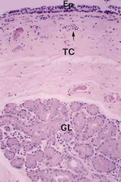
Figura 20

BIOPSIA EN UN INDIVIDUO SANO. EL EPITELIO (Ep), EL TEJIDO CONECTIVO (TC) Y LA GLÁNDULA LAGRIMAL (GL) SON NORMALES. sE OBSERVA UN NÚMERO NORMAL, ESCASO DE CÉLULAS INFLAMATORIAS (FLECHA ARRIBA) EN EL TEJIDO CONECTIVO. TINCIÓN H-E. MAGNIFICACIÓN ORIGINAL X40.