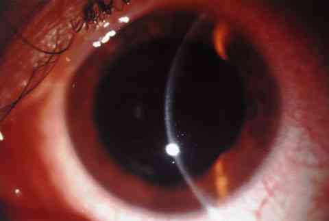
Figura 1

f08-01.jpg (21293 bytes)

QUERATITIS INTERSTICIAL.