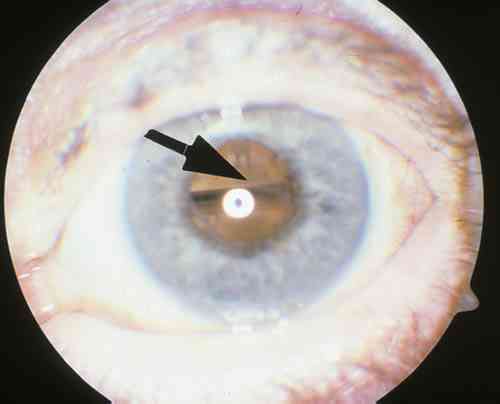
Figura 2

PPCL EN VÍTREO 15 DÍAS POST-CIRUGÍA. NÓTESE LA INTERFASE.