SEMINARIO DE CASOS CLÍNICOS


Amiloidosis conjuntival primaria. A propósito de 2 casos clínicos

MERINO SUÁREZ ML1, MORENO GARCÍA-RUBIO B1, JIMENO ANAYA L1

Instituto Provincial Oftálmico. Hospital General Gregorio Marañón.
1 Licenciado en Medicina y Cirugía.


RESUMEN

Introducción: La amiloidosis conjuntival primaria (APC), es una rara entidad clínica caracterizada por el depósito de material amiloide en la sustancia propia conjuntival, en ausencia de una inflamación preexistente local o traumatismo o manifestación ocular de una enfermedad sistémica (1,2). Su diagnóstico de confirmación es anatomopatológico, junto a un estudio sistémico descartando una amiloidosis primaria generalizada (1,2).

Caso clínico: Se presenta un paciente varón de 50 años con hemorragias subconjuntivales recidivantes y un nódulo en conjuntiva tarsal inferior del mismo ojo, de 2 años de evolución. El segundo caso es una paciente mujer de 53 años, con edema palpebral secundario a una masa palpable en conjuntiva tarsal inferior de 2 años de evolución. La biopsia diagnóstica reveló, en ambos pacientes, depósitos de material proteináceo en la sustancia propia conjuntival, compatible con material amiloide. En ausencia de enfermedad sistémica asociada o patología ocular secundaria, se diagnosticó de amiloidosis conjuntival primaria.

Palabras clave: amiloidosis, amiloide, conjuntiva, hemorragia subconjuntival.


INTRODUCCIÓN

La amiloidosis es un conjunto de enfermedades que presentan como denominador común el depósito de un material hialino extracelular en distintos tejidos del organismo (1,2). Está integrado por 2 componentes: el «no fibrilar», común en todos los tipos de amiloide, que constituye el 10% y »el fibrilar», formado por cadenas polipeptídicas de configuración de hoja plegada beta, y conforma el 90% restante (1-3).

El depósito amiloide en la conjuntiva suele ser un proceso primario localizado, típico de los adultos de edad media y sin alteraciones sistémicas. En menos ocasiones obedece a una inflamación preexistente y duradera, o representa una manifestación ocular de una enfermedad sistémica. Ello obliga a la realización de un estudio sistémico, descartando afectación generalizada. Existe, además, una tercera forma de características heredofamiliares.

  

CASO CLÍNICO

Caso 1

Paciente varón de 50 años remitido a nuestra consulta por presentar un nódulo en conjuntiva tarsal inferior del ojo izquierdo (OI) de 2 años de evolución, acompañada de hemorragias subconjuntivales recurrentes, y sensación de cuerpo extraño. Como antecedentes sistémicos, se encontraba en tratamiento de hipertensión arterial y dislipemia. No mostraba antecedentes oftalmológicos de interés. En la exploración ocular, la agudeza visual (AV) de ambos ojos (AO) era 1. En el estudio biomicroscópico se apreciaba una lesión de 2,5 x 1,7 mm en conjuntiva tarsal inferior del ojo izquierdo (OI), con un aspecto friable, coloración amarillenta y consistencia gelatinosa (fig. 1). El resto de las exploraciones: presión intraocular (PIO), estudio fundoscópico y motilidad ocular extríseca (MOE) fueron normales. Se realiza biopsia excisional y análisis histológico, informándose de la presencia de material amiloide AA negativo. Posteriormente se descartó enfermedad sistémica asociada. Tras 7 años de seguimiento, no ha presentado síntomas de recurrencia, ni otras patologías oculares o sistémicas relacionadas con la enfermedad amiloide.


Fig. 1: Nódulo conjuntiva tarsal inferior. Caso 1.

  

Caso 2

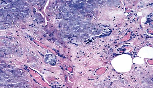
Paciente mujer de 53 años que presenta un edema palpebral inferior del ojo derecho (OD) de más de 2 años de evolución, acompañado de sensación tensional localizada. Como antecedentes sistémicos presentaba artritis reumatoide y dislipemia. No asociaba antecedentes oftalmológicos de interés. En la exploración ocular, la AV era la 1 en AO. En la exploración biomicroscópica se objetivaba una excrecencia en fórnix conjuntival inferior OD, de aspecto rosado, friable y vascularizado, que en la mirada hacia la supraducción se apreciaba como un cordón semiduro sobre la piel del párpado inferior. Tanto la PIO, como el estudio del fondo de ojo y motilidad ocular no presentaron hallazgos significativos. Se solicitaron pruebas de imagen, TAC orbitario y RNM que mostraban una leve asimetría de partes blandas sin afectación de estructuras adyacentes. Se decide realizar una biopsia excisional, encontrando un material eosinofílico, positivo a la tinción rojo congo y fluorescencia amarillo-verdosa con tioflavina T, compatible con depósito amiloide. El estudio sistémico fue negativo, y tras la cirugía, la paciente no ha presentado recidiva en 5 años.


Fig. 2: Tinción positiva al Rojo Congo. Caso 2.


Fig. 3: Tinción eosinofílica material amiloide. Caso 2.


Fig. 4: Fluorescencia del amiloide con Tioflavina-T. Caso 2.

  

DISCUSIÓN

El término de amiloidosis conjuntival engloba depósitos localizados en conjuntiva bulbar o tarsal, músculo orbicular, músculo elevador del párpado superior, o cápsula de Tenon. La presentación clínica ocular es variable (4), puede aparecer como una masa palpable conjuntival de lento crecimiento y coloración amarillenta o rosada, así como: hemorragias subconjuntivales recidivantes, sensación de disconfort ocular crónica, proptosis, limitaciones de la motilidad ocular o ptosis palpebral. Su diagnóstico diferencial se debe realizar con linfomas conjuntivales, carcinoma metastático, sarcoidosis, granuloma piogénico, nevus, y carcinoma sebáceo o melanoma (4). No obstante, su confirmación es el diagnóstico histológico, ya que, característicamente, presenta una tinción positiva al Rojo Congo, metacromasia con tinción cristal violeta, birrefrigencia y dicromismo en verde manzana al observarla bajo la luz polarizada y fluorescencia amarillo-verdosa con tioflavina T (2,3). Ante este hallazgo, se debe descartar enfermedad sistémica, siendo la punción aspiración de grasa abdominal subcutánea el gold estándar en el diagnóstico de esta enfermedad.

El manejo de la amiloidosis conjuntival depende de si se trata de un proceso localizado, o forma parte de una enfermedad sistémica. De igual manera, ante lesiones circunscritas, accesibles y solitarias se puede realizar por una biopsia excisional, y en caso contrario, el tratamiento conservador con humectantes artificiales y seguimiento a largo plazo sería otra opción a valorar (5).

  

CONCLUSIONES

La APC es una entidad clínica poco frecuente, con una presentación clínica muy diversa, por lo que en muchas ocasiones resulta infradiagnosticada, o conlleva a incurrir en errores diagnósticos de otras lesiones conjuntivales de comportamiento deletéreo. Su diagnóstico de confirmación es histológico, y se recomienda descartar enfermedad sistémica. El tratamiento consiste en la biopsia excisional completa, en aquellas lesiones circunscritas, o tratamiento con lubricantes artificiales y seguimiento, en caso de lesiones mal definidas.


BIBLIOGRAFÍA


  1. Shields JA, et al. Systemic amyloidosis presenting as a mass of the conjunctival semilunar fold. Am J Ophthalmol 130: 532-5, 2000.

  2. Pepys MB. Amyloidosis. Annu Rev Med 2006; 57: 223-41.

  3. Rosenblatt M.et al. Localized Conjuntival Amyloidosis: Case Reports and Review of Literature. Ophthalmologica, Basel 192: 238-245 (1986).

  4. Demirci H, Shields C, et al. Conjunctival Amyloidosis: Report of Six Cases and Review of the Literature. Surv Ophthalmol 51: 419-433, 2006.

  5. Leibovitch Igal. et al. Periocular and Orbital Amyloidosis. Ophthalmology 2006; 113: 1657-1664.