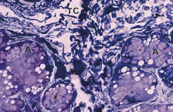
Figura 15

BIOPSIA EN UN PACIENTE CON QCS-GRADO III. LOS ACINOS (A) DE LA GLÁNDULA LAGRIMAL PRINCIPAL ESTÁN CONSTITUIDOS POR CÉLULAS MUY ALTERADAS CON ESCASO NÚMERO DE GRÁNULOS DE SECRECIÓN (FLECHA ARRIBA). eL TEJIDO CONECTIVO INTERSTICIAL (TC) ES AMPLIO Y DENSO. TINCIÓN AZULES DE RICHARDSON. MAGNIFICACIÓN ORIGINAL X100.