SEMINARIO DE CASOS CLÍNICOS


Manifestaciones oculares de los meningiomas selares

GONZALO OLALLA M1, AREIZAGA OSÉS A2, MEDIAVILLA PEÑA E3, JADRAQUE RUIZ Y4, LARRUCEA MARTÍNEZ I5

Servicio de Oftalmología. Hospital San Eloy. Baracaldo. Vizcaya.
1 Licenciada en Medicina y Cirugía. MIR 3.er año.
2 Licenciada en Medicina y Cirugía. MIR 2.º año.
3 Licenciada en Medicina y Cirugía. MIR 1.er año.
4 Licenciada en Medicina y Cirugía. Médico adjunto.
5 Licenciado en Medicina y Cirugía. Jefe de Servicio.


RESUMEN

Introducción: Los meningiomas son tumores benignos de crecimiento intracraneal. Los que se localizan en el tubérculo selar representan un 12,8% del total. Éstos al crecer pueden invadir el seno cavernoso y el ápex orbitario, produciendo importante sintomatología visual. El tratamiento es controvertido pero la cirugía sigue siendo de elección. El pronóstico visual depende de la duración de los síntomas, del compromiso de la arteria cerebral anterior y del tamaño tumoral.

Caso clínico: Mujer de 59 años que refiere disminución de visión por ambos ojos con limitación importante de todos los movimientos oculares del ojo izquierdo (OI), exotropía y leve proptosis de éste. El nervio óptico del OI demostró palidez atrófica, borrosidad discreta de los bordes y shunts ópticociliares. Se solicitó una resonancia nuclear magnética (RNM) con gadolinio que mostró la presencia de un meningioma selar con expansión hacia el seno cavernoso izquierdo con afectación de la arteria carótida interna izquierda. También se extendía hacia el ápex orbitario izquierdo estando el nervio óptico y su vaina engrosados.

Palabras clave: Meningioma, tubérculo selar, shunt ópticociliar, signo de Hoyt-Spencer.


INTRODUCCIÓN

Los meningiomas son tumores benignos de crecimiento lento, extraaxiales, no infiltrantes que proceden de la transformación de las células aracnoideas de las meninges, especialmente de las vellosidades aracnoideas, adhiriéndose a la duramadre. Los del tubérculo selar representan un 3-12,8% del total de los meningiomas. El patron anatomopatológico más frecuente es el meningoteliomatoso seguido del fibroso-psammomatoso (1). Presentamos el caso de una mujer con un meningioma selar y clínica oftalmológica.

  

CASO CLÍNICO

Mujer de 59 años que acude a nuestro servicio por pérdida de agudeza visual (AV) en ambos ojos (AO). La paciente refería disminución de visión por el ojo izquierdo (OI) de 2 años de evolución y por el ojo derecho (OD) desde hace 6 meses. Asimismo manifestaba haber sufrido cefaleas y mareos durante los últimos meses, sin alteración evidente del comportamiento. No refería otros antecedentes de interés oculares, personales ni familiares salvo hipertensión arterial que trataba médicamente.

La AV corregida por OD era inferior a 0,05 y por el OI no percibía luz y presentaba un defecto pupilar aferente relativo en el OI. El segmento anterior no mostraba alteraciones significativas y la presión intraocular estaba dentro de los límites normales en ambos ojos. En la exploración de la motilidad ocular presentaba una limitación importante de todos los movimientos oculares extrínsecos del OI, convergencia alterada y exotropía, sin diplopia (fig. 1). La sensibilidad corneal y cutánea eran normales. Se cuantificó una leve proptosis del OI con el exoftalmómetro de Hertel de 18 mm frente a 14 mm del OD. En el fondo de ojo, el nervio óptico del OI mostraba palidez atrófica y borrosidad discreta de los bordes del disco, con cierta prominencia anterior, sin engrosamiento llamativo ni calcificaciones en el mismo explorado mediante ecografía ocular B (fig. 2), ausencia del pulso venoso espontáneo, tortuosidad venosa, atenuación del calibre arterial y la presencia de unos vasos anómalos compatibles con shunts ópticociliares (fig. 3). La papila del OD presentaba un aspecto normal. El campo visual (Humphrey, estrategia 30-2, SITA) muestra la baja agudeza visual de la paciente.


Fig. 1. Limitación de la motilidad del OI.


Fig. 2. Ecografía ocular modo - B que muestra la tumefacción del nervio óptico del OI.


Fig. 3. Shunts opticociliares, atenuación del calibre arterial y congestión venosa.

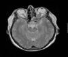
Se solicitó una resonancia nuclear magnética (RNM) con gadolinio urgente que mostró la presencia de un meningioma supra e infraselar de 5x4,3x4,8 cm sobre la silla turca, línea media cerebral anterior, alas menores del esfenoides y apófisis clinoides, con extensión hacia el seno cavernoso izquierdo y englobando la arteria carótida interna izquierda sin llegar a estenosarla, desplazamiento de la hipófisis y el hipotálamo, con un leve edema del lóbulo frontal (fig. 4). También presentó extensión hacia el ápex orbitario izquierdo a través de la fisura orbitaria, encontrándose el nervio óptico y su vaina engrosados y con signos de congestión venosa (fig. 5).


Fig. 4. RNM con gadolinio. Meningioma supra e infraselar de 5x4, 3x4,8 cm sobre la silla turca, línea media cerebral anterior, alas menores del esfenoides y apófisis clinoides, con extensión hacia el seno cavernoso izquierdo y englobando la arteria carótida interna izquierda, desplazamiento de la hipófisis y el hipotálamo, con un leve edema del lóbulo frontal.


Fig. 5. Extensión hacia el ápex orbitario izquierdo a través de la fisura orbitaria, encontrándose el nervio óptico y su vaina engrosados y con signos de congestión venosa (imagen potenciada en T2).

Dada la gravedad del caso se remitió al servicio de Neurocirugía para valoración y tratamiento.

  

DISCUSIÓN

Los meningiomas son más frecuentes en mujeres, con una relación de 2:1 con respecto a los varones. Se han demostrado receptores hormonales para la progesterona en ciertos meningiomas, lo cual explicaría la mayor incidencia en mujeres. Ésta aumenta con la edad siendo excepcionales por debajo de los 20 años, y si aparecen suelen ser más agresivos. El pico de frecuencia está en los 50-60 años. La mayoría de los meningiomas son de etiología desconocida, a pesar de que se reconoce la influencia de factores genéticos e irradiación craneal (1).

Los síntomas más frecuentes, que se presentan de manera lenta y progresiva, son disminución de la agudeza visual inicialmente de un ojo, diplopia, cefalea, síndrome frontal en casos de compresión del lóbulo frontal, trastornos convulsivos, trastornos hormonales y alteración de la vigilia. Los signos más comunes son trastornos de la agudeza visual y alteraciones campimétricas, papiledema, atrofia óptica, proptosis axial (habitualmente inferior a 3 mm), trastornos de motilidad ocular y defecto pupilar aferente si hay afectación del II par craneal. Un signo que debe buscarse es la presencia de shunts ópticociliares sobre el disco óptico, conocido como signo de Hoyt-Spencer. Este tipo de colaterales aparecen de forma adquirida principalmente en la obstrucción de la vena central de la retina y en el meningioma del nervio óptico, y son canales compensadores de tipo by-pass, que se desarrollan a partir de los capilares preexistentes en el disco óptico para mejorar la irrigación del nervio, comprometida por el efecto compresivo del meningioma (2,3). En la angiografía fluoresceínica estas colaterales se rellenan de contraste en la fase arteriovenosa temprana, sin extravasación en las fases sucesivas, lo cual permite diferenciarlas de los neovasos (3). En nuestro caso concreto la paciente presentaba un meningioma en la región selar que se extendía a la vaina del nervio óptico izquierdo, por lo que se evidenciaban dichas colaterales retino-coroideas.

El diagnóstico definitivo de la lesión tumoral se realiza mediante RNM, presentando una imagen sólida y homogénea con captación de contraste. El diagnóstico diferencial ha de hacerse principalmente con los adenomas hipofisarios y las metástasis cerebrales (1).

El tratamiento es controvertido y requiere valoración por parte de un neurocirujano, aunque la cirugía sigue siendo de elección y en muchos casos precedida de embolización. Existen varias vías de abordaje del tumor (fronto-lateral del ojo más afectado, pterional, bicoronal), recomendándose la radiocirugía estereotáctica y la radioterapia sobre todo en los inaccesibles, recurrentes, o extirpados de forma subtotal, particularmente si son malignos o anaplásicos. En el caso de compromiso del nervio óptico, se sabe que éste y el tumor comparten aporte sanguíneo, por lo que su resección supone ceguera irreversible. En estos casos debe preferirse el tratamiento conservador si la AV es mejor de 20/50 y reservarse la radioterapia para empeoramiento de ésta o del campo visual que se ha de realizar periódicamente para un correcto seguimiento. La resección quirúrgica está indicada en aquellos casos de atrofia óptica ya establecida en los que exista extensión intracraneal importante (4).

El pronóstico ocular depende de la duración de los síntomas, del englobamiento del complejo de la arteria cerebral anterior y del tamaño tumoral (1,4).


BIBLIOGRAFÍA


  1. Saeed P, Rootman J, Nugent R A, White V A, Mackenzie I R, Koornneef L. Optic Nerve Seath Meningiomas. Ophthalmology 2003; 110(10): 2019-2030.

  2. Hollenhorst R W, Mac Carthy C S. Visual prognosis of optic nerve meningiomas producing shunt vessels on the optic disk: the Hoyt-Spencer Syndrome. Tr AM Ophthalmol scc 1977; vol LXXV: 141-163.

  3. Muci-Mendoza R, Ramella M, Fuenmayor-Rivera D, Koram E, Cardenas P L, Recio M V. Opticocilliary veins in optic nerve sheath meningioma. ICG finding. Ophthalmology 1999; 106(2): 311-318.

  4. Prevedello D M, Thomas A, Gardner P, Synderman C H, Corrav R L, Kassman A B. Endoscopic endonasal resection of a synchronous pituitary adenoma and a tuberculum sellae meningioma: technical case report. Neurosurgery 2007; 60 (4-2).