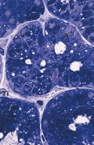
Figura 14

BIOPSIA EN UNA PERSONA CONTROL. LA GLÁNDULA LAGRIMAL PRINCIPAL PRESENTA ACINOS (A) CONSTITUIDOS POR CÉLULAS UNIDAS CON ABUNDANTE NÚMERO DE GRÁNULOS DE SECRECIÓN (FLECHA ARRIBA). EL TEJIDO CONECTIVO INTERSTICIAL (TI) ES ESTRECHO, LAXO Y CON POCAS CÉLULAS. TINCIÓN AZULES DE RICHARDSON. MAGNIFICACIÓN ORIGINAL X100.