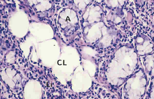
Figura 22

BIOPSIA EN UN PACIENTE CON SS1-GRADO III. LOS ACINOS GLANDULARES (A) ESTÁN CONSTITUIDOS POR CÉLULAS ALTERADAS SIN GRÁNULOS DE SECRECIÓN. EL TEJIDO CONECTIVO INTERSTICIAL (TC) ESTÁ OCUPADO TOTALMENTE POR NUMEROSOS LINFOCITOS (Li). SE OBSERVAN ABUNDANTES CÉLULAS LIPÍDICAS (CL). TINCIÓN AZULES DE RICHARDSON. MAGNIFICACIÓN ORIGINAL X100.