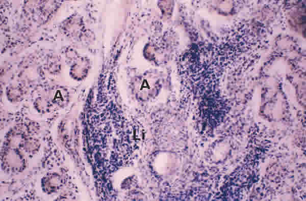
Figura 26

BIOPSIA EN UN PACIENTE CON SS1-GRADO II. LOS LINFOCITOS (Li) ESTÁN LOCALIZADOS EN PEQUEÑOS ACÚMULOS ENTRE LOS ACINOS GLANDULARES (A). TINCIÓN H-E. MAGNIFICACIÓN ORIGINAL X40.