SEMINARIO DE CASOS CLÍNICOS


Melanocitoma de iris

ENCINAS MARTÍN JL1, CAJIGAL MORALES C1, DÍAZ MARTÍNEZ B2, ORTEGA MARTÍNEZ DE LA VICTORIA L3

1 Doctor en Medicina. Servicio de Oftalmología. Hospital Universitario Puerta de Hierro. Madrid.
2 Licenciado en Medicina. Servicio de Oftalmología. Hospital Universitario Puerta de Hierro. Madrid.
3 Licenciado en Medicina. Servicio de Anatomía Patológica. Clínica La Luz. Madrid.


RESUMEN

El melanocitoma ocular o nevus magnocelular es un tumor benigno pigmentado que se suele encontrar en la cabeza del nervio óptico, siendo excepcional su hallazgo en otros lugares del ojo, tales como el iris. Dadas sus características, es muy difícil distinguirlo clínicamente de un melanoma maligno. Presentamos el caso de una mujer que acudió a la consulta por una mancha en el iris de su ojo derecho, con crecimiento desde que apareció. Ante la sospecha clínica de melanoma, se realizó una iridectomía con resultados visuales satisfactorios. El informe anatomopatológico desveló que se trataba de un melanocitoma, sin signo alguno de malignidad.


INTRODUCCIÓN

El melanocitoma ocular, también denominado nevus magnocelular, es una variante característica de nevus melanocítico. Se presenta habitualmente en la cabeza del nervio óptico, y es mucho menos frecuente hallarlo en el cuerpo ciliar, coroides o iris. Clínicamente puede ser muy difícil distinguirlo de un melanoma, por lo cual su manejo terapéutico suele ser similar.

  

CASO CLÍNICO

Presentamos el caso de una mujer de 51 años, que consultó por presentar una mancha en el iris de su ojo derecho, de un año y medio de evolución, con crecimiento en los últimos meses. Como antecedentes de la paciente, destacan un nistagmus congénito y una miopía de 8 dioptrías en cada ojo.

En la exploración oftalmológica se evidenció una agudeza visual corregida de 0,2 en ambos ojos, sin mejoría con agujero estenopeico. A la lámpara de hendidura se observó una masa iridiana pigmentada en el cuadrante temporal inferior que no invadía el ángulo iridocorneal (fig. 1). En la oftalmoscopía se encontró una hipoplasia macular en ambos ojos.


Fig. 1.

Ante la sospecha clínica de melanoma se decidió extirpar la lesión mediante iridectomía, tras estudio de extensión negativo.

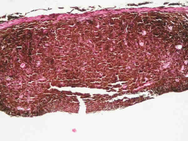
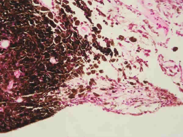
El informe de anatomía patológica describía la lesión como nodular, perfectamente delimitada y simétrica, ocupando todo el espesor del iris, cuyas células formaban una población uniforme, con citoplasma altamente pigmentado, poligonales, con una alta proporción citoplasma/núcleo y sin hallazgo de atipias ni mitosis, llegándose al diagnóstico histopatológico de melanocitoma de iris (figs. 2, 3 y 4).


Fig. 2.


Fig. 3.


Fig. 4.

A lo largo del postoperatorio la paciente presentó una evolución favorable, sin desarrollo de complicaciones y con una agudeza visual final de 0,2 con corrección (fig. 5).


Fig. 5.

  

DISCUSIÓN

El melanocitoma de iris es un tumor benigno raro (1), que ocurre con mayor frecuencia en mujeres (1,2), siendo la edad de presentación más frecuente entre los 40 y los 60 años, aunque se han documentado casos en niños (3).

Clínicamente es muy difícil de distinguir de un tumor maligno, aunque existen ciertas características que pueden ayudar a diferenciarlos (4): ambos son tumores altamente pigmentados, pero mientras que el melanocitoma tiene una superficie irregular y de aspecto plumoso, el melanoma suele ser más vascular y de superficie lisa. Son también signos de malignidad la extensión de la lesión en más de medio cuadrante, la deformación del reborde pupilar, la existencia de vasos propios, el hiphema y la catarata en cuña asociada (5).

Es más frecuente hallar un crecimiento documentado en un melanoma, aunque también se han descrito casos de crecimiento de melanocitomas (3), e incluso afectación extraescleral (6). En casos muy raros, el melanocitoma puede llegar a transformarse en melanoma (7).

El melanocitoma puede sufrir con cierta frecuencia una necrosis espontánea, dando lugar al denominado glaucoma melanocitomalítico (2,8) y a heterocromía del iris, por dispersión de pigmento y depósito del mismo en la malla trabecular, obstruyendo así la salida de humor acuoso.

El manejo terapéutico del melanocitoma podría consistir simplemente en observación de la lesión con fotografías seriadas para documentar cualquier cambio. Algunos autores realizan punción-aspiración con aguja fina del tumor (2,4), pudiendo así confirmarse el diagnóstico de melanoma si se hallan células malignas en la muestra. Sin embargo, en caso de no encontrarse células malignas, no es posible descartar la malignidad del tumor. Por ello, y dado que la supervivencia tras la resección local en melanomas es similar a la obtenida en la enucleación (5,6), parece razonable tratar el melanocitoma de iris mediante resección local, ya sea iridectomía o iridociclectomía en caso de extensión extraescleral, con resultados visuales altamente satisfactorios.


BIBLIOGRAFÍA


  1. Lo Russo FJ, Boniuk M, Font RL. Melanocytoma (magnocellular nevus) of the ciliary body: report of 10 cases and review of the literature. Ophthalmology 2000; 107(4): 795-800.

  2. Kiratli H, Bilgia S, Gedik S. Late normalization of melanocytomalytic intraocular pressure elevation following excision of iris melanocytoma. Graefe’s Arch Clin Exp Ophthalmol. 2001; 239(9): 712-715.

  3. Shields JA, Eagle RC Jr, Shields CL, Nelson LB. Progressive growth of an iris melanocytoma in a child. Am J Ophthalmol. 2002; 133(2): 287-289.

  4. Demirci H, Mashayekhi A, Shields CL, Eagle RC Jr, Shields JA. Iris melanocytoma: clinical features and natural course in 47 cases. Am J Ophthalmol 2005; 139(3): 468-475.

  5. Gallego Y, Mendicute J, Ruiz M, Ruiz I, Ubeda M. Melanocitoma de cuerpo ciliar. Arch Soc Esp Oftalmol. 2005; 80(2): 109-112.

  6. Rummelt V, Naumann GO, Folberg R, Weingeist TA. Surgical management of melanocytoma of the ciliary body with extrascleral extension. Am J Ophthalmol 1994; 117(2): 169-176.

  7. Cialdini AP, Saher JA, Jalkh AE, Weiter JJ, Zakka K, Albert DM. Malignant transformation of an iris melanocytoma. Graefe’s Arch Clin Exp Ophthalmol 1989; 227: 348-354.

  8. Fineman MS, Eagle RC Jr, Shields JA, Shields CL, De Potter P. Melanocytomalytic glaucoma in eyes with necrotic iris melanocytoma. Ophthalmology 1998; 105(3): 492-496.