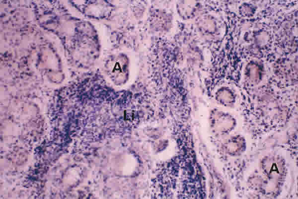
Figura 27

BIOPSIA EN UN PACIENTE CON SS1-GRADO III. LOS LINFOCITOS (Li) SE DISPONEN, EN GRANDES ACÚMULOS, ENTRE LOS ACINOS GLANDULARES (A). TINCIÓN H-E. MAGNIFICACIÓN ORIGINAL X40.