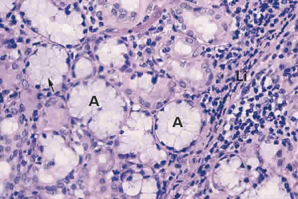
Figura 21

BIOPSIA EN UN PACIENTE CON SS1-GRADO II. LOS ACINOS GLANDULARES ESTÁN CONSTITUIDOS POR CÉLULAS DE ASPECTO NORMAL, CON POCOS GRÁNULOS DE SECRECIÓN (FLECHA ARRIBA). EL TEJIDO CONECTIVO INTERSTICIAL ES MODERADAMENTE AMPLIO, DENSO Y CON NUMEROSOS LINFOCITOS (Li). TINCIÓN AZULES DE RICHARDSON. MAGNIFICACIÓN ORIGINAL X100.