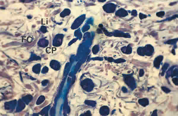
Figura 18

BIOPSIA EN UN PACIENTE CON SS1-GRADO I. EL TEJIDO CONECTIVO QUE RODEA A LA GLÁNDULA LAGRIMAL TIENE UN MODERADO NÚMERO DE FIBRAS DE COLÁGENO (FC), ESCASO NÚMERO DE LINFOCITOS (Li) Y ABUNDANTES CÉLULAS PLASMÁTICAS (CP). TINCIÓN AZULES DE RICHARDSON. MAGNIFICACIÓN ORIGINAL X100.