrico contralateral puede deberse a la lesión de las fibras nasales inferiores que tras decusarse en el quiasma se introducen ligeramente en el nervio óptico contralateral (rodilla de Willbrandt).

Palabras clave: Escotoma de la unión, meningioma esfenoidal, parálisis oculomotora, seno cavernoso.


CASO CLÍNICO

Varón de 47 años de edad, que desde hace 3 años sufre alteraciones inespecíficas de la función visual del OD. Refería de forma episódica la visión de escotomas centelleantes y pérdida de visión periférica. Desde hace dos años, el paciente refiere problemas con la visión binocular, sobre todo al manejar dispositivos ópticos como binoculares y microscopios. En la actualidad presenta diplopía, dolor retroocular y fotofobia.

En cuanto a sus antecedentes personales, es fumador de 15 cigarrillos al día, tiene hipercolesterolemia y padece angiomiolipomatosis renal. No es diabético ni hipertenso, y no sigue tratamiento alguno de forma habitual.

Desde el punto de vista oftalmológico, la exploración en el momento de ingreso era la siguiente: La AV corregida era 0,8 en el OD y la unidad en el OI. La pupila del OD estaba en midriasis media arreactiva, y presentaba leve ptosis, así como exotropía del OD de 50 DP, tanto en la mirada de cerca como en la de lejos, así como limitación de la elevación, depresión y aducción, por lo que es diagnosticado de parálisis del III par craneal y posible parálisis del IV par craneal del OD. El estudio de torsión posterior pone de manifiesto la existencia de una parálisis del IV pc asociada. La biomicroscopía era normal, y en la exploración de FO se aprecia la presencia de una escotadura de atrofia localizada en el reborde superotemporal de la papila del OD.


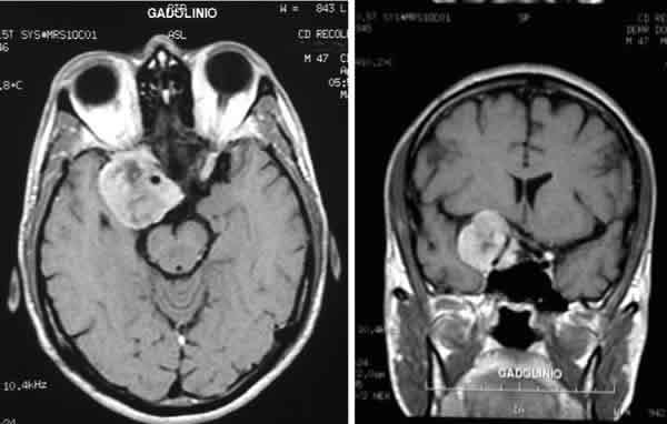
Fig. 1. RMN (cortes axial y coronal; imagen potenciada en T1, con gadolinio): muestra una masa que presenta calcificaciones y capta contraste (probable meningioma esfenoidal).

Las pruebas de imagen, solicitadas por el Servicio de Neurocirugía demostraron la presencia de una masa en el seno cavernoso. Se trataba de una masa con base de implantación en la apófisis clinoides anterior y el ala mayor del esfenoides, que erosionaba la fisura orbitaria superior, el seno esfenoidal y la silla turca. Tanto su localización como la presencia de calcificaciones, y el hecho de que captara contraste, hacían pensar que se trataba de un meningioma.


Fig. 2. Imagen de FO: la papila del OD muestra una muesca superior clara; en el OI muestra una muesca nasal inferior tenue que se corresponde con la llamada rodilla de Willbrandt.

La exploración se completa con un campo visual que revela la existencia de un defecto campimétrico superior e inferior en el OD (el tumor comprime el nervio óptico contra el hueso y daña las fibras superiores e inferiores). Además se aprecia un defecto en el campo visual contralateral, que es más difícil de entender. Es posible que se trate del llamado escotoma de la unión, y se debe a que tras decusarse las fibras nasales inferiores se introducen ligeramente en el nervio óptico contralateral, y por ello una lesión de la parte terminal del nervio óptico puede producir un defecto temporal superior en el ojo contralateral. A esta estructura anatómica se la denomina rodilla anterior de Willbrandt. Como puede apreciarse en las imágenes, el grado de concordancia entre el campo visual y la exploración papilar es muy alto. Se aprecia una muesca muy marcada en el reborde temporal superior de la papila derecha que se corresponde con el extenso defecto nasal inferior y otra menos marcada en la zona inferior que se corresponde con el defecto superior. En la papila izquierda se observa también una muesca nasal inferior que se corresponde con el defecto superior.

Puesto que resulta imposible extirpar el tumor en su totalidad, ya que engloba pares craneales, y también la arteria carótida interna se decide llevar a cabo una extirpación parcial, que se complementa posteriormente con radiocirugía.

  

CONCLUSIÓN

El seno cavernoso representa un espacio anatómicamente complejo, por la gran cantidad de estructuras nerviosas y vasculares que alberga. Este caso clínico en el que se han ido afectando de forma progresiva gran parte de las estructuras que contiene, puede resultar de utilidad para hacer un recordatorio de su anatomía, así como de la patología más frecuentemente relacionada.

  

ANATOMÍA DEL SENO CAVERNOSO

Recibe este nombre por su organización reticulada. Se trata de una estructura par, situada a ambos lados de la silla turca, extendiéndose desde la fisura esfenoidal hasta el ápex del peñasco del temporal. Precisamente a través de la fisura esfenoidal, recibe una de sus mayores contribuciones: la vena oftálmica. Está en comunicación por su porción posterior con los senos petrosos, y con el seno cavernoso contralateral, a través de los senos circulares y transversos. La mayor parte de sus paredes están constituidas por una doble capa meníngea (meninge cerebral y la que rodea al propio seno). Tan sólo la pared medial contiene una capa única (1,2).


Fig. 3. Campos visuales: se aprecia defecto superior e inferior en OD y defecto superior en OI que podría corresponder al escotoma de la unión.

En la zona medial del seno se sitúan la arteria carótida interna y el VI par craneal. El resto de las estructuras nerviosas (III y IV pares craneales y ramas oftálmica y maxilar del trigémino), avanzan entre las dos hojas meníngeas que constituyen la pared externa del seno cavernoso. Esta es la razón por la cual cuando la patología procede del propio seno, el nervio que inicialmente se afecta es el VI par craneal. Sin embargo, en este caso clínico se trata de patología extrínseca que comprime el seno desde fuera, y por ello los afectados han sido el III, el IV y el V par craneal, estando respetado el VI par craneal (2,3).

En principio, por tratarse de una lesión compresiva que afecta al III par craneal, podríamos pensar que la pupila debería estar en midriasis total. Sin embargo, en este paciente la encontramos en midriasis media. Esto es así porque la vía simpática también atraviesa este espacio (forma un plexo alrededor de la carótida y a continuación salta para acompañar a los nervios ciliares). Como la lesión interrumpe tanto la vía simpática como la parasimpática, la pupila queda totalmente denervada, en una situación de midriasis media arreactiva (1,4).


Fig. 4. Esquema de la anatomía del seno cavernoso. El VI par craneal discurre por la zona central, acompañado de la arteria carótida interna.


Fig. 5. Rodilla anterior de Wilbrandt (las fibras nasales se introducen ligeramente en el nervio óptico contralateral tras decusarse).

Como veremos a continuación, gran parte de las lesiones que asientan en este espacio son de naturaleza tumoral. Existen diversas clasificaciones para valorar su extensión. Casi todas ellas consideran como parámetro principal la relación del tumor con la arteria carótida interna. Según los criterios de Hirsch hablamos de grado I cuando el tumor toca o rodea parcialmente la arteria, grado II cuando la rodea por completo, y grado III cuando además estrecha su luz. En nuestro caso la carótida está totalmente rodeada, aunque no parece estrechada, por lo que se trata de un grado II. En cualquier caso, dada la morbilidad asociada a la extirpación de estos tumores, no se consideró que el paciente fuera subsidiario de ser sometido a una extirpación total.

  

DIAGNÓSTICO DIFERENCIAL DE LA PATOLOGÍA DEL SENO CAVERNOSO

1. Inflamatoria

Trombosis séptica: de origen habitualmente bacteriano. En muchas ocasiones como complicación de una celulitis orbitaria (en este caso el germen más frecuentemente implicado es el neumococo). El pronóstico es muy malo (1).

Mucormicosis rinocerebral: infección muy grave, habitualmente oportunista, producida por hongos de la familia «Mucoraceae». Típicamente afecta a pacientes diabéticos descompensados, en cetoacidosis. Las esporas se inhalan por vía nasal, por lo que muchas veces el cuadro se precede de una faringitis. El proceso es muy destructivo y tiene una evolución fulminante pues el múcor crece dentro de los vasos sanguíneos produciendo isquemia e infartando los tejidos. Se trata con anfotericina B tanto sistémica como aplicada directamente sobre los tejidos infectados, y además se precisa el desbridamiento radical del área infectada, muchas veces acompañado de exenteración ocular (1).

Síndrome de Tolosa-Hunt: llamamos así a la inflamación idiopática granulomatosa del seno cavernoso y el ápex orbitario. A la diplopía producida por las parálisis oculomotoras, suele añadirse el exoftalmos y el dolor. Se trata de un diagnóstico de exclusión, por lo que previamente se han debido descartar otros procesos inflamatorios y tumorales (1).

  

2. Tumoral

Tumores de estirpe neurovascular, derivados de su contenido o de las meninges que lo delimitan. El más frecuente de los tumores primarios en esta localización es probablemente el meningioma (en su conjunto constituyen el 20% de los tumores encefálicos). Se origina a partir de las células de la piamadre y la aracnoides. Habitualmente benigno, y más frecuente en mujeres. Esta localización resulta bastante típica; según algunas series, la tercera en frecuencia, tras la región sagital y la convexidad. A menudo, por su lento crecimiento los síntomas preceden en muchos años al diagnóstico como ha sucedido en este paciente. Debemos recordar que, en el sistema nervioso central, benignidad anatomopatológica no es sinónima de benignidad clínica. El tumor que presentaba este paciente a pesar de ser probablemente benigno desde el punto de vista histológico, resultaba irresecable en su totalidad por su localización.

El Schwannoma es bastante más infrecuente. Esta localización también puede ser asiento de tumores de estirpe hematológica como leucemias y linfomas, y por supuesto metástasis (1,5-7).

  

3. Vascular

En esta localización pueden aparecer aneurismas, pero sin duda la más paradigmática de las patologías vasculares en esta localización es la fístula carótido cavernosa. Distinguimos dos variantes:

Directas (de alto flujo), normalmente producidas por un traumatismo. En este caso el cuadro clínico es muy florido y aparece de forma muy brusca (ingurgitación de los vasos conjuntivales, quemosis, aumento de PIO y exoftalmos pulsátil). Desde el punto de vista exploratorio, destacar que puede ausculatarse un soplo orbitario (ésta es «prácticamente la única situación en la que el oftalmólogo se ve forzado a rescatar su viejo fonendoscopio»). En el caso de las formas indirectas (de bajo flujo), la clínica es menos llamativa (leve inyección, exoftalmos ligero, no pulsátil y menor aumento de la PIO) y la fístula aparece de forma espontánea pues se debe a la rotura de una pequeña rama meníngea, siendo el factor de riesgo más importante la hipertensión arterial (1,4).


BIBLIOGRAFÍA


  1. Kanski JJ. Clinical Ophthalmology. Butterworth Heinemann, Oxford, 1999.

  2. Netter FH. Atlas de anatomía humana. Ciba-Geigy corporation, New Jersey, 1996.

  3. Duus P. Topical diagnosis in Neurology,Georg Thieme Verlag Stuttgart, New Cork, 1989.

  4. Martin TJ. Neurooftalmología. Los requisitos en Oftalmología. Ediciones Harcourt. Madrid, 2001.

  5. Harrison. Principios de Medicina Interna, McGraw-Hill- Interamericana de España, Madrid, 1994.

  6. Rozman C. Medicina interna. Mosby-Doyma, Madrid, 1995.

  7. Yumans. Neurological surgery, vol 3. WB Saunders company, Philadelphia, 1996.