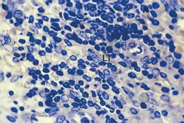
Figura 19

BIOPSIA EN UN PACIENTE CON SS1-GRADO III. EL TEJIDO CONECTIVO PERIGLANDULAR ESTÁ REPLETO DE LINFOCITOS (Li). TINCIÓN AZULES DE RICHARDSON. MAGNIFICACIÓN ORIGINAL X100.