Figura 2

f08-02.jpg (24609 bytes)

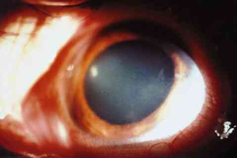
QUERATITIS INTERSTICIAL.