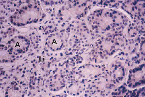
Figura 25

BIOPSIA EN UN PACIENTE CON SS1-GRADO I. LOS LINFOCITOS (Li) SE DISTRIBUYEN DISPERSOS ENTRE LOS ACINOS GLANDULARES (A). TINCIÓN H-E. MAGNIFICACIÓN ORIGINAL X40.